



ディープバイトの矯正治療2 2025.10.23
ディープバイトの矯正治療1 2025.10.22
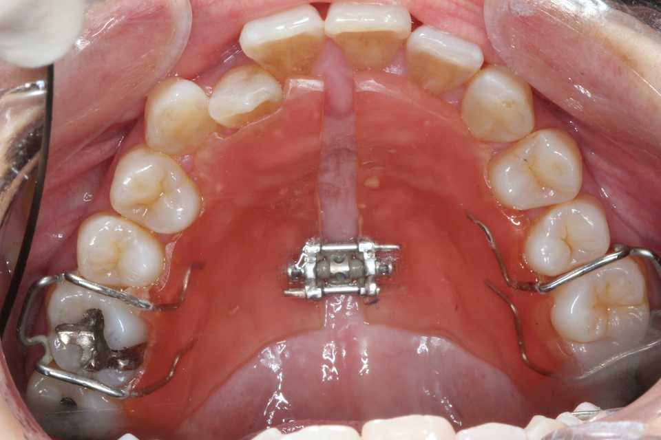
臼歯部のブラケット選定 2025.09.30
PR
Keyword Search
イィヴィ平野さん
Shige&HappyさんFreepage List
Calendar
Comments
Category