全46件 (46件中 1-46件目)
1

1昨年は1バーレル当たり140ドル以上に高騰しました。あのときはバブルでしたが、このところの緩やかな上昇は違います。石油の供給量が減り始めているのです。今年中にガソリンの値段は1リッター当たり150円になると言われています。もう下がることは無いでしょう。5年後には500円/リッターに、10年後には2000円/リッターになっているかもしれません。20年後は略枯渇。(NET=正味)
2010.04.30
コメント(5)

(新サイト 記事移転先リンク) 【http://mabo400dc.com/】以下画像のみ
2010.04.30
コメント(0)
昨日、院長がご紹介しておりました苺です。ジャムというほどには煮詰めていなくてヨーグルトやシリアルに合わせて食べるのに丁度良いくらいなのです。私が苺を煮ていたのを知っている末っ子の今朝の寝覚めの良いこと。早速冷蔵庫から持ち出していました。その後、事件が!!写真の通り、ヨーグルトの上に盛大に盛り上げられた苺。『えぇ~~、多すぎない?すぐなくなっちゃうよ。』と、言おうとした瞬間、『ぎゃ~~っ!ナニやってんの!!(@@)』なんとヨーグルトをパックから器に取り出したそのスプーンで苺を瓶から取り出していたのです。『苺にヨーグルトが生えちゃうよ!』あちゃ~~、、、大人の常識は子供の常識とは限らなかったわけですね。お弁当の準備に気をとられて末っ子に自分で取り分けさせたのがいけなかったのか、日頃手を出しすぎるのがいけなかったのか、、。親が横について、自分でさせる。というのがベストなのでしょうけれどつい、早く!、さっさと!と親がやってしまうのですよね。朝からしょんぼりな末っ子でした。<苺はしっかり食べていましたけど。
2010.04.30
コメント(0)

(新サイト 記事移転先リンク) 【http://mabo400dc.com/】以下画像のみ
2010.04.29
コメント(0)

彼はオーディオマニアでもある。久しぶりに行ったら、アンプが替っていた、というか中身が替っていた。KT-88p-pアンプから6GB8p-pに。6GB8は東芝製の高出力ビーム管で、東京オリンピックの時の場内放送に使われたとかで有名?です。46年も前だ。なんと進歩していない?のだろう。進歩とはなんなのか、考えさせられる。進歩など、人間の幸福とは関係ないのだ。うちの診療室のBGM用アンプもこれのシングルだ、当然彼が作った。うちの診療室が落ち着くのはこの真空管アンプのおかげ。トランジスターの音はなんか落ち着かない。。というか、はっきり言って、うるさい。回路図はこれ、わかる人には解るはずだ。 ドライバーまではFETを主体とした半導体。2段目差動は2SJ44、当然廃品種だ、しかもIdssが10mA以上など入手不可能だろう。6GB8のゲート間に入っているのは電源変動によるバイアス変動をキャンセルする回路。どこかで見たような、見なかったような。。電源はすべて定電圧電源なのだが、それでもこだわっている。彼の考え方は、通常のスピーカーをドライブするにはトランス付きの真空管以外はだめ。真空管ドライブには半導体の方が性能がよい、わざわざ真空管を使う意味はない。まあ、そうかもしれない。。
2010.04.29
コメント(2)

薪で風呂を焚かないと、風呂に入った気がしないという、某友人。前のかまが漏水するようになったので、交換したとか。長府製6万円くらい。彼の場合は趣味なんだが、また、戻りますよ。ガスも電気も高くなります。
2010.04.29
コメント(0)

たくさんいただいたので、ちょっと食べて、残りはジャムにしました。ありがとうございました。。^^
2010.04.29
コメント(0)

(新サイト 記事移転先リンク) 【http://mabo400dc.com/】以下画像のみ
2010.04.28
コメント(0)

だいぶ根と葉が伸びてきました。http://plaza.rakuten.co.jp/mabo400dc/diary/200905070001/去年の8日目と大して変わりません。今年は朝の気温が10℃程度と低いからでしょう。去年は3粒蒔きでした。
2010.04.28
コメント(0)

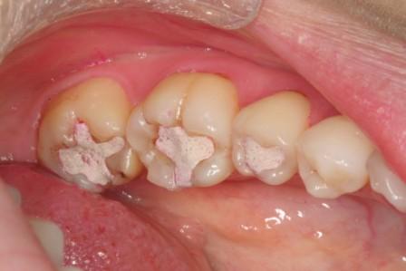
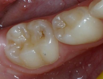
虫歯は削らないでも治るものがある。治らないまでも進行は防げる。削って埋める処置をしても、接着ハガレは起こるので、また虫歯になる。歯は溶ける(脱灰)だけではなく、再結晶(再石灰化)する。要するに、自己修復能力がある。これを利用しない手はない。歯はpH5.5以下で溶けるとされるが、実際にはpH4(細菌が出す酸の下限)でも溶けない。溶けるには別のメカニズムがあることを示唆している。歯は削る治療を繰り返して、最後は抜歯となることが多い。削らなければ、その寿命は長い。通常、20歳まで削る治療をしなければ、歯周病になり歯根が露出しない限り生涯、虫歯にならない。pH0の塩酸を薄めて歯を溶かす実験をしてみると判るが、歯が溶けるpHは0~1の強酸だ。細菌が出すpH4以上の弱酸では歯は溶けない。しかし、pH4でも電流を流せば溶ける。電流を流す前。電流を流して3時間経過後。これを存知でしょうか?レモン電池。鉄釘と銅釘(違う種類の金属ならなんでも可)をレモンに挿すと、電気が流れる。電子が出て行く方(この場合鉄)が溶ける。イオン化傾向の違いによる現象だ。歯と歯科用金属の間にも、エナメル質と象牙質の間にも、電流は流れる。もう一つ、酸素濃度に違いがあると、酸素が少ないところから、酸素が多いところに電子が奪われ、奪われたところが溶ける現象がある。通気差腐食という。バイオフィルムの底は、酸素が少ない=溶ける。虫歯というものは、鉄の腐食、赤さびと同じものだ。イオン化傾向の違い+通気差腐食によって起こる。「絵をクリックして、別ウインドウに飛んだら、再度クリック!アニメが始まります。」では、どうやって腐食(虫歯)を防ぐか?すでに確立している金属防食の技術を使う。この図は縦軸が電位差、横軸がpH。縦軸:腐食させたくないものにマイナス電位を与える(電子を供給する)と、腐食しない。横軸:pHがある程度高い(アルカリ性だ)と腐食しない。要するに、pHコントロールだ。アルカリ性にするには、重曹が入手しやすく、毒性もない。水に溶かして、プラークが酸性になった時(飲食直後)、うがいするとよい。瞬時にpHは上がる=電気が流れない=歯が溶けるのが止まる=再石灰化が始まる。重曹水の作り方は500mlのペットボトルに小さじ一杯3g。作り置き可。「重曹うがい」で、この程度の虫歯は治る。2年後概ねこの程度の虫歯は心配ない。飲食後の「重曹うがい」で進行しない。でも、食生活の改善が一番重要。いちばんいけない食生活は最後のパターンだ。「ちょこっと食い」「だらだら食い」「寝る前の飲食」寝ると唾液が出なくなるので、元々唾液中に含まれている重曹成分(重炭酸イオン)による緩衝作用(酸の中和)を期待できない。「重曹うがい」も間に合わない。#参考画像は「日本ヘルスケア歯科研究会」、熊谷崇先生御著書他より引用。多謝。#詳しくは、カテゴリーの「虫歯の電気化学説」、「削らない虫歯治療」参照。世の中には、常識は真実とは違うことがたくさんある。虫歯に関しての知見にしてもそうだ、なんか、やばくない?だまされているってことですよ。。
2010.04.26
コメント(0)

まだ日時は決めていませんが、HS-10000でレコード・コンサートをしてくれ!というリクエストがありましたので、企画したいと思います。その方に言わせると、まるで生の音そのもの、、だそうです。参加したい方はコメント欄に書き込みお願いいたします。お好きなCDやアンプの持ち込み歓迎です。用意できるアンプは6C33CB3極管OTLアンプ、YAMAHA B-I、B-2です。
2010.04.24
コメント(8)

(新サイト 記事移転先リンク) 【http://mabo400dc.com/】以下画像のみ
2010.04.23
コメント(0)

院長が待合室の新じゃがを購入してきたので今日のおやつはフライドポテト。皮付きのままで揚げた新じゃがに塩、胡椒、カレー粉に、お砂糖をほんの一つまみ。カレー風味で仕上げました。カレー味のフライドポテトは子供のお弁当にも入れたりするのですが、今のところ文句は出てきていません。(^^ゞ使ったカレー粉はこちら。↓■ プライム バーモントカレー (カロリー25%オフ) 中辛 134g 油分が少ないのでルゥのブロックがサラリとほぐれてポテトにも簡単にまぶせます。昔ながらのこういうの↓で良いかと思うのですが一缶あってもなかなか使いきれない、、、。■S&B カレー 37g
2010.04.23
コメント(0)

