









差し歯の末路1 2025.11.05
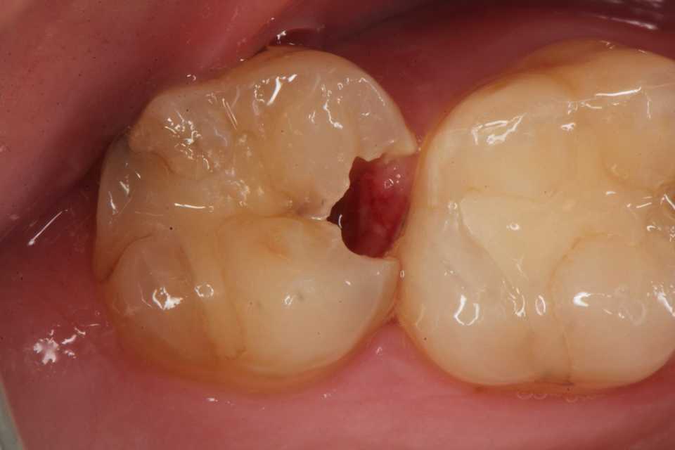
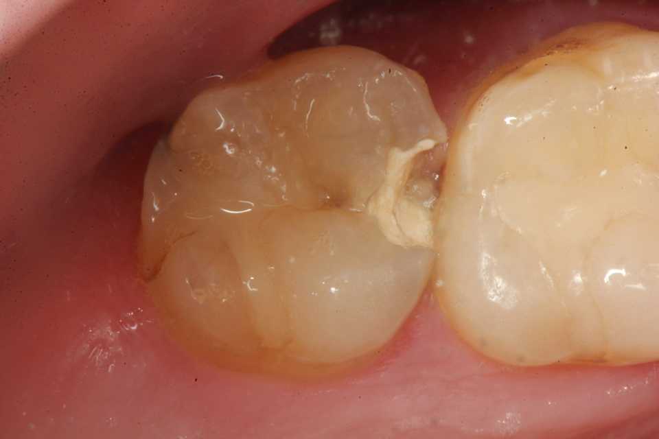
CRの2次カリエス0.1 2025.10.14
他院で神経を取るしかないと言われた症例2 2025.07.19
PR
Keyword Search
イィヴィ平野さん
Shige&HappyさんFreepage List
Calendar
Comments
Category