








超高齢化の現実3.0 2025.10.30 コメント(2)
今日も野戦病院シリーズ25(ポスト脱離) 2025.10.21
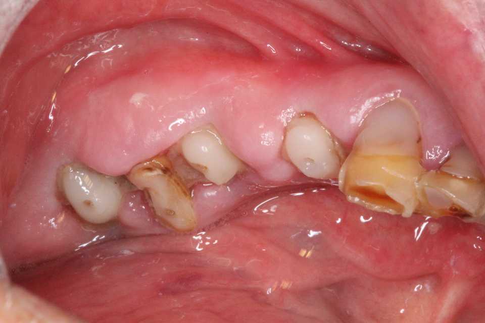
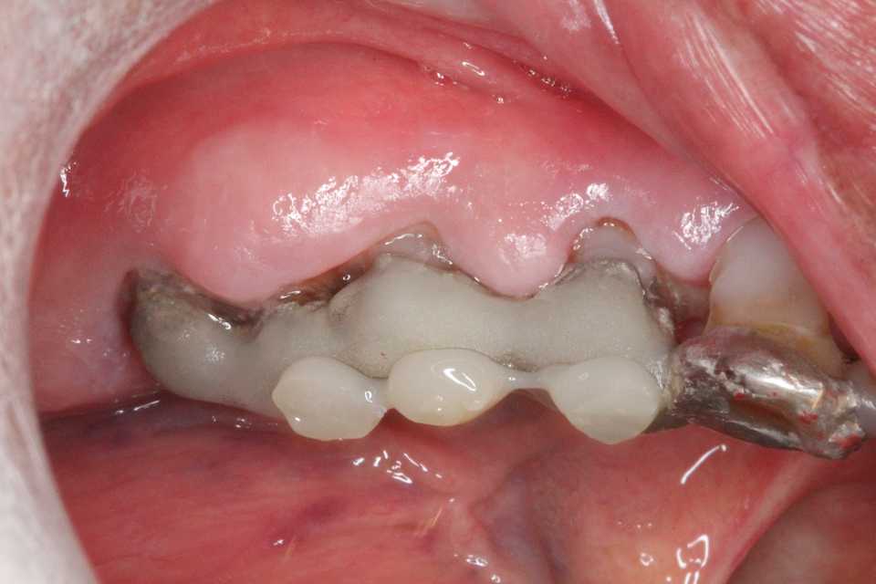
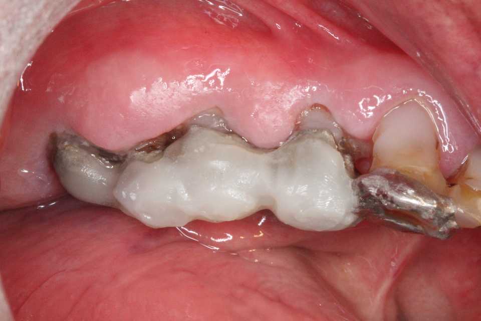
今日も野戦病院シリーズ24.1(歯牙破折) 2025.10.18
PR
Keyword Search
イィヴィ平野さん
Shige&HappyさんFreepage List
Calendar
Comments
Category