I歯科医院の高楊枝通信。

I歯科医院の高楊枝通信。

2025.03.08
XML
カテゴリ: 虫歯の電気化学説
これに視点を置いた症例をしばらくアップしてみようと思う。

異種金属接触腐食 ​とは2種類のイオン化傾向の異なる金属間に電位差が生じるとイオン化傾向が高い方の金属が溶けるということを指している。

まだ一般には知られていないのだが、虫歯も基本的にはこれだ。
これを「​ 虫歯の電気化学説 ​」と呼ぶ。

db7376d164d23a8cb79236ff3723dfa9e78cd7fb.13.2.9.2.gif
http://www.yoshizaki-mekki.co.jp/eigyou/aen/zn.html


歯の象牙質とエナメル質では象牙質の方が​ イオン化傾向が高い。
だから​ エナメル質より象牙質の方が虫歯になりやすい。

歯には電子ではなく水素イオンが流れる ​。

このことから歯質が酸性環境(水素イオンが多い環境)にあり、歯の内外にイオン化傾向等の電位差が生じれば虫歯になる。

従来の歯が酸で溶けたものが虫歯という説明では、なぜエナメル質が溶けずに内部の象牙質だけが溶けるのか合理的な説明ができない。

歯科医学では象牙質はエナメル質より 柔らかいので 象牙質が 溶ける と思われているが、柔らかいというのと溶けやすいというのは別個の概念なので、そもそも同一視することはできないはずだ。

ではそのCR再建症例を時系列でどうぞ

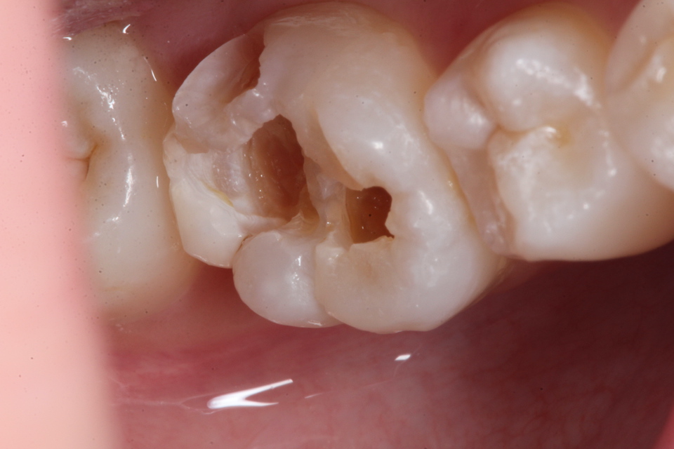
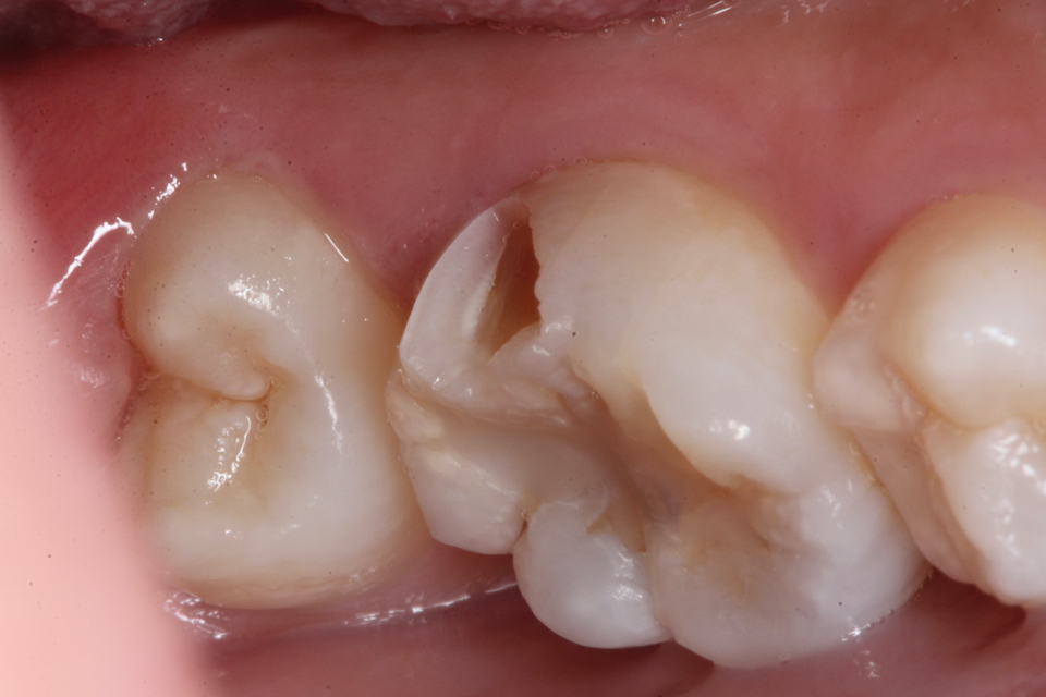
現在14歳女子、右下6、咬合面カリエス、咬合性外傷(食いしばり)、自覚症状なし

元々咬合面に深い溝や窩が歯の発生の過程でできることがあるのだが、そこから象牙質とエナメル質との間のイオン化傾向(自然電位)の差と虫歯の穴の中とその外部の間の酸素濃度差による起電力により虫歯が進行するタイプだ。
さらに外傷性咬合により微細なクラックがエナメル質に入り、虫歯の進行を助長する。

この子は2年後に象牙質の虫歯の進行によりエナメル質が欠けたので再治療した。内部の象牙質がほとんどなくなっているので、過大な咬合力に耐えられない。どうしたものか。。


ということで、前回のつづきです。

https://plaza.rakuten.co.jp/mabo400dc/diary/202503060000/

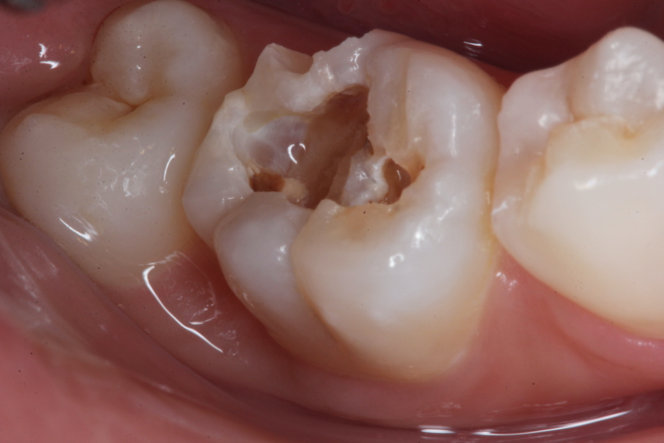
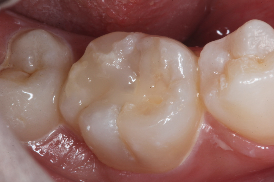
通常の歯科治療では神経を取って被せるということになるのだが、2次象牙質もできていて痛みもないのでそのままCRで再建した。

この方がトータルでは歯の寿命は長くなる。神経を取った歯は10年〜50年後には抜歯になってしまう。治療が上手くいっていても平均30年位か? 



・・突然歯が欠けたということでやってきた。内部の象牙質は虫歯になっていてプロセスチーズくらいの柔らかさになっていた。多数のクラックが見えると思う。

破折面を見てみると面白いことがわかる。内側から狐色の軟化象牙質(虫歯)、白い脱灰(腐食)が始まっているエナメル質、外側の半透明層が健全なエナメル質だ。なぜこうなるのか?現在の歯科医学の水準では説明が付かない。電気化学的になら説明ができるが、ちょっと眠たくなってきたので、日を改めて。


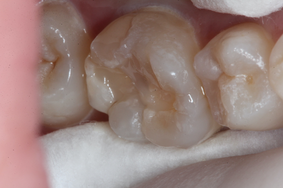
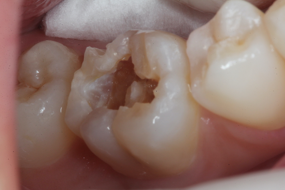
虫歯を除去していく過程






3MIX+α-TCP


CR充填再建過程











お気に入りの記事を「いいね!」で応援しよう

Last updated  2025.03.09 10:53:39
コメントを書く
[虫歯の電気化学説] カテゴリの最新記事


【毎日開催】
15記事にいいね!で1ポイント
10秒滞在
いいね! -- / --
おめでとうございます!
ミッションを達成しました。
※「ポイントを獲得する」ボタンを押すと広告が表示されます。
x
X

PR

Keyword Search

▼キーワード検索

Favorite Blog

小屋裏昇降はしごの… New! toyotaka117117さん

12A6という真空管 New! イィヴィ平野さん

ウと英の情報機関は… New! Condor3333さん

2025年「馬見丘陵公… リュウちゃん6796さん

守れないゴミ出しの… Shige&Happyさん

Freepage List

重曹が虫歯を救う!?


重曹水の作り方


MMS口腔用二酸化塩素水の作り方


唾液中のHCO3(重曹成分)の濃度は?


重曹はみがき


重曹が虫歯に効くワケ2動画(酸の中和)


重曹水の作り方動画(重曹うがい用)


歯周病01。


歯周病解説その1~その4+おまけ。


咬合の常識と非常識


うがい剤 「プロトンフリー」、リリース!


使用している材料器具


α-TCPセメント+3MI○


僕が使っている機械器具・材料00


僕が使っている機械器具・材料01


CRでの隣接面の作り方


3MIXの作り方


3MIX(スリー・ミックス)


α-TCPの入手法と根管治療の応用法


歯と金属間の自然電位差


虫歯の常識、非常識1


虫歯とはどういうものか?


歯茎部カリエスの電気化学


ハイブリッドクラウンの2次カリエス1.3(2次カリエスの防ぎ方)


抜歯再植症例リスト0.01


ほんとうの虫歯の発生メカニズム


ほんとうの虫歯の発生メカニズム2


隣接面カリエスのでき方


虫歯は金属の錆や腐食と同じ0.52(虫歯の電気化学的解析)


虫歯の発生実験


無限大バッフルの製作0.00


無限大バッフルの製作0.01


無限大バッフルの製作0.02


無限大バッフルの製作0.03


無限大バッフルの製作0.04


無限大バッフルの製作0.05


無限大バッフルの製作0.06


無限大バッフルの製作0.07


無限大バッフルの製作0.08


無限大バッフルの製作0.09


無限大バッフルの製作0.10


無限大バッフルの製作0.11


無限大バッフルの製作0.12


無限大バッフルの製作0.13


無限大バッフルの製作0.14


無限大バッフルの製作0.15


無限大バッフルの製作0.16


無限大バッフルの製作0.17


無限大バッフルの製作0.18


歯の電気伝導経路(遠心歯根面カリエス)1


歯の電気伝導経路(遠心隣接面カリエス)2


歯の電気伝導経路(八島、藤森論文)3


ストリップスを使わない隣接面CR1.0(虫歯の電気化学説)


ストリップスを使わない隣接面CR1.1(虫歯の電気化学説)


1回で終わる根管治療8.0(α-TCP+3MIXによる根管充填法)


抜歯再植症例1.0


高カリエスリスク症例0.2(虫歯の電気化学説)


高カリエスリスク症例0.3(糖質と虫歯の関係)


高カリエスリスク症例0.4(糖質と虫歯の関係)


高カリエスリスク症例0.5(糖質と虫歯の関係)


高カリエスリスク症例0.6(糖質と虫歯の関係)


高カリエスリスク症例0.7(糖質と虫歯の関係)


高カリエスリスク症例0.8(糖質と虫歯の関係)


高カリエスリスク症例0.9(糖質と虫歯の関係)


高カリエスリスク症例1.0(糖質と虫歯の関係)


高カリエスリスク症例1.1(糖質と虫歯の関係)


高カリエスリスク症例1.2(右上6の再建)


高カリエスリスク症例1.3(右下6の修復、歯の発生上の虫歯の問題)


歯の発生のイメージ


高カリエスリスク症例0.0


高カリエスリスク症例0.1


1回で終わる根管治療(歯髄壊死症例)


部分的歯髄失活歯の歯髄保存法


CR歯冠再建法


ストリップスを使わない隣接面CR0.2


Calendar

Comments

mabo400@ Re[1]:重曹水の作り方動画(重曹うがい用)(11/15) New! 楽天ルシファーさんへ そうですね。局方…
楽天ルシファー @ Re:重曹水の作り方動画(重曹うがい用)(11/15) New! 巷では、色々な種類と名称が付いた重曹が…
mabo400@ Re:TOA(11/13) New! mizさんへ おはようございます、頑張られ…
miz@ TOA <small> <a href="https://www.youtube.c…
mabo400 @ Re[1]:超高齢化の現実3.0(10/30) 楽天ルシファーさんへ そうなんですよ。。…

Category

カテゴリ未分類

(18)

虫歯の電気化学説

(324)

削らない・抜かない歯科治療

(1053)

オーディオ

(990)

もったいない学会

(450)

バイオフィルム

(29)

フッ素について

(19)

メインテナンス歯科

(8)

食べること。

(151)

太陽

(154)

虫歯予防一口メモ

(50)

電気二重層キャパシタ

(3)

エネルギー

(64)

節電

(53)

地球温暖化

(33)

マネー

(170)

ドクターのつれづれ。

(578)

江戸時代

(12)

お知らせ

(167)

院内感染対策。

(18)

食料備蓄

(6)

発明塾

(37)

スタッフからの便り

(12)

都市農業

(144)

歯科検診

(9)

プリウス

(13)

マイクロ水力発電

(4)

秋月

(9)

モデル

(38)

原発

(335)

ソーラーハウス

(923)

アマチュア無線

(10)

幸運を呼ぶシリーズ

(15)

ダイアグノデント

(5)

義歯

(250)

試作スピーカー

(346)

外傷性咬合

(85)

今日の諦めよっかな〜、、wシリーズ

(63)

今日の充填治療シリーズ

(188)

今日の抜歯再植術シリーズ

(217)

今日の2次カリエスシリーズ

(40)

今日の何やっているの?シリーズ

(88)

若い子の歯科治療シリーズ

(45)

今日も野戦病院シリーズ

(68)

今日の歯列矯正シリーズ

(77)

CPUを創ろう

(7)

拾った?ネコ

(3)

ボロボロシリーズ

(25)

近未来の根管治療シリーズ

(122)

before/after シリーズ

(31)

スーパーテクニック・シリーズ

(52)

ストリップスを使わない隣接面CRシリーズ

(108)

コーヌス義歯の製作過程

(40)

究極のワンオペ歯科治療

(8)

α-TCP

(18)

フリーページ

(6)

© Rakuten Group, Inc.
X

Mobilize your Site
スマートフォン版を閲覧 | PC版を閲覧
Share by: