








差し歯の末路1 2025.11.05
CRの2次カリエス0.2 2025.10.15
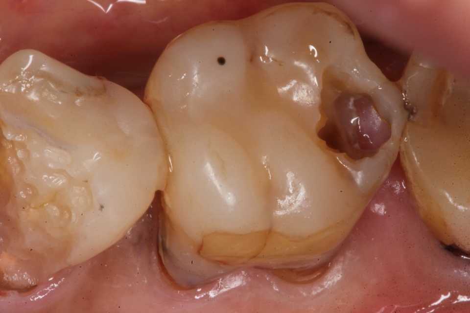
CRの2次カリエス0.1 2025.10.14
PR
Keyword Search
イィヴィ平野さん
Shige&HappyさんFreepage List
Calendar
Comments
Category