全39件 (39件中 1-39件目)
1

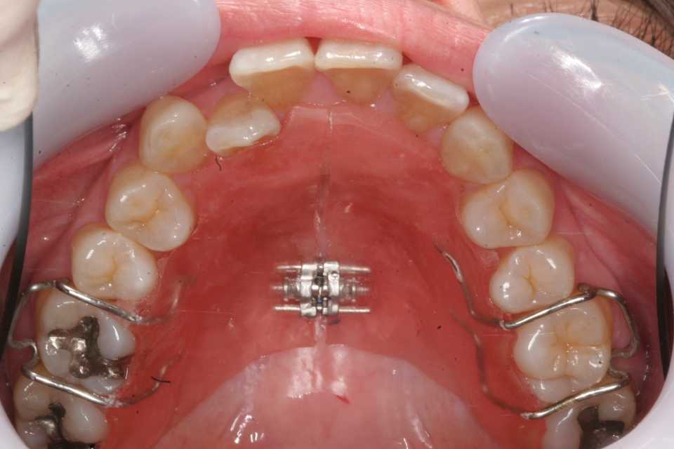
12歳女子、左下7、すれ違い咬合この時のつづきを例にとって、臼歯部のブラケットは何を選べばいいの?というお話。これは部分矯正なのだけれど、全顎ブラケット&ワイヤー矯正でも同じです。https://plaza.rakuten.co.jp/mabo400dc/diary/202508040000/before/afterからbefore2025/04/26起きてくるまでは上顎にこの部分を抜いたスプリントを入れます。起きる時に上顎に干渉して起きませんので。レベリングワイヤーは丸の014"動かす必要のない6543は連結固定してアンカーとして使います。このアンカーという考え方は歯列矯正治療には重要な考え方で、常に考えておかないと上手くいきません。特定の歯を動かすということはそれ以外の歯が反対方向に動くということです。作用反作用の関係で動かすということです。ですから、動かしたくない歯はなるべく多い方が良いアンカーになるということです。良いアンカーがない時はネジを顎の骨にねじ込んで使うのですが、それをアンカースクリューと言います。しかし、作用反作用をよく考えれば不要なケースが大半です。アンカーが動きすぎたら戻す、それを繰り返しながら収束させるという考え方です。after2025/08/26ブラケットが干渉するときは壊れない程度に削って良いです。レベリングが終わったら角ワイヤーに換えます。細い角ワイヤーは016"-016"(オーワンシックスーオーワンシックス)しか入手できなくなった。7番はバッカルチューブ.018"、6番は大臼歯用のメタルブラケット.022"、小臼歯は.018"のメタルブラケット。これだけでOK。このまま歯科材料屋さんに見せて発注してください。咬合の中心(最初に当たる)は6番ではなく小臼歯なので、ここは018"(オーワンエイト)でしっかりワイヤーを固定した方が良い。6番はスロットは狭いほど調整が難しいので広めの022"(オーツーツー)のメタルブラケットで楽をしましょう。態癖(寝相等)の対策をすればバンド冠など全く必要ありません。7番はトルクを強く掛けるので018"で。矯正治療のノウハウに関するシリーズはこれで終了です。直近の「今日の歯列矯正シリーズ」6記事を参照してください。これだけで良いのです。後は自分の頭で考えて実践するだけ。
2025.09.30
コメント(0)

40代女性、左上2、クロスバイト前回のつづきhttps://plaza.rakuten.co.jp/mabo400dc/diary/202509290000/ブラケットワイヤー装着から3ヶ月ほどで改善する、その後は患者の細かい要望に応じたりしながら微調整と保定に入る準備をする。いきなりブラケット&ワイヤーを除去することはできない。歯槽骨が動かした直後はゆるゆるなので、どうなるか分からない。後戻りしたり、思いっきり歯列が歪んだりする。最低でも2年くらいは用心しないと悲惨なことになる。2025/04/01拡大症装置を2年程使って十分広がって、動かすスペースができたのでブラケット&ワイヤーを装着した。最初はレベリングと言ってブラケットのスロット(ワイヤーの入る溝)を一列にする工程。ワイヤーは丸014"左右の3456は動かす必要はないので、スーパーボンドで歯列固定している。奥歯全部をアンカーに使えるし、患者も術者も楽だ。歯列狭窄が元に戻らないように床装置は入れている。https://plaza.rakuten.co.jp/mabo400dc/diary/202509260000/2025/04/26隙間をパワーチェインで引っ張って寄せる2025/05/20左上2番の先が引っかかっているので、太めの丸ワイヤー016"に交換した。2025/06/18被蓋は改善したので微調整に入る。動かす必要のないところは連続結紮しておく。角ワイヤーの016"-016"2025/08/26床装置はそのまま保定装置として使える。
2025.09.30
コメント(0)

40代女性、左上2、クロスバイト前回のつづきhttps://plaza.rakuten.co.jp/mabo400dc/diary/202509270001/ブラケット装着とワイヤーベンディングとは言え、こればかりは教科書どおりでいいです。画期的な手抜き方法があるわけではありません。理想的な歯並びというのもあるような無いようなというのが現実で、その子に合わせてアレンジします。理想的な歯並びというのは矯正歯科医の頭の中だけにあるイマジナリーなもので、絶対的なものではありません。一般的には下図のようなもので、アーチ自体の形は丸ワイヤーも角ワイヤーも同じです。角ワイヤーを使うときはトルクと言って歯軸の傾斜を付ける必要があります。これは大御所の先生によっても違いますので、ここにある数字の中間位を目指します。特にブラケット装着は出来上がりの姿を想像しながらしないと後で困ります。1つだけ低いとか曲がっているとかがあるとワイヤーをそこだけブラケットに合わせて曲げないといけなくなるので面倒です。ブラケット装着は最初が肝心!全顎ブラケット症例も部分矯正も基本同じです。矯正用の道具はこれだけでOKです。ローレットとか初心の頃は使うこともありましたが、面倒なだけです。結紮線を使うことには慣れるしかないです。ホーのプライヤーでくるくる回して締める練習をしてください。パワーチェインとオープンコイルスプリングブラケット装着用のピンセットとブラケット除去用の鉗子。これだけでOKで、学生実習で購入した器具に少し買い足すだけで十分でしょう。つづく
2025.09.29
コメント(0)

2025.09.28
コメント(0)

40代女性、左上2、クロスバイトhttps://plaza.rakuten.co.jp/mabo400dc/diary/202509260000/今日はブラケット&ワイヤーの選定ということで具体的なお話です。歯学部を出ただけでは矯正治療など全くできないということに気が付いて愕然とするのだけれど、大学院などに行くお金もないし、お高いセミナーに出かけるお金も時間もない、という諸兄に朗報です。最近はアンカースクリューを使った矯正とか、色々な方法が歯科矯正業界には溢れているのだけれど、実はそんなのはなくても大丈夫なのです。ここでご紹介する方法や材料は非常にシンプルなので導入しやすいと思います。僕も昔は色々器具や材料を集めていましたが、今はシンプルです。ブラケットは各歯牙に基本1種類、ワイヤーは4種類でOKです。道具も4種類だけ。これは後程画像をアップしましょう。矯正治療を始めようと思っても、機材のカタログは分厚く、その中のどの製品を選べば良いか分からないという高い壁があります。多くの矯正治療を志す歯科医師はこの最初の段階で挫折します。その壁をあっさり崩そうというのがこの記事の趣旨で、これだけでOKという話です。ではここで使っているブラケットから3〜3は透明のプラステックのブラケットを使います。ま、見た目です。スロット幅は.018(オーワンエイト)というものです。この手の呼称は業界用語です。歯科材料屋さんに下の画像を見せて発注してください。下顎の3〜3も同じ透明のシリーズがありますが、被蓋が深くて上顎前歯の舌側と干渉する時は小さめのメタルブラケットを使う時もあります。それらがこれ下顎前歯部用ブラケット。小さめのメタルブラケットはスロット幅.022(オーツーツー)。広い方がワイヤーベンディングが簡単だし、患者も痛くない。ワイヤーは丸ワイヤーの.014(オーワンフォー)という1番細いものです。Uループ、Ωループ、Lループ、Tループ等は使い分けます。オープンコイルスプリング、パワーチェインは必要に応じて使います。部分矯正の断端の処理法を見ておいてください。オリジナルです。動かす必要がない臼歯部はスーパーボンドで歯間部を連結固定しています。これでめんどくささ激減。患者負担も最小限。その他には丸の.016、角ワイヤー.016-.016(オーワンシックスーオーワンシックス)、たまに.016-.022(オーワンシックスーオーツーツー)を使うことも。というか、販売中止になってしまった.016-.018(オーワンシックスーオーワンエイト)があればこれ一本で済んだのですが。。硬さはミディアムでOK.今どんどんワイヤーの種類が減っています。世界的にブラケット&ワイヤーを使う歯医者が減っているのかもしれません。マウスピース矯正に押されている?マウスピース矯正ではできない症例も多々あるのですが。実はもっと太いワイヤーも使うのが一般的なのですが、細いワイヤーだけで並びます。太いワイヤーが必要な訳は、実は矯正専門医も気にしていないというのか、知らないのか、長く通わせるための大人の事情があるのか分かりませんが、寝相(態癖)対策なのです。うつ伏せ寝、横向き寝、頬杖等で矯正治療中の歯はゆるゆるなので動きやすいく、思いっきり歯列が歪んだりします。それを抑えるには太いワイヤーが必要になるということです。舌側弧線も同じだと思って良いです。態癖の対策は別途行えば太いワイヤーは使わずに済むので、術者も患者も楽です。上顎前歯部用の透明ブラケットはこれだけでOKつづく
2025.09.27
コメント(0)

小径の回転砥石だけでカットする練習をしている。ワークを押さえ過ぎないように。エッジも新しい形態を考えたので試作予定。
2025.09.27
コメント(0)

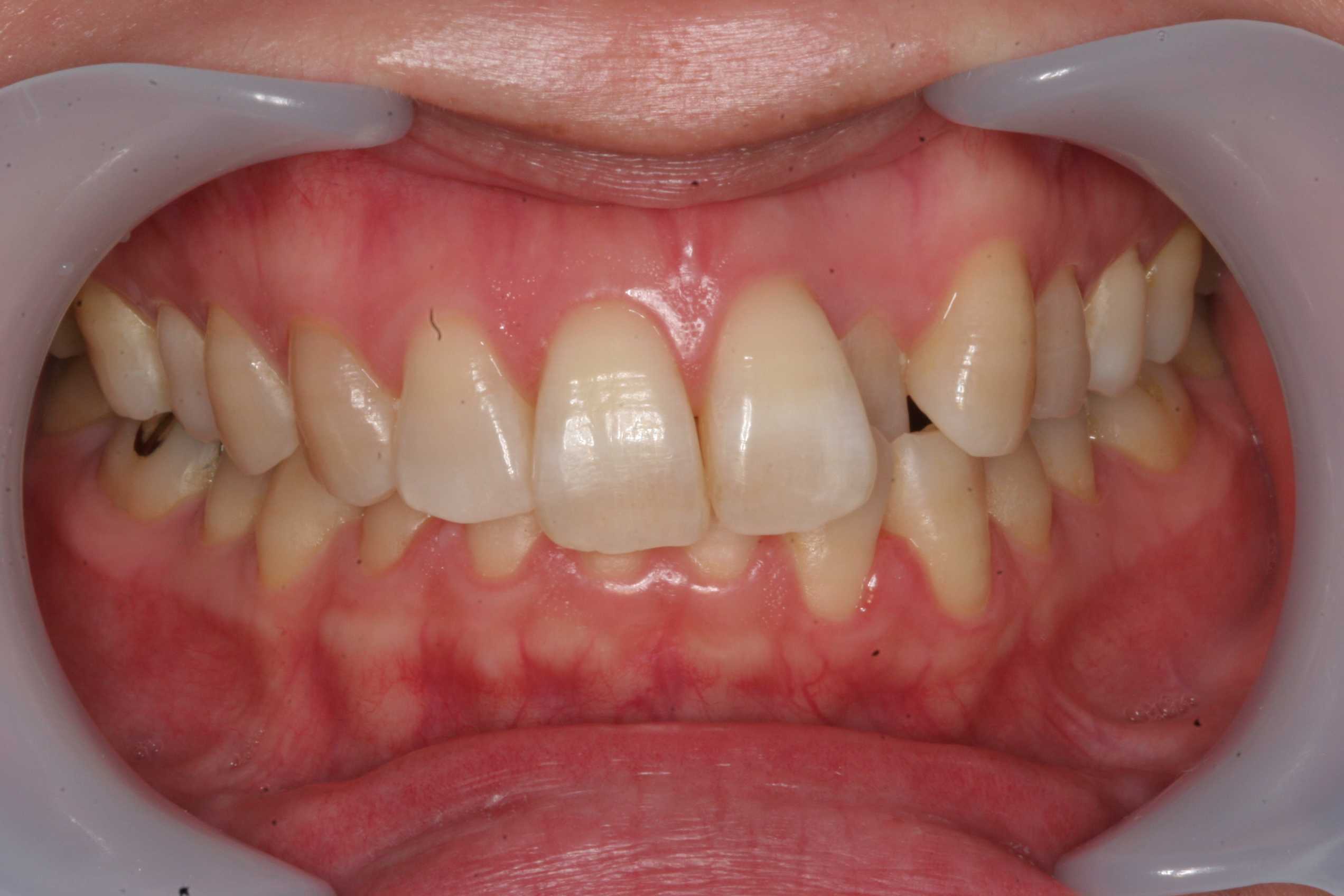
40代女性、左上2、クロスバイト子供の頃から気にしていて、コンプレックスに悩まされていたらしい。この方のお姉さんに聞いて初めて知った。矯正をしたいと依頼があったので、歯列を広げることから始めたのだが、僕はあまり気にしていなかったので、しばらく忘れて放置していた。その話を聞いて本格的に始めた経緯がある。前回のつづきhttps://plaza.rakuten.co.jp/mabo400dc/diary/202509250000/今年になってバタバタとブラケット装着して歯列矯正を始めた印象があるのだが、画像を調べてみると2016年から始めていた。真面目に四六時中上下の拡大装置を装着していただいて、1年後の2017年にはかなり歯列が拡大した。その後僕が忘れていて、2023年から治療を再開した。今日はそこまで。2016/02/292017/04/10かなり開いているのが見えると思う。この間ブランク、拡大装置の装着はしていただいていた。拡大装置の再作成。もう少し歯列拡大することにした。2023/05/242025/04/01ブラケット&ワイヤーを装着して2番の被蓋を改善するには歯列をもっと広げてスペースを作るしかない。もしくは抜歯してスペースを作るのだが、それはしたくない。歯列を広げるには真面目に拡大装置を装着しても2年かかる。次回はブラケットの選択などブラケット&ワイヤーの基本から。歯学部を出ただけでは全く分からない。歯科矯正学の大学院に進学したり医局に入ってご奉公するしかない。それも人気が高く入れてもらえない。セミナーに参加すると数十万円かかる。ここでは無料公開だwつづく
2025.09.26
コメント(0)

40代女性、左上2、クロスバイト子供の頃から気にしていて、コンプレックスに悩まされていたらしい。この方のお姉さんに聞いて初めて知った。矯正をしたいと依頼があったので、歯列を広げることから始めたのだが、僕はあまり気にしていなかったので、しばらく忘れて放置していた。その話を聞いて本格的に始めた経緯がある。最近はマウスピース矯正が流行って、こういう症例も矯正専門医でなくても治療を提供できることが視野に入って来ている。しかし、元々歯列が狭い症例で、非抜歯でするには初めに歯列を広げる処置をしなくてはならないのだが、歯列が狭くなる根本原因は実はあまり知られていないというか、矯正専門医も気にしていないフシがある。この歯列が狭くなる根本原因は横向き寝、うつ伏せ寝、頬杖等の態癖と呼ばれる顎に加わる外力によるものだ。例え歯列矯正が終わったとしても態癖が治らないとまた元に戻ってしまう。この態癖対策が難しい。ここでご紹介している部分矯正をマスターすれば矯正専門医でなくても非抜歯でこのような症例に対応できるので患者の信頼度は増すと思う。是非取り入れていただきたい。とりあえずbefore/after から。歯列が広がってきていることが分かると思う。beforeafterつづく
2025.09.25
コメント(0)

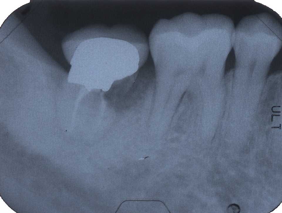
50代女性、左上7、外傷性近心辺縁隆線破折、クラック、自覚症状なし前回のつづきhttps://plaza.rakuten.co.jp/mabo400dc/diary/202509240000/鋳造で作るという作業は現在の歯学部で教えているのかどうか分からないが、最近のトレンドとして口腔内スキャナー、CAD/CAM、3Dプリンターで作るという流れになっているようだが、まだまだ機械が高いし、CRすらマトリックスを3DプリンターでCRを注入するとか、面倒なことをやっているらしい。その場ですれば数分で終わるのに、アホとしか言いようがない。僕が歯学部にいた頃でさえ鋳造実習はおざなりなもので、歯の作成は技工士に丸投げするので、真面目にやらなくてもよいという気満々だった。そういうネガティブ思考を乗り越えたところにワンオペ歯科治療はあるのだが。。今日は口腔内セットまでで一応終わり。銀合金は貴金属(パラジウム合金含む)と違いスーパーボンドの接着性が良い。
2025.09.24
コメント(0)

ぴーかんの庭に1本だけ生えているキノコ。名前は知りませんが。。
2025.09.24
コメント(4)

50代女性、左上7、外傷性近心辺縁隆線破折、クラック、自覚症状なし前回のつづきhttps://plaza.rakuten.co.jp/mabo400dc/diary/202509170000/外傷性に破折しそうな歯を補強冠で割れにくいようにするというのは対症療法としては有効だ。技工作業も難しくないので、ワンオペでできると思う。外注しようにもCAD/CAM、3Dプリンター等では作れないし、技工士も作ったことはないと思うので、断られる可能性が高い。銀合金で良いのでコストも低く抑えられる。では技工室の作業からバイトも対合歯も不要で技工作業も超基本のロストワックス法で簡単なので自分ですると良い。つづく
2025.09.24
コメント(0)

本体価格15000円程で、3種類の溶接法に対応している。溶接棒、フラックスワイヤ、手袋、手面も付いているので家庭用のAC100Vに繋げばすぐに使える。アルゴン溶接は別売のTIGトーチワイヤーが必要だが5000円だ。ボンベとレギュレータも安いのをネット上で見かけたような気もする。これはウチの業務用なので8万円とかする。1.5万円だが、思いの外使えると思う。直流インバーター方式でIGBT出力ということに親近感が湧くw10mの3.5sqのキャブタイヤコードも届いたのでAC200Vでも使えるようにした。ボンベを倒しそうなのでキャスターも買ったが、重いので業務で使う以外は不要だと思う。
2025.09.23
コメント(2)

X軸での作業は終わったのでY軸での作業。回転砥石なので取り付けを変更しないといけない。ハンドピース(モーター)のホルダーは技工用のパラレロメーターの部品の流用で、加工して使っているが、ホルダーの締め付けネジのツマミがリニアシャフトに当たるので、ワークにスペーサーを噛ませた。またホルダーの下面がワークに底付きするので、薄い小径の回転砥石が使えない。高速回転時の軸ブレが気になるのだが、1mm程径が小さいネイル用のハンドピースに換えた。本番ではホルダーがスペーサーにも干渉するので、ワークを幅広にするか、スペーサーを使わずに済ませる方法を考えている。さらに砥石を下げるためにハンドピースを1.5mm程削ってみた。まだ1mm程削れる。さらに1mm削ったので、2mm程低くなった。こんな感じで良いかな。。スペーサーをt:1mmにすればなんとかY軸方向も小径最薄砥石で切れると思う。
2025.09.23
コメント(0)

30代女性、右下7、Per、歯牙破折、歯根吸収?今日は前回のつづきで、再建した歯根を抜歯窩に挿入・固定するまで。この後は生着するのを待つが、1ヶ月は安静に保つ必要がある。完全に生着するには骨折と同じくらいの3ヶ月ほどかかる。前回のつづきhttps://plaza.rakuten.co.jp/mabo400dc/diary/202509200000/頬側の歯根がほとんど失われていて、スーパーボンドとCRで再建したが、頬側には歯根膜が無いので、歯茎は歯根膜があるところまで(ほとんど根尖付近まで)下がると思う。では時系列でどうぞ矢印の外側が歯根膜があるところ。歯根膜は80%以上失われている(生着は難しい)。舌側は歯根膜があるので、この部分だけで歯を支えることになる。抜歯窩はあらかじめ膿瘍掻爬、3MIX添加生食水のシリンジで洗浄しておく。再建した歯根を挿入固定する。手前側の7番の遠心にはあらかじめスーパーボンドを塗布しておく。スーパーボンドとCRで連結固定バイト調整して、デュラシールで包帯し、投薬4日。
2025.09.22
コメント(0)

初期のシンセサイザー音楽で、デジタル向きの音源で音は良いと思う。超低音が入っているので、アナログLPレコードには最初からLCF(ローカットフィルター)が入っているのかもしれない。そんな感じに聴こえる。CD音源を聴いていると、右チャンネルの音がスピーカーより外に定位する現象があった。LPレコードではそれがないだけではなく、再度CD音源にするとその現象は無くなった。ミステリーだ。
2025.09.21
コメント(0)

最薄の回転砥石でやると流石に綺麗に切れる。
2025.09.21
コメント(0)

これはふつうの溶接棒を使うタイプ。アルゴンガスは不要です。200Vだと3.5sqの延長ケーブルが必要ということですぐには用意できなかったので100Vでやってみました。難しくはありません。これくらいなら100Vでいけます。最近は自動液晶シャッター付きのお面がありますので、一緒にゲットした方がいいです。目がやられますし、片手で持たなくてもいいので。やすいし。
2025.09.21
コメント(0)

11歳女子、左上6、頬側カリエス、時々沁みるこの部分の虫歯は頬の粘膜に覆われているので、酸素不足になり酸素濃度差腐食が起こりやすい。歯にも電気(水素イオン:プロトン)が流れ、金属と同じような腐食が起こる。これが虫歯ということになる。それ以前にこの歯が萌えたての頃、虫歯になりやすい環境があったのだろう。白や黒に着色した帯が見える。これは初期のエナメル質の虫歯、脱灰と言われる現象。元々弱いここから先程の酸素濃度差腐食が起こるということ。画像が撮りにくかったので、見苦しくて申し訳ありません。では時系列でどうぞ角の部分に穴が開いている。実像:少し虫歯を削ると向こう側がチラッと見える。3MIX+α-TCP実像:CR充填後鏡像
2025.09.20
コメント(0)

30代女性、右下7、Per、歯牙破折、歯根吸収?https://plaza.rakuten.co.jp/mabo400dc/diary/202509180000/抜いてみると複雑な欠損状態で、頬側の上の部分は歯根膜、骨膜等の細胞が少なかったので、生着しにくく使えないと判断した。頬側の部分に欠損がある。欠けたのか吸収されたのか分からない。吸収だとすれば自身の免疫系が自身の歯を異物と見做しての排除機転が働いているということなので、生着したとしても排除機転は止まらないだろう。舌側は歯根膜は残っている。頬側は80%の歯根面が失われている。歯根膜がないので生着しても歯槽骨はできない。強い咬合力には耐えられないだろう。綺麗にして接着剤が効くように歯質の新鮮面を出す。白いのはCR系のコア材。ピンク色は根管充填材。根尖付近は歯根膜が失われている。膿瘍があったことが分かる。根管充填材も除去して根尖口まで貫通させるここから歯根の折損部をスーパーボンドとCRで修復・再建していく過程。既成のポストを当ててみた。裏面(舌側)、歯根膜はほとんど残っている。内側だけで持たせている状況。上半分は歯根膜が無いので使えないと判断した。エッチング処理をしてスーパーボンドで修復根尖口も筆積み法で塞ぐCRも使い始める。舌側面CRで上半分を覆う次回は再植過程。つづく
2025.09.20
コメント(0)

アルゴンアーク鋳造機を持っているので、アルゴンアーク溶接機も使ってみようとお中華製溶接機を購入してみた。ちゃんとした日本製なら高級機で200万円もするのですが、これは2万円。アルゴンボンベとレギュレータは日本製で8万円。どうしたらこんな値段で作れるのか分かりませんが、日本は中国に完全に乗っ取られていますね。対中華関税は1000%位で釣り合うのでは?
2025.09.18
コメント(2)

切削粉を吸い取る掃除機のホースをY軸に取り付けた。有り合わせの材料だが。2枚合わせでカットしてみたが、微妙に歪む。カットスピードを落とすか、3枚合わせにするか。スタビライザーを工夫するか。集塵機はなかなか調子が良い。
2025.09.18
コメント(0)

30代女性、右下7、Per、歯牙破折、歯根吸収?ほとんど抜けそうな(抜けている)状態で来られた。ご本人にお訊きしてもどうしてこうなったのか記憶にないそうだ。とりあえずレントゲン写真でのbefore/afterだが、近心の歯根が半分無くなっている。吸収されたのか、破折して破折片がどこかに行ってしまったのか、よく分からない。とりあえず抜いてみるしかない。beforeafter処置前はセラミック系の冠が装着されていたが、グラグラしている。冠は横から切断して除去した。歯根は前後(近遠心的)に破断していてグラグラしているのを確認した。どこまで健全歯質が残っているか軟化象牙質を削除しながら見てみたが、切削バーが届く範囲で健全歯質を確保するのはできなかった。抜歯してみないと正確なところは分からない。抜歯して直視下で見ないと軟化象牙質を除去し、健全歯質を出すことはできない。健全歯質の新鮮面を出さないとスーパーボンドは接着しないので、歯根の再建はできないということになる。抜歯再植は次回にすることにしてα-TCPで仮封鎖した。つづく
2025.09.18
コメント(0)

1977年録音の4人のスーパーギタリストの共演ということで、昔むかし僕がどっぷりと自作オーディオにはまっていた頃のアナログのLPレコードです。SACD/CDハイブリッド盤がでていたので購入して聴き比べてみました。音はCDもLPレコードもそれ程違わないと思う。ただ、DAC(デジタルアナログコンバーター)もディスクイコライザーも自作や改造品で音質を追求しているのでそれ程違わないと聴こえるのだけれど、市販の機器ではアナログディスクの方が良いと聴こえると思う。50年経ってもアナログがデジタルになっても音質は変わらない。むしろデジタル時代になってソースの音質は落ちている。デジタル録音システムが普及する前の録音の方が音質は良い。1990年以降の録音は良くない傾向だ。久しぶりにHS-10000の部屋に戻ってきた。
2025.09.17
コメント(0)

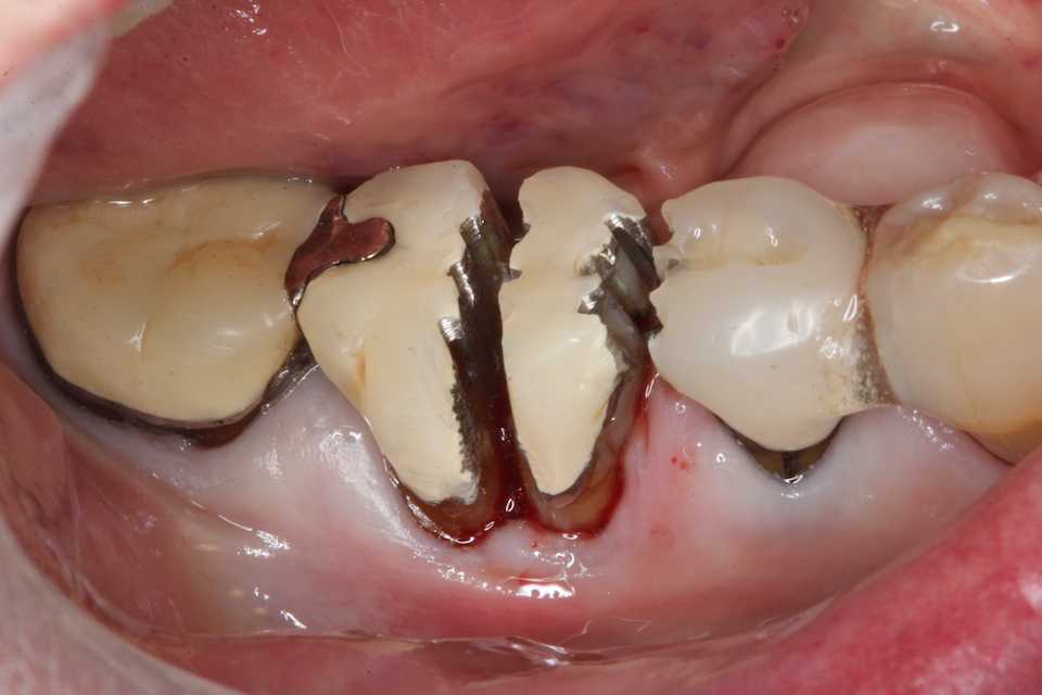
50代女性、左上7、外傷性近心辺縁隆線破折、クラック、自覚症状なし食いしばりの癖がある方で、手前側の6番も補強冠を入れて歯牙破折をなんとか抑えている。この7番も割れて抜歯になる前に補強冠を装着するしかないだろう。とりあえず今日は既存のアマルガムを除去しCRで修復するまで。では時系列でどうぞアマルガムにもクラック(ヒビ)が入っている。クラックα-TCP手前は補強冠、後ろの7番も同じようにするしかないだろう。クラックが深部に進んで離断してしまったら抜歯になる。つづく
2025.09.17
コメント(0)

70代女性、右上2、歯根破折、左上2、SK脱離このところの異常な熱波続きでついふらふらと意識が遠のき、顔面から転倒。歯が折れてしまった。特に右上は歯根も破折しているので、通常は抜歯するしかないのだけれど、α-TCPで接着固定して、それをCRで巻いてついでに歯冠も作った。破折歯根上のCRということです。転倒前beforeafter3〜3をスーパーボンド併用で連結固定している。
2025.09.16
コメント(0)

機械系の部屋は電気系の部屋と同じ大きさと構造で、HS-10000の部屋と共用です。この部屋は大先生の部屋として作ったのだけれど、いらっしゃる前に亡くなってしまった。この時のつづきになります。https://plaza.rakuten.co.jp/mabo400dc/diary/202505040000/今日からこちらでの作業になります。Z軸に回転切削器具の取り付けこれからの仕事場を河村先生の遺品の広角レンズで撮ってみた。頑張らねば。。
2025.09.15
コメント(0)

40台女性、左下6、Per+GA、外傷性クラック一昨日SP(消毒)に来られたが、初日だけ痛み止めを飲んだだけで大丈夫だったとのこと。抜歯窩に再建歯根を押し込む時は麻酔も切れていたので痛かったらしいがw前回のつづきhttps://plaza.rakuten.co.jp/mabo400dc/diary/202509130000/再建歯根を抜歯窩に挿入するに当って、切削面をスーパーボンドとCRで覆う必要があるのだが、なるべく凸面にしたいのだけれど、2つの根が干渉して挿入できないことがあるので、切削しながら合わせて挿入する必要がある。では時系列でどうぞ抜歯窩には押し込む必要がある場合もあるが、パチン、、と入る時に痛いらしい。近心根を挿入するときに遠心根と干渉したので、盛り足した部分を削合して挿入した。スーパーボンドで固定デュラシールで包帯してバイト(噛み合わせ)を見ている。噛ませない方が良い。つづくかも
2025.09.15
コメント(0)

次回から電気系の部屋を離れ、機械系の部屋に移ります。いつからこのプロジェクトをやっていたか見てみたら今年の3/23から始めたみたい。半年かかっていますね。https://plaza.rakuten.co.jp/mabo400dc/diary/202503230000/見たい方もいないでしょうが、「試作スピーカー」のカテゴリーからどうぞ。
2025.09.14
コメント(0)

40台女性、左下6、Per+GA、外傷性クラックGAができていたので歯髄を開けて見たのだが、歯髄は完全に失活していた。クラックがあったので3MIX+α-TCPで根管充填したが、GAは消えなかった。やはりクラックが深部まで進んでいるのか?前回のつづきhttps://plaza.rakuten.co.jp/mabo400dc/diary/202509100000/今日は問題点を探しながら歯根を再建していく過程。たどり着けたら再植まで。遠心根、クラックはある。クラックは除去、または内側から削除する。根尖口も開拡する。近心根も綺麗にして新鮮面を出す。近心根にはクラックや側枝の穴は見つけられなかった。根尖口開拡綺麗にしてスーパーボンド+CRで再建。既成のポストは入れている。根尖口も塞いで次回は抜歯窩に挿入固定の予定。
2025.09.13
コメント(0)

シングルのSEPPの実験機と同じ回路で試作機を作った。f特も10倍改善して歪みも減っている。300kHzまでフラットだし、歪みももしかしたら0.1%行くかもしれない。同じ回路なのにコンストラクションが違うと特性がものすごく違う。大電流回路の不思議だ。電源±12Vで、負荷抵抗0.1Ωで4Vp-pまで振れる。それ以上はクリップする。40Ap-pというのか。±20Apというのか。実効値7.1Aというのか。10kHz、入力0.5Vp-p10kHzの方形波。寄生発振が見られるので、これから対策予定。コンプリメンタリーのUHC MOSが入手できなくなってもなんとかなる見込みが付いた。これからスピーカーの本体の組み立てに入ります。寄生発振を抑えたらf特が50kHzフラット(-3dBが300kHz)まで落ちたが、使えないことはないかもしれない。もう少し帯域制限を緩めようか。。今手持ちの部品がない。TOSHIBA のサイトにパワーMOSFETの寄生発振・振動のPDFファイルがあります。参考になるようなならないような。。https://toshiba.semicon-storage.com/info/application_note_ja_20180726_AKX00021.pdf?did=5945555pFクリップ時の波形、ICクリップを取り付けただけでクリップレベルが下がる。なんともデリケート。黄:出力青:マイナス側ソース赤:プラス側ゲート緑:マイナス側ゲートこんな歪みだらけの波形でも出力はまともになる。高帰還のOPアンプの威力。というか下の2つのゲートで見えているのはパワーMOSFETの非直線性を改善するための逆補正信号と考えると良いかも。そろそろこのプロジェクトは回路図を描いたら終わりなのので、各部波形をアップしておきます。入力:10kHz、0.5Vp-p上からファイナルのパワーMOSの黄:プラス側ソース青:マイナス側ソース赤:プラス側ゲート緑:マイナス側ゲート中ドライバー基板黄:マイナス側出力青:プラス側出力赤:マイナス側コンプリメンタリーSEPP出力緑:同プラス側出力下黄:出力電圧(0.1Ω負荷)青:ファイナル段プラス電源緑:同マイナス電源ランニングテストしていて、放熱器の強制空冷ファンを止めたらどうなるか見ていたら、突然マイナス側のパワーMOSFETがショートモードで飛んだ。放熱器へのビス留めが甘かった。しおしおで今夜は寝みます。。飛んだマイナス側のパワーMOSFETを交換して復帰した。入力はバランスなので、アンバランスの場合は変換アダプターを使おうと考えている。音質が劣化する場合はRCA端子を増設するつもり。XLR端子を使うバランス入力の場合は4連VR(ボリューム)が必要。東京光音で特注だけれど作ってくれる。音の劣化は少ないと思う。シールドはこれから。120p20pF
2025.09.11
コメント(2)

40台女性、左下6、Per+GA、外傷性クラックGAができていたので歯髄を開けて見たのだが、歯髄は完全に失活していた。クラックがあったので3MIX+α-TCPで根管充填したが、GAは消えなかった。やはりクラックが深部まで進んでいるのか?前回のつづきhttps://plaza.rakuten.co.jp/mabo400dc/diary/202509090000/今日は抜歯して問題点を調べるまで。前後の歯根はアンダーカットになっているので、分割抜歯するしかない。なるべく歯根表面の歯根膜を損傷しないように抜くのは難しい。膿瘍は鋭匙ピンセットで掻爬・除去する。3MIX添加生食水で洗浄どうですかね。。近心根には明らかな側枝やクラックは見えません。遠心根にはクラックがあるが、根尖までは達していない。
2025.09.10
コメント(0)

40台女性、左下6、Per、外傷性クラックGAができていたので歯髄を開けて見たのだが、クラックがあったので3MIX+α-TCPで根管充填したが、GAは消えなかった。やはりクラックが深部まで進んでいるのか?これ以上の打つ手がないので抜歯再植を試みた。抜歯も分割抜歯だったがまだ病状が進んでいないので骨植もよかったので、かなり時間もかかり難しかった。結局クラックは遠心根だけで近心根には見えなかったので、側枝があるのかもしれないが、近心のGAの原因はよく分からなかった。どうなるのか、経過観察が必要だ。とりあえずレントゲン写真でのbefore/afterbeforeafter
2025.09.09
コメント(0)

40代女性、右上4、Per+GAPerというのは根管治療後に根管内に感染を起こしている状態でGAとは炎症が根管の外に波及している状態。この方は10年程前に神経を取って被せたということでしたが、2、3年前GAができて別の歯医者に行ったら切って膿を出してもらったら治ったということでしたが、根管に細菌が感染している以上細菌が消えたりしないので、何度も再発します。今回は切開というよりは根管内部に3MIX+α-TCPを入れて根管内部を消毒殺菌しようというコンセプト。内部のポストも根管充填材も完全に除去する必要はない。根管充填材が見えるところまで穴を開けて薬剤を入れ、CRで蓋をするだけでよい。信じられないだろうが、これだけで治る。もし再発するようなら、冠のどこかに隙間があり、そこから細菌が出たり入ったりしているわけだから、冠もポストも除去して隙間を塞ぐ必要がある。多分従来の根幹治療しか知らない歯科医師は何が起こっているのか分からないと思うが、根管治療の真実が分かれば理解できないことはないと思う。一般に思われてる根管治療というのは理想からは程遠いものだということだ。冠にもポストにも根管充填材にも隙間だらけで細菌がその隙間から出入りしているのが現実だ。僕が使っているボンディング材はこちら。α-TCPの50%クエン酸練り(硬化する)。この上からCRダイレクトボンディングでカバーする。3MIX+α-TCP3MIXの作り方はこちら。α-TCPの入手法はこちらでは時系列でどうぞ
2025.09.08
コメント(7)

40代男性、左下6、CK脱離歯が少ないので、残存歯に負担がかかり壊れる。神経を取った歯は劣化が進み、2次カリエスもあり歯質が脆くなっているので、通常のポストを立てコアを作り型取りしてクラウンを作る修復治療(CAD /CAM冠含む)は難しい。残存している歯根が再々治療には耐えられないのだ。また1つ前の5番も外傷性にグラグラになっている。今回は456を連結固定するつもりで治療を進める。では時系列でどうぞ2次カリエスを控えめながらも除去すると歯根はこんな感じになり、次は無いかな。。という厳しい状況になっている。すでに硬い歯質はない。どこまで除去しても硬い歯質は失われている。3MIX+α-TCPピンレッジ+ラウンドCRコア。 この形態が残存歯質にダメージが少ない。CKは銀合金のフレームにハイブリッドレジンで作る。これなら外注する必要もなく最小限の設備で自分で作れるはずだ。口腔内に試適して咬合調整後セットする。456はスーパーボンドでセットと同時に歯列固定する。
2025.09.06
コメント(0)

ほぼ満開か。
2025.09.06
コメント(0)

とりあえず、これで完成とするかな。電圧ゲインは0.1Ω負荷時1倍。1Ω負荷で10倍。1Vp-p出力時の歪みは-40dB程度。これでは大先生に怒られそう。。-60dB以下でないと。。 2SK1056/2SJ160を使うと-60dBいくんだけれど。。大電流用途には厳しい。それにこのようなオーディオ用の高性能部品はもう作っていないので、モータードライブ用でどうにかするしかない。今日はもっとf特を伸ばせないか?とか歪みを減らせないか?とかやっていたのだが、ソーラーハウスの3kWのDC/ACインバーターが過負荷で落ちた後発振するようになって、結局ドライバー段のコンプリメンタリーp-pのトランジスターを交換したら治った。部品単独では壊れているようには見えなかったのだが、不思議なことばかり起こった1日だった。実験機ではファイナルがシングルで、試作機はパラレルだが、シングルの方が性能が良い。発振もし難い。なぜなのかよく分からない。回路は同じなのだけど、配線の引き回しの問題かもしれない。パラレルシングル実験機のファイナル段ファイナルパラの試作機。実験機と同じ構造で作り直すしかないか。。ファイナルパラは位相補正というか帯域制限をかけないと寄生発振が起こる。歪みの方もFFT機能の使い方がよく分かっておらず。もしかしたら-60dBいっているのかも。ちゃんとした歪率計で計り直すつもり。結局パラ基板をシングルプッシュプル基板に改変する作業に取り掛かった。左が改変中のシングルプッシュプル基板
2025.09.05
コメント(0)

50代女性、右下5、インレー2次カリエスこのシリーズの枕詞だが、ここでやっている治療は一回で終わり、余計なことは一切しない(ワンオペではそもそもできない)ということなのだが、これは全て自分でやって、余計な労力、資源(お金)を使わないということです。ということは、歯科用治療椅子も要らない、レントゲン装置も要らない、助手も要らない、診療所すら要らない、ポータブルの治療セットで充分というお話です。今後日本も少子高齢化で人手は足らず、お金もない(資源・エネルギーが枯渇していく)となれば、今までの治療体系というのは維持できなくなるのは目に見えている。というかそれが現実問題になってきているのを医療業界に身を置くものとしては感じざるを得ない。今までの贅沢な医療サービスを提供できなくなるということなのだが、ではどうすれば最小限の医療サービスでも患者のニーズを満たすことができるのか?ということを考えざるを得ない。その答えの1つがこのサイトにある。治療方針というか治療手順も余計なことは一切しないということに徹する。神経を取るとかいう根管治療はトラブルを招くだけの無駄な事なので最初からしないことが重要だ。たとえラバーダムを使用しようが、根管内を感染させてしまうのがオチだ。麻酔も一切しない。虫歯は削っても痛くないのだから当然だろう。虫歯しか削らないのだから。麻酔をするということは健全な歯質を削るために必要だということを強調しておきたい。ここではCRのダイレクトボンディングシステムを使う充填治療が前提の処置なので、型取りのための便宜的な歯質の削除はする必要がない。虫歯のみを除去すれば事足りるので、ボンディング材の性能が発揮できる程度の新鮮歯質をマージン付近の1mm幅で確保できれば良い。1mmのマージンより内側は虫歯が残っていても差し支えない。虫歯(軟化象牙質)はα-TCPで再硬化して治るからだ。ここで使っている3MIXの作り方はこちら。α-TCPの入手法はこちらストリップスも使わないでも隣接面窩洞のCR充填は可能だ。では時系列でどうぞ
2025.09.03
コメント(2)

40代女性、右下5、Per、自発痛-、GA+ここでやっている治療は一回で終わり、余計なことは一切しない(できない)ということなのだが、これは全て自分でやって、余計な労力、資源(お金)を使わないということです。ということは、歯科用治療椅子も要らない、レントゲン装置も要らない、助手も要らない、診療所すら要らない、ポータブルの治療セットで充分というお話です。今後日本も少子高齢化で人手は足らず、お金もない(資源・エネルギーが枯渇していく)となれば、今までの治療体系というのは維持できなくなるのは目に見えている。というか現実問題になってきているのを医療業界に身を置くものとしては感じざるを得ない。今までの贅沢な医療サービスを提供できなくなるということなのだが、ではどうすれば最小限の医療サービスでも患者のニーズを満たすことができるのか?ということを考えざるを得ない。その答えの1つがこの症例だ。痛みはないが神経は死んでいる(GAができている)この症例の場合、通常治療ではどうするかと言えば、まず神経は死んでいるのだから感染根管治療をせざるを得ない、それには数回の通院が必要になる。その後根管にポストを入れ型取りしてクラウンを被せるということになり、最低でも5〜6回の通院は必要になりコストもかかる。ここでは根管治療はしないと言っても3MIX+α-TCPで直覆するので、薬剤は感染根管に浸透する。これで感染根管内は殺菌され謂わゆる乾酪壊死という状態になり安定化する。薬剤の漏洩を防ぐためには選ばれたCRのダイレクトボンディングシステムを使う必要があるが、その場で歯冠もCRで再建するので一回で治療は終わる。これが少子高齢化で患者は爆増するが、人手は足りない近未来の標準治療になると思われる。どうせろくなことになりそうもない移民などの必要性はない。これが究極のワンオペ歯科治療だ。2つの画角でアップしてみよう。では時系列でどうぞ、実像実像
2025.09.02
コメント(2)

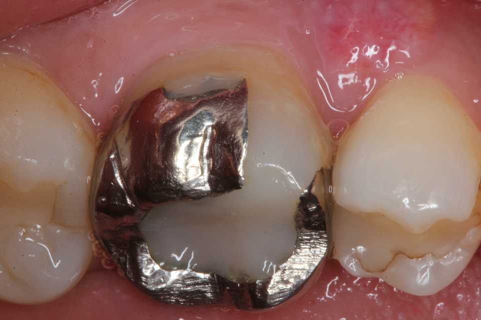
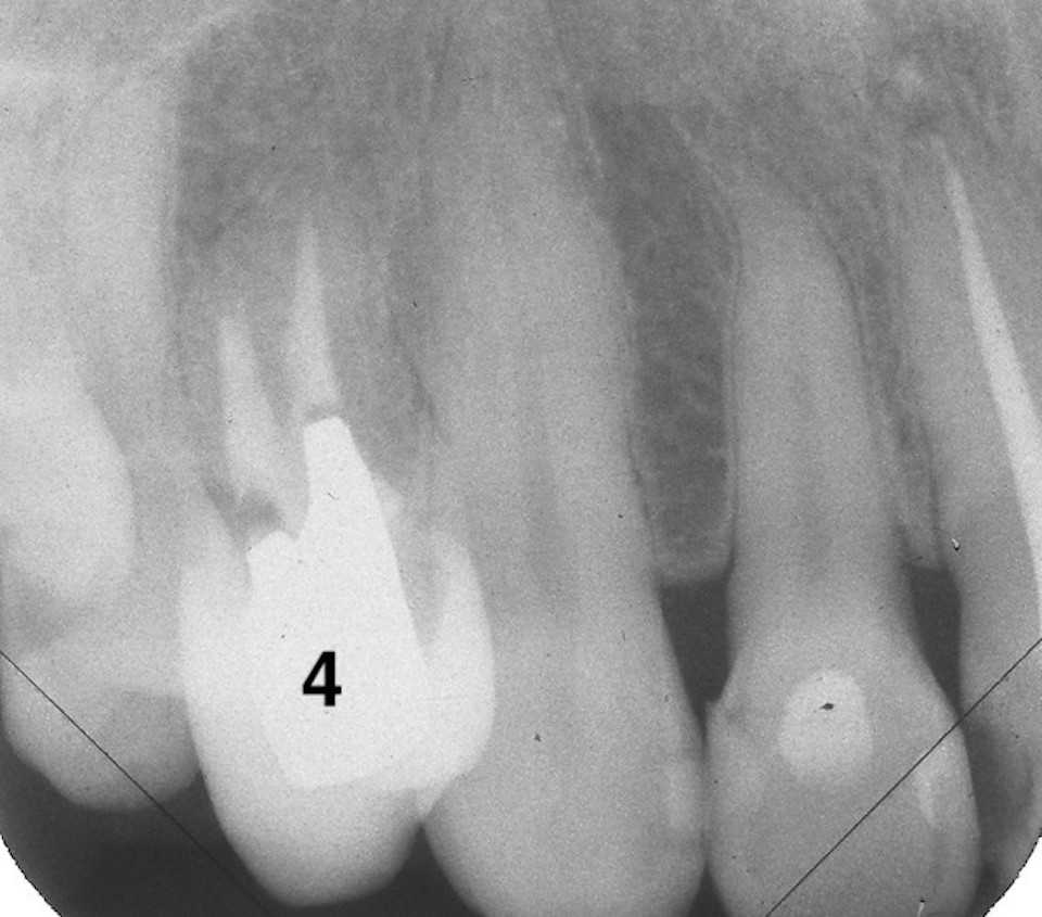
88歳女性、咬合性外傷、食いしばりがひどいとかで、また咬合力も強い。骨隆起を見れば歯を酷使してきたことが分かると思う。何度も歯根破折やPerで再植等を繰り返したが、とうとう右下56の歯根が砕けて抜歯になってしまった。入れ歯は嫌だ、、とおっしゃる。僕も入れ歯は手間がかかるので嫌なので、細い咬合負担の少ないブリッジ風の接着性義歯を作った。外注したくても義歯の外注先が廃業、絶滅してしまった。こんなものはCAD/CAM、3Dプリンター等の機械では作れない。歯科技工士が絶滅してしまったら、患者は歯は抜きっぱなし、土手で食べてね。。ということになる。そういう歯科治療難民の近未来の状況は地方から燎原の火の様に日本中を焼き尽くすことになるだろう。最後の再植は10年程前のお話。そこからアップしてみます。補強連冠を入れて頑張ったのだが、とうとう歯根が折れて、どうなっているのかよく分からないがひどい炎症がある。流石にこんなになっては患者も抜くしかないと思う。抜歯後、接着性の義歯を作った。ご本人は大切に使いますとおっしゃるが。。骨隆起を見ればどういうことなのかよく分かると思う。
2025.09.01
コメント(0)
全39件 (39件中 1-39件目)
1