全82件 (82件中 1-50件目)

3枚しか進まず。。来週は3連休?なので、ここは終わる予定。窓わくに合わせてカット。裏はアクリル防水両面テープを貼る。
2021.10.31
コメント(0)

70代女性、右上4、歯根破折前回のつづきこの歯は1年ほど前に前医で治療を受けた時に、割れているので近いうちに抜歯になると言われたそうだ。そこはインプラントをしている歯医者だったので、インプラントは勧められなかったの?とお訊きしたら、そんなことは抜く直前しか言われないそうだw1週間後、とりあえず抜いてみた。かなり歯質は薄くなっていたので、抜くのも難しい。抜歯鉗子で握り潰してしまいそうだ。抜いて見てみると、完全離断ではなかったが、クラックがあるかもしれなかったので、抉り割ってみた。あとは綺麗にして、スクリューポストを入れて再建していくのだが、根尖口とは違うところにリーマーが飛び出して折れていた。また、根管充填材はFeS(硫化鉄)で黒くなっていた。これは硫酸塩還元細菌が生息していたということを意味しており、根管内は細菌で汚染されていたということだ。緊密な根管充填は垂直加圧法以外では見たことがない。所詮、人間のすることなどこの程度だ。これでは遅かれ早かれ歯はだめになってしまう。神経を取るなど最初からしないのが一番良いのだが、なぜしないのだろうか? 歯科医師は歯学部を卒業するまでに完全に洗脳されてしまうようだ。今日は再建から再植まで。根尖はリーマーが突き抜けて折れていた部分と、本物の根尖口らしいところを開拡して充填した。では時系列でどうぞ
2021.10.31
コメント(4)

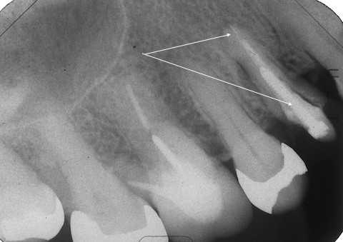
70代女性、右上4、歯根破折前回のつづきこの歯は1年ほど前に前医で治療を受けた時に、割れているので近いうちに抜歯になると言われたそうだ。そこはインプラントをしている歯医者だったので、インプラントは勧められなかったの?とお訊きしたら、そんなことは抜く直前しか言われないそうだw1週間後、とりあえず抜いてみた。かなり歯質は薄くなっていたので、抜くのも難しい。抜歯鉗子で握り潰してしまいそうだ。抜いて見てみると、完全離断ではなかったが、クラックがあるかもしれなかったので、抉り割ってみた。あとは綺麗にして、スクリューポストを入れて再建していくのだが、根尖口とは違うところにリーマーが飛び出して折れていた。また、根管充填材はFeS(硫化鉄)で黒くなっていた。これは硫酸塩還元細菌が生息していたということを意味しており、根管内は細菌で汚染されていたということだ。緊密な根管充填は垂直加圧法以外では見たことがない。所詮、人間のすることなどこの程度だ。これでは遅かれ早かれ歯はだめになってしまう。神経を取るなど最初からしないのが一番良いのだが、抗生剤も普及しているにもかかわらず。なぜこんなことを100年以上もし続けるのだろうか? 歯科医師は歯学部を卒業するまでに完全に洗脳されてしまうようだ。今日は抜歯するまで、まずはレントゲン写真でのbefore/afterだ。beforeリーマーが折れこんでいるのが見えると思う。after抜歯はかなり手こずった。壊しそう。。抜歯窩は膿瘍を丁寧に搔爬し、洗浄しておくつづく
2021.10.31
コメント(0)

70代女性、右上4、歯根破折、頬側歯肉腫脹この歯は1年ほど前に前医で治療を受けた時に、割れているので近いうちに抜歯になると言われたそうだ。そこはインプラントをしている歯医者だったので、インプラントは勧められなかったの?とお訊きしたら、そんなことは抜く直前しか言われないそうだw簡単に外れたので、見てみると破折線が見える。外れたコアの方には破折線に沿って接着剤がはみ出ている。つづく
2021.10.30
コメント(0)

壁紙はとりあえずアルミ複合板に交換予定部分は剥がした。下地の厚さ35mmの薄緑色の断熱材が見える。向かって左端はさらに左側の壁に寄せている作業台を撤去しないと貼れないので、どうするか思案中。これでアルミ複合板10枚分だ。窓部分の切り抜きをする必要があるので、難しい。
2021.10.29
コメント(0)

作業台の上を片付けて、壁紙をはがし始めた。掃除するとハウスダストで目が痛い。。
2021.10.29
コメント(0)

前回のつづきで回路図の各部分の実際の画像と合わせた解説だ。これから電力の買い取り価格が下がって、ソーラーパネル(PVモジュール、太陽電池)で発電した電力は自家消費の方向に向かっていくだろう。こちらの方が売るより儲かるからだ。今の所不要になったパネルは引き取り先が少ないという問題もあるが、これから資源エネルギーの急速な減耗時代を迎えるにあたり、中古市場もそれなりに立ち上がっていくと思われる。ところが、通常の売電に使われるソーラーパネルは直列に接続する関係上、同じメーカーの同じ型番でないと上手くいかない。しかし、シャントレギュレーター型は並列接続するために同じ型番である必要はない。日が落ちてきたら、出力電圧がバッテリー電圧より低くなるものからカットオフしていくので、全く問題ない。これは大きなメリットだ。このことは中古市場で入手できるPVモジュールの選択範囲が広がることを意味する。中長期的にはシャントレギュレーター型の充電コントローラーは今後のバッテリーを使用する独立型ソーラー発電システムの主流になっていくだろう。それを先取りして作ってみたのが以下のシステムだ。今の所売っていないのだから自分で作るしかない。これがシャントレギュレーターのアンプ部で差動1段回路と非常に単純だ。これでも64個の並列接続されたパワーMOS FETの大きな入力容量をドライブできる。それは気象変化の周波数は音楽信号と違い非常に低いからだ。差動アンプの2つのコレクターの負荷抵抗の電圧を常時観測している。向かって右の電圧計がMOS FETのVgsを見ていることなる。これが小さいとシャント電流は少ないということを表す。2つの電圧計は2つのコレクター抵抗の両端の電圧なので、お互いにシーソーの様に動くので正常動作しているかどうか、一目で判る。この向かって左がシャント電流を消費するMOS FETで、 4個で1組にしている。放熱に取り付けられる数が4つだったというだけの話だ。これが16組、MOS FET は合計64個だ。真ん中は12V100Ahバッテリーを2直列にし24Vのバッテリーで、DC/ACインバーターも24VDC/100VACを選択している。向かって右はソーラーパネル、ブレーカー、直列制御用のリレー、逆流防止用ダイオード部分だ。これがON/OFFによるシリーズレギュレーター部分で、ウインドウコンパレーターで制御電流範囲を設定し、その出力でジョンソンカウンターを2つ使いぐるぐる回し、その出力をRSラッチで受けリレーをON/OFFする。ランダムに切り替えるのでロシアンルーレット制御と呼んでいる。今後の展開だが、今の所タイマーでシステムの日中ON、夜OFFを繰り返しているだけだが、負荷つまり電化製品は手動でソーラーと電力会社を切り替えている。これを自動化しようと思う。負荷電流つまり出て行く電流が発電電流つまり入ってくる電流を上回ると自動的に電力会社に切り替えるシステムだ。パワー半導体リレーは入手してある。後はバッテリー容量がどの程度減ったら切り替えるとか、センサー電圧をどこから得るかの検討だ。
2021.10.29
コメント(0)

このところ関東地方で直下型地震が頻発していますね。あちこちでプレートが動いているようで、火山の噴火も頻発している。そろそろか、、--------引用開始-------毎日新聞 2021/10/8 11:27(最終更新 10/8 22:53) 有料記事 1388文字地震の影響で停電したJR品川駅で足止めされ、スマートフォンで情報を集める乗客ら=東京都港区で2021年10月7日午後11時59分、宮武祐希撮影地震の影響で停電したJR品川駅で足止めされ、スマートフォンで情報を集める乗客ら=東京都港区で2021年10月7日午後11時59分、宮武祐希撮影 7日夜に東京都と埼玉県で最大震度5強を観測した今回の地震は、千葉県北西部の地下約75キロという「首都直下」で発生した。いわゆる「首都直下地震」との関係はあるのだろうか。 関東地方の地下では「北米プレート」の下に南から「フィリピン海プレート」が沈み込んでいる。さらに、その下には「太平洋プレート」が東から沈み込んでおり、3枚のプレートが重なる特殊な状況になっている。つづきはこちらhttps://mainichi.jp/articles/20211008/k00/00m/040/096000c?inb=ys
2021.10.29
コメント(0)

前回のつづきで、当時30代女性、右上67、残根上のCRこの子は1回で終わらないと来なくなる。仕方がないので、その場で歯冠を作るしかない。10年程前の症例で、これが意外と保つということが判ってきた頃の症例だ。この頃はまだ既製のポストを使っていた。では時系列でどうぞ
2021.10.29
コメント(0)

ソーラーハウスの消えた4年間で重要なのは、自作の充電コントローラーだ。これは何かというと、ソーラーパネル(PVモジュール)で発生した電圧をバッテリーの充電電圧28.4Vに安定的に保つための装置だ。これがないとバッテリーを使った独立型ソーラー発電が成り立たない。どちらかというとここのチャージコントローラ20(実践編15)の続きか?以下が全回路図で、上段はシャントレギュレーターで、今は消えているようだが、あるブログに掲載されていたものをアレンジしたものだ。シャントレギュレーターはソーラーパネルにとっては理想的なレギュレーター(安定化電源)となる。なぜならばPVモジュールは定電流源だからで、出力電圧に関係なく日射量に比例した電流を発生させる特性があるからだ。逆に定電圧出力だと回路が成立しない。というか、電気がわからないと理解できないか。。説明が難しい。昔はNEC A-10というアンプに搭載されていた。このシャントレギュレーターは1個の差動アンプで64個のMOS FET 2SK3711を駆動する。下段はシャントレギュレーターの制御電流の1つを検出してウインドウコンパレータで2つのジョンソンカウンターのカウントアップ/ダウン信号を発生させる。2直列10組のPVモジュールをリレーを介して順にONするカウンターとOFFにするカウンターだ。RSラッチでどちらにするか選んでいる。動作周波数は1Hzで非常にゆっくりとした動作でPWM制御のようなノイズをまき散らさない。通常リレーも長持ちする。壊れるようなら半導体リレーにするつもりで試験運用しているが、今のところ問題ない。単純な回路だが複雑な動作をするので、均等にPVモジュールを使うことができる一種のシリーズレギュレーターというか、ON/OFF制御回路だ。これがないと発電電流の内、使用しなかった電流が全て熱に変換されるので、部屋が熱くなるだけではなく、夏は熱くなりすぎて2SK3711が熱破壊する。今現在2直列15組のPVモジュールが稼働しているが、このうち5組はシャントレギュレーター直結、10組はシリーズレギュレーターを介してシャントレギュレーターにつながっている。回路図がないとメンテナンスが難しいだろうということでアップしておく。
2021.10.29
コメント(0)

前回のつづき36歳と46歳のレントゲン写真があったので、アップしておきます。どうやったらこんなことになるんだ、、わからない。20歳の時が最初の初診だったが、綺麗だったのだ。その頃の画像がないか探してみたが、デジタルではなくアナログのスライド写真だったはずだが、見つからなかった。ゴミ部屋でダラダラ食べて飲んで、歯磨きもしないでコタツで寝る。。そんな感じか?2010/04/142020/03/30
2021.10.28
コメント(0)

現在40代後半、女性。2003年当時27歳位だったか、その7年後の2010年に来院した時はボロボロになっていた。性格的にいい加減なので、こうなった?彼女の真面目な弟が言っていた。ちょっと良くなると来なくなるし、他の歯医者に浮気して抜かれるし、僕の超絶系のCR再建法はこの子のために開発した。どんなボロボロでも1回で治さないともう、続かない。2003/08/11この間に何があったのか?謎だ。2010/04/14これから10年、2020/4/11の直近の画像だ。下顎が左方変位していて右側がすれ違い咬合になっているので、その矯正治療を始めたが、これ以降来院がない。。この途中がものすごいのだが、リクエストがあればアップします。
2021.10.28
コメント(0)

ソーラーハウスの歯科室は南向きの大開口部を持つ。日当たりも良いが、薪ストーブを設置している。資源がなくなったら使う予定。僕が死ぬまでには使うことになるだろう。
2021.10.28
コメント(0)

現状ソーラーハウスのエネルギー供給能力と出て行く電気代、ガス代、水道料金がどうなっているのかという話から始めよう。手元にあった電気使用量の2021年2月分の請求書では30Aの契約で、32kWhの使用量で1.429円。電力会社からの買電ということだ。都市ガス代は2021年6月分で5立米の使用量で2,239円。水道・下水道料金は令和3年1、2月分で3立米4.210円。1ヶ月分だと2,105円。ざっくり1ヶ月で6,000円が水道光熱費だ。建坪60坪、天井高3.2mの大空間なのだが、年間で72,000円、電気代だけではないのですよ?ソーラーハウスの屋根には150WのPVモジュール(ソーラーパネル)30枚、4.5kWが載っている。太陽熱温水器は240Lの真空管式が2台、480L。むしろ毎日お風呂に入らないと温度が高くなりすぎて壊れるのが悩み。もっと貧乏になったら、今の生活は捨てるので、支出は0円になる。これは簡単だ。ソーラーだけの生活なので、晴れた昼間は電気は使い放題。その日が晴れならお風呂に入れる。夜は冷蔵庫は電源を落としてドアを開けない。夜の灯りはバッテリーだけなので、LEDライト各自1つだけ。パソコン1台、スマホは数台使える。バッテリーが尽きたら寝るだけ。晴れていない冬の暖房は薪ストーブ。山から粗朶(そだ;燃料用の小枝)を拾ってくる。水は井戸水をフィルターを介して使う。基本的には雨が降っていても冷蔵庫などの常時通電している電化製品は使える。晴れていれば、エアコン2台はOK。
2021.10.28
コメント(0)

あっさり5年分の約1000件の記事が消えたので、大事なところは復活させたいと思う。今日のガソリン価格は172円/Lと高い。1979年だったか、第2次オイルショックの時に180円/Lまでいった記憶がある。当時の物価水準からいうと2倍くらいの感じがする。今なら350円/Lか?当時のガソリン車の燃費は10km/L行くか行かない感じだったがそれでも乗っていた。今は17km/Lとかいくので、600円/Lくらいまでは耐えられるか?ま、2030年、後8年で石油は経済的に見合わなくなるので、実質的に枯渇する。#青が埋蔵量、グレーが採掘にかかる費用を引くと赤字にならない部分、実質的な埋蔵量だ。石油は地下からいくらでも湧いてくるとかいう能天気なことを言う人がいるが、小学生並みの知能程度だ。それはどうやったら今の快適な生活水準をできるだけ落とさずに、資源エネルギー(お金)を使わずに生活できるのか?ということでこのシリーズはやってきた。
2021.10.28
コメント(0)

途中経過を全くアップしていなくて、今日やっと刈り取りしました。15年はやっている。
2021.10.28
コメント(0)

リクエストがあったが、業務経験の長い歯科医師でないと解りにくいのではないかと思う。というか、歯科医師でも何が起こっているのか意味不明だと思う。80代男性、左上7、歯髄壊死>Per(根尖性歯周炎:歯髄が壊死して炎症が歯根外に波及している状態)多分CRの辺縁封鎖が破れて歯髄に細菌感染したものと思われる。2週間程前から痛かったそうだ。やっと昨日位から痛みが治まった。歯髄があらかた死ぬまでが痛い。ズキズキの激痛だ。よく我慢しましたね。受付が杓子定規だから今日しか空いていないとか言ったのだろう。僕に直電すればのたうちまわらすによかったと思うのだが。近心根付近の根尖相当部が腫れている。歯ぎしりが酷い方だ。歯のすり減り具合でわかると思う。内部の歯質にもCR部分にもクラックが多数見える。ここから細菌感染したのだろう。冠部歯髄は壊死していて空洞になっている。口蓋根は2次象牙質で塞がれているらしく探せない。頬側の2根には超音波スケーラーのエンドチップが入る。頬側近心根の歯髄は完全に壊死していたが、頬側遠心根は完全に壊死してはおらず、痛みを感じ、出血する。少し赤いので分かると思う。α-TCPの2回法で根管充填したが、1回目で出血した血液がセメントに混ざっているのが見えると思う。2回目で内部を固めてCR充填して終わった。こんな感じで1回で処置は終わる。従来法しか知らない歯科医師は驚くと思う。えっ、こんなことで治るの?!
2021.10.28
コメント(0)

前回のつづきで、再植と化粧をする。さすがに歯なしでは寂しい。普通にズブズブと抜歯窩に再建した歯根を挿入する。あとは接着固定しながら、歯冠を再建していく。
2021.10.27
コメント(0)

前回のつづきで、歯根の再建と再植だ。歯根は裏表を逆に植え戻すことがあるが、やってみるとソケットにうまく戻らなかったので、やめることにした。綺麗にして既製のポストを入れて補強、再建していく。小さな破折片は使わなかった。歯根膜は失われているので、歯肉は下がるからだ。どうせ歯質が露出していれば虫歯になるだけだから、最初から充填しておいた方が良い。根尖口も開拡して充填する。準備ができたら再植する。
2021.10.27
コメント(0)

前回のつづきで1週間後だ。左上3は抜歯再植することにした。抜いてみると上の方が斜めに破折している。メタルポスト特有の歯根破折だ。ポストは歯根を抉り割ってしまう構造的な欠陥があるのだ。過去の文献を見る限り数百年は遡ることができる。ま、穴があったら入れてみたいということだろうが、そろそろ卒業したいものだ。抜歯窩は丁寧に膿瘍を搔爬し、生食水で洗浄しておく。つづく
2021.10.27
コメント(0)

前回のつづきで1週間後だ。左上3は抜歯再植することにした。抜いてみると上の方が斜めに破折している。メタルポスト特有の歯根破折だ。ポストは歯根を抉り割ってしまう構造的な欠陥があるのだ。過去の文献を見る限り数百年は遡ることができる。ま、穴があったら入れてみたいということだろうが、そろそろ卒業したいものだ。抜歯窩は丁寧に膿瘍を搔爬し、生食水で洗浄しておく。つづく
2021.10.27
コメント(2)

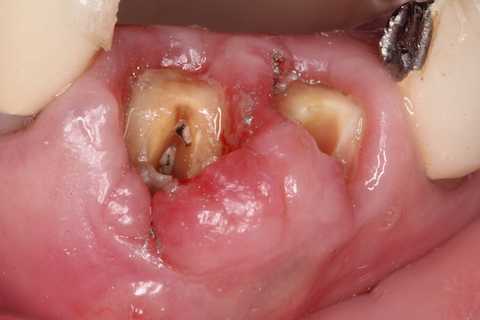
前回のつづきで、CKを除去してみると、左上23はポストが抜けていただけではなく、歯質の一部が破折していて、CKの方に付いてきた。2番の割れは深くなかったが、3番は剥離破折で深い。歯根膜も失われているようだ。歯肉の腫れの原因はこの剥離破折部分の細菌感染だろう。2番はα-TCPで根管充填してCRコアにし、3番は次回抜歯再植することにした。つづく
2021.10.27
コメント(4)

60代女性、左上23、歯根破折、ポスト脱離なんか歯肉がすごく腫れているので、除去してみることにした。左上2はポストが脱離していたが、歯肉が腫れている原因歯は左上3の歯根破折だった。これがbeforeで、これが1週間後のafter1週間でだいぶ腫れが引いてきた。2番はつづく
2021.10.27
コメント(0)

15歳男子、右下3唇側転位今日は技工作業があったので、面倒な症例はアップする時間がない。そこで男の子の歯列矯正治療を始めたので、これをアップしよう。数ヶ月前から拡大装置で広げてはいるのだが、矯正治療を始めたのが遅かったので、抜歯症例になってしまった。しかし、前歯1本だけの抜歯で見かけもまあまあという「スリーインサイザー」という技法?がある。これなら最小限の抜歯で済む。前回から1週間後、今回はブラケットセットまで。全顎ブラケットにしないでも済むワケは、動かさない歯はすべて連結固定して固定元にしているからだ。コスト的には安くて済む。使用ワイヤーは014"(オーワンフォーと呼ぶ)、右下2〜左下1 パワーチェイン
2021.10.26
コメント(2)

15歳男子、右下3唇側転位今日は技工作業があったので、面倒な症例はアップする時間がない。そこで男の子の歯列矯正治療を始めたので、これをアップしよう。数ヶ月前から拡大装置で広げてはいるのだが、矯正治療を始めたのが遅かったので、抜歯症例になってしまった。しかし、前歯1本だけの抜歯で見かけもまあまあという「スリーインサイザー」という技法?がある。これなら最小限の抜歯で済む。抜歯はスプラッタ系なのでどうかと思うが、診療室でしか見ることができないので、供覧しよう。右下1を抜歯して右下2、3と順に左側に送る計画だ。では抜歯から
2021.10.26
コメント(0)

40代女性、右上2、温冷痛++神経を取ろうか、どうしようか迷う症例を探してみてもほとんど見つからない。というのは僕は最初から神経を取ろうとか考えていないからだ。こういう神経症状が出ている歯は一般的な診断基準では神経を取っても良いことになっている。以前したCRの剥がれや歯質のクラックがあって沁みているのだと思うのだが、多くの歯科医師はCR充填してみて、まだ痛い、どうしてくれるの?ヤブ!と言われるのが怖くて神経を取る。もちろん目先のお金が欲しいのなら尚更だ。右上1もついでに再治療している。裏(口蓋側)と表(唇側)から時系列で口蓋側唇側
2021.10.25
コメント(4)

11歳女子、右上5、エナメル質欠損、むちゃくちゃしみる、、この子は子供の頃からだが弱くて、いろんな感染症にかかり熱を出して痙攣していたこともあるとか。そういう子に多いようだ。乳歯が抜けると沁みてご飯も食べられない。乾燥中のエアブローでも飛び上がる。とりあえず、むき出しになっている象牙質をCRでカバーした。このような歯は上下左右5番全てだった。今日は左上5と下顎左右の5番だが、エアブローで乾燥させるだけで、涙だ。。下顎は左右とも乳歯が抜けたばかりなので、先っちょしか出ていない。これでもむちゃくちゃしみる。これから出てきたら少しづつカバーしていくつもり。左上5右下5左下5
2021.10.25
コメント(0)

9歳女子、右上5、エナメル質欠損、むちゃくちゃしみる、、この子は子供の頃からだが弱くて、いろんな感染症にかかり熱を出して痙攣していたこともあるとか。そういう子に多いようだ。乳歯が抜けると沁みてご飯も食べられない。乾燥中のエアブローでも飛び上がる。とりあえず、むき出しになっている象牙質をCRでカバーした。このような歯は上下左右5番全てだった。順次ご紹介予定。実像から鏡像
2021.10.24
コメント(0)

ソーラーハウスに遊びに来られてHS-400の音に感動したとかでHS-400を購入された。それならマルチ駆動アンプをお譲りしようということで、嫁に出しました。無限大バッフル化はしていませんが、かなり良い音です。ゾクッときますw8Ω100W級のBTLアンプ4台とデジタルチャンネルディバイダー付でこの大きさはコンパクトと言えるだろう。入力はRCAアナログ、トスリンク(光デジタル)、USBの3系統。ボリュームも入力切替もリモコンで行う。
2021.10.24
コメント(4)

この時のつづきで、向かって左側の壁紙を剥がしてアルミ複合板に換装するつもりで、作業台を一時的に撤去することにして、掃除しながら隣の部屋に移動作業を始めた。多少は断熱効果が増すだろう。これから急速に資源エネルギーが枯渇に向かうので、今の内に対策が必要だ。EOS 5Dのフルサイズ画像これはEOS 70Dによるハーフサイズ画像
2021.10.24
コメント(0)

【AFP=時事】国連(UN)の気候変動枠組み条約第26回締約国会議(COP26)を目前に控え、世界最大の産油国サウジアラビアの事実上の最高権力者であるムハンマド・ビン・サルマン(Mohammed bin Salman)皇太子は23日、2060年までに温暖化ガスの排出量を実質ゼロにすることを目指すと表明した。つづきはこちらhttps://news.yahoo.co.jp/articles/0199781155a36e219c0bf24b4ceb88cd66efee49ロシアもそうだがCOP26に合わせて2060年までにCO2を始めとする温暖化ガスの排出量を実質0にすると発表した。しかしそれは何もしなくてもそうなる。サウジでは世界第一の産油国なので、国民は実質働いていない。ベーシックインカムということだ。石油もただなので使い放題だ。この状況はもうすぐ破綻するということは分かっているので、国民向けのプロパガンダでもある。もう今までのようにはいかないよ、ということだ。2060年には一人当たりの工業生産は2020年の1/10、一人当たりの食料生産も1/2。その頃は、もう完全に世界経済は崩壊している。地球温暖化、、などと寝言を言っている場合ではないのだ。
2021.10.24
コメント(0)

前回の続きなのだが、ファイバーコアやセラミックスクラウン(ジルコニア含む)というのが、儲かるだけで、どうしようもなく使えない代物かということを述べてみたい。こんなことを書くと大多数の世界中の歯科医師を敵に回すことになるのだが。うちでは神経を取ることもない、僕から見たらまっさらな歯を削り倒して最初に入れるのがセラミックスクラウンなのだ(金属冠も同じではあるが)。僕に言わせれば、条件の良い歯だからそんなクラウンを入れられる、そもそもそんなものは必要ない。これからご紹介するのは「近未来のクラウン」しか入れられない、通常はうまくいかなかったら抜歯ですよ?といわれる症例だ。レントゲン写真を見ると分かると思うが、エンド治療不良による根尖病巣(Per)と歯根分岐部病変がある。この方は60代女性、20年ほど前に治療したのだが、最近は時々歯茎が腫れたり噛むと痛いということで、他院に行ったら、歯根分割の手術が必要、最悪抜歯と言われたとかで当院に来られた。要するに何が起こっているかというと、セラミックスクラウンだろうが金属冠だろうが、入れて20年後には抜歯になる可能性が高いということなのだ。そんな歯を治して、どうにか使えるようにしてほしいという患者の依頼なのだが、(最初から安易に神経を取ってクラウンを入れるのは)やめて欲しいというのが本音だ。再発するリスクもある。その時のフォローはどうする?全部壊さないでも再治療ができるようにしておく、そんなことを考えながら再建していくわけだ。ジルコニアは硬すぎて穴を開けるのも大変だ。セラミックスクラウンはものによっては硬くないものもあるが壊れやすい。穴を開けての再エンド治療には耐えられないかもしれない。隣の歯と連結固定もできない。セラミックス系は接着剤が効きにくい。なんとか残そうとする僕が大変なのだ。これが使えない理由だ。セラミックスクラウンを入れて、儲かった!あとは野となれ山となれ〜・・か? やめてくれよ。。その答えが「近未来のクラウン」なのだ。穴を開けて再エンド治療も可能で、穴はCRで塞げば良い。接着剤も良く効く。再治療過程を全てアップする。解説は以前にしているので、省略する。では時系列でどうぞ
2021.10.24
コメント(5)

このシリーズは遡って見ていただかないとその意味が分からないと思うので、リンクを遡って見てほしい。https://plaza.rakuten.co.jp/mabo400dc/diary/202110210002/なぜこんなものが近未来のクラウンなのか?この時の続きというかその前の状態をアップしてみようと思う。その前にこのグラフを見ておいていただかないと全く理解できないと思う。このグラフは1972年に発表されたローマクラブの「成長の限界」という本が最初だったと思うが、2030年までに世界経済は破綻するというシミュレーションだ。基本的には地球が有限であることによる資源エネルギーの枯渇、環境破壊がその世界経済の破綻の直接の原因となるということだ。経済破綻するとすべてのサービスは低下し、一番の問題は食糧危機だろう。阿鼻叫喚の地獄を見ながら、世界人口は減少していく。この近未来のシミュレーションは前もったいない学会名誉会長石井吉徳先生も多分この通りになるだろうと一緒に会食する機会があった時におっしゃっていた。タイムリミットは2030年となっており、もう10年を切っている。実質8年か。2030年にはガソリン自動車は生産禁止になるということだが、これは偶然ではない。石油が枯渇すればガソリン車はなくなる。世界のトップはすでに織り込み済みで情報は少しづつしか出さない。はっきり言うと物流システムが崩壊する。物流を担っているのが石油だからだ。さて日本はどうか?海外からの物量がストップするとどうなるのか?もうその兆候は現れていると言っても良いだろう。今のガソリンの高騰は一時的なものではないだろう。世界中で経済崩壊は始まっている。コロナ禍とは関係ない。https://plaza.rakuten.co.jp/mabo400dc/diary/?ctgy=22こういうことが基本にあってこの貧乏くさいクラウンがあるのだ。最低限の資源エネルギーで構築できる歯科治療とは?と考えた末でもある。歯科医療だけではなく、これから起こる世界経済の破綻を乗り切るには石油を始めとする資源エネルギーの使用量を1/10以下に抑えることが当面の目標となる。それは日本では1950年代に戻ると言うことなのだ。当時の匂いを少し嗅いだことがあるので、50年代がどういう時代だったか?ということはわかる。停電はちょっちゅう起こるし、テレビはない。冷蔵庫もない。洗濯機もない。エアコンなど見たこともない。精々真空管ラジオがあるくらいだ。冬は寒いので豆炭こたつを入れるのが精々。夏は暑いのは当たり前。でも、部屋はスッキリ、何もない。机の上には教科書が置いているだけ。蛍光灯スタンドはあった。そんな生活。いいのでは?飢えることがなければだが。それも厳しいだろう。このサイトではどこまで外部からのエネルギー供給なしのソーラーだけで快適な生活がどこまで可能なのか?その実証実験がソーラーハウスや太陽のカテゴリーだ。おバカなことばかりだが、実際にやってみたのだから参考になると思いますよ。
2021.10.23
コメント(0)

30代男性、右下8(親知らず)インレー脱離親知らずは一番奥にあるので、治療が難しい。なぜかというと切削器具のエアータービンのヘッドが小さくないとヘッドの影になって治療箇所が見えないのだ。だからコンパクトヘッドを常備していない歯科医院では親知らずは治療困難につき抜歯となる。これが一般的だが、やってできないことはない。奥過ぎてストリップスも使用不可能だ。ではどうするのか考えてみてほしい。機械器具・使用材料はすべて公開した。僕ができるのだから、誰でもできるはずだ。では時系列で詳細に画像をアップする。手前右下7の遠心面にも少しだけ虫歯があったが、特に何もしない。予防管理をお願いします。
2021.10.22
コメント(0)

前回のつづきやはり超絶技巧系のCR充填治療をしようと思うとエアータービンと呼ばれる切削器具は欠かせない。とりわけコンパクトなヘッドを持つ機種は必須なわけです。昔はモリタ製のスーパーミニαというのがあって、素晴らしかった。向かって右がスーパーミニαで、左が同じモリタの現行商品名前はツインタービンSだったか?これが同社の現行商品の中では最もコンパクトだ。これはヘッドの径はスーパーミニαより小さいとはいえ、縦方向に長い、しかもバーのシャンク部分が短いので、深い虫歯にはバーが届きにくい。これは同モリタ製の通常商品だ。径も高さもシャンクの長さもお話にならない。これでもほとんどの症例では使えないことはないが、超絶技巧系の症例では厳しい。ま、海外製に比べるとましだが。特に親知らずの虫歯を治療しようと思えば、コンパクトヘッドのエアタービンがないと手も足も出ないはずだ。持っていなければ、親知らずの治療はできないので、抜歯の選択となる歯医者は多い。次回は親知らずのCR充填治療の症例を予定している。
2021.10.22
コメント(0)

この時のつづきで、口腔内の様子です。あまり面白くないですが。。brforeafter
2021.10.21
コメント(0)

前回のつづき当時8歳女子、左上1、歯牙破折下校中に一緒に帰っていた友達に不意に足をかけられて転倒。そのままうちに駆けつけた。この症例は色々と興味深いことがあった。まず、加害者の親はそんなことは知らないと突っぱねたらしく、怒り狂ったお母さんが、弁護士を立てて損害賠償請求を行い、?百万円で示談が成立したとかで、なんかものすごい世の中になったもんだと思ったこと。抜歯してみると歯根はほぼ完成していたが、血管も神経も千切れたにもかかわらず、歯髄は取らずに切断歯髄を残したまま直覆し、歯冠再建後再植したが、歯髄が壊死することはなく生着した。また若い子の象牙質は柔らかく、打撃時の応力で変形し、再建した時に破折面が合わずに隙間ができた。少し幅が広くなっている。象牙質は30%でしたか、コラーゲン繊維でできているので、塑性変形する。一昨日矯正治療で1年ぶりに画像を残してみたが、歯髄は生着しているように見える。歯髄というものは非常に再生力の高い組織だということが分かる。その歯髄を取ろうというのが一般的な歯科治療というのはもうそろそろ考え直した方が良いと思う。今日は抜歯再植から1年後、しっかり生着しているようだ。歯根膜だけではない、内部の歯髄も生きている。歯髄はiPS細胞を作れるほどの原始的な細胞で構成された組織なので、再生力が高い。この再生力の高い組織を取ってわざわざトラブルを招くような処置はやめるべきだと思う。神経を取ろうと他院でペリオドン貼付した歯でも直近なら保存可能だった経験がある。・・しかしこの子の場合、これからの長い人生をどうするかが問題。接着剤で貼っているだけだし、また転倒したりすれば、接着面から再破折するだろう。その時に僕はいないかもしれない。歯肉縁下の破折面のある残根とみなされ、治療不能で抜歯してインプラントを選択する歯科医師の方が多いのではないかと思う。当面の課題はもう少し化粧をする要望が出てくるだろう。ラミネートベニア等で破折線を隠す処置か?では時系列でどうぞ
2021.10.21
コメント(2)

前回のつづき当時8歳女子、左上1、歯牙破折下校中に一緒に帰っていた友達に不意に足をかけられて転倒。そのままうちに駆けつけた。この症例は色々と興味深いことがあった。まず、加害者の親はそんなことは知らないと突っぱねたらしく、怒り狂ったお母さんが、弁護士を立てて損害賠償請求を行い、?百万円で示談が成立したとかで、なんかものすごい世の中になったもんだと思ったこと。抜歯してみると歯根はほぼ完成していたが、血管も神経も千切れたにもかかわらず、歯髄は取らずに破折歯髄を残したまま直覆し、歯冠再建後再植したが、歯髄が壊死することはなく生着した。また若い子の象牙質は柔らかく、打撃時の応力で変形し、再建した時に破折面が合わずに隙間ができた。少し幅が広くなっている。象牙質は30%でしたか、コラーゲン繊維でできているので、塑性変形する。一昨日矯正治療で1年ぶりに画像を残してみたが、歯髄は生着しているように見える。歯髄というものは非常に再生力の高い組織だということが分かる。その歯髄を取ろうというのが一般的な歯科治療というのはもうそろそろ考え直した方が良いと思う。今日は再植過程だ。では時系列でどうぞ
2021.10.21
コメント(0)

リクエストがあったので、僕が使っている歯科材料・機械器具を公開します。今の所安定的に使えています。もう20年近い?一番重要なのはダイアモンドのラウンドバーKOデンタルのオリジナル商品K440SS。色々試してみたが、これでないとアクロバテックな形成ができない。ま、後はどうでもいいと言った所か。ハンドピースはナカニシのものだが、コンパクトヘッドならなんでも良いと思う。昔はモリタのスーパーミニαという超コンパクトな製品があったが今はない。海外性は大きすぎて視界を遮るので使えない。外人の口は大きいのか? な、わけないだろ?wボンディング材はトクヤマのワンナップボンド。硬化すると色が透明になるのが良い。とても判りやすいやすい。接着性も優れている。最近はフッ素添加になっている。余計なことだ。CRは松風のビューティフル フロー プラス F00 垂直にしても垂れない、流動性が丁度いい所が使いやすい。耐磨耗性もまあまあ。これもフッ素添加になっている。導入圧力がきついのだろう。フッ素導入に抵抗しているのは中堅大手では芸能人は?も?歯が命のあそこだけw覆罩材は根菅充填にも使える万能ハイドロキシアパタイトセメント ニューアパタイトライナー2。残念ながらメーカー日本撤退のため製造販売停止。在庫限りとなってしまった。つくづく日本は後退国になってしまったと思わせられる事案。もう日本では商売が成り立たないのだ。別に材料を公開しても誰でも使いこなせるわけでもないwこの材料を他院で使ってくれと依頼しても、同じクォリティーが得られるわけではない。残念ながら。
2021.10.20
コメント(12)

前回のつづき当時8歳女子、左上1、歯牙破折下校中に一緒に帰っていた友達に不意に足をかけられて転倒。そのままうちに駆けつけた。この症例は色々と興味深いことがあった。まず、加害者の親はそんなことは知らないと突っぱねたらしく、怒り狂ったお母さんが、弁護士を立てて損害賠償請求を行い、?百万円で示談が成立したとかで、なんかものすごい世の中になったもんだと思ったこと。抜歯してみると歯根はほぼ完成していたが、血管も神経も千切れたにもかかわらず、歯髄は取らずに破折歯髄を残したまま直覆し、歯冠再建後再植したが、歯髄が壊死することはなく生着した。また若い子の象牙質は柔らかく、打撃時の応力で変形し、再建した時に破折面が合わずに隙間ができた。少し幅が広くなっている。象牙質は30%でしたか、コラーゲン繊維でできているので、塑性変形する。一昨日矯正治療で1年ぶりに画像を残してみたが、歯髄は生着しているように見える。歯髄というものは非常に再生力の高い組織だということが分かる。その歯髄を取ろうというのが一般的な歯科治療というのはもうそろそろ考え直した方が良いと思う。今回は直接覆髄と歯冠再建まででは時系列でどうぞつづく
2021.10.20
コメント(0)

当時8歳女子、左上1、歯牙破折下校中に一緒に帰っていた友達に不意に足をかけられて転倒。そのままうちに駆けつけた。この症例は色々と興味深いことがあった。まず、加害者の親はそんなことは知らないと突っぱねたらしく、怒り狂ったお母さんが、弁護士を立てて損害賠償請求を行い、?百万円で示談が成立したとかで、なんかものすごい世の中になったもんだと思ったこと。抜歯してみると歯根はほぼ完成していたが、血管も神経も千切れたにもかかわらず、歯髄は取らずに破折歯髄を残したまま直覆し、歯冠再建後再植したが、歯髄が壊死することはなく生着した。また若い子の象牙質は柔らかく、打撃時の応力で変形し、再建した時に破折面が合わずに隙間ができた。少し幅が広くなっている。象牙質は30%でしたか、コラーゲン繊維でできているので、塑性変形する。一昨日矯正治療で1年ぶりに画像を残してみたが、歯髄は生着しているように見える。歯髄というものは非常に再生力の高い組織だということが分かる。その歯髄を取ろうというのが一般的な歯科治療というのはもうそろそろ考え直した方が良いと思う。とりあえず担ぎ込まれて、抜歯したところまで時系列でどうぞ。つづく
2021.10.20
コメント(0)

今日のシメは8歳女子、右下E、隣接面カリエス。6歳の小学校入学前健診で引っかからないように虫歯をCR充填した時には大泣きして治療ができなかったのだが、今はお姉ちゃんになったね。。できる!泣かない!wでは時系列でどうぞ
2021.10.19
コメント(0)

40代女性、左上4、隣接面カリエス、染みるこの症例はストリップスを使った。ストリップスとはどういうものか分かると思う。普通は隣接面カリエスにストリップスを使うことは必須。むしろ使わないで隣接面カリエスの充填なんてどうするのかわからない。僕は使用頻度は少ない。オーバーしたり気泡が入ったり、上手くいかないことが多いからだ。では時系列でどうぞ
2021.10.19
コメント(0)

60代女性、左下6、CR?CRインレー?、2次カリエス時系列でどうぞ
2021.10.19
コメント(0)

30代女性、左上4、セラミックインレー2次カリエス、違和感あり今日はたくさんCR症例があったので、4症例連続アップwwでは時系列でどうぞ
2021.10.19
コメント(0)

今日は明日セットの技工作業があって23時を過ぎてしまい、用意していた抜歯再植症例のアップが間に合わない。仕方がないので、今出来たばかりのCKの画像をアップしよう。従来のCK(金属鋳造冠)の欠点を全てクリアした人工歯冠をご紹介する。1、コアにCRを使うことにより歯質と金属の電気的な絶縁が成立する。つまり歯根をCRで覆うわけだ。電気的に絶縁すると金属と歯質の間のイオン化傾向の差による異種金属腐食を防ぐことができ、2次カリエスフリーとなる。2、CRコアはメタルポストと異なりアンダーカットを積極的に活用でき、脱離しにくいだけではなく、歯根破折を招きにくい。3、咬合面にハイブリッド系のCRを使用すれば、通常のCRよりは耐磨耗性の向上を図れる。通常のCRでも耐磨耗性の高い商品はあることはあるが、口腔内での爆速治療は難しい。4、メタルフレームに耐磨耗性は低いが、十分な強度を持つ銀合金を使用できる。これは価格的に金やパラジウムに比べると一桁以上安価だ。金属資源の減耗による価格高騰は歯科業界だけではない大きな問題だ。しかもスー⚪️ーボンドによる歯質接着性が金合金やパラジウム合金に比べるとかなりよい。5、銀合金は歯質(主成分のハイドロキシアパタイトはプロトン電導性だ)と比べると自然電位差(イオン化傾向の違い)が0.5V。金合金やパラジウム合金の0.7Vに比べると30%低く、それだけ虫歯になりにくい。いいことづくめだ。6、ポストは2mmの高さが必要という公式見解があるが、これでは歯質を電気的絶縁体であるCRで覆うことは困難になる。そこで、逆方向に2mmの高さ(深さ)があるピンレッジを使用することでこれは解決可能だ。ピンレッジは過去の歯科医療の文献を見ると200年以上の歴史があることがわかる。もっと活用するべきだ。では技工作業の画像を3枚だけ。もし口腔内の画像を見たい方があればリクエストしてほしい。
2021.10.18
コメント(7)

8歳男子、左下DE、2次カリエス難しそうな左下Eから始めた。既存のCRを除去すると出血した。近心頬側根が生きていた。止血を待って3◯IX+α-TCPセメントで直覆してCR充填した。(*3MIXというのは登録商標らしい)歯肉縁ギリギリなのでストリップスは使わない方が上手くいく。もちろん麻酔も歯肉切除もしない。ラバーダムはこのような歯肉同縁もしくは縁下の充填には使えないことは判ると思う。縁上でないとそもそも使えないのだ。ラバーダムはCR充填には必要ない。虫歯は細菌感染症ではなく電気化学的な腐食現象だからだ。うちで使っている機械器具、材料は2009年に公開したが、消えている。ご希望があれば再掲するがどうだろうか?では時系列でどうぞ
2021.10.17
コメント(1)

なんとか完成しました。HS-400は理論的に作られた、そういう意味では究極のスピーカーシステムです。これを上手く鳴らせないというのであれば、それは自分が理論的ではない、技術が拙劣、耳がおかしいということだと言っても良いでしょう。それがどうしたと言われても関知しませんが。HS-400と格闘して45年。ずいぶん勉強させられました。HS-400は清明な鏡のようなものです。醜い音がするというなら、自分の姿が映っているということ。
2021.10.17
コメント(0)

組み立ててHS-400につないで見ても音が出ない?ちょっと焦って調べてみると、保護回路の回路に誤りがあった。修正します。トランジスターアレイへの出力はQー(バー)ではなくQです。
2021.10.17
コメント(0)

リレーも保護回路の基盤も取り付けたし、アンプとの配線をするだけ。今日中に完成予定。真似して作ってみたい方とかいらっしゃいますかね?ある程度の技術的基盤のあるプロやセミプロの方に取っては、HS-400のイコライザーの設定数値が分かるだけで製作可能でしょう。LM3886Tを使えば保護回路は省略可能だと思うし、アンプ製作は初めてという方にとってもオークションなどに出ている一番シンプルな基盤を買えばOKだし、BTLにしなければ適当な4ch入りのAVアンプを使えはminDSPを購入するだけでHS-400のマルチアンプ化は難しくはない。もちろん小型のデジタルアンプを2台用意すればもっと小型化できる。内臓のアナログのネットワークもそんなに悪くはない。アッテネーターはガリが出ているので、除去手術が必要になるが、元々アッテネータなしでフラットになる設計だ。一番のキモはHS-400の平面バッフル化だ。元々平面バッフル前提でHS-400は設計されている。もし平面バッフル化すれば、この大きさでこんな低音が出るのか!と驚かれるはずだ。
2021.10.17
コメント(0)
全82件 (82件中 1-50件目)


