




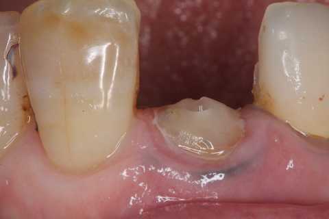
左下7遠心カリエスと8番抜歯 2025.07.29
今日の諦めよっかな〜、、wシリーズ15.5 2025.02.15
今日の諦めよっかな〜、、wシリーズ15.4 2025.02.12 コメント(2)
PR
Keyword Search
New!
Shige&Happyさん
イィヴィ平野さんFreepage List
Calendar
Comments
Category