| 2006年5月6日(土) |
![]() |
| 妊娠検査薬で陽性が出てから1週間、4w6dでの診察。 5.6mmの小さな胎嚢が確認できました。 |
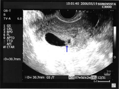
| 2006年5月19日(金) |
![]() |
| 6w5dでの診察。 胎嚢は30.7mmまで大きくなってました。 中に胎芽が確認出来て、大きさはだいたい3mm位とのことでした。 心拍も確認出来ました。 7w5dになってるけど、胎嚢の大きさから計算された週数なのかな。たぶん。 |



| 2006年7月7日(金) |
![]() ![]() |
| 13w5d 4ヶ月検診を兼ねた助産師外来 寝てるようであまり動いてくれなくて心配したけど、 上げてた手(1枚目)を下に下げて(2枚目)動いてくれました。 助産師さんだったからか、大きさは測ってくれなかったのでわかりません。 |