








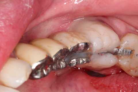
今日の抜歯再植術シリーズ39.3 2025.11.16
今日の抜歯再植術シリーズ39.2 2025.11.15
今日の抜歯再植術シリーズ39.1 2025.11.14
PR
Keyword Search
New!
イィヴィ平野さん
New!
Shige&HappyさんFreepage List
Calendar
Comments
Category