













今日の抜歯再植術シリーズ35.3 2025.11.19
今日の抜歯再植術シリーズ39.3 2025.11.16
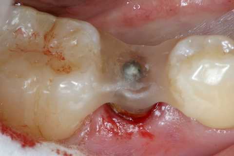
今日の抜歯再植術シリーズ39.2 2025.11.15
PR
Keyword Search
New!
イィヴィ平野さん
Shige&HappyさんFreepage List
Calendar
Comments
Category