I歯科医院の高楊枝通信。

I歯科医院の高楊枝通信。

2021.11.23
XML
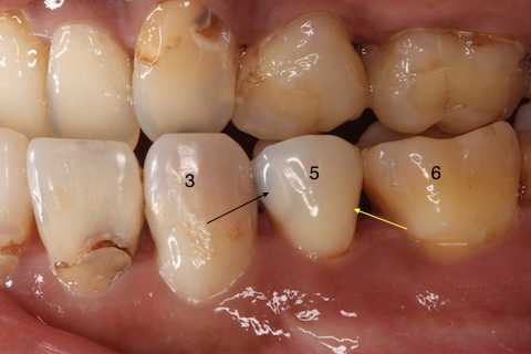
40代女性、左上5、冷水痛+

この時 ​のつづきで、術後の冷水痛が完全には治らないということだったので、画像を解析してみた。

そもそも冷水痛とは何か?ということだが、歯髄に軽い炎症があるということだ。知覚過敏症という歯が沁みる病態がある。これは象牙質が露出しているのが原因とされているが、露出しているだけでは知覚過敏症にはならない。加えて歯髄の炎症が必要になる。その軽い炎症の原因は虫歯やクラック、修復物の隙間から細菌や電解質の侵入、咬合性外傷による歯髄梗塞が主な原因だ。もちろんCRの剥がれや破折、気泡や接着不良も考えられるが、術中の画像解析では術中の不手際は確認できない。

まずレントゲン写真だが、左上4番は歯列矯正治療のため便宜的に抜歯されている。

2枚の場所を変えた画像を見比べてみよう。
今回の処置は楕円で囲っている左上5番の近心隣接面カリエスだ。

向かって右側の画像の5番には虫歯様の陰影が写っているが、左の画像には写っていない。探針で触った感じでは虫歯は無いように思ったが、歯肉縁下の深いところにあるのかもしれない。僕の治療方針は「疑わしきは罰せず」なので、その時は追求していない。これは次回の治療機会があれば精査してみよう。




患者は沁みているのは5番ではなくて奥側の6番かもしれないとおっしゃる。


以下は術前の画像だが、5番にも6番にもクラックはあるので、これだけではどちらが沁みているのか特定できない。




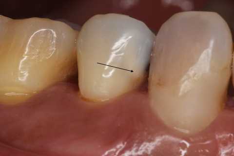
5番には術中から気になっていた大きなクラックが認められたので、この部分は裏面の軟化象牙質はエナメル質を壊さないように丁寧に除去してCRで裏打ちし補強を入れた。

しかし術前からクラックが歯根の象牙質まで及んでいて、α-TCPセメントでクラックが塞がるまでに強い咬合力が加わり続けたとすれば、クラックは塞がらず、沁みるのも止まらないかもしれない。最終的には歯根が破折してしまい、抜歯(再植)になってしまうかもしれない。その時はその時だが。

では術前、術中、術後の画像を時系列でどうぞ

術後の画像ではクラックが良く見えると思う。










お気に入りの記事を「いいね!」で応援しよう

Last updated  2021.11.23 19:47:40
コメント(1) | コメントを書く


【毎日開催】
15記事にいいね!で1ポイント
10秒滞在
いいね! -- / --
おめでとうございます!
ミッションを達成しました。
※「ポイントを獲得する」ボタンを押すと広告が表示されます。
x
X

PR

Keyword Search

▼キーワード検索

Favorite Blog

合意の見通しが立た… New! Condor3333さん

庭のモチノキ(10/27) Shige&Happyさん

VALVOのE2dという真… イィヴィ平野さん

小屋裏昇降はしごの… toyotaka117117さん

2025年「馬見丘陵公… リュウちゃん6796さん

Freepage List

重曹が虫歯を救う!?


重曹水の作り方


MMS口腔用二酸化塩素水の作り方


唾液中のHCO3(重曹成分)の濃度は?


重曹はみがき


重曹が虫歯に効くワケ2動画(酸の中和)


重曹水の作り方動画(重曹うがい用)


歯周病01。


歯周病解説その1~その4+おまけ。


咬合の常識と非常識


うがい剤 「プロトンフリー」、リリース!


使用している材料器具


α-TCPセメント+3MI○


僕が使っている機械器具・材料00


僕が使っている機械器具・材料01


CRでの隣接面の作り方


3MIXの作り方


3MIX(スリー・ミックス)


α-TCPの入手法と根管治療の応用法


歯と金属間の自然電位差


虫歯の常識、非常識1


虫歯とはどういうものか?


歯茎部カリエスの電気化学


ハイブリッドクラウンの2次カリエス1.3(2次カリエスの防ぎ方)


抜歯再植症例リスト0.01


ほんとうの虫歯の発生メカニズム


ほんとうの虫歯の発生メカニズム2


隣接面カリエスのでき方


虫歯は金属の錆や腐食と同じ0.52(虫歯の電気化学的解析)


虫歯の発生実験


無限大バッフルの製作0.00


無限大バッフルの製作0.01


無限大バッフルの製作0.02


無限大バッフルの製作0.03


無限大バッフルの製作0.04


無限大バッフルの製作0.05


無限大バッフルの製作0.06


無限大バッフルの製作0.07


無限大バッフルの製作0.08


無限大バッフルの製作0.09


無限大バッフルの製作0.10


無限大バッフルの製作0.11


無限大バッフルの製作0.12


無限大バッフルの製作0.13


無限大バッフルの製作0.14


無限大バッフルの製作0.15


無限大バッフルの製作0.16


無限大バッフルの製作0.17


無限大バッフルの製作0.18


歯の電気伝導経路(遠心歯根面カリエス)1


歯の電気伝導経路(遠心隣接面カリエス)2


歯の電気伝導経路(八島、藤森論文)3


ストリップスを使わない隣接面CR1.0(虫歯の電気化学説)


ストリップスを使わない隣接面CR1.1(虫歯の電気化学説)


1回で終わる根管治療8.0(α-TCP+3MIXによる根管充填法)


抜歯再植症例1.0


高カリエスリスク症例0.2(虫歯の電気化学説)


高カリエスリスク症例0.3(糖質と虫歯の関係)


高カリエスリスク症例0.4(糖質と虫歯の関係)


高カリエスリスク症例0.5(糖質と虫歯の関係)


高カリエスリスク症例0.6(糖質と虫歯の関係)


高カリエスリスク症例0.7(糖質と虫歯の関係)


高カリエスリスク症例0.8(糖質と虫歯の関係)


高カリエスリスク症例0.9(糖質と虫歯の関係)


高カリエスリスク症例1.0(糖質と虫歯の関係)


高カリエスリスク症例1.1(糖質と虫歯の関係)


高カリエスリスク症例1.2(右上6の再建)


高カリエスリスク症例1.3(右下6の修復、歯の発生上の虫歯の問題)


歯の発生のイメージ


高カリエスリスク症例0.0


高カリエスリスク症例0.1


1回で終わる根管治療(歯髄壊死症例)


部分的歯髄失活歯の歯髄保存法


CR歯冠再建法


ストリップスを使わない隣接面CR0.2


Calendar

Comments

mabo400@ Re[1]:残根上のCR8(10/28) New! kzrさんへ 長文コメントありがとうござい…
kzr@ Re:残根上のCR8(10/28) New! 業界全体の 人手不足・後継者不足 は深刻…
mabo400 @ Re[1]:残根上のCR8(10/28) kzrさんへ 僕も歯科技工士なんで。。てへ…
kzr@ Re:残根上のCR8(10/28) これはすごいですね… 私は歯科技工士なん…
mabo400 @ Re[1]:地域通貨といえば、、(11/20) 楽天ルシファーさんへ これを日本全国規…

Category

カテゴリ未分類

(17)

虫歯の電気化学説

(324)

削らない・抜かない歯科治療

(1053)

オーディオ

(990)

もったいない学会

(450)

バイオフィルム

(29)

フッ素について

(19)

メインテナンス歯科

(8)

食べること。

(151)

太陽

(154)

虫歯予防一口メモ

(50)

電気二重層キャパシタ

(3)

エネルギー

(64)

節電

(53)

地球温暖化

(33)

マネー

(172)

ドクターのつれづれ。

(578)

江戸時代

(12)

お知らせ

(167)

院内感染対策。

(18)

食料備蓄

(6)

発明塾

(37)

スタッフからの便り

(12)

都市農業

(145)

歯科検診

(9)

プリウス

(13)

マイクロ水力発電

(4)

秋月

(9)

モデル

(38)

原発

(335)

ソーラーハウス

(923)

アマチュア無線

(10)

幸運を呼ぶシリーズ

(15)

ダイアグノデント

(5)

義歯

(250)

試作スピーカー

(346)

外傷性咬合

(85)

今日の諦めよっかな〜、、wシリーズ

(63)

今日の充填治療シリーズ

(188)

今日の抜歯再植術シリーズ

(220)

今日の2次カリエスシリーズ

(40)

今日の何やっているの?シリーズ

(89)

若い子の歯科治療シリーズ

(45)

今日も野戦病院シリーズ

(68)

今日の歯列矯正シリーズ

(77)

CPUを創ろう

(7)

拾った?ネコ

(3)

ボロボロシリーズ

(25)

近未来の根管治療シリーズ

(123)

before/after シリーズ

(31)

スーパーテクニック・シリーズ

(55)

ストリップスを使わない隣接面CRシリーズ

(108)

コーヌス義歯の製作過程

(40)

究極のワンオペ歯科治療

(8)

α-TCP

(18)

フリーページ

(6)

© Rakuten Group, Inc.
X

Design a Mobile Site
スマートフォン版を閲覧 | PC版を閲覧
Share by: