







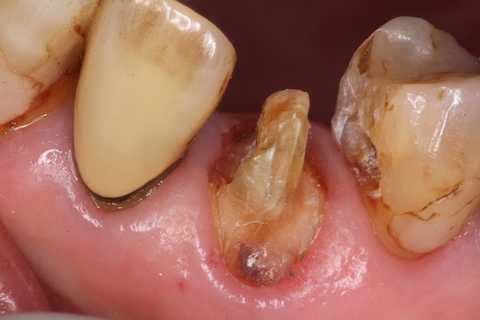
差し歯の末路1 2025.11.05
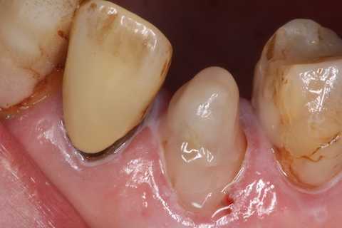
CRの2次カリエス0.2 2025.10.15
CRの2次カリエス0.1 2025.10.14
PR
Keyword Search
Shige&Happyさん
イィヴィ平野さんFreepage List
Calendar
Comments
Category