食いしん坊ぽっぽの日記

食いしん坊ぽっぽの日記

PR

Calendar

Favorite Blog

まだ登録されていません

Comments

みんとぽっぽ @ Re[1]:朝から((o(*@@*)o))ドキドキ  地震発生(12/03) 藻緯羅さん 初めまして♪ いつ来るかいつ…
藻緯羅 @ Re:朝から((o(*@@*)o))ドキドキ  地震発生(12/03) 叩き起こされましたね、 おっしゃるように…
みんとぽっぽ @ Re[1]:チビを病院へ(02/12) ひよこ🐣さん こんにちは 薬のお陰か、摂…
ひよこ🐣@ Re:チビを病院へ(02/12) 病院行って良かったね😊 動物(ぽっぽさん…
みんとぽっぽ @ Re[1]:今日もお散歩できてよかった・・・(02/05) ひよこさんへ 夜になると咳込むようになっ…
2022.02.04
XML
カテゴリ: 今日の出来事
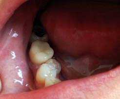
今日の予定では治療していた左下の離れ孤島を被せるのと
  右奥の虫歯を麻酔して治療する予定だった
でも、右奥は次回にまわし、
左親知らずを抜いた後に出てきた一番奥の虫歯を治療する事になった
「麻酔、少し痛いですけど、我慢できなかったら言ってくださいね
      麻酔が効く間に歯を被せちゃいますね」
まあ、麻酔は大昔を考えたら、全然大丈夫
 掃除する方が痛い
 綺麗にして貰ったせいか知覚過敏で全部痛い・・・・



無事に入りました
結構細かく高さ調整をしてくれた
「麻酔が切れて、感覚が戻って高さに違和感があったら次回教えてください」
歯がなかったせいか存在感があって今は違和感あるけど慣れれば大丈夫かな
奥の虫歯は軽い麻酔をしてから削って充填して終了
一緒にかぶせたのが取れて虫歯になっていた右下の歯は仮に詰めていて
今回の歯と同じような治療をすると思っていたら
「その歯はかぶせなくて大丈夫ですよ。詰めてあるのでこれで終了です」とな
次回は、右奥の虫歯と左上の知覚過敏の3本が欠けているので治療して終了予定とのこと

    Σ( ̄@@ ̄lll) ガビーンって感じなので怖いなあ~
今回の被せた歯は6000円くらいと前回聞いていた
2008年12月に右上の歯を被せたとき ​はセラミックで1本8万円だったんだけど
今回は虫歯の治療も入れて7000円ちょっとだった

日頃からの歯磨きをきちんとしていかないとなあ~





お気に入りの記事を「いいね!」で応援しよう

Last updated  2022.02.04 15:13:39
コメント(0) | コメントを書く
[今日の出来事] カテゴリの最新記事


【毎日開催】
15記事にいいね!で1ポイント
10秒滞在
いいね! -- / --
おめでとうございます!
ミッションを達成しました。
※「ポイントを獲得する」ボタンを押すと広告が表示されます。
x
X

© Rakuten Group, Inc.
X
Design a Mobile Site
スマートフォン版を閲覧 | PC版を閲覧
Share by: