毒多ぁ亀山の小児科日誌

毒多ぁ亀山の小児科日誌

PR

プロフィール

毒多ぁ亀山

毒多ぁ亀山

カレンダー

カテゴリ

カテゴリ未分類

(0)

食物アレルギー

(397)

蕁麻疹・紅斑・紫斑

(211)

溶連菌

(173)

花粉症

(148)

化学物質過敏症

(71)

講演会と著書

(16)

インフルエンザ

(156)

メタボリック・生活習慣

(71)

気管支喘息

(128)

アトピー

(495)

嘔吐・下痢・感染性胃腸炎

(66)

ホメオパシー

(5)

心・ストレス

(107)

タバコ・テロ・犯罪

(41)

薬物・薬効・薬害

(209)

電磁波・放射線・レントゲン

(30)

眼・視力・視能訓練士(ORT)

(6)

軟膏・クリーム・外用剤・殺菌消毒

(20)

ヘルペスウィルス

(32)

マイコプラズマ

(460)

麻疹

(11)

水痘

(16)

心臓・循環器・心電図

(6)

便秘・腸内環境・腸内細菌

(36)

鼻炎・中耳炎・気管支炎・耳鼻科

(48)

食品添加物・トランス脂肪酸・食の安全

(19)

地球環境・温暖化

(19)

冷え症

(65)

金属アレルギー

(62)

医療・制度・法律

(202)

皮膚感染症・殺菌・消毒

(159)

夏カゼ・エンテロウィルス・アデノウィルス

(12)

水・脱水・熱中症・日光・気候

(13)

夜尿・頻尿・遺尿

(5)

季節・自然・飛騨・風土・風習

(74)

ダニ・ホコリ

(47)

漢方・東洋医学・アロマ・まこも

(77)

胎児・胎内環境・発達

(8)

リウマチ・膠原病

(10)

哺乳・授乳・断乳

(18)

舌・味覚

(1)

外傷・医療材料

(1)

予防接種

(36)

離乳食

(9)

おたふくかぜ

(13)

レイキ

(1)

医師・教師・詐欺師

(14)

RSウィルス・百日咳

(26)

動物

(62)

口腔アレルギー症候群

(29)

フリーページ

バックナンバー

2025年11月
2025年10月
2025年09月
2025年08月
2025年07月

キーワードサーチ

▼キーワード検索

コメント新着

ぅにぃくら @ Re:☆白色ワセリンvs紫外線☆(10/08) とても参考になりました! 色々読んだ中で…
人間辛抱 @ Re:☆沖縄vsマイコ☆(06/28) どうもお久しぶりです。 新型コロナウイル…
うみひこ@ 緊急通報 コロナ重症化はインフルエンザ脳症に酷似する 亀山先生へ ご無沙汰しています。今回の…
ぴろろ@ Re:☆キウイで嘔吐☆(12/17) 毒多ぁは、なぜキウイをたべないのですか…
香害被害者@ Re:☆ファブリーズでぶっ倒れました!☆(09/01) ファブリーズは無香料の物でも危険です。 …
2016年09月15日
XML
カテゴリ: 動物
「9月に入ってから痒いんです」
「ハナノド赤いですね」
「柴とハムは大丈夫でしょうか?」
「犬(+4)ハムスター(+4)です」
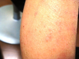
 生後5ヵ月から全身ガサガサで時々受診する、奥飛騨温泉郷T温泉の女の子。家族にアレルギーなし。柴1名ハムスター1名。
 生後9カ月:IgE:31、卵白2(2.96)、ダニ・犬・ミルク・小麦・ソバ・大豆・ジャガイモ・サバ・バナナ≦0.34
 1才7ヵ月:IgE:20、卵白1(0.46)、ダニ0.29、HD0.26、犬0.17、卵黄0.11、猫・ミルク・小麦・胡麻・ピ-ナッツ・大豆・アボカド・オボムコイド<0.10
 2才9ヵ月:IgE:107、HD3(5.21)、ダニ3(5.19)、犬3(4.36)、卵白・卵黄・杉・ミルク・小麦・大豆・ヒノキ・バナナ・オボムコイド<0.10
 今月になってから急に体部<上肢<下肢ガサガサブツブツがひどくなったので、柴1名とハムスター1名との同居が不安になり、検査希望で受診しました。

 柴+ハム+衣替え(ダニホコリ)+溶連菌orマイコのトリプルパンチでした。奥飛騨の冬。恐い恐い。
 奥飛騨名産には、温泉と熊の他に、バナナ、キャビア、スッポン、などもあります。恐い恐い。
8567_20160913_001.JPG
8567_20160913_003.JPG
8567_20160913_004.JPG
AD+皮膚感染症





お気に入りの記事を「いいね!」で応援しよう

最終更新日  2016年10月14日 03時30分58秒
コメント(0) | コメントを書く
[動物] カテゴリの最新記事


【毎日開催】
15記事にいいね!で1ポイント
10秒滞在
いいね! -- / --
おめでとうございます!
ミッションを達成しました。
※「ポイントを獲得する」ボタンを押すと広告が表示されます。
x
X

© Rakuten Group, Inc.
X

Design a Mobile Site
スマートフォン版を閲覧 | PC版を閲覧
Share by: