全7936件 (7936件中 1-50件目)

70代女性、右下54、CR脱離、外傷性咬合(右側で食べる)右下5は7年前にメタルインレーが脱離したので、CR:ダイレクトボンディングで修復したのだが、今回は右下4のインレー脱離の症例。7年前の画像があれば探してみたいと思います。頬側の外傷性にCRの劣化や歯根面のWSDや摩耗が進んでいることが分かると思う。今回は脱離した右下4の咬合面CRと右下54の頬側の補修の画像をアップします。まずは4番から。続けて5番の頬側CR
2026.02.19
コメント(0)

60代女性、左上5、インレー脱離ストリップス(隔壁、マトリックス)を使わないで隣接面をCRで作るというのは常識外で、一般には行われていないと思います。この技術は僕のオリジナルなのですが、慣れれば難しくはありません。フロアラブルレジンと歯質間のヌレと表面張力と重力の狭間でコントロールします。最後の隣在歯とのコンタクトポイントは接触させますが、隣接面間の弧形空隙にエキスカベーターを入れこじると剥がれます。使用材料器具や方法はフリーページにまとめています。この技術をマスターすれば、ストリップスが使えない最後臼歯のCR充填などのスーパーテクニックができるようになります。何よりその場で治療が終わりますので患者には感謝されるし、外注は要らないので経費は最小限、必要なのは自分の技量だけです。では時系列でどうぞ3MIX+α-TCP これで虫歯が治る。フロアラブルレジンを歯肉側から積み上げていく、はみ出たレジンは細い探針で残った歯面に沿わせて掬い上げるように整える。エキスカでこじるとパキッと離れるので、バリを鎌型スケーラーで整え、デンタルフロスを通す。
2026.02.18
コメント(0)

60代女性、左上5、インレー脱離ストリップス(隔壁、マトリックス)を使わないで隣接面をCRで作るというのは常識外で、一般には行われていないと思います。僕だけのオリジナルなのですが、慣れれば難しくはありません。フロアラブルレジンと歯質間のヌレと表面張力と重力の狭間でコントロールします。最後の隣在歯とのコンタクトポイントは接触させますが、隣接面間の弧形空隙にエキスカベーターを入れこじると剥がれます。使用材料器具や方法はフリーページにまとめています。この技術をマスターすれば、ストリップスが使えない最後臼歯のCR充填などのスーパーテクニックができるようになります。何よりその場で治療が終わりますので患者には感謝されるし、外注は要らないので経費は最小限、必要なのは自分の技量だけです。では時系列でどうぞ
2026.02.18
コメント(0)

60代女性、右下6、インレー2次カリエス、温冷痛+通常の治療法ではインレーの再製作も、ここでやっているようなCR:ダイレクトボンディングのスーパーテクニックもできないので、神経を取ってジルコニアクラウン(できれば儲かるので)を装着する一択になっている。削り散らかすのでほとんど歯根以外はなくなる。次はないかもしれない。回数もコストもかかるので患者も大変だ。ところがCR:ダイレクトボンディングでの修復技術をマスターすればその場で終わることができるので、1回で済む。もちろん自費でお願いすれば、ジルコニアクラウンに劣らない収入にもなる。もちろんワンオペでもできるので、経費は最小限だ。何より歯が新しく生えたように見えるので、患者は大感激だ。α-TCPを使えば軟化象牙質も自然修復するし、痛くなりにくいので使うしかないだろう。ドック・・とか話にならない。
2026.02.17
コメント(0)

もっとアルミ部材は多いのだけれど、こんな感じ。
2026.02.16
コメント(0)

70代男性、右上5、CR破折高齢化すると歯も通常治療に耐えられなくなってくる。連結固定して咬合力に耐えるようにするしかない。歳を重ねても食べたいものは変わりません。つい硬いものも食べたくなります。治療する側からすると、これが一番つらい。治療してもすぐに壊れる。しかし、その場限りでもどうにかするしかない。通常は抜いて入れ歯なのだろうが、その入れ歯を作ってくれる技工士が少子高齢化でいない。僕も高齢化で作るのがしんどい。どこまで耐えられるのだろう。こっちも。
2026.02.16
コメント(0)

40代男性、右上7、咬合性外傷(食いしばり)、近心隣接面カリエス、自発痛++自治体職員で今回の選挙で駆り出され、痛くて眠れないほどなんだが、歯医者に行く時間も取れなかった。。この方、食いしばりがひどく、隣接面クラックから虫歯になるタイプだ。表面からはよく見えないので、気が付いたら深く虫歯が進行している。レントゲン写真では7番は歯髄に虫歯が達しているように見える。6番の遠心にもまだ症状の出ていない虫歯が見える。8番のDEジャンクションにも虫歯が始まっている。次回は6番の処置だが、7番の処置後に抗生剤を処方した。これで治らない時は再度露髄させて処置をする。強調しておくが、基本麻酔は使わない。患者の痛みは重要なセンサーになる。痛みが出てきたらそれ以上削る必要はないと考える。今日は痛くなっている7番からの処置だ。ちょっとだけ虫歯の穴が見えるが内部に大きく広がっている。歯科衛生士のSPT時にも見逃してしまう。咬合面からは見えない。歯肉縁下なので、辺縁隆線を大きく削除しないと虫歯が見えない。赤い部分は露髄しているところ。止血を確認して3MIX+α-TCPで直覆する。α-TCPが硬化したらCR:ダイレクトボンディングでフィニシングラインから積み上げていく。ストリップスも使わずどうやってCR充填するのか一般の歯科医師には分からないかもしれないが、ま、やればできるということは分かると思う。ストリップスを使う方が難しいということははっきりしている。デンタルフロスが入ることを確認して終わる。
2026.02.15
コメント(0)

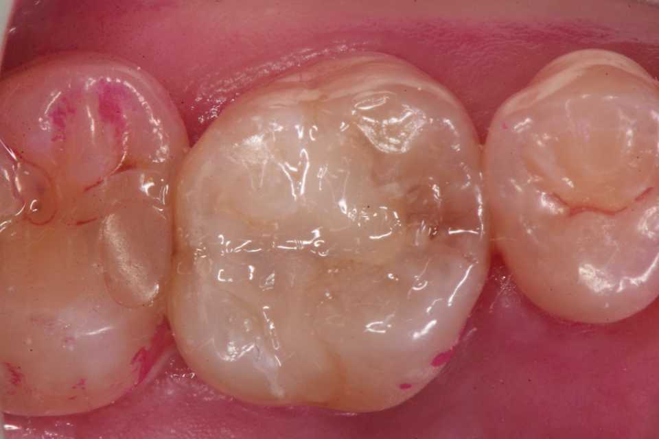
50代男性、右下7、インレー脱離今日も疲れたので、簡単な症例で。こういう咬合面だけのCR:ダイレクトボンディングは難しくないので、どこの歯科医院でもやっていると思う。必要もないのに黒い点や筋(着色)を虫歯と言い張って削って埋めるときにもやっていると思います。before2次カリエスやセメントが残っています。on the way綺麗にします。after虫歯がないのでα-TCPは使っていません。CR充填だけです。
2026.02.14
コメント(0)

https://www.city.saga.lg.jp/main/3852.html歴史には興味があるので見学に行ってきました。https://sano-mietsu-historymuseum.city.saga.lg.jp/幕末の日本の工業化・近代化の黎明期の遺物が展示してあり、学芸員?さんにも付きっきりで解説していただいて、大スクリーンで解説ビデオも充実していてとてもいい勉強になりました。ここはドライドックと呼ばれる現存日本最古の洋式船の製造・メンテナンスドックで、潮の干満差を利用して船を入れるそうです。プレハブが立っている辺りがドライドックのあった場所で、現在も発掘作業?が続いているようです。次回訪問予定地は長崎の出島跡予定。
2026.02.14
コメント(2)

10年前のこの時のつづきhttps://plaza.rakuten.co.jp/mabo400dc/diary/201607180001/https://x.com/i/status/2022337981848404079黒川君?も怪しいけど。。流石にバレ始めましたね。https://x.com/i/status/2022234302197403887出典 Wiki
2026.02.14
コメント(2)

50代女性、左下1、Per(根尖性歯周炎)、GA(歯肉膿瘍)有り神経を取ると根管にバイ菌が入ってPerになる可能性が高い。どうせ上手くいかない可能性が高いのだから最初から神経を取るなどということはするべきではない。どうすれば神経を取らずに済ませることができるかはこのサイトで嫌になるほどアップしている。この歯も外傷で折れたわけではないらしいので、前医がCR充填で済ませられるところを神経を取って冠を被せて儲けようなどと色気を出したのだろう。挙句に治療はできませんので抜歯になりますと言われたそうだ。ここでご紹介している方法を使えば面倒な根管治療は不要になる。多くのエンド専門医は露頭に迷うことになるが、これさえあれば楽勝。歯科業界で昔からささやかれている「伝説の根管治療法」を敢えて完全無料でご紹介する。今回は患者さんから本当に治ったのか?レントゲンを撮ってください、ということだったので、ご供覧。治療前治療5ヶ月後 、病巣は小さくなってきている。GAも消えている。信じられないだろうが、3MIX+α-TCPを根管充填材の上に置くだけで治る。根尖付近が腫れている。(実像)舌側からアクセスする(鏡像)既存の根管充填材を全部除去する必要はない。そこまで届けば良いだけだ。なぜなら根管充填材と根管壁の間には思われている程の緊密性はなく隙間があり、そこから細菌が侵入して根尖に病巣ができるのだから、逆にその隙間から抗菌剤を届かせることができるわけだ。神経を取った根管を綺麗に消毒して緊密に根管充填すれば問題は起こらないというのは幻想に過ぎない。歯科材料間や歯質との間には必ず隙間が存在する。3MIX+α-TCPを根管充填材の上縁まで届かせることができればよい。3MIXの作り方はこちら。α-TCPの入手法はこちらCRで充填する。今のところCR+ボンディング材が最も辺縁封鎖性に優れている。
2026.02.13
コメント(0)

50代女性、左下1、Per(根尖性歯周炎)、GA(歯肉膿瘍)有り神経を取ると根管にバイ菌が入ってPerになる可能性が高い。どうせ上手くいかない可能性が高いのだから最初から神経を取るなどということはするべきではない。どうすれば神経を取らずに済ませることができるかはこのサイトで嫌になるほどアップしている。この歯も外傷で折れたわけではないらしいので、前医がCR充填で済ませられるところを神経を取って冠を被せて儲けようなどと色気を出したのだろう。挙句に治療はできませんので抜歯になりますと言われたそうだ。ここでご紹介している方法を使えば面倒な根管治療は不要になる。多くのエンド専門医は露頭に迷うことになるが、これさえあれば楽勝。歯科業界で昔からささやかれている「伝説の根管治療法」を敢えて完全無料でご紹介する。基本的には根管内は不用意に触らず、3MIX+α-TCPを使うということだ。残っている歯髄も再生する。根管内にある既存の根管充填材を無理に除去する必要もない。α-TCPは入手困難になっているようだが、どうだろうか?僕が作ったもので良ければ頒布しても良いが?この時のつづきで、さらに半年後のレントゲンを撮ってみた。https://plaza.rakuten.co.jp/mabo400dc/diary/202508050000/舌側の腫れは無くなったが、外側にポチポチ白いのが見えるのが気になるということだった。押して痛いということはなくなっている。前医に抜くしかないと言われたのがトラウマになっているようだ。2025/02/032025/08/042026/02/10これが処置から1年後のレントゲン写真だ。さらに根尖の影は小さくなっている。実像。前回の記事と見比べて欲しい。
2026.02.13
コメント(0)

50代女性、左下1、Per(根尖性歯周炎)、GA(歯肉膿瘍)有り神経を取ると根管にバイ菌が入ってPerになる可能性が高い。どうせ上手くいかない可能性が高いのだから最初から神経を取るなどということはするべきではない。どうすれば神経を取らずに済ませることができるかはこのサイトで嫌になるほどアップしている。この歯も外傷で折れたわけではないらしいので、前医がCR充填で済ませられるところを神経を取って冠を被せて儲けようなどと色気を出したのだろう。挙句に治療はできませんので抜歯になりますと言われたそうだ。ここでご紹介している方法を使えば面倒な根管治療は不要になる。多くのエンド専門医は露頭に迷うことになるが、これさえあれば楽勝。歯科業界で昔からささやかれている「伝説の根管治療法」を敢えて完全無料でご紹介する。基本的には根管内は不用意に触らず、3MIX+α-TCPを使うということだ。残っている歯髄も再生する。根管内にある既存の根管充填材を無理に除去する必要もない。α-TCPは入手困難になっているようだが、どうだろうか?僕が作ったもので良ければ頒布しても良いが?この時のつづきで、さらに半年後のレントゲンを撮ってみた。https://plaza.rakuten.co.jp/mabo400dc/diary/202508050000/舌側の腫れは無くなったが、外側にポチポチ白いのが見えるのが気になるということだった。押して痛いということはなくなっている。前医に抜くしかないと言われたのがトラウマになっているようだ。2025/02/032025/08/042026/02/10これが処置から1年後のレントゲン写真だ。さらに根尖の影は小さくなっている。実像。前回の記事と見比べて欲しい。
2026.02.13
コメント(0)

当時40代男性、咬合性外傷(常時食いしばって?嚙み鳴らして?いるのを普通でむしろいいことだと思い込んでいた)臼歯部に多数のクラック、歯冠・歯根破折、2次カリエスが認められた。この時のつづきで、コロナ騒動を挟んで4年後のお話です。とうとう左上7が壊れたという前々回の記事と、前回の記事の右下7が腫れたという件。https://plaza.rakuten.co.jp/mabo400dc/diary/202602090001/近心頬側付近にフィステルがあり、歯髄に感染しているように見える。痛みはない。CRを除去してみたが、α-TCPは残っている。しかしひどく汚染していないように見える。汚染すると茶色の色素沈着が見られるようになる。α ーTCPを除去いていくと、出血した。近遠心根共に生きている。近遠心的にクラックが見えるが、歯髄は生きていて出血も止まったので、このまま3MIX+α-TCPで直接覆髄して経過観察することにした。CRで充填する。
2026.02.12
コメント(0)

当時40代男性、咬合性外傷(常時食いしばって?嚙み鳴らして?いるのを普通でむしろいいことだと思い込んでいた)臼歯部に多数のクラック、歯冠・歯根破折、2次カリエスが認められた。今日はこの時のつづきで、コロナ騒動を挟んで4年後のお話です。とうとう左上7が壊れたというのと、別記事になるのだけれど右下7が腫れたという件で来院された。https://plaza.rakuten.co.jp/mabo400dc/diary/202602080001/今日の記事はこの時の抜歯・再植を参考にされるとよく分かると思う。https://plaza.rakuten.co.jp/mabo400dc/diary/202602070000/まずレントゲン写真では近心部分が壊れて虫歯になっている。上のリンク記事の術後のレントゲン写真と見比べると問題範囲が分かると思う。口蓋側頬側面観。かなり壊れている。神経(歯髄)が無くなった歯は神経がある歯よりも歯質が脆くなっているので、崩壊が早い。補強連冠がなかったらとっくにバラバラになって崩壊していただろう。神経がなくなると歯は枯れ木状態になるので長持ちしない。特に外傷性咬合があり微小クラックがたくさんあるといわゆる金属疲労現象で崩壊する。なるべく歯髄は保存しないといけない理由だ。これは前回再建した時の破片だが、今回はCR:ダイレクトボンディングで修復することにしたので使わない。虫歯を除去して新鮮歯質を確保する。歯肉縁下だがフィニシングラインを明示する。後はCRで充填していくだけだ。トリミングして今回は部分修復で終わる。これで崩壊が止まるというわけではないが、先送りすることはできる。6
2026.02.11
コメント(0)

ネットで拾った上の画像は昭和45年頃(56年前)の居酒屋さんのメニュー価格が分かるのだけれど、今の概ね1/10の価格だった。物価は10倍になっているということだ。しかし、以下のサイトが詳しいのだけれど、日本の歯科の保険での診療報酬はこの頃から低く抑えられていて、2倍程度にしかなっていない。物価には全くスライドしていないのだ。https://www.kawasemi-dc.jp/_cms/8400/今も諸外国と比べてみると1/10〜1/5の価格でしかない。その間日本の経済発展がなかったとか、そもそもアメリカが高いのは保険会社が半分持って行くからという話もあるが、日本の歯科診療費が安すぎるのは分かると思う。これだけ安いと保険診療では少なくとも物価の高い都市部では歯科医院の経営は成り立たず、歯を削り倒してお高い自費治療に無理やり誘導するとか、波動なんとかとかバイオインプラントとか怪しい詐欺師が跳梁跋扈している。特に都市部では人の歯がお金に見えると言う魔境になっている。CR充填(うちでやっているスーパーテクニックではない)は20年以上前から3000円くらいの診療報酬であまり変わらないだけではなく、初診が変わっても6ヶ月間は保険請求できないとか、メンテナンス中は再治療しても保険請求できないとか、国も医療費抑制にやりたい放題というのが現状です。以下引用掲載
2026.02.10
コメント(0)

当時40代男性、咬合性外傷(常時食いしばって?嚙み鳴らして?いるのを普通でむしろいいことだと思い込んでいた)臼歯部に多数のクラック、歯冠・歯根破折、2次カリエスが認められた。https://plaza.rakuten.co.jp/mabo400dc/diary/202602080001/前回から1年ちょっと経過、2022/04/15のことだった。前回は左上7の破折だったが、今のところ問題は生じていない。今回は右下7の破折。非常に沁みるか痛みがあるのだと思う。他院でのCRが見える。CRを除去してみると近遠心的にクラックが見える。クラックは遠心根に達している。クラックを追求してみると露髄した。ちなみに麻酔は使っていない。麻酔は健全歯質を削る時だけに必要なのだ。近未来の歯科治療には基本的には不必要だ。止血してα-TCPで直覆。硬化液は酸性だが問題ない。クラックは遠心から舌側に及んでいる。かなり厳しい。このままだと早期に離断する。CR:ダイレクトボンディングで歯冠修復する。ここで推奨しているボンディング材は漏洩がないことを十分に検証している。フリーページ内に紹介していると思う。補強冠の形成・印象補強冠セットで経過観察。つづく
2026.02.09
コメント(0)

まぁ、世界的な流れから言うと、そういうことだと思います。日本は仕組まれたストーリーに乗って流されていると言えるでしょう。最悪日本はウクライナ化します。以下参照https://plaza.rakuten.co.jp/condor33/ーーー以下一部引用ーーー 2月8日は衆議院議員総選挙の投票日だった。イギリスとアメリカの金融資本を中心に動いてきた世界の秩序が崩れつつある中を日本はどのように進むのかを決めなければならなかったのだが、日本は崩れつつある米英金融資本への従属を強める道を選んだようだ。中略そして昨年11月7日、高市早苗首相は衆院予算委員会で「台湾有事」について問われ、「戦艦を使って、武力の行使も伴うものであれば、これはどう考えても存立危機事態になりうるケースだ」と発言した。歴代の日本政府と同じように高市首相も「ひとつの中国」を受け入れているので、彼女の発言は中国で内戦が始まった場合、日本は中国に対して宣戦布告するという意味になる。干渉戦争だ。これを「失言」で片付けようとする人もいるが、質疑の流れから考えても確信犯であり、台湾での動きと連動しているだろう。 米英金融資本が支配する帝国主義体制は崩れようとしている。中国やロシアに押されているのだが、米英の支配層はその体制が崩れても自分たちが世界支配の主導権を握ろうと必死だ。日本はその戦いの真っ只中にいる。来たか、、、!!
2026.02.09
コメント(2)

機械室の床のレベル出し用の部材(レベリングフットベース)の数をケチったらアルミフレームが撓んでレベル出しが困難ということが分かって部材を追加発注したのだが、在庫品があるわけではなさそうで受注生産に近いのだろう。4日以内に発送と言っているので、その間作業ができない。仕方がないので、第2世代試作機の磁気回路を組み立てて磁束密度を測ってみた。300mT程度。指を詰めるので取扱注意。
2026.02.08
コメント(0)

当時40代男性、咬合性外傷(常時食いしばって?嚙み鳴らして?いるのを普通でむしろいいことだと思い込んでいた)臼歯部に多数のクラック、歯冠・歯根破折、2次カリエスが認められた。前回のつづきで3ヶ月後、再植歯が生着したようなので補強連冠で連結固定した。https://plaza.rakuten.co.jp/mabo400dc/diary/202602070000/今日は印象(型取り)から技工作業、口腔内セットまでつづく
2026.02.08
コメント(0)

この方、モデラーなのでナイトガードの作成もできる。バキュームフォームと言われている技法でモデル業界では一般的だ。石膏模型も自分で型取りして作ったそうで、万能ですね。こんな方が歯科医師だったらと思う。使われている素材と道具はアルミパンチングメタル板、ヒートガン、掃除機
2026.02.08
コメント(0)

当時40代男性、咬合性外傷(常時食いしばって?嚙み鳴らして?いるのを普通でむしろいいことだと思い込んでいた)臼歯部に多数のクラック、歯冠・歯根破折、2次カリエスが認められた。前回のつづきでその2年半後、2020/12/17のことだった。https://plaza.rakuten.co.jp/mabo400dc/diary/202602050000/とうとう、左上7の破折線が離断してしまったので、抜歯・再植することにした。レントゲン写真でのbefore/afterbeforeafter破折して浮いているが、補強冠で抑えているので着いている。結局全部抜いた。綺麗にして再建する。根尖口もスーパーボンドで塞ぐ。プラモデルも上手なので、こんな方が歯科医師になったら良いと思う。抜歯窩に挿入・固定つづく
2026.02.07
コメント(0)

寒くなる明後日には外の作業が辛くなるので、今日は朝から機械室のレベル出しとか薪ストーブの煙突掃除とかをやって疲れたので、臨床系の記事はお休みです。アルミフレームにはレベル出しのための部材(レベリングフットベース)が用意されている。
2026.02.06
コメント(0)

カーポートはできたので、機械室を作る作業に入る。完成予想図を描き込んでみた。アルミフレームは30×30mmのもの。基礎部分だけアルミフレームを並べてみた。床スラブには傾斜が付けてあるので、調整が必要になる。
2026.02.05
コメント(0)

当時40代男性、咬合性外傷(常時食いしばって?嚙み鳴らして?いるのを普通でむしろいいことだと思い込んでいた)臼歯部に多数のクラック、歯冠・歯根破折、2次カリエスが認められた。前回のつづきで、2018/09/27同日の左上7の歯牙破折症例、口蓋側歯肉腫脹だが、クラックは完全離断していない。歯髄も生きていたので保存処置をして経過観察。https://plaza.rakuten.co.jp/mabo400dc/diary/202602040000/他院でCR:ダイレクトボンディング処置がされていた。露髄している。麻酔は使っていない。歯肉縁上のクラック部分を開拡した。多少でも漏洩を防ごうとしている。露髄と言うより歯肉息肉口蓋近心咬頭が破断寸前だ。3MIX+α-TCP 2回法CR:ダイレクトボンディングで充填処置。漏洩が最も少ない充填方法だ。インレーなどのセメント合着型の修復は早期に漏洩が起こり失敗する。補強冠を装着する。これで経過観察。2年半後に口蓋近心咬頭が破折して来院される。
2026.02.05
コメント(0)

当時40代男性、咬合性外傷(常時食いしばって?嚙み鳴らして?いるのを普通でいいことだと思い込んでいた)、臼歯部に多数のクラック、歯冠・歯根破折、2次カリエスが認められた。当時の症状など詳しいことは記憶に定かではないが、画像を辿ればある程度の想像はつくと思う。今回数年振りに来院されたので、最初の来院時からの経過を見てみたいと思った。2018年の最初の来院時の記事は失われているので、当時の画像を再掲してみたいと思う。2018/09/27から翌日にかけての画像で、右下6と左下6の治療途中のものだ。左下6のインレーは2次カリエスでCR:ダイレクトボンディングで修復している。右下6は歯冠破折、CR:ダイレクトボンディングで修復した後、補強冠を装着している。右下6から時系列でどうぞ3MIX+α-TCP左下6
2026.02.04
コメント(0)

40代男性、左上7、インレー脱離 咬合面だけの小さな虫歯のCR:ダイレクトボンディング修復は歯科医師なら誰でもできるスーパーローテクなので、たまにはこういうのもあるということでアップしてみます。患者にしてみれば、どこがローテクなのかスーパーテクニックなのかは分からないと思うが。
2026.02.03
コメント(2)

前回のつづきで、https://mabo400.blog.fc2.com/blog-entry-7911.html技工室での作業で作ったのだが、バイトテーキングも要らない。咬合関係は口腔内の様子を見て憶えればOK。難しければ口腔内写真で代用可能だ。技工所に外注に出すのではなく、全て自分で作るのだから当然だ。人の手が変わるとそこに大きな断絶が生じる。ここにインターフェイスが必要になるわけなのだが、これが足枷になる。補強冠は咬合面を削らないので、咬合関係が失われないということも大きい。高騰し続けている金属使用量も少ない。患者も術者も国家財政もみんなWinWinWinだ。今日口腔内セットをしたのだが、写真を撮り忘れた。。
2026.02.03
コメント(0)

50代女性、左下7、Per、咬合性外傷(食いしばり)、動揺度2、自発痛+++無茶苦茶痛くて眠れない、ご飯も食べられない。涙を流しながら、どうにかして〜と仰るが。通常治療法で治るとは思えない。抜歯になると思うが、食いしばりもあるので、今度は隣の歯がドミノ倒しのようにやられて、もっとひどいことになる。ここで踏ん張らねば!6番の近心根の根尖部に陰影がある。頬まで腫れている。遠心の歯茎部付近にも陰影がある。虫歯か?クラウンとメタルコアを除去するのが大変、削り取る時の振動で痛いし、なかなか除去できない。お互い地獄!やっと取れたら、黒い部分にクラックだか穴だかがあり、その付近は虫歯になっている。内部は軽く脱灰が進んでいて、クラックも見える。根管充填材はなるべく取り除いて、3MIX+α-TCP+精製水で根管充填。2回目の3MIX+α-TCPは50%クエン酸水で1回目の上をカバー。たったこれだけで根管が詰まっていようとPerが治る。従来型の絶望的な何ヶ月かかっても治るかどうかも分からない根管治療をせずに済む。患者も術者も国もみんなWinWinWInなのだが、誰もしようとしないのが不思議だ。CRコアを築成。投薬して経過観察。1週間後、痛みは引いたそうなので、口腔内でCRで歯冠を作って様子見をすることにした。CRで歯冠を作れるようになれば歯科医師としては最強だろう。
2026.02.02
コメント(4)

フレームの切削加工はアルミや鉄の切子がたくさん出る。HS-10000やアナログのレコードプレーヤーがある大先生の部屋では加工したくない。機械室ができて、フレーム加工はそこに既存のミニフライスや新作予定の長尺フライスを設置してから行うつもり。それまで新作の振動板を切り出す算段をしていた。振動板やVPの加工には回転砥石を使うつもりなので、ルーターは横置きになる。従ってワークスペースは狭くなる。メーカーのアルミハニカムの仕様では大きさが1200mm×300mmなのでそれが入るようにスペーサーを何枚か用意することにした。アクリルの切板なのだけれど。
2026.02.01
コメント(0)

70代男性、右下765、咬合性外傷、動揺度2多分、歯応え系のナッツとかの食べ過ぎで抜けそうになった。6番の遠心根はそもそも耐用年数が過ぎていたので、ぽろっと取れた。これを型取りして補強連冠ブリッジを作成する。一般の方は型取りして作業模型を石膏で作るとか見る機会はないと思う。これが作業模型。これはワックスで鋳型を作るロストワックス法と呼ばれる技法で、成熟した技術だ。ワックスで作った蝋型を埋没材と呼ばれる石膏、リン酸塩系の型材に埋没し、700℃で焼成するとワックスが燃えてそこに空洞ができる。そこに金属を鋳込む方法だ。CAD/CAMで作るよりは遥かに複雑な形状でも精密に再現できる。CAD/CAMは金属ブロックを先端直径1mmの切削器具で削りだすわけなので、それより小さな形状は再現できない。従って、機械に合わせて歯を大きく削らなくてはならない。要するに薄くて複雑な形状の物は作れないのだ。これは誰も言わないが越えることのできない機械切削の大きな欠点だ。埋没前
2026.02.01
コメント(0)

