








超高齢化の現実3.0 2025.10.30 コメント(2)
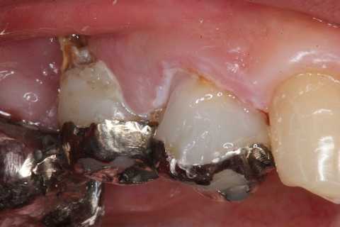
今日も野戦病院シリーズ26(CK破折) 2025.10.25
今日も野戦病院シリーズ25(ポスト脱離) 2025.10.21
PR
Keyword Search
Shige&Happyさん
イィヴィ平野さんFreepage List
Calendar
Comments
Category