とってもうまい、無農薬!早い者勝ちです!うちの待合室には、産直ものの野菜を100~200円均一で置いています。うちの患者さんの農家の方で、常連は3軒、時々が2軒、だんだん増えています。この気候変動に火山の噴火、石油減耗時代(ガソリン値上がり確定)を迎えて、いつ何時、食糧危機が起こらないとも限りません。そのとき慌てないように、常に生産者と消費者を結び付けるのが、歯医者の役割(?)。。^^まあ、うちに来れば、歯は心配ないし、食べ物にも困らない、そんな歯科医院を目指しています。
2010.04.22
コメント(0)

後ろ姿だけできました。。息子がプラモデルに興味を持っているので、おやじも作れるのだぞ、、と見せておかなくてはね。。^^たぶんこれで終わり、の予定。。^^日頃は歯ばかり作っているので、本当は、工作はうんざりなのです。。^^
2010.04.22
コメント(0)

(新サイト 記事移転先リンク) 【http://mabo400dc.com/】以下画像のみ
2010.04.21
コメント(4)

ちょろっと、芽がでてきました。今年は火山も爆発したし、冷夏だといううわさですが、さて。どうでしょうかね?イネはそもそも熱帯産です。
2010.04.21
コメント(0)

(新サイト 記事移転先リンク) 【http://mabo400dc.com/】以下画像のみ
2010.04.19
コメント(2)

(新サイト 記事移転先リンク) 【http://mabo400dc.com/】以下画像のみ
2010.04.18
コメント(0)

シャーシにホイールを付けながら、ダークイエローで塗りました。 僕の子供の頃とすると、塗料もアクリル系に替わっており、塗りやすくなっていますが、ドライブラシ技法とかは必要ない感じです。というか、しにくい。ドイツの戦車のホイールは互い違いで、変なところに凝っています。メンテナンス性は最悪と思う。 ドイツ人と日本人は妙に凝り性ということで、世界的には思われているようです。エマニュエル・トッドによれば、両者は家父長的家族制度を採っているからだそうで、解ったような解らないような。。^^「帝国以後」と日本の選択
2010.04.18
コメント(0)

このところ全世界的な寒冷化で、当地方も今週の最低気温は4℃でした。なんとなく薄ら寒いので、薪ストーブで炭を少しずつ焚いています。 3年前にも書き込みましたが、1782~1788の天明の大飢饉では当地方では甚大な被害が出ました。http://plaza.rakuten.co.jp/mabo400dc/diary/200706110000/45万人の人口のうち15万人が餓死又は病死したそうです。この記録は少々オーバーかも知れませんが、近くの和尚さんから、うちの近くにある工事現場から多量の人骨が出て、拝みに来てくれと依頼があった、とかいう話を聞きましたので、まんざらウソではないのでしょう。この飢饉の原因は某火山の噴火としていましたが、これが今噴火しているアイスランドのラキ火山と浅間山(去年噴火)だったのです。まあ、偶然だとは思います。。^^http://jyoudou.net/blog/2010/04/post-249.htmlヨーロッパでは火山灰で飛行機も飛べずたいへんなことになっているようですが、これは短期的な問題ではありません。火山灰は成層圏に達しているそうですから、今後数年にわたって影響が出るでしょう。心配な方は「秋月」に集い、行動を起こしましょう。危機が予想されているにかかわらず、行動しない者は、多量の屍になり、後年発掘されることになるということです。
2010.04.18
コメント(0)

(新サイト 記事移転先リンク) 【http://mabo400dc.com/】以下画像のみ
2010.04.17
コメント(2)

うちのクライアントさんのIさんは夏を北海道で過ごす。車で長距離移動するので、ちょっとした冷蔵庫や夜間の照明が欲しくなる。で、PVモジュールを屋根に積んでいる。 充電コントローラとDC/ACインバータ。 バッテリーは今のところ車載用、本当は深く放電可能な「ディープサイクルバッテリー」が欲しいが、予算の関係。
2010.04.17
コメント(0)
![]()
タミヤ 1/35 ミリタリーミニチュアシリーズ No.295 ドイツ重駆逐戦車 ヤークトタイガー初期生産型息子の付き合いで模型屋さんに行ったら、なんとなく懐かしくなって、買ってしまいました。昔は定価600円だった気がします。40数年前のお話ですが^^名前も違いました、確か当時は「ハンティング・タイガー」とか言っていたような・・今日は、シャーシとスプロケット、ホイールを1組だけ。眠たくなりました。。眼が疲れる。。(-"-)
2010.04.17
コメント(0)

前回、こんなことを書いたので、どういうこと?と思われた方も多いと思いましたので、ちょっと解説します。「虫歯の電気化学説」という「カテゴリ」をお読みいただくと解るとおもうのですが、虫歯の原因は金属の腐食と同じで電気化学的な現象です。絵をクリック!別ウインドウに飛んだら、さらにもう一度絵をクリック!アニメーションになっています。まあ、電池を始め、メッキや電解研磨や金属のさびと同じ現象ということです。細菌が出す程度の酸では溶けない歯でも、歯から電子を奪うとあっさり溶けます。これは電解研磨そのものです。やってみれば判りますが、歯は金属として取り扱うことができて、電流も流れるし、イオン化傾向を計測することもできます。歯はCa(カルシウム)という金属が主成分ですから、容易に想像できますよね?・・ということで、虫歯は電気化学的な現象で、金属の腐食と同じなのですが、大きく分類すると3つに分けることができます。もちろん、実際には複合していますが。それは、1、異種金属接触腐食2、通気差腐食3、応力腐食割れ(これは歯ぎしり、くいしばりなどの咬合性外傷によるものですが、そのうち書きます)2、の通気差腐食をさらに分類すると、a、隙間腐食b、微生物腐食b、の微生物腐食が細菌が関係している金属腐食ですが、細菌の種類は問いません。たまたま虫歯に生息している細菌を虫歯菌と呼んでいるに過ぎないということです。歯に付着して酸素を消費して(拡張概念としては他を酸化して、電子を奪って)生きている細菌ならなんでもよいのです。これが、タイトルの理由です。
2010.04.15
コメント(0)

新学期、我家は長女、長男がそれぞれ高校生、中学生になったことで初めて!お弁当作りをすることになっちゃいました。保育園は主食のご飯だけを持って行くお弁当だったし長女も長男も3月までは給食だったし、運動会と遠足くらいしかお弁当経験が無いのです。自信ないです~~、、。(-"-;)もう強迫観念的にお弁当の足しになりそうな一品を作りためては放り込むものだから冷凍庫がパンパンです。作るものがみんなお弁当サイズになっちゃって、、今日はフライパンいっぱいにチキンハンバーグ・ミニサイズ。 2人のお弁当分にいくつか取り分けて冷凍したら残りは晩御飯に野菜と合わせて、シチューというよりはもっとサラリとした、トマトジュースを使った煮込みハンバーグに。お弁当の時にはつくね風に甘辛く照り焼き味になる予定。寝坊してお弁当無し、なんて事態にならないように目覚ましを時計をいくつもかけて寝ています。(笑
2010.04.15
コメント(0)

(新サイト 記事移転先リンク) 【http://mabo400dc.com/】以下画像のみ
2010.04.14
コメント(0)

まだやっています^^DCX2496にS/PDIF(デジタル出力)端子を付けようと、デジタル・トランスミッターのCS8404を2段重ねにして、DCX2496の空きスペースに取り付けました。ところが、P社のCDプレーヤーDV-AX10をDACとして使い、そのデジタル入力にCS8404の出力を入力して聴いてみると、なんと、、右チャンネルだけに盛大な雑音が入ります。。ふつうはこんな壊れ方しないのですが、、困った、、P社のCDPが悪い??調査続行中、、(-"-)眠たくなりました。。寝ます(^~^)BEHRINGER ベリンガー DCX2496 24‐bit/96kHz チャンネル・ディバイダー(クロスオーバー)
2010.04.12
コメント(8)
http://gold.tanaka.co.jp/commodity/souba/d-gold.phpなんだか、嫌な予感、、為替相場だけではなく、金の価格もこれまた●●ヤ様がコントロールしているとか。。今、3700円/gになろうとしています、、数年前は1000円台でした。
2010.04.12
コメント(0)