70代男性、右下765、咬合性外傷、動揺度2なんだか長くなりそうで面倒なんだが、印象に残る記事ネタもないので。。この方8年前に右下6歯根破折で来院された。再植などやってなんとか持たせたのだが、右下765が咬合性外傷で動揺度2、抜けそうになっていた。ナッツ類が大好きだそうだ。止めますとおっしゃっていたのだが、また食べているような気がする。8年前の再植直後のレントゲン写真で、今回の写真。6番の遠心根はもう抜けている。。7番の根尖の陰影も強いので失活しているかもしれない。水平埋伏の8番(親知らず)もなんとかしたいが、抜くとなると7番も一緒に付いてきそう。右下7番からの処置に入る。麻酔は使っていないが、出血したので歯根部分は生きていた。歯冠部の歯髄はもう溶けている。歯根部の歯髄は生きていたので、止血して3MIX+α-TCPで直覆して、CRで充填修復した。時間切れで次の日の処置。6番の歯根を保存しようと思っている。歯冠を横からカットした。さらに近遠心を分割すると遠心根は取れた。近心根だけ虫歯の処置をCR:ダイレクトボンディングで行う。ついでに5番の2次カリエスの処置も行う。これで型取り。次回に続く。
2026.01.31
コメント(0)

庭に雑草として生えていた大根をおろしにして食べてみた。普通にうまい。ちょっと辛いので薬味系か。
2026.01.30
コメント(5)

防食処理をしてあるとは言え、杉材なので雨水が掛からないようにとりあえずアルミ複合板を置いてみた。エアー配管は面倒なので、エアコンプレッサーからの延長ホースで誤魔化そうと思う。 さっそく、エアータービンを作る前に水が出ない原因を探ってみようと思って開けてみて、水量調節ネジを回してみたら出た。ゴミだかサビだかが詰まっていただけだったのだろう。 次はこの対面にある壁に機械室を設置しようと思ってアルミフレームなどを発注しているがまだ揃わない。
2026.01.30
コメント(0)

40代男性、左上1、歯根破折ニンジンの天ぷらを齧ったら、パキッと言った、、前回のつづきhttps://plaza.rakuten.co.jp/mabo400dc/diary/202601290000/この歯は3度目の再植なんだが、予後は厳しいと思う。歯根膜はあまり残っておらず、持病もある。そんなに長くは持たないと思うが、ご本人の希望だから仕方がない。今日は抜歯窩に挿入・固定の予定。両隣接面にはあらかじめスーパーボンドを盛っておく。最後に押し込む時にちょっとだけ痛いらしい。両隣接面とスーパーボンドとCRで固定する。デュラシールで創面を覆う。投薬4日。1週間以内にデュラシールは除去しないと返って汚れる。
2026.01.30
コメント(0)

作業台を取り付けた。これからエアーと電気の配線をするつもり。またエアータービンが壊れたので明日までに作らねば。外作業のお供はSONY MS-3300 というMSステレオラジオ。1973年頃の製品なので53年前の製品。まだ現役で使える。
2026.01.29
コメント(0)

閲覧注意かな?ーーーーーーー40代男性、左上1、歯根破折ニンジンの天ぷらを齧ったら、パキッと言った、、この方、20年以上前に破折してこれで3回目の再植だ。最初は覚醒剤中毒者に殴られて折れたとか。2回目は詳細は忘れたけれど、やはり硬いものを食べて折れた。もう3回目は諦めたら?と言っても、どうしてもやってくれと言う。流石にこれが最後の再植だろう。ニンジンの天ぷらを齧って歯根は折れているし、CRは脱離している。口蓋側(裏面)から歯を押してみると隙間が見える。とりあえずCR修復と歯列固定して抜歯・再植の予約を取った。麻酔をかけて引っ張ってみると。。歯根はさらに割れている。歯根を抜去して、膿瘍を掻爬して、3MIX添加生食水で抜歯窩を洗浄。3パーツに分かれている。ドロドロ、、Perの原因の根尖口も開拡する予定。1番小さなカケラ1番大きなパーツを綺麗にしたところ。根尖口も開拡これは本体部分。これも新鮮面を出す。パーツが揃ったら、仮組みして組み立て手順を決めて、スーパーボンド筆積みで一挙に組み立てる。根尖口も埋める。次回再植。つづく
2026.01.29
コメント(0)

この時のつづきで20日後の画像が撮れたのでご紹介。https://plaza.rakuten.co.jp/mabo400dc/diary/202601220000/根管内に細菌感染していて、湾曲根管だし、これを通常の根管治療法で簡単に治せると豪語する歯科医師はなかなかいないだろう。いたとすれば詐欺師だと思う。ところが3MIX+α-TCPを使えば簡単に治せる。α、β-TCPは人工関節やインプラントの骨への接着に使われるのだが、虫歯の再生療法や歯内療法にもっと使われるべきだ。絶大な効果がある。1回目の治療前2回目の治療前2回目の治療の20日後。さらに良くなっている。
2026.01.28
コメント(0)

https://www.youtube.com/@rarakijp/videoshttps://www.youtube.com/watch?v=CbYZVRfd1K4この方は普通ではない。MIDIの打ち込みによるオリジナルの完全再現を目指されており、僕も1986年頃のNECのパソコンに付属していたMIDIのソフトで打ち込みを経験したことがあるが、とてもではないがここまで正確にはできない。テンポ、強弱、タッチ、ペダルの使い方、もう演奏者本人が聴いても、「えっ、これ僕の演奏??」と頭がパニクると思う。それほど常人離れをしている。そして、実はオリジナル録音よりも音のバランスが良い。キース ジャレットのケルン コンサート ライブ録音をオリジナルのCDと同時にかけて瞬時比較して聴いてみた。試聴環境はスピーカーはHS-1500改(L-301とMH-35の2WAY)のデジタルチャンデバminiDSPと定電流駆動アンプによるマルチチャンネルアンプ駆動システム。うちでは最も広帯域で音質も良いと思っているシステムだ。オリジナルCDは高域にピーク感のある音質で、低域の分解能が良くなくベースラインが聞き取りにくい。rarakiさんの音源はそれはなく全帯域フラットで、中低域の分解能も秀逸だ。408ファイルをアップされているので、是非お聴きいただきたい。オリジナルCDと違うところは演奏に関してはほぼ無いと言ってよく、音質も優れている。敢えて違いを挙げるとすれば、当たり前の話だが、演奏途中のキースのシャウト、ペダルを踏んだ時のドコドコ言う低域ノイズ、観客の拍手が無いこと位だ。一瞬のミスタッチ?の修正もしてあるような気もする。
2026.01.27
コメント(9)

