







超高齢化の現実3.0 2025.10.30 コメント(2)
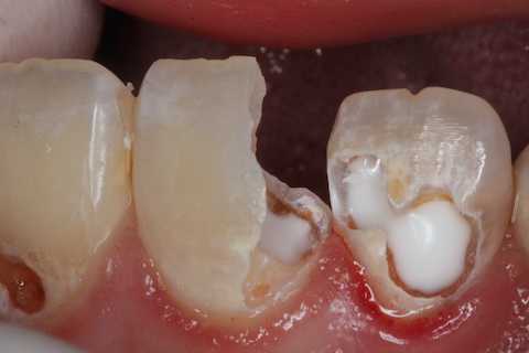
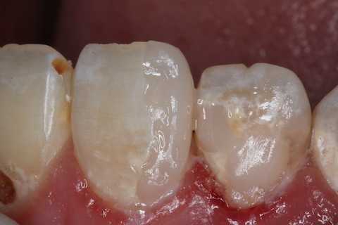
今日も野戦病院シリーズ26(CK破折) 2025.10.25
今日も野戦病院シリーズ25(ポスト脱離) 2025.10.21
PR
Keyword Search
New!
イィヴィ平野さん
Shige&HappyさんFreepage List
Calendar
Comments
Category