ミニチュアダックス・プチと大地とメレとミントとポメチワのルチレです

ミニチュアダックス・プチと大地とメレとミントとポメチワのルチレです

PR

Profile

HITON

HITON

Category

カテゴリ未分類

(162)

イベント・お祝い

(240)

嬉しい贈り物

(372)

お買い物

(186)

お顔

(72)

お散歩

(168)

おもちゃ&遊び

(234)

お洋服

(15)

食べ物

(106)

虹の橋

(124)

ハンドメイド

(323)

病院・健康・お手入れ

(639)

プチと大地

(79)

プチと大地とメレ

(291)

プチと大地とメレとミント

(560)

ブログ

(51)

モデル・誌面&web掲載

(41)

ルチレ

(94)

お出かけ:北東北(青森・岩手・秋田県)

(16)

お出かけ:宮城県

(7)

お出かけ:山形県

(2)

お出かけ:福島県

(23)

お出かけ:茨城県

(43)

お出かけ:栃木県

(102)

お出かけ:群馬県

(43)

お出かけ:埼玉県

(46)

お出かけ:千葉県

(127)

お出かけ:東京都(23区)

(97)

お出かけ:東京都(23区以外)

(124)

お出かけ:神奈川県(横浜市内)

(435)

お出かけ:神奈川県(横浜市以外)

(610)

お出かけ:新潟県

(2)

お出かけ:北陸3県(富山・石川・福井県)

(29)

お出かけ:山梨県

(403)

お出かけ:長野県

(89)

お出かけ:岐阜県

(8)

お出かけ:静岡県

(273)

お出かけ:愛知県

(7)

お出かけ:三重県

(12)

お出かけ:滋賀県

(9)

お出かけ:京都府

(3)

お出かけ:大阪府

(2)

お出かけ:兵庫県

(5)

お出かけ:奈良県

(1)

お出かけ:和歌山県

(8)

お出かけ:山陰(鳥取・島根県)

(10)

お出かけ:山陽(岡山・広島・山口県)

(12)

お出かけ:四国(徳島・香川・愛媛・高知県)

(17)

お出かけ:福岡県

(2)

お出かけ:その他(複数県など)

(16)

HITONだけお出かけ

(34)

震災・ボランティア関連

(30)

Free Space

↑【お宿やお店などの情報について】↑
ブログに掲載した内容は我が家が訪れた当時のものです
最新の情報はサイトや直接お電話等で確認してみてね☆




ポンタの思い出
ポンタありがとう



ハンドメイド作品をまとめました
画像をクリックすると
今までの作品をご覧いただけます

わんこにハンドメイド

【オーダーは受け付けておりません(2015年7月~)】

Calendar

Keyword Search

▼キーワード検索

2020年03月12日
XML
3/12朝の体重:
プチ4.5kg
大地5.2kg
メレ4.7kg
ミント:お休み

********************************************************



【3/7、『心臓血管肉腫による心タンポナーデ』4日後】



土曜日は雨の中お出かけ






目的は大地のセカンドオピニオン。







病院に行くとハァハァしちゃうので腫瘍から出血してないか心配になる






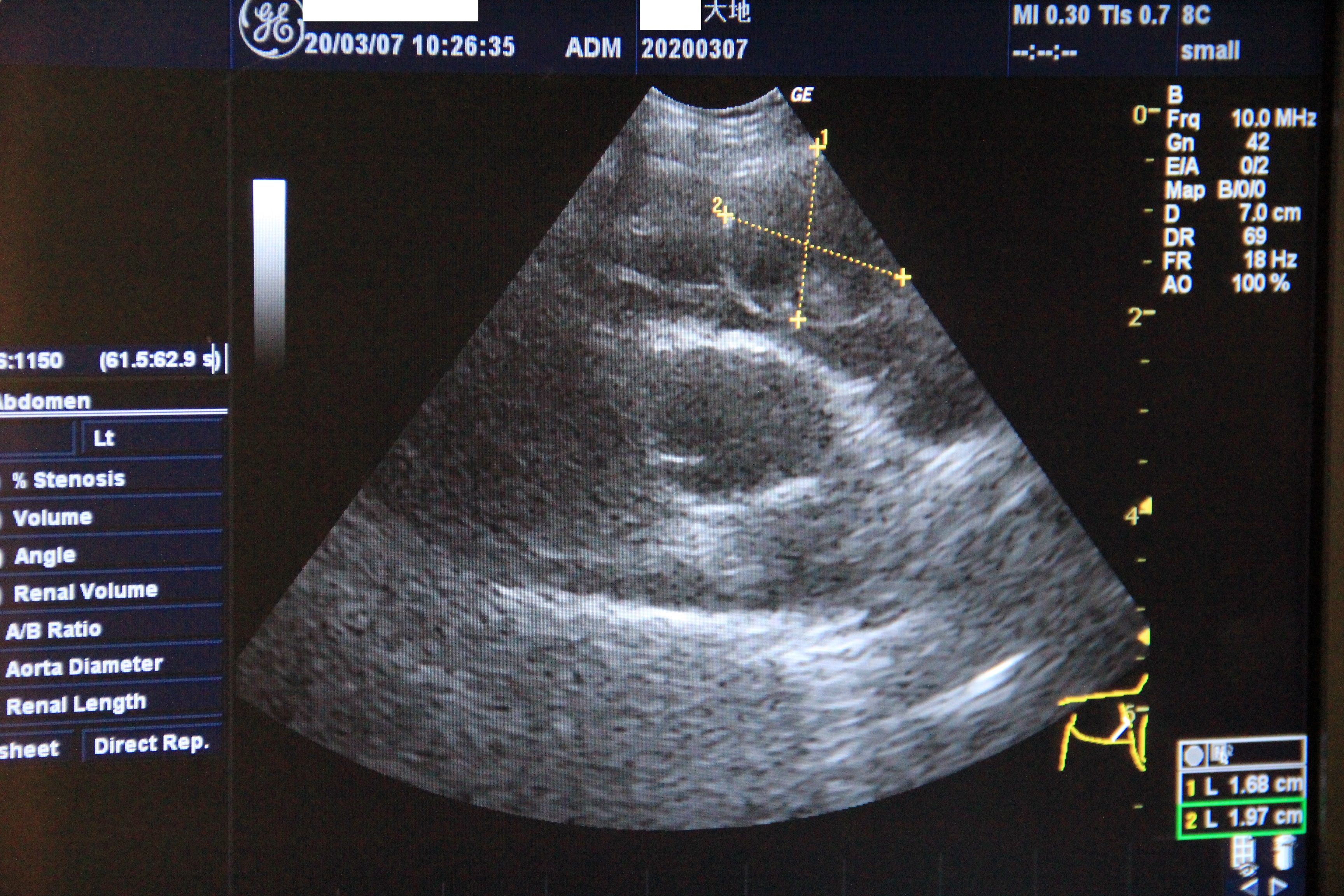
先生と一緒に元気いっぱい動いてる大ちゃんの心臓をエコーで確認
(血は溜まっていませんでした)
そこにある腫瘍は約1.68cm×1.97cm
腫瘍のお話、手術のお話、抗がん剤のお話、これからのことなどいろいろ伺って・・・
こちらの病院でも腫瘍の位置から『血管肉腫』との見立てでした。
転移するとすれば肺です
呼吸に気をつけてあげてください






【診療費明細】
腫瘍診療相談料 3,850円
超音波断層画像(1枚) 330円


合計:5,830円(消費税530円)



みんな病院お疲れさま
次の目的地へ向かったよ






続きます



プチ大地メレミントに応援クリックよろしくお願いします
にほんブログ村 犬ブログ 犬 多頭飼いへ
( 別ウィンドウが開ききるまではそのままでお願いしますm(_ _)m )


Instagram登録してみました~

画像をクリックすると移動します



今までのハンドメイド作品をまとめました
わんこにハンドメイド 画像をクリックすると今までの作品をご覧いただけます

*******************************************************

いつでも里親募集中





お気に入りの記事を「いいね!」で応援しよう

Last updated  2020年03月13日 10時31分58秒
コメント(0) | コメントを書く


【毎日開催】
15記事にいいね!で1ポイント
10秒滞在
いいね! -- / --
おめでとうございます!
ミッションを達成しました。
※「ポイントを獲得する」ボタンを押すと広告が表示されます。
x
X

© Rakuten Group, Inc.
X
Design a Mobile Site
スマートフォン版を閲覧 | PC版を閲覧
Share by: