I歯科医院の高楊枝通信。

I歯科医院の高楊枝通信。

2025/10/01
XML
70代女性、左下7、遠心2次カリエス?、時々痛い?

なぜ野戦病院かというと他院の治療が入っているとどうなっているのか全く分からないので、その場での対応になってしまうから。

昔からの患者さんのお母さんということで急遽遠くからいらっしゃった。
トラブルの経緯がよく分からず、現状どうなっているかもよく分からない。
お話を総合すると、

10年前ドックスベストによる充填治療を受けた。
時々ズンズンする?
地元の歯医者さんでクラウンにするか抜歯するしかない、と言われてどちらも嫌で、家に閉じこもって悩んでいたそうだ。

これがその歯医者さんでのレントゲン写真でデジタルなので陰影が強調されてひどい虫歯のように見える。



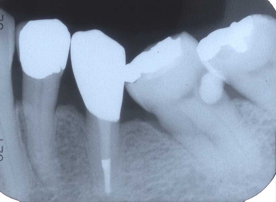
これがうちで撮ったアナログのレントゲン写真。神経に達しているのかそうではないのか、ギリギリと言った風情。充填してあったセメントは亜鉛華ユージノールセメントだった。歯髄鎮静作用があると言われているが、僕にはよく分からない。CRの硬化阻害作用があるので除去するしかないが、露髄させそうで難しかった。セメント除去にほとんどの時間を費やした。


これが処置前の画像。亜鉛華ユージノールセメント貼付などの処置はしないで欲しいというのが本音。


セメントを削り取る時に露髄させたり、すでに露髄していて細菌を根管内に押し込んだりと増悪リスクが高いだけだ。前医はどうせ神経を取ってクラウンとか治療困難に付き抜歯してインプラントとか思っているので、セメントを剥がすことがあるなどとは最初から考えていないのだろう。


セメントと軟化象牙質(虫歯)を除去するときに痛みがなかったのですでに歯髄は失活(死んでいる)している可能性は高いが、


3MIX+α-TCPセメントで覆罩して


CR充填することにして、経過観察することにした。






髄腔に感染している時は腫れる等の症状が出るので、その時の対応になる。そのまま歯髄がミイラ化して(乾酪壊死)症状が出ないこともある。それはそれでOKだ。





お気に入りの記事を「いいね!」で応援しよう

Last updated  2025/10/02 07:16:30 PM
コメント(2) | コメントを書く
[今日も野戦病院シリーズ] カテゴリの最新記事


■コメント

お名前
タイトル
メッセージ

利用規約 に同意してコメントを
※コメントに関するよくある質問は、 こちら をご確認ください。


Re:今日も野戦病院シリーズ23.0(10/01)  
Aga さん
母は全然痛くなかった!と感激していました!急なご対応ありがとうございました。
そのセメントを充填した歯科は、私がI歯科医院を知る以前に数回行ったところで、当時母にもオススメして、それでそこで治療を受けたそうです。ドックベストセメントと記憶していましたが、亜鉛華ユージノールセメントというやつだったのですね!実はかなりの厄介物だったんですね…

ちなみに、その歯科の現在のHPを見てみたら、ドックベストセメントやその他セメントについての記述は一切ありませんでしたw 当時はそれを売りにしていたと思うんですが。 (2025/10/02 06:19:54 AM)

Re[1]:今日も野戦病院シリーズ23.0(10/01)  
mabo400 さん
Agaさんへ
痛みがないということは神経はすでに死んでいて細菌感染しており、後で腫れたりすることもあるということです。その時は根管治療するしかないです。
このままなんともなければ良いのですが。。
ドックスベストも言われるほどではないですから、その歯医者さんトラブルが相次いだのでしょう。 (2025/10/02 06:45:49 PM)

【毎日開催】
15記事にいいね!で1ポイント
10秒滞在
いいね! -- / --
おめでとうございます!
ミッションを達成しました。
※「ポイントを獲得する」ボタンを押すと広告が表示されます。
x
X

PR

Keyword Search

▼キーワード検索

Favorite Blog

元英首相とハーボー… New! Condor3333さん

DIY Loudspeaker Bui… New! K459SSさん

E140という真空管 イィヴィ平野さん

ニッケル水素充電池 楽天ルシファーさん

2025年9月ソーラー発… toyotaka117117さん

Freepage List

重曹が虫歯を救う!?


重曹水の作り方


MMS口腔用二酸化塩素水の作り方


唾液中のHCO3(重曹成分)の濃度は?


重曹はみがき


重曹が虫歯に効くワケ2動画(酸の中和)


重曹水の作り方動画(重曹うがい用)


歯周病01。


歯周病解説その1~その4+おまけ。


咬合の常識と非常識


うがい剤 「プロトンフリー」、リリース!


使用している材料器具


α-TCPセメント+3MI○


僕が使っている機械器具・材料00


僕が使っている機械器具・材料01


CRでの隣接面の作り方


3MIXの作り方


3MIX(スリー・ミックス)


α-TCPの入手法と根管治療の応用法


歯と金属間の自然電位差


虫歯の常識、非常識1


虫歯とはどういうものか?


歯茎部カリエスの電気化学


ハイブリッドクラウンの2次カリエス1.3(2次カリエスの防ぎ方)


抜歯再植症例リスト0.01


ほんとうの虫歯の発生メカニズム


ほんとうの虫歯の発生メカニズム2


隣接面カリエスのでき方


虫歯は金属の錆や腐食と同じ0.52(虫歯の電気化学的解析)


虫歯の発生実験


無限大バッフルの製作0.00


無限大バッフルの製作0.01


無限大バッフルの製作0.02


無限大バッフルの製作0.03


無限大バッフルの製作0.04


無限大バッフルの製作0.05


無限大バッフルの製作0.06


無限大バッフルの製作0.07


無限大バッフルの製作0.08


無限大バッフルの製作0.09


無限大バッフルの製作0.10


無限大バッフルの製作0.11


無限大バッフルの製作0.12


無限大バッフルの製作0.13


無限大バッフルの製作0.14


無限大バッフルの製作0.15


無限大バッフルの製作0.16


無限大バッフルの製作0.17


無限大バッフルの製作0.18


歯の電気伝導経路(遠心歯根面カリエス)1


歯の電気伝導経路(遠心隣接面カリエス)2


歯の電気伝導経路(八島、藤森論文)3


ストリップスを使わない隣接面CR1.0(虫歯の電気化学説)


ストリップスを使わない隣接面CR1.1(虫歯の電気化学説)


1回で終わる根管治療8.0(α-TCP+3MIXによる根管充填法)


抜歯再植症例1.0


高カリエスリスク症例0.2(虫歯の電気化学説)


高カリエスリスク症例0.3(糖質と虫歯の関係)


高カリエスリスク症例0.4(糖質と虫歯の関係)


高カリエスリスク症例0.5(糖質と虫歯の関係)


高カリエスリスク症例0.6(糖質と虫歯の関係)


高カリエスリスク症例0.7(糖質と虫歯の関係)


高カリエスリスク症例0.8(糖質と虫歯の関係)


高カリエスリスク症例0.9(糖質と虫歯の関係)


高カリエスリスク症例1.0(糖質と虫歯の関係)


高カリエスリスク症例1.1(糖質と虫歯の関係)


高カリエスリスク症例1.2(右上6の再建)


高カリエスリスク症例1.3(右下6の修復、歯の発生上の虫歯の問題)


歯の発生のイメージ


高カリエスリスク症例0.0


高カリエスリスク症例0.1


1回で終わる根管治療(歯髄壊死症例)


部分的歯髄失活歯の歯髄保存法


CR歯冠再建法


ストリップスを使わない隣接面CR0.2


Calendar

Comments

mabo400@ Re[1]:今日も野戦病院シリーズ23.0(10/01) Agaさんへ 痛みがないということは神経は…
Aga@ Re:今日も野戦病院シリーズ23.0(10/01) 母は全然痛くなかった!と感激していました…
konkon0306@ Re:伝説の根管治療法3(Per+GA、3MIX+α-TCPの入手法)(09/08) お忙しいところお返事ありがとうございま…
mabo400@ Re[1]:きのこ(09/24) 楽天ルシファーさんへ 考えすぎかもしれ…
楽天ルシファー @ Re:きのこ(09/24) オオシロカラカサタケ、成程納得です。オ…

Category

カテゴリ未分類

(16)

虫歯の電気化学説

(323)

削らない・抜かない歯科治療

(1053)

オーディオ

(988)

もったいない学会

(448)

バイオフィルム

(29)

フッ素について

(19)

メインテナンス歯科

(8)

食べること。

(151)

太陽

(154)

虫歯予防一口メモ

(50)

電気二重層キャパシタ

(3)

エネルギー

(64)

節電

(53)

地球温暖化

(33)

マネー

(170)

ドクターのつれづれ。

(578)

江戸時代

(12)

お知らせ

(164)

院内感染対策。

(18)

食料備蓄

(6)

発明塾

(37)

スタッフからの便り

(12)

都市農業

(144)

歯科検診

(9)

プリウス

(13)

マイクロ水力発電

(4)

秋月

(9)

モデル

(38)

原発

(335)

ソーラーハウス

(922)

アマチュア無線

(10)

幸運を呼ぶシリーズ

(15)

ダイアグノデント

(5)

義歯

(249)

試作スピーカー

(343)

外傷性咬合

(85)

今日の諦めよっかな〜、、wシリーズ

(63)

今日の充填治療シリーズ

(188)

今日の抜歯再植術シリーズ

(214)

今日の2次カリエスシリーズ

(37)

今日の何やっているの?シリーズ

(85)

若い子の歯科治療シリーズ

(45)

今日も野戦病院シリーズ

(64)

今日の歯列矯正シリーズ

(75)

CPUを創ろう

(7)

拾った?ネコ

(3)

ボロボロシリーズ

(25)

近未来の根管治療シリーズ

(119)

before/after シリーズ

(31)

スーパーテクニック・シリーズ

(51)

ストリップスを使わない隣接面CRシリーズ

(105)

コーヌス義歯の製作過程

(40)

究極のワンオペ歯科治療

(8)

α-TCP

(5)

© Rakuten Group, Inc.

Mobilize your Site
スマートフォン版を閲覧 | PC版を閲覧
Share by: