全73件 (73件中 1-50件目)

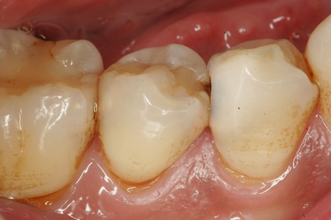
このところ労働強化をしているので、忙しくて記事をアップする時間がなかなか取れません。たくさんあるのですが、今日は1症例だけ。30代男性、右下4、遠心隣接面カリエス、自覚症状なし、歯冠内部の象牙質は溶けてしまってなにもありません。エナメル質だけが残っています。この現象は単なる酸で歯が溶けるのが虫歯ということだけでは説明できません。「虫歯の電気化学説」によれば、イオン化傾向が象牙質>エナメル質 だから、です。「虫歯の電気化学説」の要点はこちら。http://plaza.rakuten.co.jp/mabo400dc/diary/201107100002/術前歯冠内部の象牙質は溶けてしまっている。バーは向こう側の隣接面まで届く。α-TCPセメントで覆髄して、CR充填、所要時間25分。
2015.03.31
コメント(0)

外装板を貼り終えた記念写真w後は角のモール貼りが一部残っていますが、養生シートを剥がしたときにする予定。自分で作っていると言っても、躯体は外注です。自分でやるつもりだったのですが、止められましたwでも、やればかならずできる自信がありますw今、自分でしているのは躯体以外の屋根、窓、内装、外装、床、配線、配管、お風呂、トイレ、キッチン、洗面台、24時間換気システム、エアコン、太陽光発電、太陽熱温水器、ガス給湯器などの住宅設備の設置です。もちろん歯科医院用の設備も自分でします。家の自作は初めてですが、今はネット社会で情報や機材、部品はいくらでも入手できますし、人件費は確実に浮きます。だれもしたことがない面白い試みも好きにできます。職人さん達は自分たちがしたことがないことは出来ませんwまあ、こんな面白いことは自分でしたいと思いますけれどね?
2015.03.30
コメント(0)
(新サイトに全ての記事を移転しました。)【記事移転先リンク】 【http://mabo400dc.com/】
2015.03.30
コメント(0)
(新サイトに全ての記事を移転しました。)【記事移転先リンク】 【http://mabo400dc.com/】
2015.03.30
コメント(0)
(新サイトに全ての記事を移転しました。)【記事移転先リンク】 【http://mabo400dc.com/】
2015.03.29
コメント(0)

今日はガス給湯器周りの外装板を貼り終わりました。両端を貼って、給湯器の配管とコンセントが壁から出ているところは穴を開けないといけないので手間がかかりました。木の板を埋め込んでいるところがガス給湯器の取り付け場所です。7時頃暗くなる直前に終わりました。まだ目地を埋めていません。明日のお昼休みにでもします。雨が降る前に。お風呂のドアと採光用の窓を当ててみましたが、結構ぴったりでした。実際に取り付けるのは、お風呂の配管作業が終わってから。
2015.03.29
コメント(0)

今日は先程まで残業して、前装冠をいくつか作りました。内部は銀合金です。銀合金は歯に対して自然電位が金合金よりも30%程小さいので、虫歯を誘発しにくいのと、接着剤が効くというので、よく使います。支台歯1前装冠内部構造支台歯2前装冠内部構造支台歯3前装冠?内部構造
2015.03.28
コメント(0)
![]()
以前フッ素が入っていないハミガキとして、「・・歯はいのち」のアレをご紹介したのですが、★商品合計金額1800円以上送料無料★アパガードMプラス 60g 1個【取寄商品】最近、ドラッグストアのハミガキコーナーを物色していて気が付いたのですが、なんとなくですが、フッ素が入っていないものが増えているような気がしましたwフッ素が虫歯に効くというのはガセです。毒物をわざわざ使うことはありません。「重曹うがい」は確実に虫歯予防どころか虫歯が治ります。ダイアグノデントをお持ちの歯医者の皆さんは臨床実験をしてみてください。一発で確認できます。「重曹うがい」用の重曹水の作り方と重曹がなぜ効くのかという要点はこちら。・・・せっけんハミガキ系はフッ素は入っていないようです。シャボン玉 せっけんハミガキ 140g無添加をうたっているものとか、デリケートな歯ぐきと白い歯のために♪【サラヤ】arau.(アラウ)せっけんハミガキ 120g高級路線のものとか、入っていないようです。重曹とグリセリンで自作もありです。300円台で買える物を並べてみました。
2015.03.27
コメント(5)

今日は大開口部の折れ戸周りの外装板を貼り終わり、目地埋めとライトの取り付けまでしましたので、とても疲れました。本業の技工もあるのですが、ちょっと無理そうです^^;;
2015.03.27
コメント(4)
(新サイトに全ての記事を移転しました。)【記事移転先リンク】 【http://mabo400dc.com/】
2015.03.26
コメント(0)

今日は大開口部の折れ戸周りに外装板を貼っていました。発泡スチロール系の断熱材の上にアクリル系防水両面テープで直張り、暗くなってしまいましたが、少し残りました。
2015.03.26
コメント(0)
(新サイトに全ての記事を移転しました。)【記事移転先リンク】 【http://mabo400dc.com/】
2015.03.26
コメント(0)
(新サイトに全ての記事を移転しました。)【記事移転先リンク】 【http://mabo400dc.com/】
2015.03.25
コメント(0)

残業で作った、フレアーアウトした前歯部が残っている方用のリテーナー型の義歯と2番が内側というか異所性萌出した子供用の床矯正装置。けっこうおもしろいでしょ?・・なわけないかw
2015.03.24
コメント(0)
(新サイトに全ての記事を移転しました。)【記事移転先リンク】 【http://mabo400dc.com/】
2015.03.23
コメント(2)

昨日の続きで、お昼休みに外断熱用の断熱材を折れ戸の周りに貼り終わりました。外装板を貼るまでお天気がつづくと嬉しいのですが。。
2015.03.23
コメント(0)

給湯器周りの配管の溝に透明テープを貼って、その中に発泡ウレタンを充填した。固まる間、お隣の小学校の土手のノリ面に落ちているゴミ(ポイ捨ての空き缶とかお菓子の包み紙など)と、家を作っている時に出たゴミが小学校と家との間の溝(と言っても小川)に落ちているのを拾ったら、土嚢4袋分になり、2時間はかかったので、ちょっと疲れた。。で、発泡ウレタンを見ると、すごいことになっていた。爆発して、溢れたところはマカロン状に固まっていたが、テープの直下は固まっていない。なんか間違ったのでしょうか?折戸周辺部も断熱材と外装板を貼っていないので、断熱材を貼り始めた。一番下が残った。
2015.03.22
コメント(0)

今日はお風呂の壁の仕上げをしました。10日程養生して、ドアと採光用FIX窓を取り付ける予定。その間、お風呂の排水系の配管をして床を作ります。通風用窓は玄関ホールに2枚、歯医者スペースに1枚設置しました。窓はこれで終わり。給湯器周りの配管を断熱材で覆いました。すき間に発泡ウレタンを充填して、外装板を貼る予定。
2015.03.21
コメント(0)

昨夜は高橋悠治さんが戦後の日本の音楽史をいろいろと講義してくださいましたので、とても勉強にになりました。永く戦争で音楽情報が欧米より来なくなってしまったので、戦後から1960年頃までは、アルバン・ベルク、メシアン、ジョン・ケージなどの紹介活動が武満徹さん達によってされていたということで、なんとなく理解できました。で、武満徹さんの庭をモチーフにした楽曲の話がでましたので、表題の「秋庭歌一具」を思い出しました。雅楽ですが、オーディオ的にも楽しめますのでよく聴きます。高橋さんもオーディオに興味があるような印象を受けました。彼のゴルトベルクのレコーディングは最初期のDENONのデジタル録音でしたから。【楽天ブックスならいつでも送料無料】武満徹 秋庭歌一具 [ 伶楽舎 ]
2015.03.21
コメント(0)

コンサートというか、座談会でした。演奏曲は武満徹の1950〜1960代の前衛ピアノ曲で高橋さんが初演したものと、自作曲、3曲づつ。高橋悠治さんは生粋の前衛音楽作曲家で、バッハとかサティとかはまあ、依頼を受けて演奏する「作曲家の生活」だそうです。その「生活」がすごいわけですけれどwニューヨークで高橋さんのゴルトベルクをグールドが聴いた可能性がありますか?http://plaza.rakuten.co.jp/mabo400dc/diary/201503120004/とご本人に訊いてみましたが、「さあ?、ないと思いますけれどね。。」というお答えでしたw
2015.03.21
コメント(0)

取りあえず、一番上のブロックまでモルタルを充填しました。あとは足りないところを修正します。
2015.03.21
コメント(0)
(新サイトに全ての記事を移転しました。)【記事移転先リンク】 【http://mabo400dc.com/】
2015.03.19
コメント(0)
(新サイトに全ての記事を移転しました。)【記事移転先リンク】 【http://mabo400dc.com/】
2015.03.19
コメント(0)

今日は一番上のブロックのスリットをスリットを作った際に出たブロックの切れ端そのもので埋めて、上から2段目までのブロック内部にモルタルを詰めました。移植鏝でちょこっとづつしか入れられませんので、あと一日かかりますね。同時に床材を一部屋分手配してもらって、実際の施工方法を検討することにしました。プラ木レンという基礎スラブに直接接着剤で貼るタイプの高さ調整機能付き束(つか)材の使用を検討しています。
2015.03.19
コメント(0)
(新サイトに全ての記事を移転しました。)【記事移転先リンク】 【http://mabo400dc.com/】
2015.03.18
コメント(0)
(新サイトに全ての記事を移転しました。)【記事移転先リンク】 【http://mabo400dc.com/】
2015.03.17
コメント(0)
(新サイトに全ての記事を移転しました。)【記事移転先リンク】 【http://mabo400dc.com/】
2015.03.17
コメント(0)

昨夜埋没したコーヌス内冠9本を今朝キャストして、試適してみました。7勝2敗2本合わなかったので、次回再印象します。
2015.03.17
コメント(0)

やっとコーヌス内冠をワックスアップして、スプルーを付けて、円錐台に取り付け、埋没しました。13時過ぎました。おやすみなさい。現場はブロックのスリットにモルタルを少しづつ入れ始めましたが、30kgは入れないといけません。かなり気が遠くなりますw
2015.03.16
コメント(0)

70代女性、右上6ハイブリッドクラウン再製作。ハイブリッドのインレー・クラウンは丈夫ではない、特に引張り強度が良くないので、咬合力で破折しやすいです。CAD/CAMで作るハイブリッドクラウンが保険導入されましたが、クレームの嵐になるでしょう。内部に強化繊維を入れると、破折はし難くなりますが、今度はダツリに気が付かず、ひどい虫歯になることがあります。元々メタルをハイブリに置き換える発想に無理があるのでしょう。それなりの窩洞形成をしたCR充填の方が保ちます。ハイブリとCRは基本的に同じものではあるのですが。この症例は10年経過していて、よく持ちこたえた方ですが、ボロボロです。正像ついでに後ろのメタルインレーと手前側のWSDをCR充填しました。作るのならメタルの裏打ちのある前装冠にすると長持ちします。出来上がり
2015.03.16
コメント(0)

原発は廃炉なんかできません。無害になるまで10万年も1億年も管理できません。人類の愚かな負の遺産として、人工堆積岩で作ったピラミッドに閉じ込め、人類が滅んでも、無害になるまで、永遠に地上管理するしかないでしょう。大沼さんが小学生の時に作った標語「原子力明るい未来のエネルギー」と大沼さんご本人の画像、ネットで拾いました。---引用開始---原発PR看板「保存を」 標語の考案者が撤去に反対朝日新聞デジタル 3月15日(日)23時19分配信原発PRの看板の前で撤去反対を訴える大沼勇治さん。故郷はほぼ全域が帰還困難区域のままだ=15日午前10時36分、福島県双葉町、本田雅和撮影 東京電力福島第一原発が立地する福島県双葉町が原発PRのために掲げた看板の撤去方針を示したことに対し、標語をつくった大沼勇治さん(39)=茨城県古河市=が16日、「負の遺産として保存し、人間の愚かさを後世に伝えるべきだ」と16日、撤去反対を町や町議会に申し入れる。 町の中心街入り口に掲げられた看板の標語「原子力 明るい未来のエネルギー」は、大沼さんが双葉北小6年だった1988年、学校の宿題として提出し優秀賞をとった。 原発事故で妊娠中の妻と全国各地を転々とし、昨年5月、古河市に落ち着いた。避難生活の中で「原発は明るい未来どころか故郷の町をズタズタにした」と苦しんだ。今月に入って、町が新年度予算案に撤去費用410万円を盛り込んだことをニュースで知った。 「老朽化して危険」というのが町の説明だが、大沼さんは「周囲に崩壊しそうな公共物がたくさんあるのに、看板だけ撤去するのは間違った過去と向き合わない行為。それだけの金額があれば補強できる。子どもたちにも真実を伝えていきたい」。町内外の人々に保存を訴えて署名運動も始める予定だ。(本田雅和)朝日新聞社
2015.03.15
コメント(4)

12時過ぎまで残業をしていましたので、こんな時間になってしまいました。ちょっと疲れ気味。。結局現場は、全ての壁の縦筋は天井にアンカーを打ち込んで、基礎から天井まで繋ぎました。鉄筋を繋ぐと、ブロックは横面のスリットを入れて積むしかありません。とりあえず、全てのブロックを積みましたが、スリットを入れた2段のブロックの内部にはモルタルを詰めていません。固まってからの作業予定。風呂から採光FIX窓を見たところ。7時半までかかりましたので、外は暗くなってしまいました。
2015.03.15
コメント(0)

50代女性、左上1、メタルボンドの色が良くない。支台歯のクリアランスが少なくて、色がへんというのはよくあります。こんなことが起こるのは、歯医者は技工をしないからです。技工士が悪いのではありませんw削り直して作り直しましたが、どうでしょうか。。口腔内でへんでなければいいのですが。。
2015.03.14
コメント(4)
(新サイトに全ての記事を移転しました。)【記事移転先リンク】 【http://mabo400dc.com/】
2015.03.14
コメント(0)

今日は9段目までのブロック内部にモルタルを流し込んで、10段目には横筋を壁にアンカーを打ち込んで縦筋と繋ぎました。11段目まで積みましたので、次回は10、11段目にモルタルを流し込んで、12、13段目を積む予定です。真ん中の柱は天井にアンカーを打ち込んだので、縦筋は天井と繋ぎます。13段目の最後のブロックは横面にスリットを開けて積みます。お風呂から明かり採りのFIX窓を見たところ。
2015.03.13
コメント(0)

僕が70年代に惹かれるのは僕の青春時代で、しかもたまたま?オーディオの全盛期で、音そのもので脳内麻薬物質がドバッと出るタイプの僕としてはw、当時物を見るとワクワクするのです。これはSONY製のF-99Sというステレオマイクでコンデンサー型ではなくダイナミック型です。スピーカと同じ構造をしていて、振動板にコイルが接着してあり、その分重くなり感度が落ちます。一次共振周波数は5.5kHz付近にあり、それ以上は下がっています。まあ、お世辞にも音が良いとかはいえない代物ですが、ステレオ、、+安い、、というだけで買いました。でも後悔しましたw端子はL、R別々のピンプラグ+ON/OFFスイッチ用のミニプラグが3連で付いており、当時のSONY製品にしか合わないものだと思います。今日はステレオテープコーダのTC-2100A(P&D)に接続してみましたが、使えました。
2015.03.13
コメント(2)
![]()
【RCP】バッハ:ゴルトベルク変奏曲/14のカノン/高橋悠治[CD]【返品種別A】アリア以外はグールドの1981年版に似ている。高橋のゴルトベルクは1976年の録音なので、高橋の方が古い。二人は一時期ニューヨークに住んでいたので、グールドは高橋の演奏を聴いて影響を受けたのだと思う(そうぞう)w高橋の方が1/fノイズ(音の揺らぎ)というか、タメというかテンポ上の揺らぎがある所為か、安らぐ。グールドはマシン過ぎるwBach, Johann Sebastian バッハ / ゴルトベルク変奏曲(1981年) グールド 輸入盤 【CD】
2015.03.12
コメント(2)
![]()
この曲は昔むかし、わざわざ楽譜を買って練習したことがあるのですが、でも、だめです。一人では弾けません。オルガン用の曲(足のパートがあるw)ですから、連弾ならできますが。じつはこの曲最近弾いたのです。夢の中でw起き抜けの夢ってよく憶えていることがありますよね。その夢の中でとても上手に弾いていたのです。えっ、オレってこんなに上手く弾けたっけ??と思いながら弾いていましたwなんせ、夢の中ですから。。ww高橋悠治さんがピアノ独奏用にアレンジしてくださっています。youtubeにとても上手な演奏がアップされていましたので、どうぞ〜♪https://www.youtube.com/watch?v=ibKZjPfQ9Rc本人演奏はこちら↓[CD] 高橋悠治(ピアノ)/YUJI PLAYS BACH
2015.03.12
コメント(0)

が来週の金曜日にあるというので、さっそく予約しました。70年代はゴルトベルクで天才バッハ弾きといわれていましたね。せっかくだからサインでもねだろうと思って、手持ちのCDを聴いていました。この「バッハで始まり、高橋悠治で終わる。」というのはなかなか楽しめます。楽しめるのはバッハだけですが^^;YAMAHA B-2 とHITACHI HS-90Fで聴きました.[CD] 高橋悠治(p、recitation)/バッハで始まり、高橋悠治で終わる。
2015.03.12
コメント(0)

オクでSONY ECM-95S というエレクトレット・コンデンサーマイクをゲットしました。僕は70年代のS社の製品にしか興味がないようですwTC-50 と合わせてみました。この1970年にアポロ宇宙船に積み込まれ月まで行ったという伝説がある超小型カセットテープコーダにはよく似たデザインのアルミ筐体の付属のマイクが付いています。このECM-95S は英語のサイトによると1972年製とあります。別の英文のサイトではオープンリールのテープレコーダに付属していたともありました。アルミの筐体のシャープな印象は70年代というよりは60年代の雰囲気がありますねw
2015.03.12
コメント(0)

後4段、、!この上には横筋が入ります。
2015.03.12
コメント(0)
(新サイトに全ての記事を移転しました。)【記事移転先リンク】 【http://mabo400dc.com/】
2015.03.11
コメント(0)

77歳女性、上顎床付きコーヌス義歯今日毎月のメンテナンスに来られたので、アップしておきます。この方も1996年に製作装着して20年目に突入しています。デジタル画像は2002/4/9が最初です。正面観内冠:左上6は骨植が悪いので、内冠の高さは低くしてマグネットを仕込んでいます。義歯装着2014/6/3昨年の画像です。毎年口腔内写真と精密検査のデータは残しています。正面観内冠:左上6は失われています。2006/8/4に歯根分岐部カリエスで残根になり、CR充填しましたが、2009年頃に自然脱落しました。義歯装着
2015.03.11
コメント(4)

お昼休みに1段積んだので、後6段です。だんだん、形が見えて来たと思います♪
2015.03.11
コメント(0)

現在86歳女性、この方も1996年の65歳の時に製作・装着して、20年目に突入しています。左上の567が欠損している片持ち梁型のコーヌス義歯で、左上4に過大な咬合力が掛かりやすい構造です。通常は最初から床付きにするべきなのでしょうが、敢えてこの形状を試しました。適切な管理が前提ではあります。コーヌス義歯は問題が起こったときに歯毎に個別に対応できるメリットがありますので、この症例は典型的なコーヌス義歯の症例と言えると思います。2004/9/29の画像ですが、装着から9年間異常は認められませんでした。内冠外冠ところが2005/10/3の画像では、左上4の頬側歯肉が腫脹していました。歯根破折です。内冠外冠に床を口腔内で増設して、抜歯再植しました。クラック部を削除この後、2008年にも再発して再々植しましたが、とうとう、2010年には再々々植は諦めて、抜歯となりました。2011/6/8内冠外冠、床は少しずつ大きくしています。そして20年目の現在も変わっていません。次は左上3が破折するでしょうが、逃げ切ることができそうですw2014/3/5内冠外冠・・他にも症例はたくさんありはしますが、過去の膨大な画像を編集する作業は疲れますので、この辺で勘弁していただけますか?>金縛りさん
2015.03.10
コメント(0)
(新サイトに全ての記事を移転しました。)【記事移転先リンク】 【http://mabo400dc.com/】
2015.03.09
コメント(0)

89歳女性、上下顎コーヌス義歯。1995年作成装着(もちろん完全自作)の症例で、20年経過しましたが、コーヌス冠には全く問題はありませn。というか、左上のブリッジは当時からコーヌス義歯にすることもできないくらい骨植の悪い歯でしたが、なぜか未だ抜けず持ちこたえていますw20年間、毎月PMTCで来院されています。以下は今日(2015/3/10)撮影の画像義歯の表上顎、パラタルプレートは前義歯のものを流用、クラスプは除去してワイヤーをロウ付けしたが、1本外れている。特に問題はないので、そのまま。下顎義歯の裏上顎、右上5はマグネットのアタッチメント。下顎内冠上顎下顎内冠正面装着正面
2015.03.09
コメント(0)

存命なら93歳女性、4年前に89歳で亡くなられました。床付きの上顎のコーヌス義歯で、開業して始めて作った症例です。1995年に作りました。73歳の時に作成しましたので、確認はしていませんが、16年は使っていただけたのでしょう。問題が起こらないと来院されない方で、最後は2007/2/7の来院でした。確認した最後は装着後12年です。内冠は5本しかない少数欠損症例ですが、口蓋の床はない。嘔吐反射がひどいので、この設計は患者のたっての要望でした。強度的には脆弱で落下させると破損する可能性が大きいですが、1〜1間はロウ付けさえしていません。作業性の関係でハンダ付けはしたかもしれません。はっきり言って、手抜きです。これには理由とは言えないような理由がありました。開業1年目で忙し過ぎて、面倒な設計は避けていました。夜は朝まで技工して、そのまま朝から診療する、、などという無茶をしていましたので。やはり身体を壊しました。それと元手が無かったので、コスト高(金属使用量の増大)も避けていました。実際、2003/9/5に 破損して来院されました。壊れたまましばらく使われていたようで、外傷で動揺度が2になっている歯があったと記憶しています。このような強度的には問題のある設計でも8年は保つということでしょうか。。
2015.03.08
コメント(0)

今日は午前中はツリーハウスの竣工式でつぶれたので、午後は夜8時まで、ブロック積みの現場作業をしていました。4段目までのブロック内部にゆるめのモルタルを流し込み、6段目までブロックを積み上げました。後7段あります。ブロックは本職のようには上手く積めないので、スペーサー工法を採りました。素人でも速く正確に積めますが、スペーサー部分は後で補修が必要です。お風呂から洗面所方向
2015.03.08
コメント(0)

一昨年より有志が作っていた近くの小島のツリーハウスが完成したというので、竣工式に行ってきました。子供達は楽しんでいましたね。大人は午後2時から打ち上げです。大人の楽しみはこっちかw
2015.03.08
コメント(0)
全73件 (73件中 1-50件目)


