






虫歯は金属の錆や腐食と同じ1.42 2025.11.10
虫歯は金属の錆や腐食と同じ1.41 2025.06.05
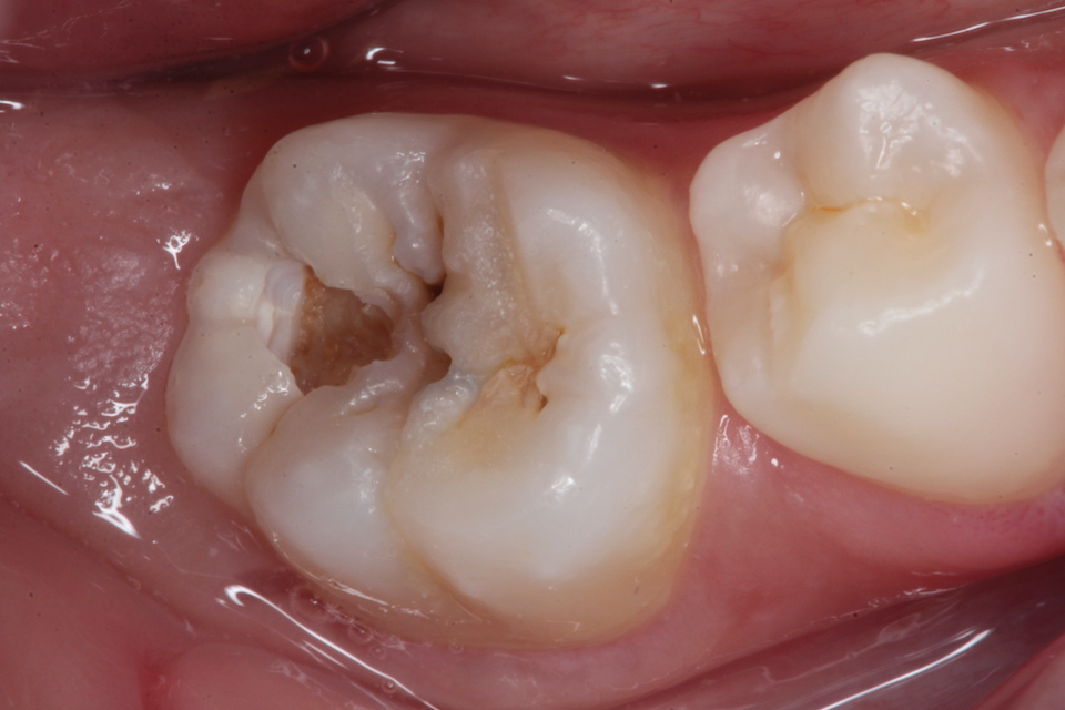
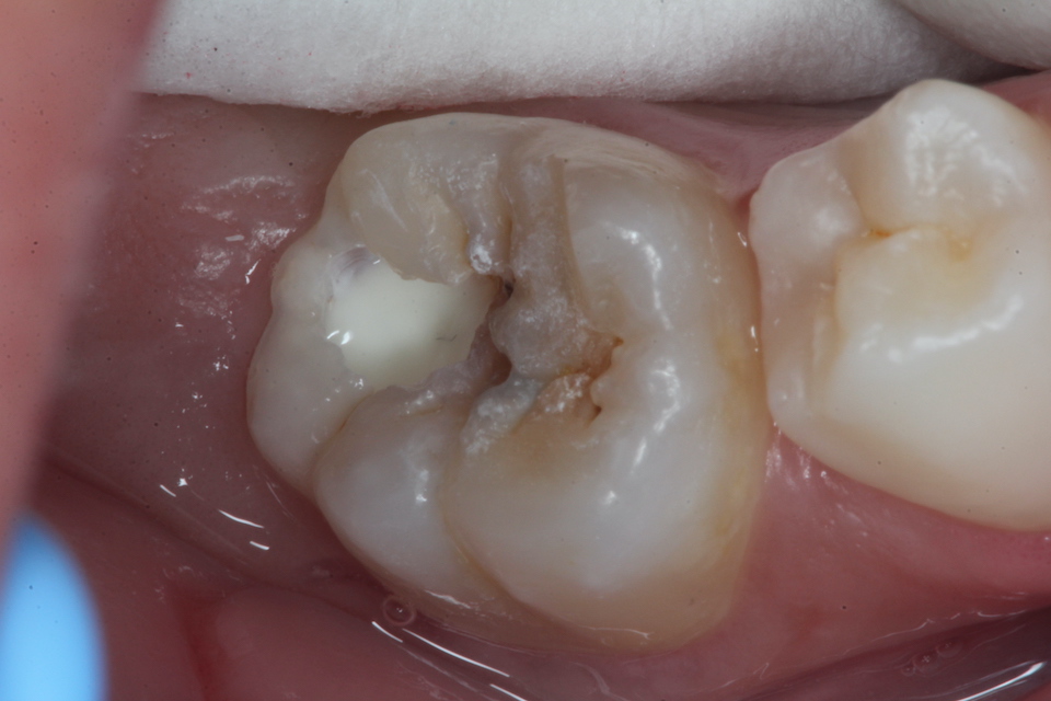
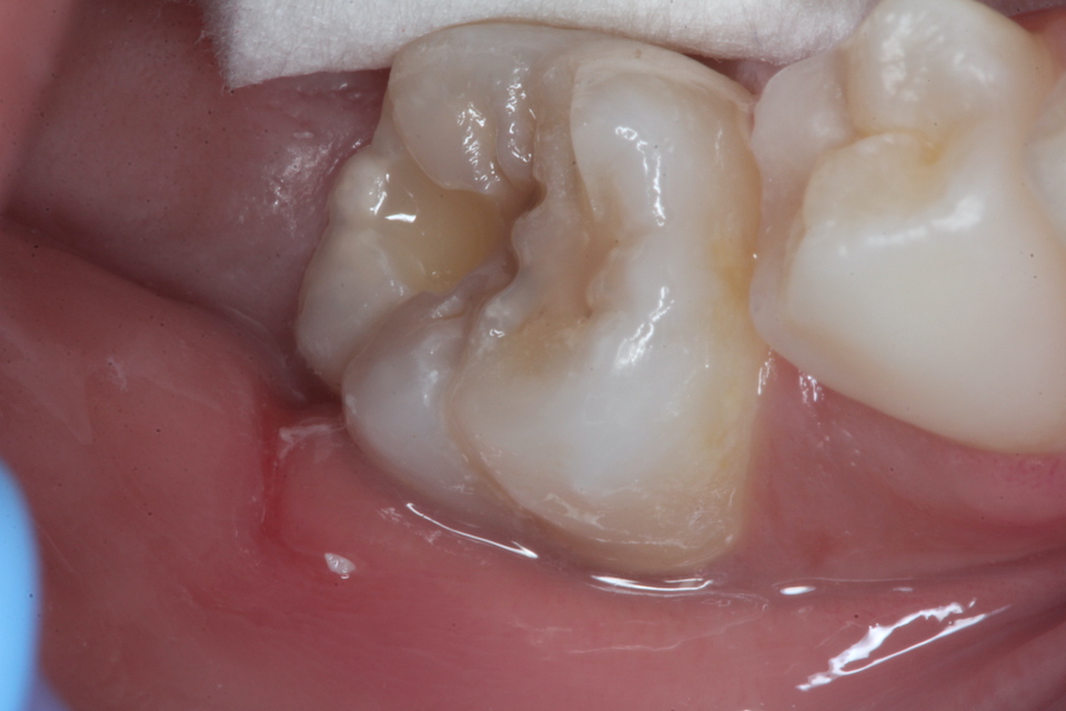
下顎7番の頬側歯茎部カリエスの原因 2025.06.04
PR
Keyword Search
New!
イィヴィ平野さん
Shige&HappyさんFreepage List
Calendar
Comments
Category