40代女性、右下7、遠心カリエス痛みは無いとか。歯髄も死んでいるのやらいないのやら。親知らずが水平に寝っ転がっているとよくあるケースだ。通常は治療不能で親知らずと一緒に抜歯になる。こういう場合3MIX+α-TCP+CR:ダイレクトボンディングがないと保存治療は不可能だと思う。歯髄症状が出た時はまた3MIX+α-TCPで根管治療(歯髄再生治療)をするが、その時に親知らずは抜歯する予定。では時系列でどうぞレントゲン写真では7番の遠心半は失われている。我慢強い方で、あちこち沁みていたので、この歯が痛かったことは記憶にないそうだ。普通に痛かったと思うのだが。3MIX+α-TCPCR:ダイレクトボンディングシステムで充填していく。後ろの親知らずを抜歯する時点で7番の遠心の形態はもう少し綺麗に仕上げるつもり。
2026.01.27
コメント(0)

50代男性、右上6、咬合性外傷、歯冠破折、温痛++年末に欠けて、救急外来に行ったけれどセメント仮封だけでかかりつけに行ってください。と言われて、お正月は美味しいものは食べられなかった、、しおしお。ということだった。幸い露髄はしていなかったが、知覚のある象牙質は剥き出しになったので、ものすごく沁みる。前回ほどはひどくなかったので、https://plaza.rakuten.co.jp/mabo400dc/diary/202502230000/CRで修復して、補強冠を入れた。この方若い頃からボクシングとかやっていて、歯を食いしばっていたので、歯に疲労が蓄積している。いつ割れるか分からないので、補強冠は必須だと思う。では時系列でどうぞ欠けた歯を持参された。
2026.01.26
コメント(0)

70代男性、右下567ブリッジ破折別の方なのだが、この症例に近い。以前の普通のブリッジは2次カリエスでだめになったのでCRで再建した後に補強冠でブリッジを作ったが、それが壊れたので再作成するという症例。https://mabo400.blog.fc2.com/blog-entry-6138.htmlあまりにも通常の治療法と異なるので、素人さんにはもちろん玄人さんにもどうなっているのか分からないかもしれないのだが、時系列でアップしてみます。レントゲン写真では右下7に破折だか2次カリエスだかに見えるが。歯冠が破折しているように見えるが、咬合力でCRが剥がれている。既存のブリッジを外してみた。だいぶ前に脱離していたようだ。数年は持ったようだが、調べていない。次回にでも報告しよう。じじいになっても硬いものも食べたいし、加減して食べるということもない。しかし歯が深刻なダメージを受ける前に問題点が分かるので対処が容易になる。結局、歯は長持ちするということだ。CRが脱離している部分を除去して、またCR:ダイレクトボンディングで修復した。再形成して型取りした。技工作業で作った。ロストワックス法で銀合金のフレーム+ハイブリッドレジンでダミー部分を作る。口腔内セット。咬合面を残しているので咬合調整も時間が掛からず、元の咬合関係が損なわれない。希少な金属も節減できるし、作成も容易だ。患者も次の日にはできるの?ありがたい、、!と感謝される。経費も最小限なので国も助かる患者も助かるもちろん歯医者も、WinWInWinだw
2026.01.25
コメント(0)

この時から7年経過、現在24歳男性、左下6、Per、フィステル、咬合性外傷https://plaza.rakuten.co.jp/mabo400dc/diary/202204100001/この子は歯を食いしばって筋トレしたりする子なので、虫歯や歯牙破折のリスクが高い。後ろの7番の隣接面にも虫歯が見える。頬側歯肉が腫れたというのでアクセサリーポイントを造影剤代わりにレントゲン写真を撮ってみた。遠心根に問題があるようだ。開けて見ると、α -TCPがひどくはないが少し茶色っぽくなっていた。漏洩があったようだ。はっきりしないがクラックがあるようにも見える。このクラックが原因なら歯根破折で抜歯になるかもしれない。クラック部分拡大遠心根は失活していた。排膿も見られる。超音波洗浄のみ遠心根のみ3MIX+α-TCPを充填。一回目は精製水練り。二回目は50%クエン酸水練り。近心根は生きていた。近心舌側根は閉じていたが、頬側近心根は出血しているので分かる。出血しているところは歯髄が生きている。二回目α-TCP充填後はCRで充填して経過観察。
2026.01.24
コメント(0)

今日は母家の屋根スラブとカーポート屋根の間の隙間をアルミ複合板で塞ぐ作業をしていた。雨が降り出したので途中まで。これはDIYで。
2026.01.24
コメント(3)

ハイドロキシアパタイト(歯)の中を水素イオン:H+:プロトンが流れていくと言う、虫歯の電気化学説の基幹理論は東工大の八島先生と山口大の藤森先生等の研究グループによって明らかになった。それはハイドロキシアパタイト中の水酸基:OHによってH+がバケツリレーのようにハイドロキシアパタイト結晶中を運ばれていくというものだ。固体の中を荷電粒子が流れていくという研究は次世代蓄電池と言われる固体電池の研究そのものであり、現在最もホットな研究分野だ。歯科業界はこの画期的な論文を完全無視しているが、何か都合の悪いことでもあるのだろうか?今日はその論文を一挙に公開したい。題名は「ハイドロキシアパタイト中のプロトンの拡散経路と伝導メカニズム」
2026.01.23
コメント(0)

前回の続きで、https://plaza.rakuten.co.jp/mabo400dc/diary/202510120002/スペアリブを900℃で2時間焼成して、水洗、乾燥させたHApを56℃/min.1210℃で3時間焼成してα-TCPを作成した。というか生成したかという確認はできないので、分析をお願いしたいと思う。係留後急冷
2026.01.23
コメント(0)

これは2021/06/18の記事の再掲なのだが、フッ素がなぜ虫歯予防に効くのか?ということを電気化学的に考察している。フッ素がなぜ虫歯に効くとされているかということは理論的には未だ不明なのだが、ここでは世界で初めてその理由を述べている。虫歯とは水素イオンが歯牙のハイドロキシアパタイト中を通り抜ける(ハイドロキシアパタイトの水素イオン伝導性)ときにカルシウムから電子を奪い、そのカルシウムがイオン化して歯牙から溶出しハイドロキシアパタイトの構造が壊れるということなのだが、ハイドロキシアパタイトの分子構造中の水酸イオンがフッ素イオンと置換すると、水素イオン電導性が失われる。それがフッ素の虫歯の予防効果ということだ。ーーー以下引用ーーー80代男性、左下7654、歯根面カリエスhttps://plaza.rakuten.co.jp/mabo400dc/diary/202106180001/前回の続きなのだが、フッ素の電気化学的な意味について語ろう。フッ素はハイドロキシアパタイト中のOH-:水酸基と置換してフルオロアパタイトとなり、水素イオン:プロトンの電導性を抑制すると思われる。なぜならハイドロキシアパタイト中の水素イオンの電導は水酸基が担っており、水酸基がなくなれば電導性が無くなるということだ。現代歯科医学でいわれているようにフルオロアパタイトは硬いので酸に溶けにくいという説明は間違っている。そもそも硬いのと酸に溶けにくいというのは別の話だ。後ろで弟子が定期試験の化学をしていたのをちょっと見たのだが、ちょうど電気分解の話だった。要するに虫歯というのは歯の電気分解ということなのだ。イオン化傾向の違う物質が酸性溶液中で回路を形成するとイオン化傾向の高い方が電子を奪われて溶ける。そういうことだ。歯のイオン化傾向は測定することができる。アルミと鉄と同じくらい、亜鉛より低いがその他のすべての金属よりも高い。しかし、フッ素がどの程度虫歯の抑制効果があるかというと僕の1年に渡る実験ではかなりしょぼい。というか、いくらフッ素塗布しても虫歯の進行を止めることはできなかった。ところが、重曹うがいでは1ヶ月で虫歯が治った。治ったと言ってもダイアグノデント値が改善したということなのだが。重曹うがいの方がフッ素塗布よりも桁違いに虫歯の予防効果は高いというのが実感だ。今回はたくさんある虫歯のうち一番ひどい左下7の頬側のカリエスを修復することにした。虫歯はどれも黒くなっているが、黒くなっている虫歯の進行は遅いので何もしなくても問題ないことが多い。この理由もフッ素と同じで、黒色物質:FeS:硫化鉄はイオン電導を遮断するので、虫歯になりにくいのだ。もう一つフッ素に関して言っておくことを忘れていたのだが、フッ素はハロゲン族と言って強い金属腐食作用がある。マイナスのイオン化傾向の高い物質で、金属から(カルシウム含む)電子を奪って溶かしてしまう。だから濃度の高いフッ素により歯が溶けることがあるのだ。これは歯牙フッ素症として知られている。フッ素の虫歯抑制効果と歯牙溶解効果との閾値がどのくらいかというのは、もしかしたらよく言われるように2ppmなのかもしれない。このような見解は従来の歯科医学では語られることがなかったのだが、それは電気化学的な視点が欠けているからだ。
2026.01.22
コメント(0)

屋根はできたので、明日は母家の屋根スラブとの間をアルミ複合板で塞いで終わる予定。機械室のアルミフレームも発注するつもり。この後からは自作します。
2026.01.22
コメント(0)

40代女性、右上6、Per、フィステル有り痛みはないが、フィステルが息肉化しているのが気になるということでいらっしゃった。レントゲン写真では頬側近心根に細菌感染しているように見えるのでこの部分に3MIX+α -TCPを入れてみることにした。一見ギョッとする。神経を取る治療をすると往々にしてこういうことになる。このような明らかな症状が出ていなくても、単に免疫系が抑え込んでいるだけで、病原菌は存在している。だから神経を取るということはダメなのだ。この冠もコアもハイブリッドレジン系なので削除が楽で助かる。それだけ脱離しやすいということなのだが。バーと探針が届く範囲でピンク色の根管充填材を除去しただけだ。これでも3MIXは効果がある。なぜなら根管充填材と根管の間には細菌が生息する隙間があるので、そこから薬剤が浸透するからだ。緊密な根管充填など絵空事に過ぎない。3MIX+α -TCPを載せ、CRで充填するだけだ。半年後、だいぶ小さくなっていたが完全にポリープ(?)は消失していない。冠のどこかに接着剥がれが起こっていて、漏洩しているのかもしれないと思い、再治療することにした。前回より大きく開けてみた。まだ日が浅いので、明らかな漏洩は見られない。漏洩があれば、α-TCP表面が茶色になったり、ひどい漏洩の場合はα-TCPが溶けて無くなってしまう。今回は根管充填材も可及的に除去してみた。今回は二回法ではなく一回法でやってみた。CRで埋め戻し、経過観察。忘れなければ、つづきます。
2026.01.22
コメント(0)

屋根はサッシ屋さんにお願いした。
2026.01.21
コメント(0)
全7936件 (7936件中 1-50件目)


