







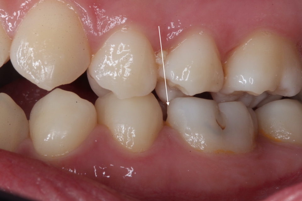
外傷性咬合のトラブル12.0(外傷性歯冠破… 2025.09.17
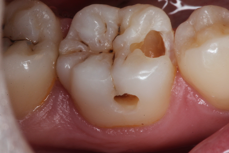
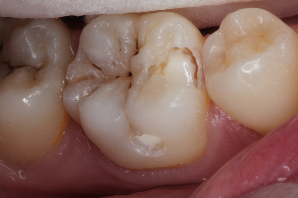
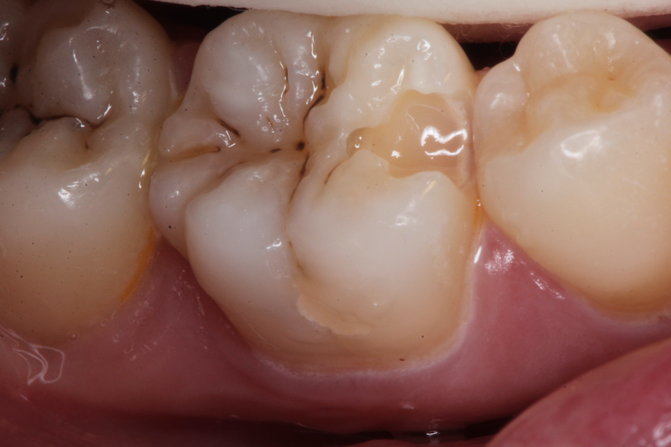
歯茎部カリエス(応力腐食割れ)0.2 2025.08.01
歯茎部カリエス(応力腐食割れ)0.1 2025.07.31
PR
Keyword Search
New!
イィヴィ平野さん
Shige&HappyさんFreepage List
Calendar
Comments
Category