技工戦士・渡邉 一史のsmall world!

技工戦士・渡邉 一史のsmall world!

PR

×

Keyword Search

▼キーワード検索

Profile

kingkazu1328

kingkazu1328

Favorite Blog

★GROSS(ドイツ歯科技… ztmkoさん
生ウクライナ! ウクライナ・ボンバーさん
CROSS(宇毛玲)のBL… ウルレイさん

Comments

コメントに書き込みはありません。

Freepage List

2006.02.06
XML
カテゴリ: インプラント
しばらく続いてきたこの症例も今日で終わりです。

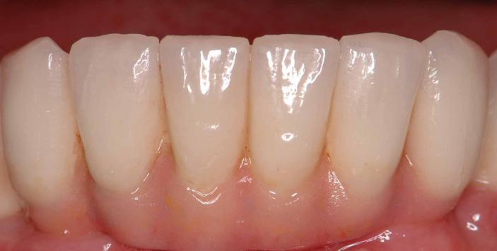
E-1 フルセラミック

フルセラミック 口腔内
ちなみに模型上は OLYMPUS MD-SYSTEM E-1 で、口腔内はNIKON D70です。口腔内をE-1で撮影したものもあるのですが、今後、どこかで紹介します。
またD-70とは違った感じです(私の目からはE-1のほうが目視に近いです)。


歯肉部の色調再現に少し焦点を当てましたが、こうした局部的な事が大事なのではなく、患者様の決心、忍耐強い治療を受ける御姿勢、ドクター・衛生士さんのチェアサイドの心のケアと治療などが非常に重要で、技工士はこうしたものを汲み取り具現化することが大事なのです。

患者様・ドクター・衛生士さんの努力を生かすため、日頃からいろいろなことに感性を磨きながら、どうあるべきかを自身に問いながら、製作しようとしています。

この患者様は顎関節に問題がなかった為、ラボサイドとしては比較的、的確に物事を進めることを遂行するだけでインプラント補綴をすることが出来ました。

今はメインテナンス期ですが、補綴が終わってからが新たなスタートと言えるでしょう。

技工士として無から有を作り出すことが出来るのは、本当に幸せだと思います。





お気に入りの記事を「いいね!」で応援しよう

Last updated  2006.02.08 21:53:25
コメント(2) | コメントを書く


【毎日開催】
15記事にいいね!で1ポイント
10秒滞在
いいね! -- / --
おめでとうございます!
ミッションを達成しました。
※「ポイントを獲得する」ボタンを押すと広告が表示されます。
x
X

© Rakuten Group, Inc.
X
Design a Mobile Site
スマートフォン版を閲覧 | PC版を閲覧
Share by: