



今日の抜歯再植術シリーズ39.1 2025.11.14
今日の抜歯再植術シリーズ39.0 2025.11.13
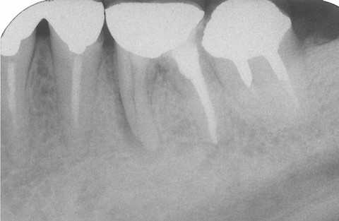
今日の抜歯再植術シリーズ38.3 2025.10.14
PR
Keyword Search
New!
イィヴィ平野さん
Shige&HappyさんFreepage List
Calendar
Comments
Category