鍋・フライパンあれこれ美味
100万ポイント山分け!1日5回検索で1ポイントもらえる
>>
人気記事ランキング
ブログを作成
楽天市場
000000
ホーム
|
日記
|
プロフィール
【フォローする】
【ログイン】
PR
コメント新着
関ガス@
なるほど!
元バイク乗りのおばさんへ コメントありが…
元バイク乗りのおばさん@
Re:右鎖骨骨折・・・抜釘、まとめ(11/20)
それ、穴が塞がるまで折れやすくなってい…
関ガス@
仲間入りして!
HIGUCHI さんへ なにげに長野県はソフトク…
HIGUCHI @
ソフトクリームマップ【東北信エリア】完成!!(07/03)
ソフトクリームは一番好きなデザート。 楽…
関ガス@
お大事に!
竹中健次さんへ コメントありがとうござい…
竹中健次@
Re:右鎖骨骨折・・・抜釘、まとめ(11/20)
私も昨年鎖骨骨折を行なって、チタンプレ…
関ガス
@
お久しぶりです!
リコ(うりぼうセロー)さんへ コメント…
お気に入りブログ
ホンダショップナガ…
かずちゃん・さん
ROAD TO EGLI
eglitargetさん
侍 魂!
ゲキ渋さん
関ガスBASE
関GASさん
運び屋-Field
運び屋X4さん
サイド自由欄
★ブックマーク★
関ガスBASE
#84 yassy Blog
mosyo Blog
FIVE SPEED blog
日本メット連合HP
NAGANO日記
カレンダー
バックナンバー
2025年11月
2025年10月
2025年09月
< 新しい記事
新着記事一覧(全284件)
過去の記事 >
2013年04月27日
Ina Ride Vol.18 ・・・まさかの初転け(泣)
(24)
カテゴリ:
カテゴリ未分類
Ina Ride Vol.18
今シーズン初のサーキット走行、NEWツナギ
の慣らしを兼ねての練習ですよ~
長野を出発するときには雨でしたけど、伊那へ着く頃には
快晴になってました
やっぱり乗り始めはこうでないとねぇ♪
今シーズン初は夏の「もて耐」まで深いつながりのCBR250R号で、まずは練習っす。
少しでもマシンに体を慣らしておこうって思った次第です。
私の
NEWツナギ
をお披露目し、今日は使用しない
NEWメット
も見せびらかし(爆)
なんとっ
負けずにエロタマさんも左奥のNEWメットを投入
さらにツナギも
Sekky gas type1
レプリカモデル(黒/白ver)を新調しちゃってますよ
ヒョウドウのツナギは製作に数ヶ月はかかる代物。・・・って事は、
数ヶ月前からタマさんは注文し仕込んでたって事ですね。いや~いやらすい(笑)
さて、昼過ぎまでは順調に走り回ります
若干1名(伝説のライダー)がS字で転倒・・・改めて冷えたタイヤの怖さを教えてくれました
NEWツナギ
から、ちゃっかりボロい雨用ツナギへチェンジ!
うっ・・・久しぶりの50ccは恐かった(笑)
そんな楽しい時間が過ぎ、午後の2本目の走行はCBR250Rで。
今日は朝から風が非常に強く、午前中から何度か
突風が吹き荒れてまして・・・
コース脇のスポンジバリアが何度かコース内に突風で押し出されてました。
そんな状況の中、まさかの
悲劇
が。。。
タマさんは2ストの加速を活かしイン側を、私は非力なCBR250Rのスピードを落とさずアウトから最終コーナーを立ち上がり。
2台でストレートを加速
すると
突然
・・・私の目の前になぜか
緑色のスポンジバリア
がっ
↑上の
これ!
が、突風によって前方と真横から
2個
も動いてきまして
ほんと未だに信じられないのですが、
動いてはいけないハズ
のスポンジバリアが1つはコースを塞ぎ、もう1つはマシンを真横から押すかたちで接触し・・・
何もできずに
転倒~
前転するかたちで転んだせいで、右肩と頭を強打し、最初は何が何だか解りませんでした。
転がってるマシン・・・、後方を見ると緑色のスポンジバリアが2個コース上に転がってて・・・
体の痛みに耐えながら、ようやく状況が解った感じです
これ!(スポンジバリア)が動いて来るって、ありえませんよね。普通は?
と声を大にして施設管理者へ叫びたい気持ちもありますが、今は避けられなかった自分が悔しいです。
この転倒により走行時間を失ってしまった方々、マシンや飛び散ったパーツを片付けてくれた方々、マシンを積み込んでくれた方々、この場を借りてお詫び申し上げます。
幸いマシンの方はスポンジバリアにぶつかった事もあり、わりと軽傷です。
ただ体の方が転倒により、右肩から落下したせいで怪我をしてしまいました
帰宅後に緊急医で診察してもらうと、さらに救急センターへ移され・・・
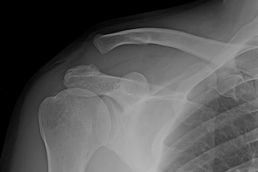
整形外科の先生から、右肩を
「
肩鎖関節脱臼・3型
」
と診断されました
この一番右の
3型
です
3本の靱帯が断裂して鎖骨が脱臼しちゃったらしい・・・
現在は右肩が全く使えません。肘と手は普通に使えますが腕が上がりません。
右手で携帯より重い物は持つと肩が痛いです。
どーなるんだ、これから???
8月末の「
もて耐
」には参戦できるのか?(本人は参戦する気でいますけど)
とりあえず、ブログを更新できるほど元気です!!
あと
奇跡的にまたも
NEWツナギ
だけ・・・は無事です(苦笑)
お気に入りの記事を「いいね!」で応援しよう
いいね!
0
シェアする
最終更新日 2013年04月30日 03時05分41秒
コメント(24)
|
コメントを書く
< 新しい記事
新着記事一覧(全284件)
過去の記事 >
ホーム
フォローする
過去の記事
新しい記事
新着記事
上に戻る
【毎日開催】
15記事にいいね!で1ポイント
10秒滞在
いいね!
--
/
--
次の日記を探す
おめでとうございます!
ミッションを達成しました。
広告を見てポイントを獲得する
※「ポイントを獲得する」ボタンを押すと広告が表示されます。
x
エラーにより、アクションを達成できませんでした。下記より再度ログインの上、改めてミッションに参加してください。
ログインする
x
X
© Rakuten Group, Inc.
X
共有
Facebook
Twitter
Google +
LinkedIn
Email
Design
a Mobile Site
スマートフォン版を閲覧
|
PC版を閲覧
人気ブログランキングへ
無料自動相互リンク
にほんブログ村 女磨き
LOHAS風なアイテム・グッズ
みんなが注目のトレンド情報とは・・・?
So-netトレンドブログ
Livedoor Blog a
Livedoor Blog b
Livedoor Blog c
楽天ブログ
JUGEMブログ
Excitブログ
Seesaaブログ
Seesaaブログ
Googleブログ
なにこれオシャレ?トレンドアイテム情報
みんなの通販市場
無料のオファーでコツコツ稼ぐ方法
無料オファーのアフィリエイトで稼げるASP
ホーム
Hsc
人気ブログランキングへ
その他
Share by: