全58件 (58件中 1-50件目)
(新サイトに全ての記事を移転しました。)【記事移転先リンク】 【http://mabo400dc.com/】
2015.10.31
コメント(0)

今日もひきつづきFL(Floor level,Floor line)の設定をしていました。ところが水準測定に使う塩ビチューブを放置していたら、藻が生えて汚くなったので、次亜塩素酸で消毒したところ、チューブが白濁して水面が見えなくなっていました。仕方が無いので、ちょっとお高いけれどシリコンチューブを5m新調して作業開始しました。野縁受け(のぶちうけ)をプラ木レンの上に載せて、チューブの水面と水平器を交互に見ながら高さの調整です。しゃがみ込んでチューブを横から覗き込む作業を延々するわけですので、えらく時間がかかります。腰は痛くなるし。。ホール、玄関ホール、サンルーム、洗面スペースを一周終わるのに3日かかりました。でも、既設の床面の高さや建具の台座の高さがまちまちで水平度も微妙に狂っているのが分って、どうやって誤摩化そうか思案中です。通常の方法では束、大引き、根太、床下地材とやっていく過程で調整する(誤摩化す)ことができるのですが、コンクリートブロックの束に直接床材を乗せる工法なので、調整することが難しいのです。一発で決めないといけないのですが、なかなか難しい。玄関ホールです。
2015.10.31
コメント(0)
(新サイトに全ての記事を移転しました。)【記事移転先リンク】 【http://mabo400dc.com/】
2015.10.30
コメント(2)
(新サイトに全ての記事を移転しました。)【記事移転先リンク】 【http://mabo400dc.com/】
2015.10.29
コメント(0)

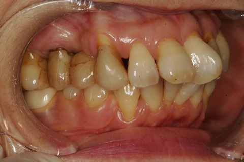
70代女性、左下56、残根上のブリッジ。この時のつづきで、http://plaza.rakuten.co.jp/mabo400dc/diary/201510260000/口腔内にセットする前、セットしたところです。さて、どうなりますかね?壊れたときにご報告予定。
2015.10.28
コメント(0)
(新サイトに全ての記事を移転しました。)【記事移転先リンク】 【http://mabo400dc.com/】
2015.10.27
コメント(0)

玄関ホール側のFLを決める為の「のぶちうけ」は障害物がないので、切って合わせるだけなのですが、反対側のトイレ側は排水管を設置しているので、仮の束を置くスペースが無くて思案中です。
2015.10.27
コメント(0)

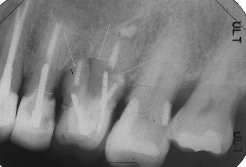
70代女性、左下56、ダツリ。残根上のブリッジw電気メスで歯肉除去CRでコア築成バイト生成wCRで連結ブリッジの形成・印象
2015.10.26
コメント(2)
(新サイトに全ての記事を移転しました。)【記事移転先リンク】 【http://mabo400dc.com/】
2015.10.25
コメント(0)

FL(フロアレベル)を決める野縁受(のぶちうけ)を張り巡らせて、おおよその床の高さのイメージを探ってみました。既存の部屋のFLと大開口部の窓やドアとの整合性と取る必要性がありますので、簡単には決まりません。のぶちうけが4本不足しましたので、発注しました。
2015.10.25
コメント(0)
(新サイトに全ての記事を移転しました。)【記事移転先リンク】 【http://mabo400dc.com/】
2015.10.24
コメント(0)
(新サイトに全ての記事を移転しました。)【記事移転先リンク】 【http://mabo400dc.com/】
2015.10.23
コメント(0)

今日はホール部分の床の高さ(FL:フロアレベル)を決めるに際して、梯子や外装板の端材などを撤去して、掃き掃除しました。広くなったでしょう♪
2015.10.22
コメント(6)

50代女性、右下5、歯茎部カリエス、温冷痛+、時々自発痛+この方は義歯を常時付けておられたということで、イオン化傾向の大きい痛んだ象牙質に、しかも酸素濃度が低くなる部分に虫歯が出来やすい、電気化学的にはそういう部分がマイナス電極になるからだ。義歯は飲食時など必要な時以外は外しておいた方がよいと思う。拡大画像、仮性露髄状態で歯髄症状が出ているが神経を取ることはうちではまずない。歯髄は保存可能で、抜髄が適応とされる歯科医学の常識の方が誤りだろう。歯髄部分は触らず、接着面だけは新鮮面を出す。α-TCPセメントで覆とうし、CR充填した。
2015.10.21
コメント(0)
(新サイトに全ての記事を移転しました。)【記事移転先リンク】 【http://mabo400dc.com/】
2015.10.21
コメント(0)

ホール部分は玄関と洗面・トイレ部分と一体にして床材を敷くことにしていますので、ハギレを利用して、床材のアレンジをしていました。介護部屋の床とホールの間は段差を無くしたいので、できれば連続させたいのですが、これがなかなか難しい。
2015.10.21
コメント(0)

http://plaza.rakuten.co.jp/mabo400dc/diary/201508110000/この時の続きを見たいというリクエストがありましたので、CKを作る過程を2回シリーズで特集します。抜歯再植というのは、これ以外に保存の手だてが無いと思われるケースが適応症なのですが、多いです^^;歯根破折の他に、例えばうちでも、他院でもエンド治療が上手くいかない場合にはこれしかないのです。僕が「ちくわ」とよんでいる症例などです。http://plaza.rakuten.co.jp/mabo400dc/diary/201201090002/70代女性、右下6遠心根の抜歯再植から2ヶ月経過。印象してセットしました。動揺度1なので、これで終わりではなく、右隣の5番のCKを再制作するついでに、被せ連結する予定です。つづく
2015.10.20
コメント(0)

80代女性、左上6、歯根分岐部の歯根面カリエスによる歯根分離。最近こういう症例が多いように思います。歯周病の長期管理をしているとどうしても歯根分岐部より歯槽骨が下がってしまった症例も手がけますので、仕方がありません。他にも何症例かアップしようと思っています。痛みはないものの、DH(デンタルハイジニスト:歯科衛生士)が歯根分岐部に食渣がたまって、虫歯になっているようだと報告があった症例です。ちょっと開けてみましたが、歯根分岐部内部は広範囲な虫歯になっています。分岐部は酸素濃度が相対的に低いので、酸素濃度差腐食が起こりやすい環境です。もちろん食渣は溜まるので、発酵による酸性環境ですから、電気化学的な腐食を止める事は難しいのです。口蓋根はすでに抜けていました。頬側根の内側だけをCR充填して、とりあえず抜歯は先送りです。
2015.10.19
コメント(0)
(新サイトに全ての記事を移転しました。)【記事移転先リンク】 【http://mabo400dc.com/】
2015.10.18
コメント(0)

水遣りも面倒になってきましたので、刈り取りました。2束なので、これでおにぎり1個分程度。。
2015.10.18
コメント(0)

今日はお風呂の窓とドアを取り付けました。窓はフィックス、ドアは勝手口用があまったというか、右かってと左かって(開ける向き)を失敗して買い直したので、失敗して余ったのを使ったのです。ドア取り付け後
2015.10.18
コメント(0)

SONY MX-600 は、モノラルのマイクロフォン・ミキサーで、3系統の入力を1つにまとめて出力する装置です。60年代中頃の製品でとても堅牢な作りです。60年代は1964年の東京オリンピックを皮切りに、日本の高度経済成長期であり続けましたが、ものつくりに関してはまじめな製品が多かったと思います。どういうことかというと、なるべく壊れないで長もちすること、という設計思想です。70年代になると、「消費は美徳」と言った宰相もいましたが、適度に壊れて、新しく購入していただけるような作りになっていきます。それが経済成長だ、という考え方が底流に流れていて、ソニータイマーというのも意識的にそういうことが行なわれていたということは無かったにしろ、結果的にはそういうことになっていたのです。
2015.10.17
コメント(0)

今日は重労働だったので疲れました。。断熱材をすき間に詰め込んで、砂利を敷き詰め、手を突っ込んでホースの交換をする点検スペースは断熱材で仕切りを作って、砂利が入らないようにしました。モルタルを一層流して今日の仕事は終わりました。1〜2cmしか流していないのに、砂とセメントを70kg程使っています。床に敷くタイルは発注しています。46mm角で玄関と外兼用にしましたが、どうでしょうか。。?小さいタイルはレトロ感と切らなくてよいというメリットがあります。
2015.10.16
コメント(0)

つづきなんですが、僕の出身母体の歯科医学専門学校の昭和2年卒業の当市出身のドクトル村上が僕が3歳の頃、村上歯科医院の診療室の入り口の柱に嫌がってしがみついて泣いていたときに、あきれ果てられて、「もう帰らんね。」と言った歯医者さんとどういう関係なのか気になって、調べていたのですが、なんと、その本人だったのです。それが判った経緯はここでは書けませんが、奇遇です。きっと、天国から僕に語りかけてくれたのだと思います。「・・君も歯科医師になって、そしてあの時の僕の年齢になって、どうだね?しっかりやっているかね?」そんな声が聞こえてきたような気がします。写真を見ると、超イケメンですw
2015.10.15
コメント(0)

