



















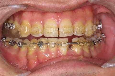
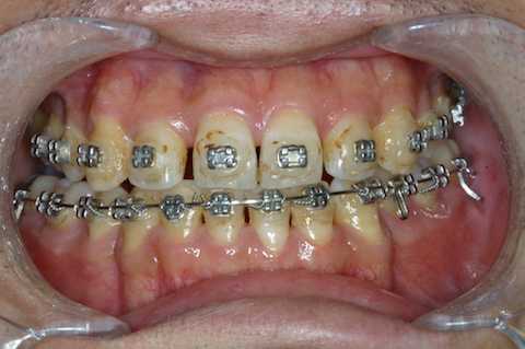
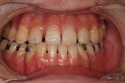
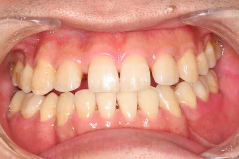
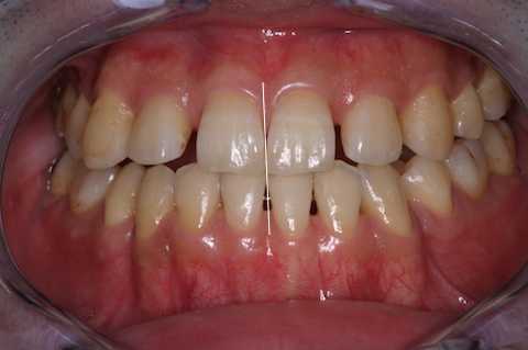
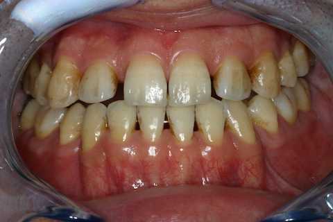
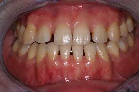
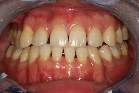
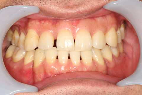
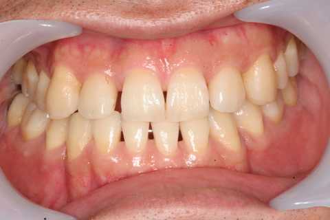
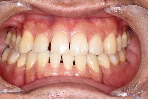
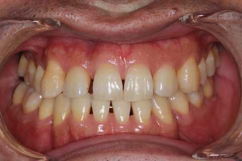
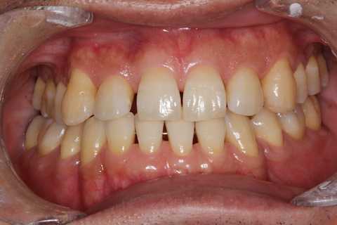
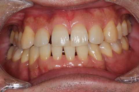
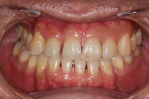
ディープバイトの矯正治療2 2025.10.23
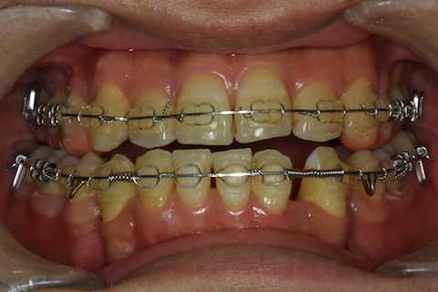
ディープバイトの矯正治療1 2025.10.22
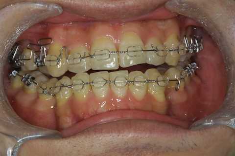
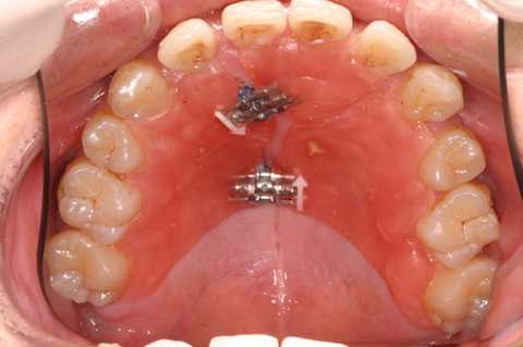
臼歯部のブラケット選定 2025.09.30
PR
Keyword Search
Shige&Happyさん
イィヴィ平野さんFreepage List
Calendar
Comments
Category