全74件 (74件中 1-50件目)

明日の朝は末の娘のピアノの発表会だそうで、(今日知りましたw)生録しようとレコーダーやらマイクロフォンやらを引っぱり出してきました。S社のレコーダーとパナのマイク、コルグのレコーダーとB&Kのマイクの2系統での録音になるでしょう。曲目はJ.S.Bach 2声のインベンション第4番だそうですw
2015.02.28
コメント(0)

歯科医学の教科書的には片側遊離端義歯の片側処理は成立しないかのごとく言われているが、そんなことは全くない。最近よく作っていますw
2015.02.28
コメント(0)
(新サイトに全ての記事を移転しました。)【記事移転先リンク】 【http://mabo400dc.com/】
2015.02.28
コメント(0)
(新サイトに全ての記事を移転しました。)【記事移転先リンク】 【http://mabo400dc.com/】
2015.02.28
コメント(0)
(新サイトに全ての記事を移転しました。)【記事移転先リンク】 【http://mabo400dc.com/】
2015.02.28
コメント(0)

今日は基礎に鉄筋付きアンカーボルトを打ち込み、1段目のブロックを並べました。水糸を12cm間隔で張り、その間に並べました。ドア部分は厚さ10cmを17mm高く、その他は厚さ12cmを使いました。壁は厚さ10cmのブロックですので、2cm余りますが、この部分に3cm厚の無垢の杉の床材を乗せようと思っています。ドア部分が17mm高いのは、ドアの内側より外側の方が17mm低いからです。お風呂と脱衣所の間のドアに使う予定の余った勝手口ドアW780mm×H2070mm明かり採り用のW780mm×H1780mmのフィックス窓
2015.02.27
コメント(0)

今日はバスタブの台を190mmのブロックを2個水平に並べて、その間に断熱材を敷いたりした後で、壁を作るために、厚さ120mmのブロックを間仕切りのFIX窓の幅に合わせてカットしました。9個カットして、壁の土台に乗せて、仮置きしてみたところ。あ”〜っ、、幅が違うではないですか、、、!土台は厚さ100mmのところ、壁用に間違って120mmを購入していました。全部カットしてから気が付いても、後の祭りです^^;
2015.02.26
コメント(0)

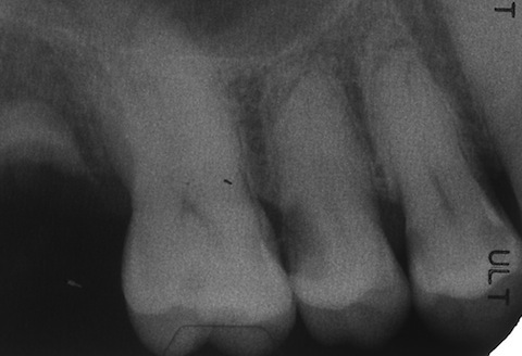
50代男性、右上5、6隣接面カリエス。冷水痛+。レントゲンで見ると、大きな虫歯に見えるが、肉眼ではそれほどでもない。エナメル質は全く溶けていないが、内部の象牙質だけが溶けている。この虫歯を見逃す歯医者はいないと思うが、なぜ象牙質だけが溶けるのか?という質問に答えられる歯医者は世界中探してもいない。できるのは僕だけwhttp://plaza.rakuten.co.jp/mabo400dc/diary/?PageId=11&ctgy=23歯はハイドロキシアパタイトというイオン電導性セラミックスが主成分で、電気(水素イオン)を通すことが知られていて、そのイオン化傾向を測ることもできる。http://plaza.rakuten.co.jp/mabo400dc/diary/201210150002/しかも象牙質の方がエナメル質よりわずかながらイオン化傾向が大きい。また、歯をpH3程度の酸性水溶液中に1ヶ月漬け込んでも溶けないが、外部から電圧をかけると簡単に溶ける。http://plaza.rakuten.co.jp/mabo400dc/diary/201210150000/これらのことから、この虫歯は象牙質とエナメル質を両電極とした局部電池が形成されることにより陰極となる象牙質だけが溶けると説明できる。ところが、世界中の歯医者はこのような虫歯を見慣れているが、なぜ、こういう虫歯ができるのかというのは知らない。ただ単に修復することができるだけだ。ところがCR充填すらできない歯医者は多い(というかほとんどだ)。なぜなら、世界中の歯医者は虫歯は細菌感染症だと思い込んでおり、虫歯を完全に除去しないと虫歯は再発すると信じ込んでいるからだ。このケースでは虫歯を完全に除去すると神経を取らざるを得なくなり、CR充填の適応症ではないと思い込んでいる。しかし、そうではない。虫歯を残しても、辺縁封鎖が完全なら、何の問題も生じない。要するに、虫歯があっても電気的に絶縁すればよいということだ。もちろん技術的な問題は大きいが。この症例のCR充填治療の所要時間は1時間。一回で終わり、神経も取らない、削って冠を被せるのも必要にならない。なんとコストパフォーマンスが高いことか!w
2015.02.25
コメント(0)