今日は前回の続きで、バスタブを12mm挙上する作業をして、蛇腹ホースの長さを短くして、バスタブからこちらは砂利やモルタルで埋めるので、セメントブロックで壁を作り、蛇腹ホースなどが劣化して交換が必要になったときにタイルを1枚外せば、手をつっこむことができるように考えています。端材ブロックでおおよその洗い場の床の高さを決めて、すき間に断熱材を並べる作業に入ったことろです。
2015.10.15
コメント(0)

母校がまだ歯科医専と呼ばれていた頃の卒業アルバムがオクに出ていたので、ゲットして見てみました。1927年、昭和2年卒業アルバムだそうです。88年も前なのですが、僕たちの頃とそんなに変わっていないようでした。解剖も生理も補綴も外科もありましたし、卓球部も庭球部も陸上部もありました。これは外科の診察室とイケメン教授wとレントゲン装置の写真です。卒業生の皆さんはご存命なら110歳とかなので、あれですが。当市出身の方もいらっしゃいました。ドクトル村上。子供の頃行った歯医者さんで、怖くて診療室入り口の柱にしがみついて泣いていた僕に、『もう帰らんね。。(もう帰っていいよ。。)」と言った方のお父さんかな?それ以来うちは子供が泣かない歯医者さんを目指しているんですけれどねw
2015.10.14
コメント(0)

うらの倉庫の間にあるキンモクセイの花が満開です。いい香りが辺り一面に漂っています。
2015.10.14
コメント(0)
(新サイトに全ての記事を移転しました。)【記事移転先リンク】 【http://mabo400dc.com/】
2015.10.14
コメント(0)
(新サイトに全ての記事を移転しました。)【記事移転先リンク】 【http://mabo400dc.com/】
2015.10.14
コメント(0)
(新サイトに全ての記事を移転しました。)【記事移転先リンク】 【http://mabo400dc.com/】
2015.10.14
コメント(2)

パパの介護部屋のイカ釣りランプを外に移したので、代わりに白熱電球型LEDを取り付けるレセプタクルを自作しました。電灯用のボックスに付けられるレセプタクルは探しても見つからないのです(?)電灯用ボックスのメクラ蓋を加工してレセプタクルをビス留めしました。壁に取り付ける途中。LED電球を取り付けたところ。
2015.10.13
コメント(0)
(新サイトに全ての記事を移転しました。)【記事移転先リンク】 【http://mabo400dc.com/】
2015.10.13
コメント(0)
(新サイトに全ての記事を移転しました。)【記事移転先リンク】 【http://mabo400dc.com/】
2015.10.13
コメント(0)

そろそろ刈り取りです。去年はそろそろ刈り取ろうと思った翌日にはスズメに全部持っていかれたので、今年は網の中で育てています。網の破れからスズメが侵入しますかね?
2015.10.13
コメント(0)

バスタブを1cm程挙上する問題はあっさり解決しました。12mmのコンパネを5cmの正方形に切ったスペーサーをバスタブの足とブロックの台の間に挿みすき間にモルタルを入れる方法を採ることにしました。お風呂のの排水口に繋がるφ50mmの配管は、左からエアコンのドレイン用の立ち上げ、トイレを挟んで、洗面台用の立ち上げ、洗濯機用の立ち上げと3カ所用意して終わりました。給湯、給水管の配管は、床の束の位置との取合いがあるので、後回しです。EV用の充電ケーブルの配線と専用コンセント(アース付き100V)の取り付けも行ないました。100Vを選んだのはPVからの充電(手持ちのCD/ACインバータが100Vだから)もできるようにするためです。床の工事が始まってからでは難しくなると思われる太いφ2.6mmの3芯のケーブル(VVF3-2.6)なので、今のうちです。ついでに配管はしてあったのですが、配線していなかった外の電灯も付けました。よく見えませんが、例のイカ釣りライトです。だいぶ明るいです。
2015.10.12
コメント(0)

