全31件 (31件中 1-31件目)
1

応援して!クリックするだけで募金できます。一日一回クリック募金。 ◇◇◇◇◇◇◇◇◇◇◇◇◇◇◇◇◇◇◇◇◇今日のお食事朝、トースト、野菜サラダ、コーヒー昼、夕、
2012年06月30日
コメント(0)
![]()
応援して!クリックするだけで募金できます。一日一回クリック募金。 梅雨の最中に何で旅行やねん???と言う疑問は最もですが、近鉄の優待切符の期限が近づいて、これを使うことでコースと日時が決まりました。一枚で近鉄全線乗り放題・途中下車は出来ないという切符4枚です。(特急は乗れません)と言うことで伊勢志摩の半島の突端にある浜島まで行くことにしたのがこの計画の全容です。奈良から賢島まで普通列車でトコトコの旅になりました。旅館の送迎バスが賢島から出てますので、交通費は無料で旅館代だけで婆っちゃんが探してくれました。浜島のプレミアリゾート夕雅というお店です。1泊2食で独り一万円でお釣りが来るという割引プランになりました。予定では下の画像のはずですが、行ってみないと解りませんので、雨の中トコトコと行ってきます。ホテルプレミアリゾート夕雅露天風呂予定の料理◇◇◇◇◇◇◇◇◇◇◇◇◇◇◇◇◇◇◇◇◇今日のお食事朝、トースト、野菜サラダ、コーヒー昼、ごはん、うどん夕、ごはん、刺身、野菜炒め、
2012年06月30日
コメント(0)

応援して!クリックするだけで募金できます。一日一回クリック募金。 我らがトラちゃんは5-0から逆転されての完敗でした。投打がかみ合わず、監督も手の打ちようがありませんワ。4連敗では書くことも無し・・・。◇◇◇◇◇◇◇◇◇◇◇◇◇◇◇◇◇◇◇◇◇今日のお食事朝、トースト、野菜サラダ、コーヒー昼、冷やし素麺夕、海鮮丼、味噌汁
2012年06月29日
コメント(0)
![]()
応援して!クリックするだけで募金できます。一日一回クリック募金。 2009年末に発売で270万部の大ベストセラーになった、「もし高校野球の女子マネージャーがドラッカーの『マネジメント』を読んだら 」をやっと読みました。本については噂が出たら大抵はすぐに飛びついている爺っちゃんですが、実はこの本は全く知らなくて、婆っちゃんに言ったら馬鹿にされました。作者の岩崎夏海さんも女性とばかり思ってましたが、男性でした。岩崎さんの新著「チャボとウサギの事件簿」の紹介からやっと「もしドラ」にたどり着いた次第です。図書館で借りてきて一気に読み終わりましたが、中々楽しく読める内容でした。アニメでも放送されていたそうですね。最近は乗り遅れが時々あって、やっぱり歳ですかネ・・・。◇◇◇◇◇◇◇◇◇◇◇◇◇◇◇◇◇◇◇◇◇今日のお食事朝、トースト、野菜サラダ、コーヒー昼、麻婆豆腐丼夕、サラダラーメン(冷麺)
2012年06月28日
コメント(0)
![]()
応援して!クリックするだけで募金できます。一日一回クリック募金。 ヨネックスから宅配便が届きました。過日購入したウォーキングシューズで懸賞に応募しましたが、その景品でした。オリジナルのスリッパでしたが中々履きやすくて早速上用のスリッパで使うことにしました。一等の海外旅行では無かったですが、当たれば何でも有り難いです。晴ぼんの歯医者さんの日で今日も橿原まで送りました。まだ数回は続くそうです。ヨネックスのスリッパ◇◇◇◇◇◇◇◇◇◇◇◇◇◇◇◇◇◇◇◇◇今日のお食事朝、トースト、野菜サラダ、コーヒー昼、ごはん、炒り卵夕、麻婆豆腐丼
2012年06月27日
コメント(1)

応援して!クリックするだけで募金できます。一日一回クリック募金。 久しぶりに京都の実家へお参りに行きました。婆っちゃんの妹さんにも来てもらってお家のお片付けをしました。まだまだ整理する書類が一杯で半日つぶれました。お昼は外食で穴子の櫃まぶしの定食をいただきました。することが多いのでまだまだ通わないと終わらないですね。関西の梅雨明けはマダのようで、テルテル坊主さんのブログの壁紙はまだ終われないようです。◇◇◇◇◇◇◇◇◇◇◇◇◇◇◇◇◇◇◇◇◇今日のお食事朝、トースト、野菜サラダ、コーヒー昼、外食夕、皿うどん
2012年06月26日
コメント(0)
![]()
応援して!クリックするだけで募金できます。一日一回クリック募金。 爺っちゃんは病院デーになりました。午前中は糖尿の薬が切れたので診察を兼ねて内科へ診察に行きました。昼は治療中の左奥歯のブリッジを造るための仮歯を入れました。麻酔をしたので昼食は3時になりました。当分かかりそうですワ。自宅の百合・カサブランカが咲きました。一本は切って切り花で玄関に飾りましたが、百合の香が凄いです。◇◇◇◇◇◇◇◇◇◇◇◇◇◇◇◇◇◇◇◇◇今日のお食事朝、トースト、野菜サラダ、コーヒー昼、天ぷらうどん夕、ごはん、焼き魚、シチュー
2012年06月25日
コメント(0)
![]()
応援して!クリックするだけで募金できます。一日一回クリック募金。 梅雨明けが近づいてきたのか今日は絶好の野球日和となり、全国の6試合が順調に開催されました。残念ながら甲子園の入場券は手に入らずに家でのテレビ観戦になりました。ようやく半分ほど調子の戻った我らがトラちゃんも、今日は安藤の好投と、初回の得点が物を言って快勝しました。しかし、やっぱり点を取るのは最初だけで中盤、終盤は相変わらず無得点という体たらくを繰り返しました。本格的復活はまだまだかかりそうです。安藤が好投ソフトバンク・小久保が2000本安打達成おめでとう◇◇◇◇◇◇◇◇◇◇◇◇◇◇◇◇◇◇◇◇◇今日のお食事朝、トースト、野菜サラダ、コーヒー昼、カレーライス夕、長崎皿うどん
2012年06月24日
コメント(1)

応援して!クリックするだけで募金できます。一日一回クリック募金。 休日の土曜日ですが晴ぼんは忙しい一日を送りました。朝は恒例のスイミングで一泳ぎしました。いつもならこれからが自分の時間で終日送るのですが、今日は両親が休日出勤のため、昼前にお弁当をもって学童保育へお預かりになりました。3時過ぎに帰宅して爺っちゃんがお迎えで爺(⌒o⌒)婆 ちゃんちでの生活になり、トラちゃんの試合のテレビ観戦しました。昨日は折角の甲子園でしたが、惜しい負けでがっかり、今日は楽勝の試合でしたので気楽に応援できました。試合後は自然にお昼寝になり、6時の夕食までぐっすり休みました。晩ご飯は大好物のカツカレーでお代わりして満腹・・・・。入浴後は爺(⌒o⌒)婆 ちゃんの手造りデザートを食べてやっと帰宅できました。明日は多分自宅での生活になるでしょう。◇◇◇◇◇◇◇◇◇◇◇◇◇◇◇◇◇◇◇◇◇今日のお食事朝、トースト、野菜サラダ、コーヒー昼、カレーうどん夕、カツカレー、野菜サラダ
2012年06月23日
コメント(0)