国家が財政破綻すると、保険医療制度もほぼ同時に機能停止します。それは何時か?と言われても、占い師ではないので正確には答えられませんが、かなり近いというプレッシャーを感じます。国債の引き受け手がなくなるとか、石油製品の価格が高騰するとか、大多数の日本国民が、ああ。。こりゃだめだ、、と思った時がその時です。まあ、来年かもしれませんし、再来年かもしれない、そういう感じです。医療保険制度の破たんに対処するために、遠隔教育機関「秋月」の医療チームでは、「遠隔医療」の取り組みを始める予定にしています。「遠隔医療」とは最近はいろいろなところで取り上げられていますので、ご存じかと思いますが、インターネットを利用した様々な医療分野での取り組みです。http://ishindenshin.org/blog/2010/04/post-4.html誰でも病気になったときは、どうしてよいか分からず、とても不安になります。そんなときに相談できるドクターがいればどんなに心強いか。たとえばインターネットの「チャット」といわれる「テレビ会議システム」を利用すると遠く離れていてもドクターに気軽に相談できます。これから「石油減耗」の時代に入り、移動にお金がかかるようになります。石油の値段が高騰すると、まず現在の輸送インフラが壊滅してしまうでしょう。ネット環境さえあれば、リアルにドクターを訪ねなくてもそれが可能になります。しかし、今の医療のように5分で1人の患者を診るということはできませんので、おのずから助けられる患者数は限られてきます。もし、医療崩壊に備えたいなら、「秋月便り」を購読し、チャット「御蔵」にお越しいただき、新しい世界を作る仲間になっていただくことが重要です。助けられる人数に限界があるのなら、仲間を優先するのは人情だからです。次回は「遠隔医療」の具体例のご紹介予定です。
2010.04.11
コメント(0)

オクで半額以下でゲットできました。東京マルイの人気商品で売り切れ続出、新品の入手は難しい。マルイ タイガーI型(迷彩仕様)【送料無料】70年代になって田宮模型から1/25の精密ディスプレイモデルが発売になったときは衝撃的でした。今も当時のあこがれが心の片隅にありますね。。70年代というのは日本の工業製品の頂点でした。
2010.04.11
コメント(2)

食料危機が来て、いざ食料増産といっても急にはできません。バケツ稲を育てて練習です^^バケツ稲ですから、種籾を採るくらいしかできないのですが、背が高く、赤い稲穂がきれいなので、当面観賞用に?育てています。種苗用のポットに育苗用の土を入れて水を張り、一粒づつ載せていきました。種籾はたくさんありますので、ご自由にお持ち帰りください。待合室に置いておきます。
2010.04.10
コメント(0)

(新サイト 記事移転先リンク) 【http://mabo400dc.com/】以下画像のみ
2010.04.09
コメント(0)

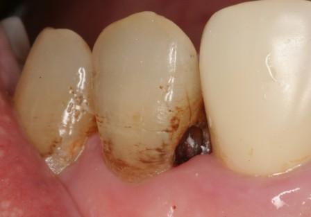
表題画像は「歯牙フッ素症」で、フッ素で歯が溶けたという画像です。これとは関係ないのですが、以下はうちのふくいんちょ、の若い頃の経験です。---------ここから-----------フッ素ですね~~、、、。私がまだ歯学部の学生時代のお話です。親戚の子供が、確か4歳くらいだったかと思うのですが上顎の前歯ががらっと虫歯で、どこかよい小児歯科の先生を紹介して頂戴、学校で訊いて来て!ということで、紹介していただいたことがあったのです。後日、紹介された小児歯科で2回、フッ素塗布を受けた後その子の前歯は『えっ?!』というくらいに虫歯が進んで溶けて消えていたのです。その子のお母さん曰く、『フッ素塗布を受けだしてから急激に溶けた。』というのです。確かに6前歯全ての隣接面カリエスもあったのですがまだ、『歯』あったよね、、、。もともと小児歯科の先生を紹介していただくに当たってその子の現状を説明すると『(そんな虫歯っ子は、)いまどき珍しいね。』と教授に笑われてしまったほどの虫歯ちゃんでもあったので極限的に進んでいた虫歯のせいで、たまたまタイミング的に『歯が折れた、、?』のだったかもしれないし、、、などと思いながらも、何かすっきりしない思いを抱いたのでした。あの時、毎日じっくり観察してみていたら何かわかったかしら、、、?溶けたのか折れたのかくらいは知りたかったよな、、、。(-"-)
2010.04.08
コメント(2)

先々週に引き続き”初めてのお蜜柑”です。ご近所の方にいただいたものなのですが、安政柑というのだそうです。写真の上の方の2つです。3番目の普通の甘夏柑よりもふた回りほど大きいです。大きいほうを量ってみたら824グラムありました。皮の表面は滑らかで、剥いてみるとこんな感じ。↓ 今の広島県生口島の原産で、江戸時代、安政年間(1854年~1895年)に見つかった、文旦の変異種とされているようです。 文旦よりも果肉がソフトな感じじゃないかなぁ。薄皮を剥いて滴るほどではないけれど、果汁も多いです。先週のはるかに劣らずこちらも酸味は少ないですね。穏やかな甘さで手も汚れないし、大きいし!!たくさん食べられちゃいます。(笑栽培が盛んだからでしょうか、市場のニーズ、ということもあるのでしょうか、九州に来てからというもの、蜜柑の品種の多いことに驚きます。実は、この3月中にこの安政柑で”初めてのお蜜柑”が4つ目だったのです。東北にいた子供の頃、蜜柑といったら温州みかんと酸っぱい八朔くらいしか見たことが無かったように思います。私の祖母が大きな植木鉢で、室内で、何年も蜜柑の木を育てていましたが、もっぱら観賞用というか、ついに実がなるのを見たことはありませんでした。
2010.04.08
コメント(0)

裏庭の桜の花にもありました。偶然なんですが、昨夜の強風で小枝が折れたのでしょう。花が数個付いたままの枝が落ちていましたので、ちょっと見てみると、花弁の1つが小さく、ガクが4つしかない花を見つけました。左が奇形、裏から見ると、右の花のガクは4枚しかない。ここは玄海原発から直線12km、しかも風下ですからね。。排気塔からは常時、自然放射線レベルの数十倍の放射性ガスを垂れ流していますし。。http://www1.kyuden.co.jp/php/nuclear/genkai/g_ex_monitor.php白血病も多いし、http://blog.goo.ne.jp/kmjcp/e/93b088957884693635f5faf568a9d0edまあ、そこまでして、電気が欲しいですかね?
2010.04.07
コメント(0)

このシャープ製のPVモジュールは系統連係用の一般的なもので、以前作った30WのPVモジュールと比べても、けっこう大きい。縦116.5cm、横99cm、重量14.5kgうちにはこれを16枚使った独立型(バッテリー必要)のシステムが2基ある。これがPVモジュールの裏側に貼ってあるラベル、いろいろと諸元が書いてある。これらのデータはシステムを設計する上で重要な数字なのだ、どういう意味なのかは、おいおいと。。これ1枚のPVモジュールでどこまで実用的なシステムとして運用できるかと言うことに興味があります。けっこういけると思います、しゃぶり尽くしてみましょう!
2010.04.06
コメント(0)

「PVモジュール」は「太陽電池パネル」とか一般には言われているものです。今では入手困難になりましたね、オークションでは中古品でもほとんど定価で落札されています。というのも、メーカーが単売しなくなったからです。でも、今なら全く入手できないこともありません。統制品にはまだなっていないからです。抗ウイルス薬の「タミフル」は豚インフル騒ぎが起ると同時に統制品になり、医療関係者でも入手できなくなりました。「PVモジュール」も、いつ統制品になるかわかりません。早めのゲットをお薦めします。閑話休題この「PVモジュール」は最大定格153Wの出力があり、1枚でも電灯とノートPCくらいなら、数時間使えるくらいの電力は得られます。これ以外の部品は「バッテリー」と、PVモジュールとバッテリーをつなぐ「充電コントローラ」が必要となります。入手の都合で「バッテリー」はとりあえず自動車用バッテリーの流用をしますが、過度の充放電には弱いので、デープサイクル型というタフな専用品をゲットする方向で検討を始めます。「充電コントローラ」は買うと結構お高いので、汎用部品での自作を考えます。モバイル、、というほど小さくはないのですが、集合住宅にお住まいの方でも、南向きのベランダ・テラスくらいには置けると思います。いざとなった時の保険ですね、今のうちから慣れていないと、こういうものは急にはハンドルできません。電気料金の基本料金の支払いさえままならなくなる時代が来るかもしれませんよ。・・というわけで、うちの夏のイベントは「ソーラー発電で遊ぼう!」です。。具体的なシステムの構築方法は電気の分野に慣れていないと、ここだけの情報では敷居が高いと思います。これからの厳しい時代に備えたい人は、「秋月便り」を購読していただき、談合システム(チャット)「御蔵」にお越し下さい。
2010.04.06
コメント(0)

・・ちょっと厳しいものがあるんです。やってみるとすぐに分かるのですが、 ろうそくにしろ、行燈にしろ、石油ランプにしろ、単に暗いというだけではない、手元の照明には不向きなのだ。当然ですね。。照明器具の自己影がじゃまになるからです。自然エネルギーでは、夜、読書や執筆(勉強も)がはっきり言ってできません。江戸時代の本の字が大きいのは、印刷技術の所為ではありません。行燈の下では小さな活字は眼が疲れて読めないからです。で、電灯の普及というのは実は画期的なことだったのです。 今後、石油の減耗時代を迎え、経済が混乱して、ガソリン、電力料金、その他すべての公共料金が値上がりします。電力の基本料金の支払いさえままならない、、そんな時代の予感がします。さて、どうします?つづき。。明かりも変えていく。シャープのLEDシャープ LED電球(電球40Wタイプ) DL-L401N(昼白色) SHARP
2010.04.06
コメント(0)
国、自治体の財政破綻も近いですね。。たぶん、再来年?まあ、しかたない。預金も年金もなくなる、と覚悟しましょう。でも、患者がいなくなるわけでも、スタッフが辞めるわけでもない。人間、食べないわけにもいきません。うちも野戦病院と化します。紙幣が文字通り紙くずとなったら、物々交換するだけです。ーー引用、ここからーー【マネー得捜本部】国債の日銀引き受けでハイパーインフレが襲来★国債暴落→財政破綻でハイパーインフレがやってくる!?(3)2010.04.05 そんな「破綻秒読み」の段階に入っているのに、「財政赤字はフィクションだ」と声高に主張していた亀井静香金融相が、先頃、財政法の金科玉条と言ってもいい国債の「日銀引き受けの禁止」を“解禁”する可能性を示唆したのだ。「国会の議決があれば、国債を日銀が引き受けることは可能です。ただ、仮に、日銀が国債を100兆円買い取る議決が通れば、白川総裁以下、日銀の全理事は辞任するでしょうね。彼らに代わり、亀井金融相が日銀総裁となり、理事をインフレターゲットに熱心なリフレ派に総入れ替えすれば、無制限に国債を日銀に引き受けさせることもできなくはない」(池田氏) そうなれば日本国債の信用はガタ落ちし、国債価格は大暴落。当然、金利は急騰する。1%の金利上昇で利払いが1兆2000億円増大するため、結果、さらなる財政赤字を抱えることになるのだ。 「国債が暴落したら、巨額の含み損を抱えることになってしまう邦銀は必死に買い支えるだろうが、いつか資金は尽きる。最後は、新規の国債が売れ残る『札割れ』を起こすでしょう。それでも、日銀が国債を引き受ければ新発債は消化できるが、市中に大量の通貨が供給されインフレとなる。当然、日本政府や日銀の信用は失墜し、円が暴落。輸入価格が高騰することで、国内にさらなるハイパーインフレが引き起こされる危険性が高まるわけです。こうした財政的要因のインフレは金融政策では抑制できない。国内では1000万人ほどが失業するだろうし、経済はメチャメチャになるでしょうね」(同) 「ジャパンショック」の到来は、目前に迫っているのかもしれない。■池田信夫氏 上武大学経営情報学部教授。ネット論壇『アゴラ』代表。『希望を捨てる勇気 停滞と成長の経済学』(ダイヤモンド社)ほか著書多数■小幡績氏 旧大蔵省を経て、慶応大学ビジネススクール准教授。専門は行動ファイナンス。共著『世界経済はこう変わる』(光文社)ほか著書多数取材・文/斉藤武宏
2010.04.05
コメント(2)

セブンの中でもこのシーンは大好きなんですね。http://plaza.rakuten.co.jp/mabo400dc/diary/200707070000/脚本:金城哲夫 監督:実相寺昭雄 まあ、この二人にかかると、シュールな芸術作品になります。Never-Say-Die!さんがおもしろい動画をアップしていたので、ご覧ください。鳩山由紀夫総理は外国人に参政権を与えるという動画です。http://never-say-die.net/2010/04/post-186.html
2010.04.04
コメント(0)

裏庭に桜の木があるので、お昼休みに「花見」をしようということになり、「お酒」なし、、で花見をしました^^外気温は11.5℃と日陰ではちょっと寒さを感じます。花は盛りをちょっと過ぎた頃でしょうか?それでも、きれいでした。「花は桜・・」とはよく言ったものです、春の空にピンクの花の色がよく映ります。
2010.04.03
コメント(0)
![]()
石油最終争奪戦皆さんこの月曜日は「英国政府が石油ピークを認めた日」として記憶されるであろう」という記事。去年の UKERC report,に端を発した一連の動きが、ここまで来た、というもの。 下記です。「Government ‘Peak Oil Summit’ Starts the Process of Government Acknowledging Peak Oil? 」 (Published Wed, 03/24/2010 - 07:00 by Transition Culture) http://www.energybulletin.net/print/52125しかし、日本は、まだまだ石油は発見される、石油に代わる原子力、新エネルギーも、色々と楽観的ですが、「地球は有限、資源は質が全て」です。無限成長はありえない、様々なエネルギー論議もEPRで冷静に判断することです。 EPRをLCA、CO2、原子力推進論などと絡めないことも大事、世界のEPR論は論理的であり単純明快です。ご参考まで。--石井吉徳http://www1.kamakuranet.ne.jp/oilpeak/
2010.04.03
コメント(2)

DAC製作中のモニターは60年代のスピーカーの名器日立HS-500、70年代の日立HS-5、アンプは同じく70年代のYAMAHA B-2。ピークオイルを迎えて、工業製品はその開発コンセプトが発散した後、急速に崩壊します。http://www.energybulletin.net/print/52125工業製品のピークは70年代でした。当時の製品開発コンセプトは曲がりなりにも、「人類の幸福」でした。実際にはそうではなかったにせよ、技術者はそう信じていたと思います。今はどうか?製品や生産技術の存続そのものが目的となり、「人類の幸福」とは関係のない工業製品が溢れています。つまり、工業製品自体が「利権構造」となってしまいました。製品開発コンセプトは発散、希薄化、ついには消滅してしまうでしょう。原発も同じ、今後世界で800基の原発製造が計画されているそうですが、石油が減耗すると、製造はおろか維持管理すらできない、環境放置となり、設備の腐食とともに、世界は放射能で汚染されます。
2010.04.03
コメント(0)

結局、DCX2496のDAC(AK4393)は24bit,fs:96kHz,BICK:64fs,I2Sフォーマットで動作していることが判りましたので、前回は上野式DACをMSBファーストの左詰め(MSBジャスティファイ)で動かそうと考えていましたが、MSBファースト右詰め(LSBジャスティファイ)で動かすのが正解と気が付きましたので、SDATAを7BICKだけ遅らせることで対処することにして、DAC基板上に74HC164を組み込み12ピンから7BICK遅れたSDATAを取り出すことにしました。回路図はこれ、で、動作しました。でも、グリッジというよりは、ぱちぱちノイズが気になります。D-SUB端子から出ている線を握ると改善しますので、D-SUBではなくて、ちゃんとインピーダンス・マッチングを考え、シールドされたケーブルを使わないといけないのかもしれません。要検討課題。とりあえず、画像です。74AC574は4パラですので、シールドしながら積み上げました。音は繊細かつ、ダイナミック、どこかしらYAMAHA B-Iに通じる音です。BEHRINGER ベリンガー DCX2496 24‐bit/96kHz チャンネル・ディバイダー(クロスオーバー)
2010.04.02
コメント(2)

待合室に入荷するたびに『これは何?』と話題になるお芋があるのです。ひとつが600グラムほどもある大きな芋です。『里芋の親芋だね、食べられるの?』『里芋とは違う、こんな品種よ。』『赤芋だね。』持ってきてくださるYさんとお話しするタイミングが無くてよくわからないままなのです。自分なりに、食いしん坊の記憶を頼りになんか見たことあるんだよね~と、探してみました。形も大きさもちょっと違うのだけれど、セレベスという里芋の一種が食感も味も似た感じだったような気がする、、、。何よりこの赤いちょんまげがそっくり。『戦後インドネシアのセレベス島から導入されたといわれるが、戦前にも同種のものが大吉という名で栽培されていた。昭和30~40年代には人気があり急激に需要が伸びたが、現在は衰退している粉質で粘り気も少なく味も良いのだが、煮くずれしやすいという欠点がある。』セレベスは親芋、子芋ともに食べられる品種なのだそうです。どうやらこれはセレベスの親芋のようです。そういえば『赤芽大吉』って聞いたことがあるなぁ。確かにセレベスを煮物に使って、思い切り煮崩れた記憶もあります。(-"-;)煮なければよいわけですね♪ということで、フライパンで焼きました。オリーブオイルを大匙2杯ほど、やや多めにひいて、お塩をパラパラ。皮を剥いて、1センチ厚さに切ったお芋を並べ、もう一度表面にも軽く塩を振り、蓋をして、ひたすら焼けるのを待ちました。下の写真は裏表焼いただけのものです。 火の通りは遅くないです。すぐに焼けました。ホクホクして美味しい!粉質なので、表面がサクサクになります。中身はホクホクで薄塩味によく合います。ご飯もパンも要らない、主食代わりになりそうです。煮物より好きだなぁ♪子供達にも大好評で、楽しい朝ごはんになりました。
2010.04.02
コメント(0)
全46件 (46件中 1-46件目)
1