全33件 (33件中 1-33件目)
1

この数年、雷がやたら多いですね。異常気象ということなのでしょうが、とうとう3年目にしてうちのソーラー発電システムが雷にやられました。一昨日の未明、雷が近くに落ちたのは知っていたのですが、コントロールパネル上ではソーラー発電システムは特に問題なく動いているように見えたので安心していたのですが、ふと胸騒ぎがして配電盤を見てみると、雷サージ防止用の47Vのバリスタが燃えていました。第2システムの4台の充電コントローラに付けていたバリスタの内の1個と、第3システムの4台の充電コントローラに付けていたバリスタの内の3個が程度の差こそあれ焼損していました。バリスタというのは一定電圧以上の電圧が掛かると抵抗値が低下してバリスタに電流を流してバリスタに並列に接続された機器を過大な電圧から守る部品なのですが、その役目を果たしたわけです。ただ完全にその役目を果たしたのかといえばそうでもないようで、第3システムの4台の充電コントローラの内1台がPVモジュールとバッテリーとが直結状態になっています。残念ながらこの充電コントローラは雷サージで破壊されたようです。直結状態になるとバッテリーが過充電になり、このまま気がつかないとバッテリーが壊れるところでしたが、このところのお天気の悪さの為救われました。ま、これだけの被害で済んで良かったというべきでしょう。バリスタがなければ、全ての充電コントローラがだめになっていたかもしれません。すぐにバリスタは全数交換。上の娘にやらせました。
2010.12.31
コメント(4)

うちも今日で今年の診療は終わり、大掃除の後、近くのお寿司屋さんで忘年会。1/4から診療予定です。来年もよろしくお願いいたします。お休み中には咬合治療、矯正関係の画像アップ予定です。よいお年をお迎え下さい、では~。。^^
2010.12.29
コメント(0)

オークションでゲットした±35V/3Aの可変型電源です。手持ちの電源が壊れたので安くゲットできてうれしいのですが、なんだか中古市場ではまだ使える測定器の類がいっぱい出回っています。メーカーがつぶれたり、撤退したりしているのでしょうか?メーカーがやっていけなくなっても、アマチュアが頑張りますから、日本はまだまだいけますよ。。
2010.12.29
コメント(2)
比古 師匠さん>理解しているのですが、いまいち想像できません。ライフラインも一度に寸断するのでしょうか?原発の管理など放棄でしょうか?当然医薬品も販売(?)中止ですよね?薬草の知識が必要になるのかな~-----財政破綻時を想定して、どのように混乱を最小限にするか?ということは財務省や金融庁でシミュレーションが行われているでしょう。先日の日債銀破綻処理もそのシミュレーションの1つだと思われます。この件は「日本財政破綻」とかで検索すると出てくるので、いろいろ読んで考えるのも面白いというか気が滅入るというかですが、真っ先に来るのが、公共サービスの低下です。公務員の給与は遅配欠配の事態となりますし、医療費の窓口負担は6割、高額医療費のペイバック不能、年金の50%減額、学校や保育園などが機能停止、ライフラインが一度に止まると言う事態になるとは思いませんが、水道料金が数倍に跳ね上がるとか、道路などのメンテ自体が不可能になるとか、じわじわ来ると思います。国が真っ先にするのは、取り付け騒ぎ防止の為、金融機関の閉鎖、取引額の上限の設定(すでに設定済み)、金融商品の解約停止措置など、金融統制でしょう。消費税を20%に上げるというのは、破綻の前にでもしそうです。逆に言うと、国にできることはこれくらいしかないということです。海外から見たら円は暴落している、もしくは暴落必須とみえるでしょうから、石油などの資源エネルギーの輸入は困難になるはずです。というか現金払い以外の取引はできないということです。こうなれば医薬品の枯渇はもちろんですが、交通機関が麻痺を始め、原発の維持も早晩できなくなる事態となり、電力供給が細り都市部から機能麻痺が始まります。あとは食料危機が始まり、最悪カオス状態。北海道にはロシアが侵攻し、沖縄は人民解放軍に占領され、我が政府はなす術もなし。石油減耗時代が強制的に訪れるという事態なので、日本人に出来ることは1つだけ、昭和30年頃の生活に戻るという選択肢しか残されていません。それも2年では無理というものでしょう。
2010.12.27
コメント(6)
![]()
逝きし世の面影http://www.taharasoichiro.com/cms/?p=468田原総一朗氏公式ブログより引用。田原総一朗です。先週の激論!クロスファイアで、官房長官の仙石(まま)さんと討論した。「こんなデタラメ予算を後何年組めるのか?」と問うと仙谷さんは2年が限度だと答えた。あと2年で破綻する。こんな重大な官房長官の発言を、どの新聞も無視した。・・あと2年というと、2011年度と2012年度の予算を組めるのが限界で、2013年度は無理、日本は財政破綻するということですね。いやしくも官房長官が言っているのですから、これ以上の真実はない。まあ、そんなことは当然でしょうね。半分借金して身の丈に合わない生活をいつまでもは続けられません。国債の引き受け手がいなくなったら、後は紙幣を刷るしか手段がなく、ハイパーインフレでどっちにしろ終わり。。ま、それもいいんじゃないですかね?貧乏しながらも、みんなで助けあって楽しく暮らしましょう。江戸時代のように。絵で見る幕末日本
2010.12.26
コメント(1)

というスピーカーはワカラナイ人には全くワカラナイだろうが、「パーフェクト・マシーン」と呼ばれる機械だ。まあ、ふつうの機械ではないわけです。工業製品ではあるので、予算や使用材料の制限はあるのだが、実に隅々に至るまで、行き届いた設計で、勉強する度に、あらたな発見が常にある、といったところでしょうか?完璧な限界設計で、これ以上は設計者の河村信一郎氏にしか越えられないだろう。機械設計をするときの心構えについてお話を聞いたことがあるが、先人の仕事を見たらいけない、それに引きずられてブレークスルーの為の新しいアイデアが浮かばない。だそうで、それは実物を手に取ってみれば納得できると思う。
2010.12.26
コメント(0)

が活躍する季節になりましたね。外気温4.3℃とそれほど低くはなく、雪ではありませんが、みぞれ混じりの弱い雨が降っています。薪をどうやって流通させるかが問題ですが、石油も枯渇が始まり、代替エネルギー開発もそう簡単ではないでしょう。また戻りますよ。
2010.12.26
コメント(0)

やっと風邪が治って、仕事ができるようになると、技工の仕事が溜まってきて、歯医者の仕事が終わった後は、明日の技工の仕事をしました。9時には終わりましたけどね。。フルタイム12時間労働はしたくないですね^^スピーカー計測用の機械も放置状態だし、河村先生からお預かり中の定電流アンプ(CCアンプ)もHS-400につないでいないし、DCX2496も使いこなせていないし、なにもかも進んでいません。。^^;ま、YAMAHA B-I(定電圧アンプ)と定電流アンプ(CCアンプ)の音の違いでも聞いておくかなと思い、瞬時切り替え試聴してみました。・・B-Iのちょっと狭帯域だが明瞭で小さな音までよく聴こえる躍動感あふれる分解能の良い音。・・一方、CCアンプは・・ふつうの音です。。^^;無色透明?切り替え試聴している間に違いが良く分からなくなってしまいました^^;;少なくともダンピングファクターなるものには意味がないということです。
2010.12.21
コメント(7)

12月11日に玄海原発3号機の1次冷却水中のよう素濃度が上昇したことを受け、同原発では第13回定期点検が前倒しで行われているようです。http://www1.kyuden.co.jp/nuclear_pluthermal_watch_2.html排気筒や排水口の放射線量のリアルタイムモニターというのがあって、http://www1.kyuden.co.jp/php/nuclear/genkai/g_ex_monitor.php(同社ホームページからたどり着くことは困難なので、ときどき見たい方はお気に入りに登録しておいてください。)というわけで、常時500cpm程放射能を垂れ流しています。バックグラウンドは16cpm程ですので、約30倍です。他の排気筒よりは20%多いので、何らかの事故があったのかもしれません。ぼくは九電の回し者ではないのですが、ご心配の方も大勢いらっしゃるようですので、風邪をおして、現地に行って測定してみました。画像は左から、玄海原発4号機3号機で、南側の対岸から見ています。まあ、至近距離ということです。ここには排水口があるのですが、周りには遊漁船がいっぱい。。暖かいので魚も大きいのでしょうか?白血病とか怖くないのかね?知りませんが。。で、計測結果です。12.6cpm普通です。残念ながら?メルトダウン級の事故があったとは思えません。
2010.12.19
コメント(7)

という薪割り斧なんですが、何本か割ってみました。節がなければ面白いように、スコーン、、と割れます。節があっても何回かやれば割れるようです。右半分が重いので、変心しているのか、というとそうではなく、刃先は握り棒の中心線上に付いています。重さの左右差と刃先の形状がくさび効果を出すので、よく割れるのではないかと思いました。右上の返しは錘の意味だけではなく、これ以上刃が木に食い込んで抜けなくなるのを防止する役目かとも思います。
2010.12.16
コメント(3)

チャンネルデバイダーとつないで音出ししてみました。チャンネルデバイダーは2種類持っています。昔から使っているのは1995年製のRolandのAP-700 2台で、出力のI/V変換OPアンプを交換して、LPFの部品点数を減らしました。これだけでもずいぶん音質は向上しています。ただ、昔の機械なので16bit48kHzまでしか対応していません。一番上の黒い箱はデジタル入力セレクターとLR信号2系統をLL、RRに変換する回路が入っています。もう1つは現行商品のベーリンガーDCX2496です。【送料無料】【代引手数料無料】ベリンガー BEHRINGERチャンネルデバイダーDCX2496【送料無料】よくできたチャンネルデバイダーなのですが(安いし)、音質が今ひとつ。。何度聴いてもAP-700改に負けているように聴こえます。下の機械はサンプルレートコンバータのSRC2496です。なくても動作します。それではDCX2496に外部DACを付ければ音質が向上するのではないかと思って。DCX2496にS/PDIF出力を付けたり、DACを自作しようとしたり、安いDACを仕入れたりしましたが、どうでしょうか?試聴はこれからです。HS-400のオリジナルにも付いているのですが、高域共振や、foをコントロールするためのイコライザーの設定をします。MH-35用とL-205用です。試聴結果は後ほど。
2010.12.15
コメント(0)

なんだか読めない外国語です。「ヴィプキルヴェス」ですかね?薪をお歳暮でいただいたので、まだこの斧は使っていませんが、電動薪割り機で割れないような、太くて節が有る木でも割れるそうです。
2010.12.15
コメント(2)
動画サイトがあるようですが、見えますか?http://tvdouga.seesaa.net/article/173291595.html
2010.12.15
コメント(1)
同じく農水省のサイトから引用です。http://www.maff.go.jp/j/zyukyu/jki/j_rep/monthly/pdf/zyu_1011.pdf人口増加に食料増産が伴っていません。期末在庫も減る一方で、農水省は2019年には危険水域に達するとの見解です。#しかも『天候が平年並みに推移した場合」、、とか書いてあります!ここに石油減耗の影響が重なったら、、早く対策を立てましょう。いざとなったら、国も農家も助けてはくれません。飢えるだけです。
2010.12.15
コメント(0)
http://www.maff.go.jp/j/zyukyu/jki/j_usda/pdf/usda_1012.pdf今年は穀物の消費が生産を上回る。小麦もトウモロコシも米も、大豆以外は期末在庫を減らしています。こんなことは近年ありませんでした、原因は干ばつ、水害、病害虫、エタノール向け需要の増加、中国の旺盛な需要、と様々ですが、こういうことが数年続けば厳しい事態も想定されます。今後石油の減耗が進めば食料生産に大きな影響がでるでしょう。農薬、肥料、農業機械には石油を多量に使っています。石油生産量は10年後には半分になる可能性があります。他の資源で代替させることは難しいのです。一方人口の増加は・・?農水省のサイトより、引用。http://www.maff.go.jp/j/zyukyu/jki/index.html
2010.12.14
コメント(2)
今晩11時30分からでしたっけ?どうせテレビがないので、視ることができませんが。もったいない学会会長石井さんのブログから、関連記事をご紹介。http://oilpeak.exblog.jp/13711341/水道の蛇口をひねるとガスが出てきて燃えるとか。多量の有機溶剤入りの水を地中に押し込むので、地下水系が汚染されるとか。ガスは無尽蔵?ま、そんなうまい話はないです。。
2010.12.14
コメント(0)
昨晩と今晩放送されるようです、ものすごいことになっているようですね。。シェールガス。死んでもガスが欲しいか、、?!!ってな話です。http://togetter.com/li/78725
2010.12.14
コメント(2)

以前は会議室の壁にHS-10000と並べて試聴していたのですが、母屋に引っ越してきました。低音以外はHS-10000と変わりません。むしろくっきりと明瞭な音です。それには理由があるのですが、後ほど説明します。これからはYAMAHA B-Iによる定電圧ドライブのオリジナルHS-400と並べて試聴することにしました。定電流駆動というのは、分かり易く言えばDF(ダンピングファクター):0でのスピーカードライブ方式です。したがってfoでの速度帰還が掛かりませんので、foでのインピーダンスカーブそのままの音圧になります。このピークをコントロールする必要がありますので、マルチアンプにする必要があります。それはまた次回にでもご紹介することとして、ではなぜ定電流駆動なのかというと、スピーカー駆動力というのはF=BLI (B:磁束密度、L:磁束中の電線の長さ、I:Lを流れる電流)ですので、スピーカインピーダンスRの関数ではないのですが、電圧で駆動するとI=V/Rとなり、与式に代入すると、F=BLV/Rとなり、熱時定数や高域のL成分を持つやくざなR(スピーカーケーブル含む)が駆動力の式に変数として入ってしまうのです。ということは、大信号で大電流が流れるとボイスコイルの温度が上昇し、インピーダンスは過渡的に上昇するので、電流Iは下がり駆動力が落ちるという悪循環に陥ります。定電流駆動はこのような現象を音に表さないスピーカーの理想的な駆動方法なのです。定電流駆動すると、くっきりはっきり、目が覚めるような音になります。と同時にスピーカー本来の粗も見えてきてしまうかもしれません。マルチアンプ駆動なので、それぞれのスピーカーにケーブルを直結します。MH-35にケーブル直付け。L-205にも直付け。ケーブルは裏から出す。壁(平面バッフル)に納める。実は今回急遽HS-400の定電流駆動試聴環境を整えたのは、世界で2台しかない2台目の定電流アンプが整備修理のために戻って来たからです。各々、100W、出力インピーダンス100kΩの定電流駆動アンプ4台入り。
2010.12.13
コメント(0)

某サイトでは6000cpmを観測したとか書いてありますが、玄海原発15km圏内の当地ではそういう値を検出していません。ご安心ください。画像のようにごく当たり前の数値です。「ガイガーカウンターGMLog」は単三電池2本で動作し、10分間隔または1時間間隔の10分平均データを500件内蔵メモリに収納することができます。後でPCに取り込んで見ることができますし、もちろんPCのUSB端子につなげば、リアルタイムで計測できます。予約はメールで受け付けます。10台予約があれば製造に入れます。
2010.12.12
コメント(2)

「おもちゃ倉庫」というところに子供たちと行きました。4cmくらいしかない小さな模型なのですが、よくできているので、買ってしまいました。300円でした。。1/35の製作中の同モデルはまだ放置状態です。。^^;
2010.12.12
コメント(4)

(新サイト 記事移転先リンク) 【http://mabo400dc.com/】以下画像のみ
2010.12.11
コメント(0)

(新サイト 記事移転先リンク) 【http://mabo400dc.com/】以下画像のみhttp://plaza.rakuten.co.jp/mabo400dc/diary/201012060000/
2010.12.11
コメント(0)

(新サイト 記事移転先リンク) 【http://mabo400dc.com/】以下画像のみhttp://plaza.rakuten.co.jp/mabo400dc/diary/201012090000/
2010.12.10
コメント(1)

最大値測定回路配線完了しました。表裏最大振幅測定回路は2回積分回路が付いているだけです。右が最大振幅測定回路、左が最大値測定回路表裏
2010.12.09
コメント(0)

(新サイト 記事移転先リンク) 【http://mabo400dc.com/】以下画像のみhttp://plaza.rakuten.co.jp/mabo400dc/diary/201004280001/
2010.12.09
コメント(3)

(新サイト 記事移転先リンク) 【http://mabo400dc.com/】以下画像のみ
2010.12.09
コメント(2)

最大値測定回路基板です。大きな部品配置と電源ラインの配線が終わったところ。理想ダイオード回路で両波整流して0.2sのピークホールド回路を通して出力します。表裏3種類の基板。スピーカの設計にはこれだけ必要です。左から「ボイスコイル熱時定数シミュレータ基板(RMS/DC変換回路>10s長時間時定数回路>理想ダイオードによる半波整流回路)」この基盤は熱時定数10sの他に3s、1sの合計3枚必要、中央「振動板最大振幅測定回路基板(2回積分回路>理想ダイオード回路による両波整流回路>0.2sピークホールド回路)」、右「最大振幅測定回路基板」、
2010.12.07
コメント(0)

(新サイト 記事移転先リンク) 【http://mabo400dc.com/】以下画像のみ
2010.12.06
コメント(0)

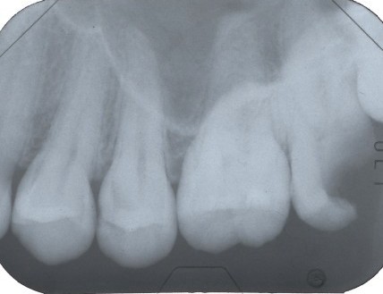
8歳13歳16歳うちの子供たちのレントゲン写真。うえから8歳、13歳、16歳。虫歯は完璧に予防可能な病気です。うちの子供達で実証済み。もちろんフッ素は一切使っていない。虫歯は金属の腐食と考えると解りやすい。虫歯は酸性で起こりやすく、アルカリ性では起こりにくい。また酸素濃度が低いところで起こる。つまり金属の腐食環境と同じということだ。しかしラッキーなことに、歯はアルカリ性で再結晶(再石灰化)が促進される。つまり虫歯予防とはpHコントロールのことだ。口腔内が酸性になるのは、飲食直後から30~60分。その間に歯が溶ける。アルカリ性の間に歯は再結晶で元に戻る。時間的に常に酸性<アルカリ性にしておくことが重要だ。具体的には、飲食の回数は1日4回以内。寝る前、夜遅い時間の飲食はしない。歯磨きは朝晩2回食後にする。歯磨き後のうがいは重曹水で。すでに虫歯がある人は、飲食後すぐに「重曹うがい」した方がよい。たったこれだけで、虫歯は完全予防できる。これだけで虫歯で歯医者に行く人はいなくなるはずです。虫歯の治療をしても虫歯は治りません、必ず再発します。虫歯予防で「低エネルギー社会」を目指そう、、ん!?^^;
2010.12.05
コメント(1)

ロフトというか、屋根裏にあります。冬は暖かくてよいのですが、夏は地獄、、少しづつですが、頭の中がスピーカー開発モードに変化して来ています。
2010.12.03
コメント(2)

2回積分回路(fc:7.23Hz 2次LPF)+両波整流回路+0.2sピークホールド回路各2ch分。やっと完成!表裏
2010.12.03
コメント(0)
アメリカでは自分で野菜を作って売ったり、種を採ったりできなくなるとか?!?!ほんまかいな、、http://tamekiyo.com/documents/healthranger/510passed.htmlhttp://www.rui.jp/ruinet.html?i=200&c=400&m=240929
2010.12.03
コメント(2)

IEAは2006年が石油ピークだったと発表しました。年率5~6%で石油生産は減少します。10~15年で半減すると見てよいでしょう。マスコミ等ではこのことには触れず、代替新エネルギーとか自然エネルギーの開発とか喧伝していますが、残念ながら石油に代わるような安全で便利な資源エネルギーはありません。経済成長を前提とする今までの社会システム=石油文明は早晩崩壊します。そこで「もたいない精神」で新しい文明=「低エネルギー社会」をめざそうという会があります。以下「もったいない学会」会長石井吉徳さんの挨拶文です。http://www.mottainaisociety.org/outline/message.htmlーーーーーーーー引用開始ーーーーーーーーー「石油ピーク」と「もったいない学会」NPO法人「もったいない学会」とは、正式には「石油ピークを啓蒙し脱浪費社会をめざすもったいない学会」という。エネルギーと文明の関係を正しく理解し、石油ピーク後の社会を皆で考え拡げていくのが目的、2006年8月に発足、翌年東京都の法人となった。日本の心「もったいない」で、「脱浪費、脱石油」文明を構築する、思考の中心は「石油ピーク」である。現代文明は石油が支えるが、それに限界が見える、だがそれに代わるものはない。現代農業は石油漬け、運輸機関も流体燃料である石油が欠かせない。様々な化学物質も石油から作る。つまり「石油ピークは農業ピーク、そして文明ピーク」なのである。しかし誤解の無いよういっておく、「石油ピーク」は「枯渇」を意味せず、需要動向によってピークの時期、ピーク後の減退も動的なのである。それへの対応は、脱浪費、無駄をしない「もったいない」と思うことである。だがこれは生活水準の低下を意味しない。「無駄とは」とは「要らない」という意味だからである。経済恐慌の元凶、アメリカの浪費をまねない、膨張指向のグローバリズムにも振り回されない、新しい「日本の理念」を構築するのである。自分で考え、脱欧入亜を目指すのである。本来、成長は正義でない、技術も万能ではない。「足を知る」ことである、「持続型の発展」はもう時代遅れ、指数関数的なGDP成長は、「地球有限」でありえないのである。「資源は質が全て」を理解し、自然と共存する理念を構想して世界にも広めたいものである。私の主張:「日本のプランB」大陸育ちのレスター・ブラウンの「プランB」などではなく、「日本の自然、地勢」を取り入れた「日本のプランB」、1)浪費、無駄しない、日本は世界6位の「海岸線の長さ大国」、大陸ではない山岳75%2)西欧文明の終焉、脱欧入亜を目指す、アメリカ主導のグローバリズムは自壊する3)1970年頃を目指そう、当時エネルギー消費は半分、食料自給率は60%、現在より「心は豊か」であった4)少子化、人口減をチャンスとする、民族の生存には人口が少ないほど有利、年長者も働く5)流体燃料危機である、車社会を見直し、鉄路、公共運輸の充実、自転車を利用する6)集中から地域分散、低密度の自然エネルギーは分散利用、評価はEPR(エネルギー収支比)7)日本列島を有効に使う、石油依存農業の見直し、地産地消の自然農業、分散社会への技術8)循環社会は3R;Reduce(減量)Reuse(再利用)Recycle(リサイクル)の順、先ず減量9)効率優先社会の見直し、集中から地域分散、自然と共存をはかる、これは60倍の雇用を生む10)GDPの無限成長より「心豊かに」、「もったいない」、「ほどほどに」、「人のつながり」を重んじる社会。いずれも可能なことばかり、雇用も増やせよう、それは石油社会は人間一人が60人の奴隷を抱えている勘定となるからである。1970年頃、一次エネルギー消費は今の半分、食料自給率は60%と高く、人の心は「今より豊か」だった。ーーーーーーーーーーーーー会長のHPhttp://www1.kamakuranet.ne.jp/oilpeak/会長のTwitterhttp://twitter.com/?status=%20【楽天ブログ】I歯科医院の高楊枝通信。:「もったいない学会」のご紹介%0D%0Ahttp://plaza.rakuten.co.jp/mabo400dc/diary/201012020000/#!/postoil
2010.12.02
コメント(2)
全33件 (33件中 1-33件目)
1