応援して!クリックするだけで募金できます。一日一回クリック募金。 株主総会のシーズンですが今日は近鉄の総会で上六の都ホテルに行きました。ここの優待は近鉄の乗車券が年2回くれますのでまずまずです。で、今日の総会は懇親会が無くてお土産はゼロでナーーーーンダでお終いでした。晴ぼんとパパさんは甲子園へ応援に行きましたが、今年はまたまた負けちゃいました。晴ぼんが行くと負けるジンクスになってます。残念・・・(/_;。) ウッウッウッ・・・。◇◇◇◇◇◇◇◇◇◇◇◇◇◇◇◇◇◇◇◇◇今日のお食事朝、トースト、野菜サラダ、コーヒー昼、近鉄で外食夕、カレーライス
2012年06月22日
コメント(1)
![]()
応援して!クリックするだけで募金できます。一日一回クリック募金。 台風の後は梅雨の雨の真っ盛りになりました。終日の雨で一日中自宅待機となりました。プールへは行けたんですがうっとうしい天気ですので止めました。野球は大リーグのダルちゃんの試合をテレビ観戦、打たれながらも頑張って9勝目です。流石に頑張りますネ。続いてはサッカーの試合を色々替えながらテレビ観戦の一日でした。<◇◇◇◇◇◇◇◇◇◇◇◇◇◇◇◇◇◇◇◇◇今日のお食事朝、トースト、野菜サラダ、コーヒー昼、豆ごはん、野菜サラダ、卵焼き夕、そばめしオムライス
2012年06月21日
コメント(0)
![]()
応援して!クリックするだけで募金できます。一日一回クリック募金。 奈良を直撃の台風4号でしたが、夜の間に通り過ぎました。全く被害も無かったので、朝は小雨が残っていましたが早朝に近くのスーパーへお買いものに出かけました。6月から朝7時からの開店で9時までに買い物をするとスタンプが貰えて、金券をゲットできるそうです。結構沢山の買い物客で賑わっていました。昼に爺っちゃんは歯医者さんで、先日抜いた奥歯の跡が固まったらブリッジの製作にかかるそうです。7月の北海道行きの前に、仮り歯を入れて9月に改めて仕上げの歯を造るようです。長い長い治療ですワ・・・・。台風の最中でしたが、今回新日本海フェリーの新造船が処女航海に出たようで、今回の北海道へはこの船を利用することになります。楽しみにしています。◇◇◇◇◇◇◇◇◇◇◇◇◇◇◇◇◇◇◇◇◇今日のお食事朝、トースト、野菜サラダ、コーヒー昼、ごはん、炒り卵夕、焼きそば
2012年06月20日
コメント(0)
![]()
応援して!クリックするだけで募金できます。一日一回クリック募金。 今年は台風の発生が早いようで、4号が直撃の進路を取っています。近畿地方を縦断するようで、久しぶりに奈良県が進路の真っ直中です。晴ぼんは2時に学校から帰宅して爺(⌒o⌒)婆 ちゃんちで待機していますが、現在暴風雨が吹き荒れています。今夜には通過して明日は大丈夫のようですので、今夜だけが大変ですわ。現在、奈良市の中心部・午後7時過ぎですが、風が止み青空も出ています。多分台風の目に入ったのじゃ無いでしょうか。晴ぼんはパパさんがお迎えに来て、今、帰りました。これから大変です。午後6時爺っちゃんのデジカメがそろそろダウンに近づきました。5年以上使用して一度故障で修理していますが、修理後はもう一つ調子が良くなりませんでした。で、この度新品を取得することにしましたが、出来るだけお安く手に入れることにし、ポイントの貯まっているアマゾンで探しました。今はニコンですので同じニコンで探しました。結局クールピクスのL26を7500ポイントでゲットしました。ニコンの一番格安製品ですが、旅行や普段の写真ならこの程度で十分でしょう。当分楽しく使います。◇◇◇◇◇◇◇◇◇◇◇◇◇◇◇◇◇◇◇◇◇今日のお食事朝、トースト、野菜サラダ、コーヒー昼、ごはん、お刺身、味噌汁夕、ごはん、イサキの塩焼き、野菜炒め
2012年06月19日
コメント(0)
![]()
応援して!クリックするだけで募金できます。一日一回クリック募金。 晴ぼんの歯医者さん予約で橿原市の近鉄真菅駅前のさわやか歯科へ送りました。橿原市は歴史的にも神社仏閣の多い地区ですが、駅前には宗我坐宗我都比古神社(そがにます そがつひこ じんじゃ)があり、とても初めての方には読み方も解らない名前ですネ。名前の通り蘇我氏を祭っている神社ですネ。治療待ちの時間に爺っちゃん独りで神社を散策してきました。真菅駅もあまり知られていない駅で、それでも駅前には大きな団地が開発されていて、大阪市内への通勤圏内です。晴ぼんの治療はまだ数回はかかるようで、7月には終わる予定です。歯医者さんはログハウスです。こぢんまりした真菅駅神社境内です。宗我坐宗我都比古神社 そがにます そがつひこ じんじゃ◇◇◇◇◇◇◇◇◇◇◇◇◇◇◇◇◇◇◇◇◇今日のお食事朝、トースト、野菜サラダ、コーヒー昼、天ぷらうどん夕、ごはん、天ぷら、カツ
2012年06月18日
コメント(1)

応援して!クリックするだけで募金できます。一日一回クリック募金。 プロ野球交流戦のラストゲームになりました。我らがトラちゃんは最後まで力が出し切れずに負け越しで終了・・・・。今日は1点差の逃げ切りに藤川の押さえが最後に打たれてロッテと引き分けでジエンド・・・・・。後半戦は期待を持って応援しましょう・・・。◇◇◇◇◇◇◇◇◇◇◇◇◇◇◇◇◇◇◇◇◇今日のお食事朝、トースト、野菜サラダ、コーヒー昼、野菜ラーメン夕、ごはん、ハンバーグ
2012年06月17日
コメント(0)

応援して!クリックするだけで募金できます。一日一回クリック募金。 梅雨空の下、大阪堺市のリーガロイヤルホテルへ株主総会に参加しました。タイトルのように「サカイ」引越センターの株主総会でした。本社が堺市ですので当然地元で開催されますネ。元々は堺の運送屋で、40年前に引越専門にチェンジして、今のような大手に育った親族企業です。何でここの株か??と言うと株主優待の実質のある株を購入しているので、優待がお米というので購入したんですわ。今日は総会の後懇親会の立食パーティーがお目当てで、大部分の方はこれが目的のようです。お土産にお菓子の詰め合わせを貰って帰りました。料理は質も量も満足の行くメニューで良かったです。帰路に婆っちゃんの手芸用品の購入にアベノのQズモールへ立ち寄りました。◇◇◇◇◇◇◇◇◇◇◇◇◇◇◇◇◇◇◇◇◇今日のお食事朝、トースト、野菜サラダ、コーヒー昼、ホテルの立食パーティー夕、
2012年06月16日
コメント(0)

応援して!クリックするだけで募金できます。一日一回クリック募金。 逃げていたオームの最後の犯人がつかまりました。これで麻原の死刑も出来ることになり、大筋で終わったようです。ホンマに人騒がせな事件でした。17年も逃げ回って捕まらなかったのは警察の弱さでしょうね。◇◇◇◇◇◇◇◇◇◇◇◇◇◇◇◇◇◇◇◇◇今日のお食事朝、トースト、野菜サラダ、コーヒー昼、ごはん、野菜サラダ、冷や奴夕、ごはん、野菜サラダ、みりん干し、焼売
2012年06月15日
コメント(1)

応援して!クリックするだけで募金できます。一日一回クリック募金。 プロ野球交流戦も最終カードになります。サッパリ調子の出ない我らがトラちゃんですが、今日は久しぶりにスカッとした大逆転でした。所沢でのレオとの最終戦は相も変わらず先制されての苦しい立ち上がりで、ヒットが出ても残塁の山で今日も又駄目だな・・・・と思いました。が、後半に新井兄弟の思いも寄らない活躍で4-3の逆転勝ち・・・・。ようやく鬱憤が晴れましたワ・・・。週末は千葉で最後のロッテ戦で終了です。Gを倒して優勝を目指しましょう・・・・・。◇◇◇◇◇◇◇◇◇◇◇◇◇◇◇◇◇◇◇◇◇今日のお食事朝、トースト、野菜サラダ、コーヒー昼、ごはん、冷や奴夕、ごはん、豚生姜焼き、野菜炒め
2012年06月14日
コメント(0)
![]()
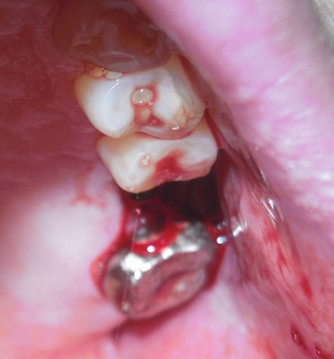
応援して!クリックするだけで募金できます。一日一回クリック募金。 今日も爺っちゃんは歯医者さんです。治療の終わった右の奥歯の被せを正式に固定してここは終了です。で、今回の通院の原因になった左の奥歯の治療にかかりました。先ずは痛みの原因になった歯の被せを外して、すっぱりと歯は抜かれました。やはり根の骨が溶けて化膿していたようです。抜いた後の筋肉が固定するのを待って、新しい被せをブリッジにして製作して貰うことになりました。ひと月程はかかるようですが、それまでは右の歯だけでカミカミすることになります。みごとに血だらけの歯の抜け跡ここが固まるまで待ちます◇◇◇◇◇◇◇◇◇◇◇◇◇◇◇◇◇◇◇◇◇今日のお食事朝、トースト、野菜サラダ、コーヒー昼、きつねうどん夕、ごはん、鮭のホイル焼き
2012年06月13日
コメント(0)
![]()
応援して!クリックするだけで募金できます。一日一回クリック募金。 爺(⌒o⌒)婆 ちゃんちの住居は奈良市内とは言っても市内の南端で、旧添上郡明治村です。家の南面は今も田圃が拡がっていて、夜はカエルの合唱が絶えること無く続いている昨今です。先日来始まった村の田植えは一応終了したようで、一面に水を張った稲苗の光景が広がりました。爺(⌒o⌒)婆 ちゃんちは農家ではありませんので田圃はありません、悪しからず。◇◇◇◇◇◇◇◇◇◇◇◇◇◇◇◇◇◇◇◇◇今日のお食事朝、トースト、野菜サラダ、コーヒー昼、ごはん、サンマのみりん干し夕、
2012年06月12日
コメント(1)

応援して!クリックするだけで募金できます。一日一回クリック募金。 昨日の土曜参観で晴ぼんは代休になりました。午前中に歯医者さんに予約を入れてましたので治療の後、パパさんが大阪へ映画鑑賞と温泉につれてい貰いました。映画はコナンの封切りで、大喜びでした。◇◇◇◇◇◇◇◇◇◇◇◇◇◇◇◇◇◇◇◇◇今日のお食事朝、トースト、野菜サラダ、コーヒー昼、ごはん、焼き魚夕、ごはん、焼き魚、野菜サラダ
2012年06月11日
コメント(0)

応援して!クリックするだけで募金できます。一日一回クリック募金。 スカパーのスターチャンネルで朝の6時からハリーポッター全8巻の放映がありました。全部録画しようとしましたが量が多すぎてハードディスクには入りきらず、切れ切れながら現在最後まで視聴中です。プロ野球と同時進行で見ましたのでお疲れです。◇◇◇◇◇◇◇◇◇◇◇◇◇◇◇◇◇◇◇◇◇今日のお食事朝、トースト、野菜サラダ、コーヒー昼、玉子かけごはん、漬け物夕、海鮮丼
2012年06月10日
コメント(0)
![]()
応援して!クリックするだけで募金できます。一日一回クリック募金。 晴ぼんの土曜参観をみんなで見に行きました。初めて保健の授業と言うことで中々楽しみでした。子どもの体と大人の体という導入から男女の違いに至る性教育の基本のようでした。養護の先生の担当でしたが、子どもたちにも良く解る指導で、筋道を追っての指導は素晴らしかったです。昔は小学生には触れてはいけない様な時代があったことを思うと、流石に現在の教育の進歩は立派でした。保護者の方も真剣に参観されていましたね。晴ぼんの作品です◇◇◇◇◇◇◇◇◇◇◇◇◇◇◇◇◇◇◇◇◇今日のお食事朝、トースト、野菜サラダ、コーヒー昼、お茶漬け、漬け物夕、野菜ラーメン
2012年06月09日
コメント(0)
![]()
応援して!クリックするだけで募金できます。一日一回クリック募金。 爺っちゃんの歯医者さん治療は本日被せ歯を仮りセットして一段落しました。右の下の奥歯2本を治療しました。次回に本付けをするそうです。近畿地方の梅雨入りが宣言されました。午後から雨が降り始めて、現実味を帯びてきましたね。明日は晴ぼんの土曜参観がありますので、晴れれば良いのですが・・・。◇◇◇◇◇◇◇◇◇◇◇◇◇◇◇◇◇◇◇◇◇今日のお食事朝、トースト、野菜サラダ、コーヒー昼、ごはん、大安の夏キャベツ漬け物夕、
2012年06月08日
コメント(1)
![]()
応援して!クリックするだけで募金できます。一日一回クリック募金。 京都のお母さんのお家の片付けに早朝からお出かけしました。朝一で平安神宮の隣のお漬け物の店大安本店に立ち寄りました。お母さんの四十九日が終わって、お返しの粗供養を購入しました。本店のみの販売のキャベツのお漬け物(夏玉キャベツ)をメインに詰め合わせをセットしました。賞味期限が短いので、近くのお友達にお渡しする分だけですが、自宅用も購入しました。店内購入品の陳列◇◇◇◇◇◇◇◇◇◇◇◇◇◇◇◇◇◇◇◇◇今日のお食事朝、トースト、野菜サラダ、コーヒー昼、外食、かごの屋の昼御膳¥815・・・・・・・・・・・・・・・・・夕、カレーうどん、野菜サラダ
2012年06月07日
コメント(1)
![]()
応援して!クリックするだけで募金できます。一日一回クリック募金。 話題の天体ショーの三番目・金星の太陽表面の通過を観察しました。7時から13時までの長時間でしたので雲の晴れ間を縫ってゆっくり見ることが出来ました。金環食の大陽眼鏡と望遠鏡での投影とで中々良く解って良かったですわ。10年前の現職時なら専門分野でしたので子どもたちと一緒に見たと思いますが、今回は爺(⌒o⌒)婆 ちゃん2人でのんびりと観察できました。画像は姫路の星の館天文台よりいただきました。◇◇◇◇◇◇◇◇◇◇◇◇◇◇◇◇◇◇◇◇◇今日のお食事朝、トースト、野菜サラダ、コーヒー昼、お茶漬け、お漬け物夕、
2012年06月06日
コメント(1)

応援して!クリックするだけで募金できます。一日一回クリック募金。 昨日から復活のプールトレですが、今日は左京のならやまプールへお出かけしました。久しぶりでしたが、いつものメンバーさんがほとんどで、気持ちよく挨拶を交わせました。ここのプールもほとんどが高齢者で皆さんひたすら水中ウオーキングに専念されていました。しばらくは休まずに通いたいですワ・・・・。明日は金星の太陽面通過です。お天気になれば良いのですが・・・・。◇◇◇◇◇◇◇◇◇◇◇◇◇◇◇◇◇◇◇◇◇今日のお食事朝、トースト、野菜サラダ、コーヒー昼、ごはん、刺身、味噌汁、野菜サラダ夕、ラーメンサラダ
2012年06月05日
コメント(1)
![]()
応援して!クリックするだけで募金できます。一日一回クリック募金。 最近はすっかりご無沙汰してしまったプールのトレーニングでしたが、2ヶ月振りで中町のプールに出かけました。体がすっかり鈍ってしまって、基礎体力の復元を心がけました。今は水泳教室のお休み期間のようで、まるでガラガラの会場でしたので貸し切り状態で練習できました。最後にサウナとジャグジーで締めくくりましたが、やっぱり疲れましたね。サボらずに毎日通わなくっちゃ・・・・。◇◇◇◇◇◇◇◇◇◇◇◇◇◇◇◇◇◇◇◇◇今日のお食事朝、トースト、野菜サラダ、コーヒー昼、ザルうどん夕、ごはん、お刺身、サラダ
2012年06月04日
コメント(0)
![]()
応援して!クリックするだけで募金できます。一日一回クリック募金。 久しぶりの奈良町フリマの開催日ですが、朝から小雨がパラついてどうするか迷いましたが天気予報を信じて開催しました。今日はお泊まりした晴ぼんをスタッフで連れて行きましたが、大張り切りでお手伝いしてくれました。午前中曇りで午後には暑さを感じる夏空になり、結構人出も多かったようです。今回は夏用の手造り小物のカエルさん、金魚ちゃんも出品して、彩りを添えました。さらに、知り合いの方から鹿ちゃんのお人形を大量に預かり、並べましたので結構賑やかしになったようです。 カエルちゃんと金魚さん涼しげな掛け布巾ハスの実の置物鹿ちゃんで組み体操初夏の猿沢池と五重塔◇◇◇◇◇◇◇◇◇◇◇◇◇◇◇◇◇◇◇◇◇今日のお食事朝、トースト、野菜サラダ、コーヒー昼、おにぎりとラーメン夕、ごはん、炒り卵、野菜サラダ
2012年06月03日
コメント(0)
![]()
応援して!クリックするだけで募金できます。一日一回クリック募金。 楽天のサイトで紹介のあったマツダのCX-5の試乗会に申し込みましたが、連絡があり今日の朝一試乗しました。クリーンディーゼルと銘打ったディーゼル車でしたが音も閑かで乗り心地も良かったですネ。車高の高いのは運転しやすかったです。プリウスチャンとはまた違った感覚でした。お値段は400万近くするようですので今のところプリちゃんと交換することは無さそうです。◇◇◇◇◇◇◇◇◇◇◇◇◇◇◇◇◇◇◇◇◇今日のお食事朝、トースト、野菜サラダ、コーヒー昼、ごはん、炒り卵、お漬け物夕、豆ごはん、卵焼き、野菜サラダ
2012年06月02日
コメント(2)

応援して!クリックするだけで募金できます。一日一回クリック募金。 虫歯治療中の晴ぼんですが、放課後にお迎えで桜井の歯医者さんへ送りました。今日は1本は被せをつけて終わりましたが、もう一本の虫歯なりかけの予防に後数回通うようです。とにかく歯磨きが大切なことをしつこく指導して貰ってます。往復2時間はしんどいですワ。夜は爺っちゃんが近所の歯医者さんへ治療に行きました。今日歯形を取ったので次回差し歯を付けるようです。歯だけは毎日使う処ですのできっちり治さないと不便ですネ。◇◇◇◇◇◇◇◇◇◇◇◇◇◇◇◇◇◇◇◇◇今日のお食事朝、トースト、野菜サラダ、コーヒー昼、ごはん、餃子夕、ごはん、ハンバーグ、餃子、野菜サラダ
2012年06月01日
コメント(1)
全31件 (31件中 1-31件目)
1


![]()