我が家のニャンコ軍団

我が家のニャンコ軍団

PR

Keyword Search

▼キーワード検索

Calendar

Comments

○0208 @ Re[1]:今日も添い寝(11/12) 花霞4さんへ 院長先生も、我が家のブログ…
○0208 @ Re[1]:足元に(11/11) 花霞4さんへ 本当に、ニャンコは箱が大好…
花霞4 @ Re:今日も添い寝(11/12) ラモちゃん、優しいね。タクちゃんもラモ…
花霞4 @ Re:足元に(11/11) ナーちゃん、良いところを見付けましたね…
○0208 @ Re[1]:一人だけ(11/10) 花霞4さんへ ラモの食に対する貪欲さを見…
○0208 @ Re[1]:今日はカブと(11/09) 花霞4さんへ カブは、お外時代にボス猫を…
花霞4 @ Re:今日はカブと(11/09) カブちゃんは皆の人気者。ラモちゃんはカ…
花霞4 @ Re:一人だけ(11/10) ラモちゃん、お皿とにらめっこ…可愛いです…

Favorite Blog

茶々丸チャーちゃん 花霞4さん

ぴーちゃんの憂鬱 ぴーちゃん305さん
はじめは野良猫だっ… のらりん母、父さん
ILOVE... おハナぼぅさん
猫学・猫論・猫日和… mikemusumeさん

Category

Profile

○0208

○0208

2018.04.24
XML
カテゴリ: ニャンコ
​​​​​ 今朝、猫ドックの為に、ラトを病院に預けました。

このところ、めっきり老けこんだような印象を受けるラト。
原因の一つが、こちら。




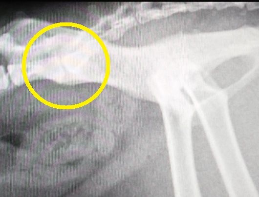
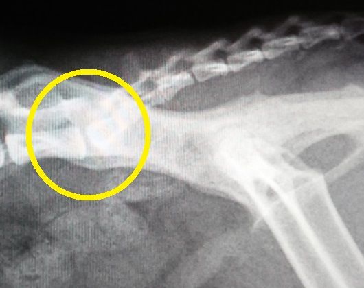
2012年:7歳のレントゲン


2014年:9際のレントゲン


2015年:10歳のレントゲン


2016年:11歳のレントゲン


2018年、本日、もう直ぐ13歳のレントゲン


背骨と尻尾の付け根の骨の状態の経過を年を追って見てみると、若い頃は、骨と骨の隙間もしっかり開いてましたが、2015年のレントゲンでは、先ずは、隙間がかなり狭くなって来ており、更に、2016年のレントゲンでは、骨の下の部分に突起が、これを我が家ではトケトケと呼んでいます。

実は、 2015年3月7日のブログ ​で、この状況の予兆を記載していました。

本日のレントゲンでは、隙間が無くなり、トケトケもかなり飛び出て来ています。
そう、ミラママと同じです。

「骨のトケトケは、ママ譲りですニャ。」



人間であれば、外科手術で痛みを除去する方法も有りますが、動物の場合は、それも難しく、何とか少しでも痛みを緩和する方法を模索していく事になりそうです。


ブログランキングに参加しています。

にほんブログ村 猫ブログ 猫 多頭飼いへ
にほんブログ村 ​​





お気に入りの記事を「いいね!」で応援しよう

Last updated  2018.04.24 23:54:34
コメント(2) | コメントを書く
[ニャンコ] カテゴリの最新記事


【毎日開催】
15記事にいいね!で1ポイント
10秒滞在
いいね! -- / --
おめでとうございます!
ミッションを達成しました。
※「ポイントを獲得する」ボタンを押すと広告が表示されます。
x
X

© Rakuten Group, Inc.
X
Design a Mobile Site
スマートフォン版を閲覧 | PC版を閲覧
Share by: