2019年08月21日
XML
カテゴリ: 日々の出来事
8月20日(火) 26℃/22℃   

​​​​​​​​​​​​​​​​​​​​​
​近 況​

今日は朝から雨。
7月に受けた人間ドックで、引っかかった内科の再検査と
眼科の定期健診の為、朝7時ちょっと前家を出る。

今朝は、グッと気温が下がり20℃位しかなくて
車のエアコンを掛けなくても涼しい感じ。
むしろ寒い位。

午前中は内科の検診で、午後から眼科の診察だったが
終わったのが夕方の4時頃。



内科の方の再検査は、血液検査だけで問題はなかった。
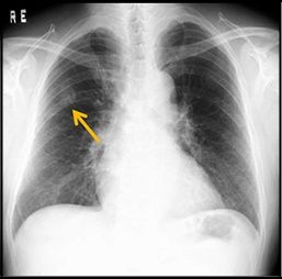
ただ、気になるのは胸のレントゲン写真。
過去4年間の写真を比べてみると
まったく同じ場所に同じ位の白い影。

​ 
(画像お借りしました)

取り立てて、診てくれた先生が重要視している様子でもなかったので
オイラ自身も、あまり気にしない事にした。
内科の診察は、結果を聞いて終わりだったので11時過ぎていた。

友達と会う約束をしていたので、すぐ連絡を取り
市街地にある総合卸売市場の駐車場で落合う事に。



サクランボ🍒のお返しにと、新玉葱を持って来てくれた。
その後、この市場内にある小さな食堂で
一緒に定食を食べてから、オイラは午後の診察があるので
ここで別れる事に。

最近ちょっと心が揺れている。
『サクランボが繋ぐ縁』

友達に迷惑覚悟で、毎年強引に贈っているサクランボだけど
実際ホントに迷惑してるんじゃないのかと・・・
余計な気を遣わせているんじゃないのかと
思い始めている自分がいる。

前にも言ったけど
親しい友達はいるけど『親友』と呼べる人はいない。
また逆の立場で、オイラを親友と思ってくれている人も多分いないと思う。
お互いが親友と呼べる人がいるのは幸せだろうな。

『親友』って・・・




そうそう、お盆に合わせてお中元をブロ友さんから頂きました。



もうほとんど食べてしまってなくなってしまったけどww
とても美味しい梨、ありがとうございました<(_ _*)>
ブログは暫くお休みされているので
あえてお名前は出しませんが、陰で?いつも見守って下さっている方です^^
ブログは休んでいても、繋がりのある方が
元気に毎日を過ごしている事が分かれば安心する。

ブログでの縁は、またリアルとは違った意味での繋がりを感じます。




8月15日の空  のお返事です。遅くなりました<(_ _)>


yumestudio ​さん
青空に浮かぶ羊雲、青空に映える山景色、キレイ♪
こちらは雨予報に反して降ってなかったのですが、さっきから雨降りだしました。
降る前も晴天ではなかったので、今日は珍しく猛暑日ではなく、最高気温32度しかなくて涼しかったww
台風どこにも誰にも被害出ませんように。。。 (2019年08月15日 21時54分32秒)
こんばんは。
32℃の気温を涼しいと言えるところがyume ちゃんらしいww
台風も次々に発生するかと思いきや、10号が去ってからピタッと音沙汰無し。
台風も夏季休暇に入ったんでしょうか?ww
しかしながら、今度は秋雨前線と言う輩が活動し始めているようですね。
台風じゃなくても、最近の雨は極端だからむしろそっちの方が怖い気もします。
台風にしろ大雨にしろ、被害が出ない事に越した事はないですよね。
まだまだ、この先も油断できないですね。
いつも、ありがとうございます。










アラスカななつ ​さん
こんばんは。

今日は空の写真は撮れない。。。w一応雨だったので。^^
空の写真を出している方が多いですね。^^
これからそちらは雨ですね。十分お気をつけて。。。
(2019年08月15日 23時46分00秒)
こんばんは。
きっかけは、やはりしみずの姫様の呼びかけ?&出会いかな?
姫との出会いがなく、”8月15日の空”の事を知らずにいたら
恐らく普段と何ら変わりなく、お盆を過ごしていたと思います。
お陰様で、自分自身もこの日を忘れずに済む。

まだまだ暑い毎日だけど、どことなく吹く風は秋の気配を感じる案山子地方です。
ひと雨毎に涼しくなって行くのかなって・・・
台風も大雨も、この後あまり発生して欲しくないですね^^;
いつも、ありがとうございます。






向日葵さんお元気そう。うちはだんだん数が減ってしまって、なくなりそうです。
終戦、父はシベリアに抑留され、終戦記念日に日本にはいませんでした。
母は女子挺身隊で、飛行機の部品を作っていて、終戦を迎えたそうです。
飛行機といえば精密機械なのに、全く経験のない女学生にその部品を作らせると言う時点で、もう駄目なんではないかと母は思ったそうです。
(2019年08月17日 21時04分44秒)
こんばんは。
パトラさんちの向日葵って、あの時の物ですか?
組織の向日葵は、お盆を過ぎた今まさに満開に咲き揃っています^^

祖父からは、当時の事を良く聞いていましたが
今はもう知る人も少なくなってきて、窺い知る事は出来なくなりました。
争い事のない平和な世の中は、万国共通な願いだと思うけどね。
それが中々出来ない現実・・・
思いをひとつにするって難しいですね。








chiichan60 ​さん
今晩は。
遅くなりました。

台風10号の被害はなかったですか?
こちらも日本海へ抜けてから夜中ずーっと雨風が強く雨戸をたたきましたが、被害はありませんでした。

戦争が二度と起こらないような世の中が続いてほしいです。
人間はエゴの塊ですから世界のリーダーはしっかり自覚してほしいです。

ひまわり畑の向日葵さんに元気をもらえます。

残暑厳しい毎日ですのでお体に気を付けて下さいね。
(2019年08月17日 22時19分14秒)
こんばんは。
お陰様で、コチラは被害無く済みました。
この後も、まだ油断はできませんが自然の事ゆえ分かりませんね。

リーダーシップは、ホントに大事なポイントだと思いますね。
家庭においてもそうだし、会社組織、そして国・・・
基礎になる部分がしっかりしていないと、やはり大きくなっても
そこから崩れて行く事もある訳だし、結局はひとりひとりの自覚の問題かなって思ったりします。

お盆休みのピークからは、ちょっとズレはしましたがやっと咲き揃ってきました^^

雨だとまだ良いんですが、晴れるとまだまだ残暑厳しいです。
何とか乗り切っていきたいですね。
いつも、優しいお言葉ありがとうございます。






コメント何時も有難うございます<(_ _*)>

まだまだ残暑厳しい折ご自愛下さい。




(コメント欄閉じてます)​​





お気に入りの記事を「いいね!」で応援しよう

Last updated  2019年08月21日 08時00分06秒
コメント(0) | コメントを書く
[日々の出来事] カテゴリの最新記事


【毎日開催】
15記事にいいね!で1ポイント
10秒滞在
いいね! -- / --
おめでとうございます!
ミッションを達成しました。
※「ポイントを獲得する」ボタンを押すと広告が表示されます。
x
X

© Rakuten Group, Inc.
X
Mobilize your Site
スマートフォン版を閲覧 | PC版を閲覧
Share by: