












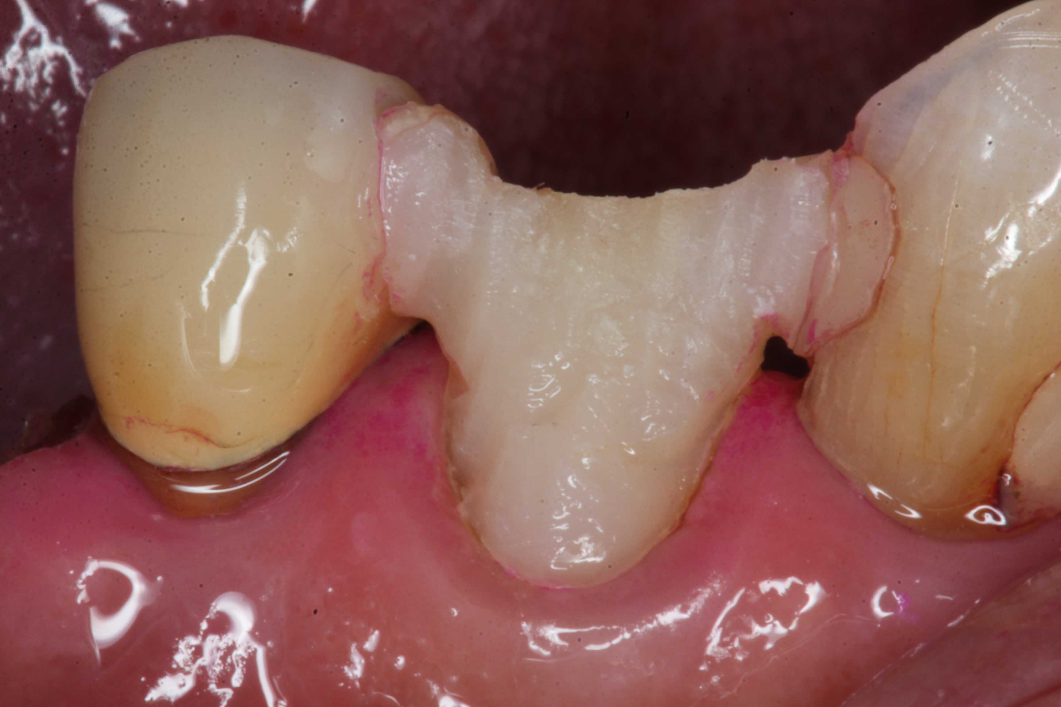
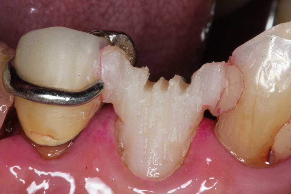
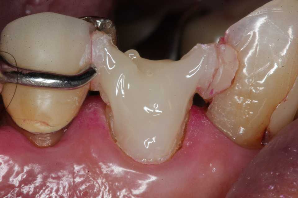
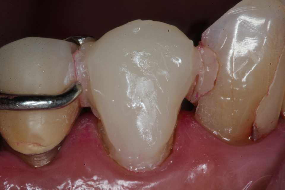
ブリッジ脱離で2次カリエス+Perでグラグ… 2025.11.01
ブリッジ脱離で2次カリエス+Perでグラグ… 2025.10.31
よく分からない症例 2025.10.10
PR
Keyword Search
Shige&HappyさんFreepage List
Calendar
Comments
Category