配管に断熱スリーブを被せて、露天風呂用の電線管も取り付けたので、バスタブを乗っけてみました。洗い場の排水部の拡大。ところが排水の蛇腹ホースが給湯管に干渉しているのです。。バスタブを1〜2cm挙げたいのですが、どうしたものか。。?なにか良いアイディアはないでしょうか?「たんたん/やすい」が希望ですw
2015.10.12
コメント(0)
(新サイトに全ての記事を移転しました。)【記事移転先リンク】 【http://mabo400dc.com/】
2015.10.12
コメント(0)

今日はバスタブ下の配管をしていました。壁の向こうのガス給湯器に行く太陽熱温水器からの配管と給湯器からの帰りの配管、それと水道の配管、将来設置予定の露天風呂w用の給湯、給水用の配管を分岐させています。これらはφ13mmで配管しました。それにφ50mmの排水用配管です。
2015.10.11
コメント(0)
(新サイトに全ての記事を移転しました。)【記事移転先リンク】 【http://mabo400dc.com/】
2015.10.11
コメント(0)
(新サイトに全ての記事を移転しました。)【記事移転先リンク】 【http://mabo400dc.com/】
2015.10.11
コメント(0)

60代男性、左上6の2次カリエス。毎月の様にSPT(歯周病の管理)でお見えになっているのに、ちょっと目を離すと、このザマ、というか、管理前提でなければ、歯根分岐部が大きく露出しているような症例は最初から抜歯です。なぜなら、どうせ治療しても無駄だからですwそうは言っても、うちは抜かない歯医者なので、仕方なく保存に務めました。頬側から見てもよく判りませんが、口蓋側から見ると、歯肉縁下の2次カリエスが見えます。虫歯は1本の歯でも遠心(奥の方)面が虫歯になりやすい。従来説では説明できないが、虫歯の電気化学説では奥の方が酸素濃度が低く、酸素濃淡電池を形成して腐食電流が流れるからと説明できます。ハイブリッド冠を除去すると、内部は虫歯でぐちゃぐちゃ、、歯根分岐部も無くなっていました。バーも届かない。。歯根はほとんど分離した状態になりましたが、それでもなんとか軟化象牙質を除去しました。で、歯根分岐部も含めてCRで支台築成しました。近心の歯根面にも虫歯がありましたので、隣りの5番の歯肉縁下の歯根面カリエスと同時にCR充填しました。で、支台歯が完成^^/ここまで保険診療報酬では1時間かかっても1,650円ですから、ふつうはできませんwというか、こういうことは一般の歯科治療では想定されていないのです。印象(型取り)して、次回は冠のセット。
2015.10.11
コメント(0)
(新サイトに全ての記事を移転しました。)【記事移転先リンク】 【http://mabo400dc.com/】
2015.10.09
コメント(0)

最後の3列目は配管の立ち上がりの穴を開けながらの作業なので少し手間取りましたが、なんとか終わりました。
2015.10.09
コメント(0)

朝からパパ部屋の床板を敷いていました。無垢材なので、また反らないか心配です。最後まで行こうかな。。とりあえず最後の1列はカットしないといけないので、それは明日。
2015.10.08
コメント(0)
(新サイトに全ての記事を移転しました。)【記事移転先リンク】 【http://mabo400dc.com/】
2015.10.07
コメント(0)

みっちゃんこと「うえだ未知」はオタクな漫画家なんですが、最近『妖怪ウォッチ」のキャラクターデザインをしているので、よろしく!と、直筆サイン入り落書き(?)を送ってきました。ま、一つ違いのいとこで、オタク(?)で研究熱心でまじめな(?)キャラがぼくと似ているので、お付き合いがあります。まあ、オタクというのは人付き合いは良くないですが、人畜無害、まじめで、勉強熱心で、クリエイティブな仕事に向いているので、それはそれで、よいのではないでしょうか?wどこかで見た事のあるキャラクターデザインですが、それもそのはず、みっちゃんは10名程いると言われるピカチュウライターのひとりなのですw
2015.10.06
コメント(0)
(新サイトに全ての記事を移転しました。)【記事移転先リンク】 【http://mabo400dc.com/】
2015.10.06
コメント(0)
(新サイトに全ての記事を移転しました。)【記事移転先リンク】 【http://mabo400dc.com/】
2015.10.05
コメント(0)
(新サイトに全ての記事を移転しました。)【記事移転先リンク】 【http://mabo400dc.com/】
2015.10.05
コメント(0)

穂も垂れて来たので、収穫も近いです。去年の種籾は全部スズメに食べられたので、一昨年の種籾です。その前の年の種籾は芽が出ませんでした。
2015.10.05
コメント(0)
全58件 (58件中 1-50件目)
![]()

