
















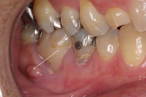
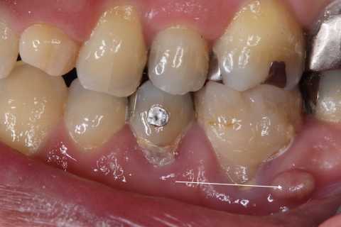
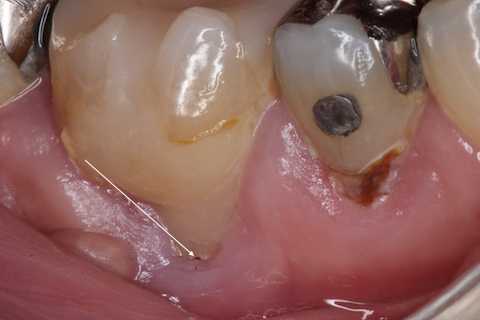
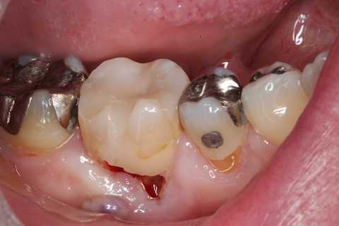
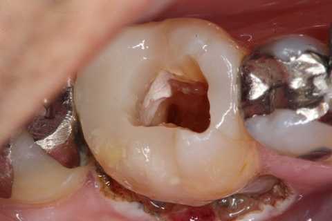
残根上のCR8 2025.10.28
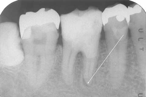
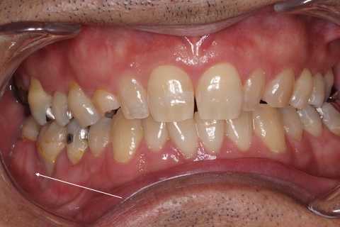
伝説の根管治療法4(Per+GA、3MIX+α-TCP) 2025.10.27
伝説の根管治療法3(Per+GA、3MIX+α-TCPの… 2025.09.08 コメント(7)
PR
Keyword Search
New!
イィヴィ平野さん
Shige&HappyさんFreepage List
Calendar
Comments
Category