^^/80代男性、左下56欠損。
2015.02.25
コメント(0)

まあ、こんな義歯でも患者の口の中で機能するのを見るのは気持ちがよいもので、ちょっとワクワクしながら患者が来るのを待っているわけですw後1時間、16:00のアポイントです。+(0゚・∀・) + ワクワクテカテカ +なぜ歯医者では義歯を作るのか?というと、歯を削ったり抜いたりして義歯を作ることしか知らないからです。予防と言っても、本当の虫歯の原因さえ解っていないのですよ。予防なんか出来るはずが無い。フッ素とか、効くのかどうかすらよく判らないものに頼っているのが歯科業界の現状です。おまじないみたいなものですwというより、ハロゲン族(フッ素も)は金属腐食の促進要因(虫歯の促進要因)ですw歯はイオン電導性(電気が流れる)があるというだけで、虫歯は金属の電気的腐食と同じものだということはすぐ解るはずなのに、ひたすら目を背けている。要するに、虫歯予防なんかできてしまったら、おまんまの食い上げになる、それだけですw世界中の歯医者がですwもういい加減に気が付きましょうww
2015.02.25
コメント(0)

昨日のつづきですが、この安い義歯を作りながら、柄にもなく落ち込んでいました。僕は技工の師匠が作ったコーヌス義歯以外では、ある歯科医師が作ったコーヌスしか見たことがないのです。実はこの症例にはそのコーヌス義歯が入っていたのですが、支台歯がだめになって、内冠が自然脱落しました。どこから見ても無理筋のコーヌス義歯で、そんなものを入れる必要性があるかどうかすら判らない、そんなコーヌス義歯でした。この歯科医師は自分の技術をひけらかしたいだけなのか?単にお金が欲しいだけなのか?ああ、この患者はクイモノなんだな。。でも、だれだってお金は欲しいよね。この義歯の前後の歯はコーヌス義歯の一部です。抜けた所以外の外冠を義歯から切り離して合着し、再利用しました。抜けたところに義歯を作りましたが、前後の歯に引きずられました。形が悲惨。。僕も20年前は、お金が欲しくてコーヌス義歯をたくさん作りました。今から考えると、もしかしたら、この安い義歯を作る技術があれば、コーヌス義歯は要らなかったかもしれないとか、考えたりして落ち込んでいます。ま、今更ですがw補綴物など、所詮そんなモノです。クイモノ。あほくさw
2015.02.24
コメント(0)
(新サイトに全ての記事を移転しました。)【記事移転先リンク】 【http://mabo400dc.com/】
2015.02.24
コメント(0)
(新サイトに全ての記事を移転しました。)【記事移転先リンク】 【http://mabo400dc.com/】
2015.02.24
コメント(0)

バガボンドという吉川英二原作のコミックを読んでいたら、こんなものしか出来ませんでしたw義歯フレームとリテーナー
2015.02.23
コメント(0)

アルミ加工も前回からだいぶ時間が空いてしまいました。今日は穴開け加工をします。まず、穴を開ける場所を図面を見ながらノギスとデバイダーを使って決めます。センターポンチがなければ、ピンバイスに1mmのドリルを付けて、ガイドを掘ります。貫通させる必要性はありません。1mmのドリルはプリント基板に穴を開けるときにも使いますので常備品です。うちにはボール盤がありますが、なければ電動ドリルで斜めにならないように穴を開けます。最初はφ2.5mm位から始めて、段々大きくします。3mmのねじのタップ切りならφ2.5mmのまま。3mmのねじならφ3.2~3.3mmのドリルを使います。4mmのねじならφ4.3mmのドリルです。それ以上は、目的の大きさと同じか0.5mmほど細めのドリルで開けて、ドリルの大きめのサイズがなければ、リーマーが入るなるべく大きな穴を開け、リーマーで現物に合わせながら、穴を拡大していきます。バリは丸ヤスリで取って仕上げます。部品を取り付け、ヤスリで微調整します。4つ加工しましたが、後はやってください。最初の穴の位置決めが肝心です。ここでズレると穴が大きくなるにしたがいズレが目立ちます。その時は所定の穴の大きさになる前にヤスリで修正します。
2015.02.23
コメント(0)

ソーラーハウスの現場では、バスタブやそれに関する排水、給水管の立体的なイメージというか取合いと考えていました。特に排水系統は勾配が取れないと、ちゃんと流れないので、きっちりイメージしておかねばなりません。排水系の上に給水系の配管が交差します。拡大バスタブは190mmのブロックを使わないと排水系の勾配が取れませんでした。バスタブを置くブロックの穴の中を温水2系統、水道1系統のφ13mmの配管が通ります。壁は右がドア、左にはw740mm×H1840mmのペアガラスのフィックス窓を発注しました。左端のブロックはカットしないと窓が収まりません。きつい作業ですが、仕方が無いです。。バスタブと壁の間はタイルをカットしないでよいという前提で166mmに決定しました。手持ちの100mm厚のスタイロフォームを加工して壁に接着してタイルを貼る台を作る予定。ブロックを積んで作るのは体力的に難しいので、手抜きをします。この上には乗らないようにw
2015.02.23
コメント(0)
消されないうちに一部引用しておきます。「ダボス階級」という単語が出て来ましたね。1%に満たない世界の支配者wこの人達の私利私欲に任せていたのでは、経済システムだけではない、地球そのものに持続可能性はありません。ーーここからーーなぜ1%にも満たない富裕層が世界を支配するのかグローバリゼーションによる格差拡大を止めるには――トランスナショナル研究所フェロー スーザン・ジョージ氏インタビュー大野和基 【第73回】 2012年2月13日グローバリゼーションは経済的な恩恵をもたらす一方で、国家間、社会階層間などさまざまなレベルで格差の拡大という弊害を生んでいるともいわれる。我々は今後、もはやその流れを押しとどめることは不可能とさえいわれるグローバリゼーションと、どう向き合っていけばいいのか。反グローバリゼーションの論客として知られ、昨年末に著書『これは誰の危機か、未来は誰のものか――なぜ1%にも満たない富裕層が世界を支配するのか』が日本でも発売されたスーザン・ジョージ氏に聞いた。(聞き手/ジャーナリスト 大野和基)グローバリゼーションはプラスかマイナスかスーザン・ジョージ(Susan George)1934年アメリカ生まれ、パリ在住の政治経済学者、社会運動家。現在は民間シンクタンクのトランスナショナル研究所フェロー。76年刊行の『なぜ世界の半分が飢えるのか―食糧危機の構造』(朝日選書)が世界的ベストセラーとなり、以後、新自由主義的グローバリゼーション批判の急先鋒として知られる。近著は『これは誰の危機か、未来は誰のものか―なぜ1%にも満たない富裕層が世界を支配するのか』(岩波書店)。――グローバリゼーションは恩恵とともに、格差の拡大のようなマイナス面ももたらしたが、全体的に見てマイナス面よりもプラス面を多くもたらしたと思いますか。 まず最初に、私は「グローバリゼーション」という言葉を単独では使いません。修飾語がないと、あまり意味がないと思うからです。この30年間、我々が経験してきたのは、「新自由主義のグローバリゼーション」であって、それは格差を拡大することしかしなかったと思います。 さらに、グローバリゼーションというのは誤解を招く言葉です。みんなが一つの幸せな家族であり、お互いの手を取り合って、約束の地に向かって行進しているような印象を与えるからです。それはまったく真実ではありません。 いままで何度も指摘してきましたが、グローバリゼーションというのはベストな人、ベストな国、さらにそういう国のベストな部分だけを見て言っており、残りの莫大な数の人や地域を除外しています。ですから全体的に見れば、グローバリゼーションは失敗しています。 例えば、中国は貧困レベルを減少させるのに大きな成功を収めましたが、インドはそれほどではありません。彼らは確かに自由貿易から恩恵を得ましたが、世界中の貧困という観点からは、グローバリゼーションから得たものはほとんどないのです。――まったく同感です。ある特定の社会の、特定の部分は間違いなく恩恵を得ました。しかし、能力がないと恩恵を受けることはできません。また、「移動可能」という性質がないと恩恵を受けることはできません。あまりスキルがなかったり、場所が固定されていたりする場合は、グローバリゼーションから恩恵を得ることはできないのです。恩恵を受けたのはごく一部の「ダボス階級」のみ――つまり、いま我々が直面している危機を起こしたのは、多国籍企業の、新自由主義のエリートということでしょうか。 そうです。私はそれを「ダボス階級」と呼んでいますが、グローバリゼーションはそういう非常に少数の階級の人にだけ完全な自由を与え、彼らはできるだけ速く大儲けをするべく規制を緩和し、国営のものを民営化するためにその自由を利用してきたのです。 しかもこのシステムは長期的なフォーカスを持っていません。長持ちする、包括的なシステムとしては考えられていないのです。市場は万能であり、自己規制が働くというのはまったくのナンセンス。民営化すると何でもうまくいくというのは、完全に間違っています。 私が言う真のグローバリゼーションは、一種の普遍的な、ユニバーサルな福祉国家に向かってさらに進むことであり、いま起きている「新自由主義のグローバリゼーション」ではありません。グローバリゼーションの成功とは、ユニバーサルな福祉国家の実現のことです。――それは日本にも当てはまるでしょうか。福島原発事故で露わになったように、会社が儲けたときは利益は会社が獲得し、このレベルの大事故が起きると国民がその損失の負担を負う。こういうシステムは筋が通らないと思いますが、どうでしょうか。 あなたの言うとおりです。だから我々はいま、モラルの危機にあるのです。罪を犯した人が罰せられず、この危機を引き起こしたことにまったく関係のない、罪のない人が一番苦しんでいます。罪のない人が罰せられ、罪を犯した人が報われているのです。(リーマンショックの)2008年以前と比べると、「ダボス階級」ははるかに権力を持ち、裕福になっています。ここまで彼らが成功することは、私も予想しなかったと言わざるを得ません。まさか可能だとは思わなかったのです。これだけ周囲にたくさんの破綻が存在するのを知りながら、そうした少数の人たちが平気でいるのを見て、一体誰にアドバイスを求めたらいいのでしょうか。 メディアも深くかかわっています。誰をテレビに出して、<我々は何をすべきか>と言えるでしょうか。彼らこそが、この危機を起こした張本人です。信用できません。 グラス・スティーガル法(商業銀行業務と投資銀行業務の分離)の再制定もできなかったし、ドッド・フランク法(広範な金融取引の規制法)はまだ適用もされていません。そもそも非常に弱い法律です。驚くべきことではないと思いますが。現在のシステムは「持続可能」か?――いま我々がいるシステムは持続可能なものだと思いますか。 ほとんどの人にとっては「ノー」です。ウォール街占拠運動(OWS)はシステムを正そうとしたと思います。彼らは1%の富裕層と、それ以外の99%の層をはっきり区別しました。実際の超富裕層は1%よりもっと小さいのですが、今のシステムは、そのほんのわずかな少数派のためだけに機能しています。――つまり長期的な観点に立てば、持続可能ではないということでしょうか。 このままいくとbrick wall(れんがの壁)にぶつかり、万策尽きてしまうでしょう。国家債務危機はまだ終わっていません。また回復に向かっているとも思えません。ヨーロッパは破綻する可能性があります。私はいまパリに住んでいますから、ヨーロッパが気がかりです。この危機についてドイツや他の国が、何も真剣にやろうとしないのが心配です。続きはこちらhttp://diamond.jp/articles/-/16095?page=4
2015.02.22
コメント(4)
農協をつぶし、農水相を100万円でフリーズさせw、TPPをごり押ししている「トップ1%」、安倍首相は「日教組、日教組、、」とか、わけの解らないことを国会で叫んでいるしw、日本国民の皆様、いい加減に気づきましょう。もったいない学会会長からのメールの転載です。ーー引用開始ーー ”国連資料によると、世界で最も豊かな10%の成人が世界の世帯の富の85%を所有、さらに豊かな2%がその半分以上を手にしている。世界の最も貧しい半数は、辛うじて1%を所有するに過ぎない。最上位層10%の人は平均で最下位層の人の3000倍近くを所有する。 スーザン・ジョージ著「誰の危機か、誰の未来か」が訴える、世界の超格差社会、トップ1%のつくった「現代の金融至上主義社会」の実態。http://diamond.jp/articles/-/16095 尚、スーザン女史は「雇用を増やす唯一の道は、経済を全面的に「グリーン経済」にすること、人間は自然の法則を尊重せずには存在できないから、環境をもっとも重要な価値にするのです」と述べてます。 東京一極集中は脆弱日本の象徴、来る関東震災の備えは技術工学的な課題ではない。21世紀の日本は地方分散、自然と共存する再生エネルギー、緑の経済、地産地消社会なのでは。スーザン・ジョージの原著http://www.thebrokeronline.eu/Blogs/Global-green-economics/Whose-Crisis-Whose-Future-- 以上--石井吉徳NPOもったいない学会 会長東京大学名誉教授http://www1.kamakuranet.ne.jp/oilpeak/http://oilpeak.exblog.jp/tikyuu@kamakuranet.ne.jp
2015.02.22
コメント(0)
(新サイトに全ての記事を移転しました。)【記事移転先リンク】 【http://mabo400dc.com/】
2015.02.21
コメント(0)

今日も10時まで残業で、お風呂に入って、やっと、ここに画像でもアップしようか。。とベッドの上ですwコーヌス義歯の製作も遅々として進まず、クライアントさんには申し訳ないのですが、納期が無い(敢えて設定していない)ので、お気楽ですwこれがパラレロメータと呼ばれる、刃物を一定の角度で平行に動かせる機械です。まあ、ミリングマシンの一種です。刃物部分を拡大すると、こんな感じで、テーパ6°のワックスナイフで内冠を削っているところ。
2015.02.21
コメント(0)
(新サイトに全ての記事を移転しました。)【記事移転先リンク】 【http://mabo400dc.com/】
2015.02.20
コメント(2)

歯科医師会から「予防さん」というこ◯◯◯なキャラクターのポスターを入れる立派なアクリル製のケースが送られてきたので、有効利用することにしましたw明日は7年ぶりに保健所さん(いつのまにか福祉保険事務所に名前が変わっていました)が査察に来られるので、ちゃんとやってますよ、、!というアッピールでもありますwうちは20年前の開業の当初からガス滅菌システムは導入していて、15年前、予防に大きく舵を切って患者数が大幅に増えたのを契機に院内感染対策を強化して、歯科医院としては世界的にも最高水準の水平感染防止システムを構築して今に至っています。#ご存知の方は、アレ?って思われるかもしれませんが、気にしないでください、EOGガスw
2015.02.19
コメント(0)

皮のケースを取った中身はここに載せていますが、http://plaza.rakuten.co.jp/mabo400dc/diary/20120318/あまりにもきれいな皮製のケースで、無理にはがすと傷がつきそうなので、このまま写真を撮りましたw型番は向って左がTFM-110D (愛称:ソリードステート イレブン:意味はトランジスターを11個使っているw)で1966年製。右がTFM-110F 1967年製。お値段は13,000円程だったようですが、当時の大卒の初任給の半分程はするという高級機でした。僕のオーディオのルーツはたぶんこの辺りにあって、もちろん当時はバスセンターの建物にあったソニーショップのショーウインドーを眺めるだけだったのですが。このショップはその後、マクドナルドになったり、旅行会社になったり時代の移り変わりをそのまま映していました。今はバスセンター自体が建て代わっています。このシリーズはTFM-110 1965年製が初代で、1964年から始まったFMラジオのステレオ放送に合わせて普及していきました。中身はほとんど変わらないのですが、毎年のようにマイナーチェンジされていったのは、当時は高度経済成長期で物価が5年で2倍になるというインフレ経済だったので、値上げのためですwアベノミクスもこれを目指しているのでしょうが、だめでしょう、当時とは状況が全く違う。スタグフレーションになるのが関の山。。湯田金に為替相場をいじくられていいようにされているようではねw
2015.02.19
コメント(4)

ブロックを積んでみましたが、コーナー用が8枚、柱用が4枚足りないので、買いに行きます。このまま上に積み上げていくつもりです。向って右のブロック2枚分の開口部がドア、左が明かり採りのフィックス窓になる予定。
2015.02.19
コメント(0)
(新サイトに全ての記事を移転しました。)【記事移転先リンク】 【http://mabo400dc.com/】
2015.02.18
コメント(0)

診療の合間に浴室と脱衣室との間の壁用の発注していた120mm厚のブロックを運び込んだのですが、壁の設計を忘れてしまって思い出しませんwブロックの数から再構築するつもりですが、なんだかハーフブロックが足りないような気がします。。??
2015.02.18
コメント(0)
(新サイトに全ての記事を移転しました。)【記事移転先リンク】 【http://mabo400dc.com/】
2015.02.17
コメント(7)
(新サイトに全ての記事を移転しました。)【記事移転先リンク】 【http://mabo400dc.com/】
2015.02.17
コメント(0)

60代女性、左下67欠損昨夜作った義歯をセットしてみました。片側遊離端の症例は通常は難しく、反対側まで延長した大きな義歯に成らざるを得ないというのが、通常の設計です。でも、ノンクラスプデンチャーでは上手く行く場合が多い、そのことにヒントを得て、もっとコストの安い義歯を試作しています。どうですかね?クラスプが見えるのが気になる人は、ぱっちん義歯ですねw咬合面観
2015.02.17
コメント(0)

作業模型ができたら、ワックスアップという工程に入ります。ワックスで原型を作り、型材に埋没して、焼却して鋳造で金属に置き換える工程の始めの部分です。グレーのインレーワックスがお気に入り。少し透けるので、厚さが判りやすい。支台歯に分離材を塗って、最初は薄く延ばします。厚いと収縮変形が大きいから。マージン付近は柔らか目のバイトワックスを使います。変形が少ないから。全部薄く盛ったあと全部厚めに盛ります。これから削り出してコーヌスの内冠の形を出します。
2015.02.17
コメント(0)

昨夜作った編側遊離端義歯なんですが、今日セット予定。どうですかね?上手く機能すればいいのですが、たぶんイケルと思います。
2015.02.17
コメント(0)

30代女性、左下7頬側歯頸部カリエス。特に咬筋の発達がよく、頬が歯に密着していると、酸素濃度勾配が大きくなり虫歯になり易いところです。しかもエナメル質と象牙質ではイオン化傾向が象牙質の方が大きいので、象牙質(歯根)の虫歯は一方的に進行する。絶対にコントロールできないかというと、そうではないと思いますが、けっこう深く歯根面にカリエスが進んでいますので、こんなことになるよりはうちでCR充填しようかと思いました。http://plaza.rakuten.co.jp/mabo400dc/diary/201502030001/というのはこの部位のCR充填は切削器具が届きにくいので、大きく削ってメタルインレーの適応になってもおかしくないからです。しかも遠方にお住まいで、通院に2時間もかかるので、通院できなくなる可能性も考慮しました。歯肉縁下のカリエスですので、歯肉にバーが触れて少し出血します。止血を確認して、裏装セメントも少しだけして、CR充填しましたが、1回目は唾液が多くて失敗。マージンに唾液が侵入しました。排唾管を使って再CR充填しました。トリミング後
2015.02.16
コメント(0)

ソーラーハウスはいつから作り始めたのか、過去記事を探してみました。2013/9/26が鍬入れでした。http://plaza.rakuten.co.jp/mabo400dc/diary/201309260000/で、整地、配管作業が終わったあと、基礎と躯体は左官屋さんに外注して、その後は一人で外装を始めました。始めは縦長の滑り出し窓を付けていました。2014/4/24頃のことhttp://plaza.rakuten.co.jp/mabo400dc/diary/201404240000/で、今日、外装はほぼ終わりました。10ヶ月もかかっていますが、週に3日の一人作業なので、こんなものでしょう。雨の日はできないし。。wカーポート側から見たところ
2015.02.15
コメント(0)

ホールからサンルームの折戸を見たところ、診療スペースはここになる予定。拡大次はバスタブの設置をして、それに合わせて脱衣場との仕切り壁をブロックで造る予定。で、ちょっと置いてみた。
2015.02.15
コメント(0)

今日は全面開口折戸の枠の補強、ビス留めをした後、折戸の吊り込みをしていました。結構な重さで60kgもあって、一人ではちょっと無理そうです。ガラスを外して施工しました。送られて来た時点ではガラスはサッシにはめ込んでありましたので、ガラスを一旦外して、サッシを枠に吊り込んだ後で、嵌め直すという面倒な作業が必要です。外したガラス吊り込みとは、折戸の上端に滑車が付いていますので、それを上側枠のレールに乗せることです。折戸は枠につりさがっている構造なのです。サッシだけなら軽いので一人でもできますが、ガラスを外さないでとなると二人必要です。全部付けたところ閉めてみたお疲れさまです。
2015.02.15
コメント(0)
(新サイトに全ての記事を移転しました。)【記事移転先リンク】 【http://mabo400dc.com/】
2015.02.14
コメント(0)
(新サイトに全ての記事を移転しました。)【記事移転先リンク】 【http://mabo400dc.com/】
2015.02.14
コメント(0)

60代女性、左下67欠損。今日の残業は火曜日セットの下顎辺側遊離端義歯のフレームを作っていました。こういう症例はキャストクラスプでは困難だと思います。ワイヤーだから成立する義歯もあります。
2015.02.14
コメント(0)

支台歯のフィニッシングラインのトリミングが終わったら、作業台に取り付けます。基台とクランプ部分は固定機能付きのボールジョイントになっていますので、前歯部が6°のコーヌス角を含めて基台に垂直になるように作業模型を固定します。
2015.02.14
コメント(0)

全面開口折戸の枠は取り付けましたが、壁の不陸をコンクリボンドを埋めて硬化後にねじで固定することにしました。そうしないと枠が不陸に合わせて歪むからです。他のドアはブロックと床の間が40mm〜45mmになるようにアルミ複合板2枚のスペーサーを挟んでいましたが、今回は2〜3mmしか上下の余裕がなかったので、スペーサーは使えませんでした。実測でブロックと床の間が35mmとなりましたが、床材は30mm厚の杉の無垢材を使う予定ですので、なんとかなるでしょう。これが折戸、3組あります。コンクリボンドの硬化待ちということもあって、時間が足りず、折戸を枠に乗せるのは次回。車の中で休憩していたら、小鳥が積んであるブロックにとまっていましたが、名前は分りません。お分りになる方はいらっしゃいますか?
2015.02.13
コメント(3)

今日は全面開口折戸の上面の調整をしていました。折戸は吊り下げ方式なので、180kgの全過重が梁の部分に掛かりますので、強度を考慮して施工しています。元々ブロックにφ12mmのボルトを4本埋め込んでいましたので、すき間を35mm厚の木材で調整してボルトで調整材と梁を共締めすることにします。木材をカットしてボルトの位置を断熱材の切れ端で型取りして、穴を開けました。座グってワッシャとナットを埋め込むようにしました。取り付け前厚み調整材取り付け余剰ボルトのカット後ナット部分の拡大。木ねじを追加する予定。明日は全面開口折戸の枠を取り付け、折戸も吊り下げます。
2015.02.12
コメント(0)

今日はコンクリートミキサーを始めて使ってみました。モルタルの場合、セメント1に砂3、水はセメントと同じ位かやや少ない程度。一回にバケツ一杯30kg程度作れて、3回作りました。全面開口折戸下のブロック6枚で、ブロックの破片を入れたにもかかわらず、100kgもモルタルを使っています。
2015.02.11
コメント(0)

室内機に配管、配線して、配管を穴から外へ出して、あらかじめ付けておいた取り付け板に室内機を引っ掛けて、押し込んで、室内は終わり。力持ちの娘(身長171cm)が押し込んだのですが、どど〜ん、、!室外機を配管で押し倒していましたwま、それほど軽量化されているということでしょう。配管に保護テープを巻いて、ドレインを屋根の雨樋につっこんで、室外機に配線して、三方弁にマニホールドと真空ポンプをつなぎ、15分間運転、エアパージできたら、真空ポンプを遮断し、ガスを注入し、マニホールドを外す。手順を間違わないように、しかも手早く。後はカバーを取り付けたりして、電源を入れ、試運転。全部娘にやらせましたが、まあ、なんとか上手くいったようです。うちがメンテナンス歯科とかやっていけるのは、極力外注費を出さないからです。エアコンの取り付けなどは自分でするのが当たり前、歯科技工も自分で、機械の修理も自分で、たぶん機械自体を作れるレベルになっていますよw診療室を作れる程度の技術力と根性(この辺りが病気なのでしょうw)がないと真の予防歯科とか無理ではないでしょうかね?とにかく最低限の資金力でやるしかないので。。
2015.02.11
コメント(0)

コーヌス義歯に限らず、作業模型を作るときにもっとも神経を使うのが、フィニッシングラインを出すための支台歯のトリミングです。トリミング後は赤鉛筆でフィニッシングラインをなぞって、シアノアクリレート系の接着剤で一層覆います。僕の場合トリミングは大きめのラウンドバーを逆回転でやっています。削り過ぎると、出来た物が小さくなりますので、印象(型取り)からやりなおしになりますw
2015.02.10
コメント(4)

趣味で古いテレビをたくさん持っているのですが、アナログテレビなので、自分で放送して見ていますwところが世の中には古いテレビを使っている人も多いようで、1000円台で地デジチューナーが買えます。アンテナは付いていないのですが、アマチュア無線のアンテナでもいけるでしょうし、400MHz帯〜なので自作すると安いでしょう。3素子の八木アンテナが作りやすいと思います。できたら画像をアップしますね。
2015.02.10
コメント(0)

よくこんなエグイ絵が描けますね、真実なのでしょうが。。気持ち悪い。
2015.02.10
コメント(0)
(新サイトに全ての記事を移転しました。)【記事移転先リンク】 【http://mabo400dc.com/】
2015.02.10
コメント(10)

60代女性、左下5、メタルインレーダツリ。隣接面カリエスを従来のメタルインレーで修復すると、大きく削る方法が一般的です。しかし、ここで提唱している「虫歯の電気化学説」によると、虫歯は金属のサビと同じカテゴリーに属する現象で、アルカリ性にして電流が流れないようにするだけで、根本的に防ぐことができます。また、虫歯ができてしまったとしても、CR充填でほとんど完全に修復可能です。もうすぐ従来型の歯科医療はこの世から消えてしまうでしょう。歯医者も歯科技工士も不要になるということです。残るのは歯科衛生士だけになります。
2015.02.09
コメント(0)
先日の歯科医師連盟の5000万献金問題は日本の医療保険制度が邪魔な湯田金の企みなのでしょうが、今回もあからさまですね。TPPに反対している農協を潰そうというのも分りやす過ぎますが、ここまであからさまな売国政策を臆面もなく進める政権というのも、恐ろし過ぎます。日本人はなにも感じないのでしょうか?不思議です。それとも日本人お得意のノラリクラリ引き延ばし作戦なのでしょうか?ーー引用開始ーーTBS系(JNN) 2月9日(月)11時59分配信 農協改革の議論が事実上、決着しました。自民党の農林関係議員の幹部とJA全中=全国農業協同組合中央会の萬歳会長らは、全中の監査権限を廃止するなど、事実上、「解体」とすることで大筋合意しました。 自民党の農林関係議員の幹部とJA全中の萬歳会長らは8日夜、都内のホテルで会合を開き、全中を農協法に基づかない「一般社団法人」に転換することや地域の農協に行っている監査の権限を廃止することなどについて大筋で合意しました。 地域農協の経営の自由度を高めるのが目的ですが、監査の移行に5年程度の検証期間を設けるということです。 一方で、選挙の票集めに大きな力を発揮する都道府県の中央会については、統一地方選挙への影響を懸念する声が党内から相次ぎ、農協法に基づく「連合会」の形で存続することになりました。 JA全中は9日午後、臨時理事会を開いて政府・与党案を正式に受け入れる方針で、その後、自民党の会合で農協改革の骨格が正式決定されます。(09日10:32)最終更新:2月9日(月)12時48分
2015.02.09
コメント(0)

カットしましたが、糸鋸の歯が届くまで放置しすぎて、石膏が硬くなり過ぎて、チッピングしました。フィニッシングラインがチッピングした支台歯もありましたので、修復できなかったらその部分だけ再印象予定です。大まかにトリミングしています。
2015.02.09
コメント(0)
全74件 (74件中 1-50件目)