暖冬傾向で、ゴルフ場の予約が多い!
100万ポイント山分け!1日5回検索で1ポイントもらえる
>>
人気記事ランキング
ブログを作成
楽天市場
078007
HOME
|
DIARY
|
PROFILE
【フォローする】
【ログイン】
ぷくぷく家族
とま・もも 妊娠~誕生
2005年5月29日 AIH
6月12日 生理予定日
14日 検査薬にて陽性反応
15日 病院にて妊娠反応確認
21日 胎嚢が2つある
29日 もも心拍確認(とまはまだ「このまま駄目かもしれない」とのお言葉。かなりショックを受けた。)
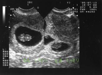
7月 6日7W3D やっととまの心臓が動いているのがわかりました。見えにくいですが下の小さな袋の中にいます。
7月13日8W3D
ジャンル別一覧
出産・子育て
ファッション
美容・コスメ
健康・ダイエット
生活・インテリア
料理・食べ物
ドリンク・お酒
ペット
趣味・ゲーム
映画・TV
音楽
読書・コミック
旅行・海外情報
園芸
スポーツ
アウトドア・釣り
車・バイク
パソコン・家電
そのほか
すべてのジャンル
人気のクチコミテーマ
子供服セール&福袋情報★
【2026年新春福袋】Jeans-b【ジーン…
(2025-11-26 12:04:06)
妊婦さん集まれ~!!
娘の腹帯祝いに夫婦鮑を探していまし…
(2025-11-22 06:19:53)
高校生ママの日記
高校三年生の進路決定について~vol.…
(2025-11-26 08:10:03)
© Rakuten Group, Inc.
X
共有
Facebook
Twitter
Google +
LinkedIn
Email
Mobilize
your Site
スマートフォン版を閲覧
|
PC版を閲覧
人気ブログランキングへ
無料自動相互リンク
にほんブログ村 女磨き
LOHAS風なアイテム・グッズ
みんなが注目のトレンド情報とは・・・?
So-netトレンドブログ
Livedoor Blog a
Livedoor Blog b
Livedoor Blog c
楽天ブログ
JUGEMブログ
Excitブログ
Seesaaブログ
Seesaaブログ
Googleブログ
なにこれオシャレ?トレンドアイテム情報
みんなの通販市場
無料のオファーでコツコツ稼ぐ方法
無料オファーのアフィリエイトで稼げるASP
ホーム
Hsc
人気ブログランキングへ
その他
Share by: