











若い子の歯科治療シリーズ1.8(頬側面カリ… 2025.09.20
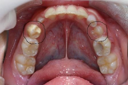
乳歯の感染根管処置2 2025.07.20
乳歯の感染根管処置1 2025.07.17
PR
Keyword Search
New!
イィヴィ平野さん
Shige&HappyさんFreepage List
Calendar
Comments
Category