








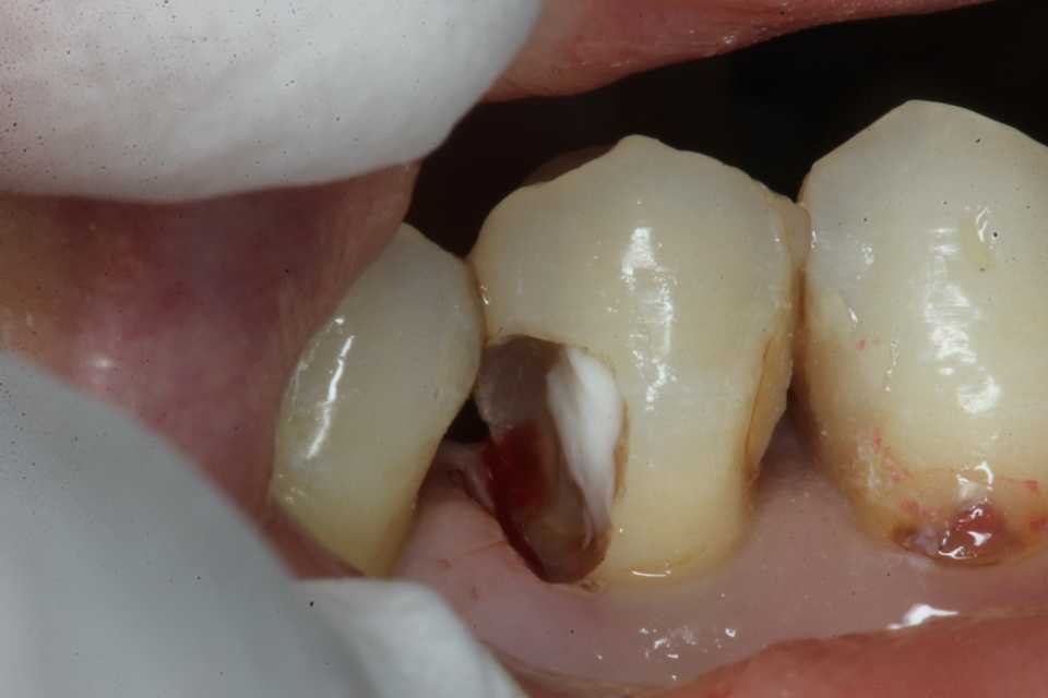
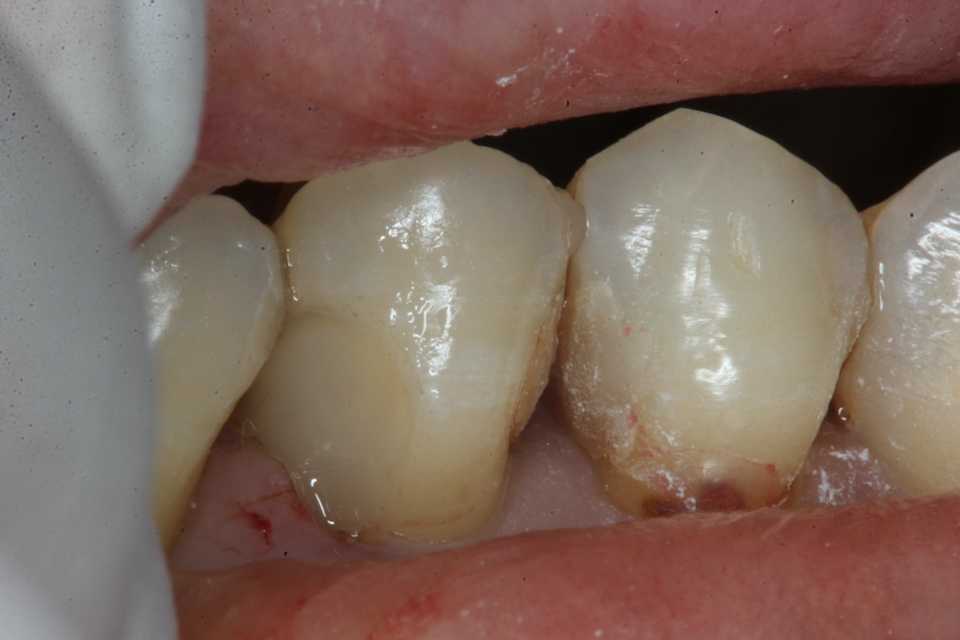
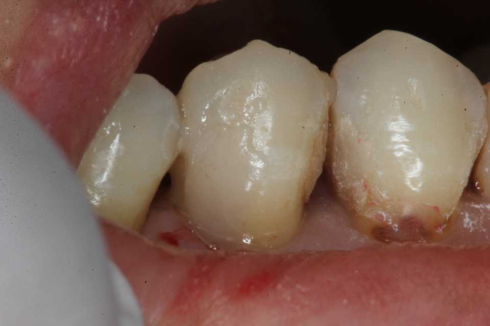
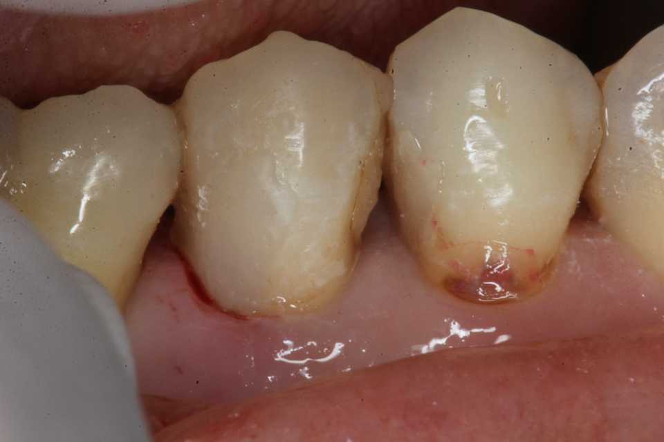
残根上のCR(ダイレクトボンディング)8 2025.11.12
ブリッジ脱離で2次カリエス+Perでグラグ… 2025.11.01
ブリッジ脱離で2次カリエス+Perでグラグ… 2025.10.31
PR
Keyword Search
イィヴィ平野さん
Shige&HappyさんFreepage List
Calendar
Comments
Category