我が家のニャンコ軍団

我が家のニャンコ軍団

PR

Keyword Search

▼キーワード検索

Calendar

Comments

○0208 @ Re[1]:今日も添い寝(11/12) 花霞4さんへ 院長先生も、我が家のブログ…
○0208 @ Re[1]:足元に(11/11) 花霞4さんへ 本当に、ニャンコは箱が大好…
花霞4 @ Re:今日も添い寝(11/12) ラモちゃん、優しいね。タクちゃんもラモ…
花霞4 @ Re:足元に(11/11) ナーちゃん、良いところを見付けましたね…
○0208 @ Re[1]:一人だけ(11/10) 花霞4さんへ ラモの食に対する貪欲さを見…
○0208 @ Re[1]:今日はカブと(11/09) 花霞4さんへ カブは、お外時代にボス猫を…
花霞4 @ Re:今日はカブと(11/09) カブちゃんは皆の人気者。ラモちゃんはカ…
花霞4 @ Re:一人だけ(11/10) ラモちゃん、お皿とにらめっこ…可愛いです…

Favorite Blog

茶々丸チャーちゃん 花霞4さん

ぴーちゃんの憂鬱 ぴーちゃん305さん
はじめは野良猫だっ… のらりん母、父さん
ILOVE... おハナぼぅさん
猫学・猫論・猫日和… mikemusumeさん

Category

Profile

○0208

○0208

2015.04.19
XML
カテゴリ: カテゴリ未分類

3月17日のブログで紹介した、 しらたまちゃん 、我が家の子になる予定でしたが、実は、ドクターストップが掛っていました。

理由は、

20150419シラタマ骨盤05.jpg

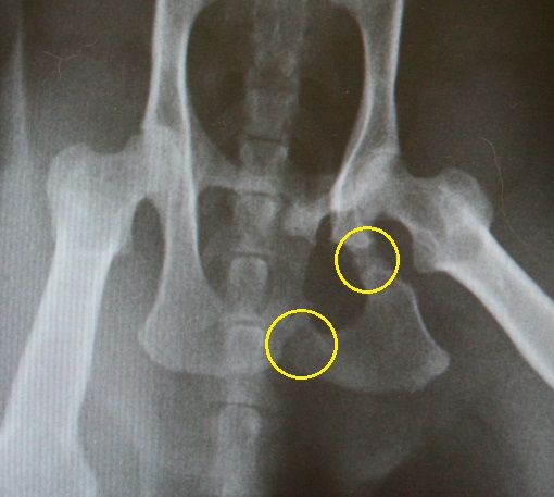
骨盤骨折していた事が判明

判り易く、骨折箇所に印を付けると、この部分

20150419シラタマ骨盤06.jpg

しらたまちゃんについては、血液検査上の問題はエイズキャリアという以外には、他の問題はありませんでしたが、先生からは、もう少し、きちんと調べたい、と言われており、先生に家に入れる時期をお任せしていました。

しらたまちゃんは、病院では、出されたご飯をもの凄い勢いで食べつくし、何度もお代りの催促をして、出されたご飯を又、食べつくす、という行動をしたそうで、どうも、何かおかしい、と先生が気づかれ、レントゲンを撮ったところ骨盤骨折した痕跡があり、骨折自体は、自然治癒した状態だそうですが、これが原因で、巨大結腸症になってしまったのだろう、との事。

骨盤骨折が原因での巨大結腸症の為、便秘気味になったり、下痢気味になったり、排便困難になったりする為、食事のケア、排便のケアを小まめに出来る家庭環境で無いと、しらたまちゃんを家族に迎え入れる事は、非常に難しい、との先生の判断がなされ、結果、我が家の子にする事は不可能になっていました。

しらたまちゃんを保護された方によると、1年ほど前に突然現れ、馴れ馴れの状態で、「ご飯頂戴、撫でて、抱っこして、お家にいれて」、という状態だったそうで、本当は、もっと早く保護されたかったそうですが、諸事情の為、今日になった次第です。

先生の判断では、恐らく、飼い猫が捨てられ、ギリギリの状態で、お外で過ごして来たのだろうとの事。

先生は、今回、我が家へ、しらたまちゃんを入れる事にドクターストップを掛けだけでなく、同時に、先生の知り合いに対して、片っ端から連絡を取られ、しらたまちゃんの症状を伝え、理解した上、且つ、適切なケアが出来る方を探していただいて居たそうで、何と、先生のお知り合いで、昔、動物病院で看護師さんをされていた方が、しらたまちゃんの里親様になってくれる事が決まったそうです。

既に、しらたまちゃんとも面会し、明日、引き取られるとの事で、本日、しらたまちゃんに、お別れの挨拶をしてきました。

20150419シラタマ01.jpg

20150419シラタマ02.jpg

20150419シラタマ03.jpg

20150419シラタマ04.jpg

しらたまちゃん、里親様のお家では、たまちゃんという名前になります。

しらたまちゃんにとっては、一番、良い結果になりました。

先生、本当に、有難うございました!

ブログランキングに参加しています。
ポチっとお願いします。






お気に入りの記事を「いいね!」で応援しよう

Last updated  2015.04.19 22:52:31
コメント(4) | コメントを書く


【毎日開催】
15記事にいいね!で1ポイント
10秒滞在
いいね! -- / --
おめでとうございます!
ミッションを達成しました。
※「ポイントを獲得する」ボタンを押すと広告が表示されます。
x
X

© Rakuten Group, Inc.
X
Design a Mobile Site
スマートフォン版を閲覧 | PC版を閲覧
Share by: