
















今日の充填治療57(左下8外傷性カリエス) 2025.08.10
今日の充填治療56(メタルインレー脱離) 2025.01.04
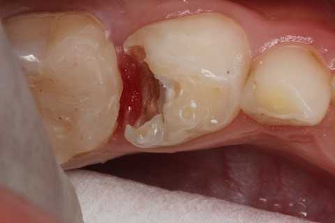
今日の充填治療55(遠心隣接面カリエス) 2023.12.21
PR
Keyword Search
New!
イィヴィ平野さん
Shige&HappyさんFreepage List
Calendar
Comments
Category