




乳歯の感染根管処置2 2025.07.20
乳歯の感染根管処置1 2025.07.17
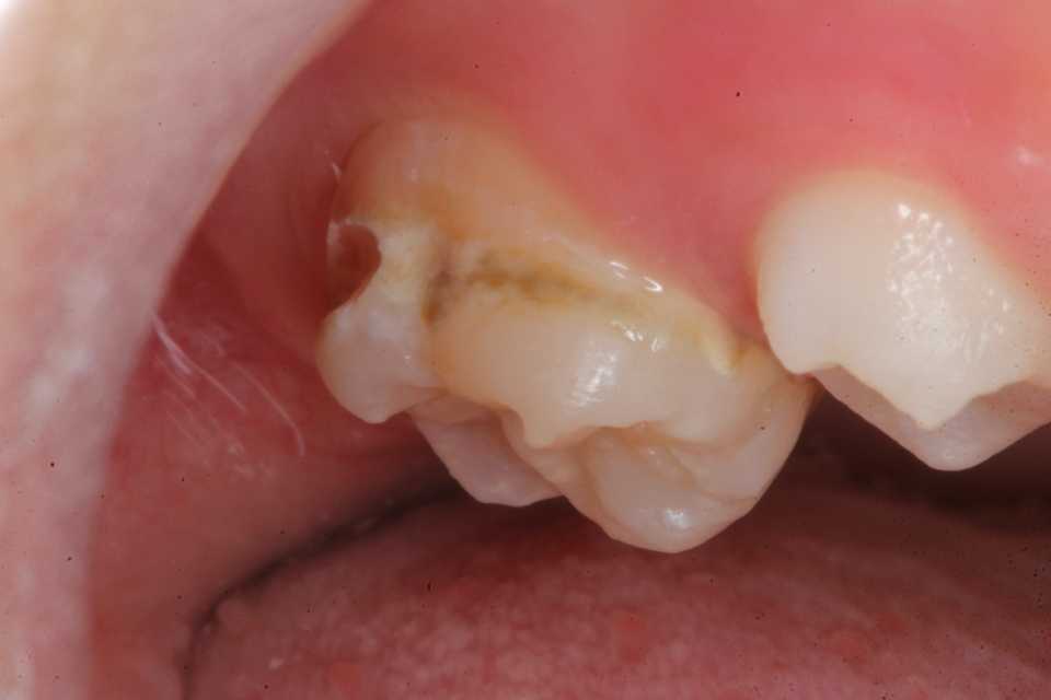
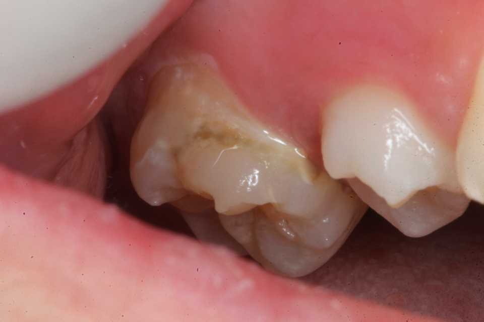
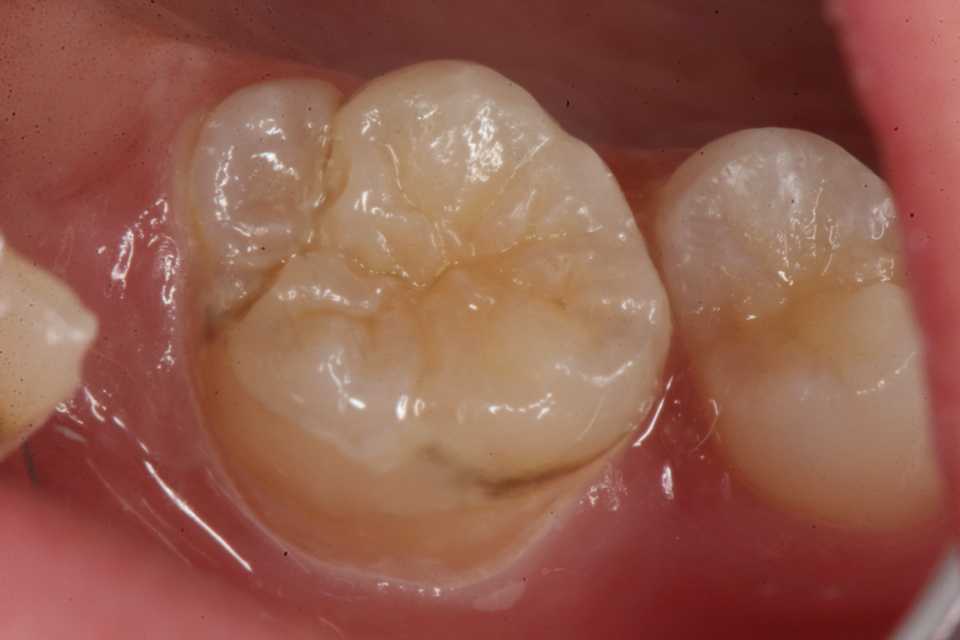
若い子の歯科治療シリーズ1.7(咬合面う蝕… 2025.06.28
PR
Keyword Search
イィヴィ平野さん
Shige&HappyさんFreepage List
Calendar
Comments
Category