













残根上のCR(ダイレクトボンディング)8 2025.11.12
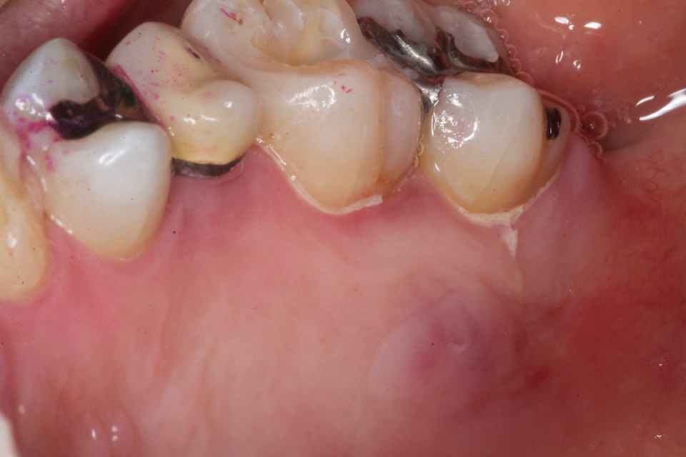
ブリッジ脱離で2次カリエス+Perでグラグ… 2025.11.01
ブリッジ脱離で2次カリエス+Perでグラグ… 2025.10.31
PR
Keyword Search
New!
Shige&Happyさん
イィヴィ平野さんFreepage List
Calendar
Comments
Category