PR
カレンダー
サイド自由欄
コメント新着
10月31日 ハロウィン~
いつからこんなに盛り上がるイベントになったのかなぁ~
去年は、ホワイトデーより定着したイベントだったって![]()
そして今年は、バレンタインより、盛り上がるでしょうらしい
乳母が初めてハロウィンを知ったのは
26年前
仕事でアメリカに行っていた時に、
『ハロウィンパーティーだから、仮装してきてぇ~』と言われたのが最初
訳も分からず・・・・・ベネチアンマスク
最近は、もっぱらワンズに仮装してもらってますけどね![]()
ハロウィンといえば、この写真がお気に入り

(C)WANSELF Photo by WAITS
もう撮ることのできないツーショット
そして今年のハロウィンは

Photo by Nanae Sugimoto

Photo by Nanae Sugimoto
今回も、素敵な笑顔を撮ってもらえたよん![]()
ここまでは楽しい話・・・・・・
昨日から、食欲不振だったけど、焼き芋やカステラを混ぜて、ちょっとだけフードを食べたけど
夜になって、柔らかい血便![]()
ビオフェルミンを飲ませたら、今朝は散歩に行くっていうので


連れて行くと、走ってはいたけど、いつもの笑顔より、ちょっと暗かったかな![]()
それからは・・・・一切ご飯食べません![]()
お芋や、カステラも匂いだけで、十分ですって感じ
今日は耳の洗浄を午後にしたので、そのついでに血液検査をしてもらった
尿素窒素等の数値は、いつも通り(悪いけど、横ばい)
トンでもない数値が出たのが PCV
一気に貧血状態![]()
これで、食欲ないんだね。きっと
急に下がった原因がわからない
でも、乳母の頭には、ミルキーの遺伝子
女の子に多いと聞いた記憶があるけど『免疫性溶血性貧血』
違いますように
絶対、違いますように


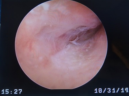
耳は、まだ鼓膜は見えないけど
ほとんど汚れがなくなっている
まだまだ先は遠いらしいが、ちょっとだけ前進したのに
今度は、貧血
トレジャー、頑張れ![]()
トレジャー&ジュエル&レナート お誕生… 2023年01月02日
頂き物 2019年06月04日
トレジャー効果???!(笑) 2018年06月26日