全54件 (54件中 1-50件目)
(新サイト 記事移転先リンク) 【http://mabo400dc.com/】
2012.07.31
コメント(0)

生命とは凄いもんです。
2012.07.31
コメント(0)
おもしろい画像が回ってきましたので、みんなで見ましょう^^http://nobphoto01.sakura.ne.jp/qtvr/houimou2012/houimou2012.07.29.html
2012.07.30
コメント(2)

枝に糸で自分の体を固定しています。
2012.07.30
コメント(0)
日本のマスコミは見事にスルーし続けていますが、脱原発の流れを止めることはできないでしょう。原発には国策とかでさんざんつぎ込んでいますから止め方が難しいわけで、最終的には国で買い上げる方法を取って、税金で廃炉にしていくしかないと思われます。資源エネルギー、特に石油資源は漸減し始めましたので、いつまでも原発を引きずることはできないでしょう。なぜなら原発は石油の応用技術に過ぎず、石油資源が自由に使えなくなると、建設、運転、維持管理から廃炉、使用済み核燃料の管理までいっさいできなくなってしまうからです。いずれにしても、決断が迫られる時期はそう遠くはないと思われます。http://www.youtube.com/watch?v=lHAnVGy-lKYーーー引用開始ーーーhttp://headlines.yahoo.co.jp/videonews/jnn?a=20120730-00000001-jnn-sociTBS系(JNN)?7月30日(月)2時23分配信 29日、脱原発を訴えて国会議事堂を取り囲もうという大規模なデモが行われました。 29日午後4時から始まった脱原発を訴えるデモ。参加者は東京電力本店や経産省前などを行進したあと、最後は国会議事堂に集まりました。国会議員数人もデモに参加し、「政府は国民の声を聞くべきだ」と訴えましたが、民主党の議員がマイクを持つと「帰れコール」が沸き起こる一幕もありました。 参加者はキャンドルなどを手に、国会を「人間の鎖」で取り囲む予定でしたが、警備の都合で一部できない状態となり、参加者が国会正門に押し寄せました。 「デモ隊は警察のバリケードを押し倒し、国会前の道は人で溢れかえっています」(記者) 主催者によりますと、デモの参加者は20万人だということですが、警視庁はおよそ1万5000人とみています。また、今回のデモで参加者2人が機動隊員に対する公務執行妨害の疑いで逮捕されました。(30日02:37)最終更新:7月30日(月)3時40分
2012.07.30
コメント(2)

なるほどそう言うことですか。。国は軽自動車の優遇税制を廃止してアメリカTPPの圧力に屈したふりをして税収アップを目論んでいると。しかし「超小型モビリティ」の流れは必然的と思われますので、軽自動車を排除したら、どでかい?アメ車が売れると思ったアメリカ自動車業界は、期待が外れて怒りまくると。。そういえば、自動二輪の高速道路二人乗りが解禁されたのも欧米のメーカーの圧力があったとされていますが、どうなんですかね?ハーレーやBMWのでかい二輪が売れているんですかね??僕はこっぱずかしくて乗れませんが。。^^;ーーー引用開始ーーーhttp://zasshi.news.yahoo.co.jp/article?a=20120729-00000888-playboyz-soci週プレNEWS?7月29日(日)6時10分配信 写真を拡大セブンイレブンが宅配サービス進出にあたり200台を発注した超小型モビリティ「新型コムス」国土交通省がスピーディな普及に努めている1~2人乗りのクルマ、「超小型モビリティ」。7月2日には先駆け的な存在ともなる「新型コムス」がトヨタ車体から発売されるなど、がぜん注目が集まっている。??しかし、本格的な導入にあたり、これまで“エントリーカー”として軽自動車に与えられてきた税制上の優遇が失われる懸念が広がっている。??その背景には、軽自動車の存在を不満に思っている勢力の存在がある。筆頭ともいえるアメリカの通商代表部(USTR)は、日本との環太平洋連携協定(TPP)拡大交渉にあたり軽自動車への優遇税制を「非関税障壁」のひとつとして取り上げ、是正を求めている。軽規格のクルマを持たないアメリカにとって、日本の自動車メーカー、特に軽自動車を主力とするメーカーの「低コスト・高品質なモノづくり」は目の上のタンコブ。軽自動車の優遇税制を外圧で廃止に追い込み、自分たちに有利な市場へ誘導しようと躍起なのだ。??国内でも、財務省、総務省といった自動車関連の税金を所管する官庁が、軽自動車の優遇を続けることをよしとしない可能性は大いにある。何しろ、2001年に1000万台ほどだった軽自動車(乗用車)の保有台数は、2010年には約1750万台と激増。軽自動車(乗用車)の税額は年間7200円だから、これが小型車(1リッター未満)並みの2万9500円になれば、実に年間で1670億円余りの増収となる。小型車との税額の差の半分程度を優遇措置として残しても、年間800億円以上の税金が新たに転がり込んでくることになるのだ。??もし、軽自動車の優遇措置が見直されたらどうなるのか。第一生命経済研究所経済調査部の主席エコノミスト、永濱利廣氏は、その影響を次のように分析する。??「地方経済への打撃が深刻なものとなります。地方において、軽自動車は“ひとり1台”の生活必需品です。その軽自動車の維持にこれまで以上の経費がかかるようになると、ほかの支出を抑えざるを得ません。外食や買い物に出ていくお金が少なくなり、飲食業、小売業に大きな影響を与えることになるでしょう」??そこで国土交通省を直撃したところ、これについて真っ向から否定する。??「超小型モビリティの税制は極めてシンプルで、現状1000円から7200円(年額)まで幅のある軽自動車税のなかで、どのあたりに収めるかということだけです。これが既存の軽自動車の値上げにつながるとかは絶対にありません! もし軽自動車税の値上げがあるとしたら、TPPとか、税制の抜本的見直しのなかで議論されるべきことで、超小型モビリティとは関係ない話です」(同省環境政策課)??とはいえ、今まで「暫定税率の廃止」「高速道路無料化」など、クルマ関連の政策において国民を裏切り続けてきた民主党政権だけに、額面どおりには受け取れない。外圧と税収確保、そして超小型モビリティの実用化を口実に、「軽自動車優遇税制廃止」に踏み切ることも十分に考えられる。??国土交通省のいう「軽自動車の増税なき超小型モビリティ導入」が実現すれば、疲弊する地方経済にとって、街づくりやコミュニティ活性化を通じた新たな浮上の一助となるはず。そこに“横ヤリ”が入らないよう、国民がしっかり監視を続けていくことが重要だ。
2012.07.29
コメント(6)

数日前はさかんに動き回っていましたが、http://plaza.rakuten.co.jp/mabo400dc/diary/201207240001/すっかり葉っぱを食べ尽くした所為か、じっとしています。もしかして、そろそろさなぎ?
2012.07.29
コメント(2)
原子力ムラの皆さんは自分が死ななければ、なによりも銭が大事のようですね。事故っても自分たちは逃げればいいだけですものね?周辺の住民はどうなってもよい。危ない結果が出たのは「予測に使われる計算式の精度」の問題ではないか?と言い始めました。今まではそれでやってきたのに、都合がわるい結果がでると、それは誤りということですか?それでは危なくないという結論もまた誤りということもありえるということですよね?ーーー引用開始ーーーhttp://mainichi.jp/select/news/20120728k0000m040062000c.html毎日新聞 2012年07月27日 19時56分(最終更新 07月28日 00時37分)玄海原発1号機(手前右)写真特集へ 九州電力玄海原発1号機(佐賀県、定期検査で停止中)の原子炉圧力容器が予想を上回り劣化していた問題で、経済産業省原子力安全・保安院は27日、現時点の劣化は異常なレベルではなく「2033年までは十分健全」との見解をまとめた。1975年に運転開始した1号機は、2033年まで運転すれば58年となる。政府は原発を原則40年で廃炉とする方針を決めているが、9月に発足予定の原子力規制委員会が再検討することが決まっており、今回の見解は論議に影響を与えそうだ。 保安院は昨年11月からこの問題を検討。27日開かれた専門家による意見聴取会で大筋了承を得た。 原子炉圧力容器は、核分裂反応で生じる中性子を浴び続けるともろくなる。劣化の程度を間接的に調べるため、各電力会社は圧力容器内に同じ材質の試験片を設置。定期検査の際に取り出して、劣化の程度を示す「脆性遷移(ぜいせいせんい)温度」などを調べる。この値が異常に高いと、事故の際の注水がきっかけで圧力容器が破損する恐れがある。 九電は玄海1号機について97年までに3回分析。いずれも脆性遷移温度は予測値を下回っていたが、09年の値が約14度上回る98度と、国内の原発で最高値を記録した。想定以上の老朽化を示す結果に、圧力容器の健全性を不安視する声が上がり、保安院が専門家会合で検討してきた。原子炉圧力容器の構造と中性子写真特集へ 試験片を電子顕微鏡で詳しく調べたところ異常な劣化は見つからず、現時点では「健全」と判断。圧力容器の内壁は試験片より炉心から遠く、その分浴びる中性子の量が少ないため劣化は遅く、実際に圧力容器の劣化が試験片と同程度になるのは、運転開始から約58年後の2033年ごろになるとした。 議論では、圧力容器の脆性遷移温度が98度になったと仮定しても、理論上は事故の際の注水で容器の破損には至らないとの意見が多数を占めた。 一方、1号機の脆性遷移温度が予測値を大幅に上回った理由は説明がつかないとして、予測に使われる計算式の精度を今後、学会などが詳しく検証するよう求めた。【奥山智己】
2012.07.29
コメント(2)

MODEL TV-80A東海無線株式会社という今はない会社の製品です。http://tokyoswan.web.fc2.com/13htm/rekishi/rekishi.htmこの製品も真空管式で1962~64年頃の製造ではないでしょうか?60年代というよりは50年代のデザインを引き継いでいます。50年代もいいですね。
2012.07.29
コメント(0)
(新サイト 記事移転先リンク) 【http://mabo400dc.com/】
2012.07.29
コメント(0)
(新サイト 記事移転先リンク) 【http://mabo400dc.com/】
2012.07.29
コメント(0)

これは1963年製と思われるVictor製MODEL 8PV-4 真空管式のポータブルテレビです。定価42,800円という値札が付いていましたので、当時としては初任給何ヶ月分もする贅沢な製品だったと思う。元箱の上面には「1964東京オリンピック募金協賛カード在中」と印刷されているので、その前年の製品だということも分かる。これは偶然だが、ジブリアニメ「コクリコ坂から」の設定年代と同じだ。http://www.youtube.com/watch?v=d3HCQpyNsnM&feature=relmfuどうして僕が60年代やそれ以前にこだわっているのかというと、自然エネでやっていくにはエネルギー使用量はその頃の水準に戻るしかないからだ。ではなぜ自然エネでやっていく必要があるのかと言えば、資源エネルギー特に石油資源の減耗時代を迎えたからだ。2006年に石油の生産量はピークを迎え緩やかに減耗が始まっている。これから世界は急速に資源ナショナリズムの嵐が吹き荒れ、ブロック経済化が進み、日本も今まで通り資源エネルギーの輸入が容易な状況が続くとは思われない。特に中国は大きな人口を抱え、大変な格差社会を抱えたまま、資源エネルギー減耗時代に突入しようとしている現在、共産党中枢の焦りは頂点に達している。今中国が躍起になって、南シナ海、東シナ海を侵略しようとしている理由は資源エネルギーを求めてのことだ。フィリピンと日本は中国と一触即発の状態になっており、オスプレイやF22の沖縄配備はそれを牽制するためだということは容易に分かる。1963年の1次エネルギーの消費水準は現在の1/4だ。当時の様子を見たことがない若い方は「コクリコ坂から」をよく観てください。このような生活水準になるのだということです。まあまあ、よく当時を再現できていると思いました。今と大して変わりはしませんね。【0720otoku-f】【送料無料】【smtb-u】【新品】アニメDVD コクリコ坂から 横浜特別版【10P23Jul12】【0720otoku-p】【画】
2012.07.26
コメント(0)
うちの子もね、小学校5年生の時、同級生と6年生の兄が主犯のいじめというより、いじめに付き物の「かつあげ」されましてね。友達を装ったしつこい恐喝ですよ。どんどんエスカレートして業務で使う12万が無くなったので、すぐに学校に走って、生徒全員に足止めさせて、首謀者を割り出しましたが、首謀者がだれかなんて言うのはすぐ分かるわけです。その前からうちに遊びにきていましたから。小学生のくせに眼が逝っていますから、どういうつもりでうちに来ているのかすぐ判ります。この子達がどういう人生を歩むかなんてことも容易に想像できますが、なんか世の中おかしくなっていますね。後日学校で保護者はじめ関係者が集まって話し合いをしたのですが、その席に校長は出て来ないのです。これには唖然としました。評価が下がるのが怖いのですよ。こんな調子で全てがおかしい。おかしくなったのは具体的には小泉改革の個人情報保護法からですよ。学校で体罰はおろか、悪いことをした生徒の名前すら出せない。これはおかしいでしょう。個人情報保護法は悪人に都合のよい法律ですよ。廃止した方がよい。体罰も復活した方がよい。小泉元首相の出自に関してはいろいろ言われていますので、自分のための法律だということは当時から言われていました。彼は(湯)のエージェントなので、エージェントの素性が知れてはいけない、そういう悪人の為の法律を作ったわけです。当時うちの子は夜うなされて、2階から飛び降りようとしていましたよ。今回大津の事件で大問題になりましたが、それはどこにでもあることだと思います。これらの事件は(湯)が自分達の世界支配のためにやっている陰謀がその根源にあるように見えます。ーーー引用開始ーーーhttp://headlines.yahoo.co.jp/hl?a=20120726-00000507-san-soci産経新聞?7月26日(木)2時31分配信 大津市で昨年10月、市立中学2年の男子生徒=当時(13)=が自殺した問題で、滋賀県警は25日、生徒への聴取を26日から始めると発表した。自殺直後の全校アンケートで記名回答した卒業生を含む生徒ら約150人を中心に実施。担任やほかの教員らへの聴取も既に始めており、いじめの実態解明を目指す。?? 県警は当初、当時の全校生徒約800人を対象にしていたが、アンケートで記名回答した生徒のほか、教諭らの聴取でいじめを目撃していたとされる生徒らを優先的に聴取。心理的負担を考慮し、保護者同席のもと自宅に捜査員を派遣するなどして行う。必要があれば、県警の女性職員も同席する。また近く生徒らのために専用電話を設置、聴取で聞けなかった内容の把握に努める。?? 男子の父親は18日、恐喝や窃盗など6つの容疑で男子生徒の同級生3人を大津署に告訴。県警は8月中に聴取を終える予定だが、立件の可否判断は9月以降にずれこむ見通し。
2012.07.26
コメント(9)
(新サイト 記事移転先リンク) 【http://mabo400dc.com/】
2012.07.25
コメント(2)
(新サイト 記事移転先リンク) 【http://mabo400dc.com/】
2012.07.25
コメント(0)

去年の原発事故後に診療室の蛍光灯をすべてLED化しましたので、100kWh/月程の節電(前年同月比-12%)になっています。http://plaza.rakuten.co.jp/mabo400dc/diary/201107010000/今年は診療室のエアコン2台を太陽光発電で賄うことにしました。エアコンは150W~450W程の消費電力ですが、太陽光発電の最大出力は1500Wが2系統ですので、充分に余裕があります。しかも真夏の暑い日は太陽光発電も絶好調ですので、エアコンとソーラー発電は相性がよろしい。とりあえず、ソーラーと九電を切り替えるスイッチを2つ増設しました。1台当たり50kWh/月程節電できますので、2台でまた前年同月度比10%以上の節電を達成できる見込みです。
2012.07.25
コメント(0)

梅雨明けで昨夜はよく晴れて、月がよく見えました。このところの撮影機材はこれです。http://plaza.rakuten.co.jp/mabo400dc/diary/201103060000/
2012.07.25
コメント(0)

5日前までは迷彩柄だったのが、緑色の新幹線型に成長していました。http://plaza.rakuten.co.jp/mabo400dc/diary/201207190000/マイマイカブリの幼生?もいました。
2012.07.24
コメント(0)
(新サイト 記事移転先リンク) 【http://mabo400dc.com/】
2012.07.24
コメント(0)
(新サイト 記事移転先リンク) 【http://mabo400dc.com/】
2012.07.23
コメント(2)

アスパラとジャガイモは100円。かんころ粉は1kg500円、サツマイモをスライスして天日乾燥後粉に挽いたもので、餅(団子?)にします。レシピ付き。
2012.07.23
コメント(0)

を売っているサイトがあります。http://www.wni-jp.com/shelter.html#housya住宅にもなるとか。。^^;いいかも。
2012.07.22
コメント(2)

http://plaza.rakuten.co.jp/mabo400dc/diary/?ctgy=28マイクロ水力発電の具体的な設計製作方法の特集をしようと思っていましたが、これまた頓挫しています。。^^;日本の包蔵水力(発電資源)の70%はすでに開発されているとされていて、残りは中小の水力発電所の開発の余地しか残されていないと言われています。しかも、開発しようにも事実上水利権者しか開発できない仕組みになっています。江戸時代以前の昔から水利権を持っている人だけが市長村長の設置許可を得る権利があり、そうでなければ略完全に外部の人間は参入できないのです。これがちょっとだけ緩められるというお話ですがどうでしょうか?田舎の親父はそう簡単にはね。。。でも、そんなことは言っていられませんね。http://headlines.yahoo.co.jp/hl?a=20120722-00000010-jij-polーーー引用開始ーーー時事通信?7月22日(日)2時32分配信 国土交通省は21日、河川から農業用水などを引き込む既存の水路で行う小水力発電について、発電事業者の登録制度を設ける方針を固めた。発電機の設置を希望する事業者が、既に水利権を得ている関係者の同意を取るなどの要件を満たせば、河川管理者が登録し、事業を行えるようにする。従来の許可制度で必要となる手続きを簡素化し、事業者の参入を促す。具体的な登録要件などを検討した上で、来年の通常国会にも河川法改正案を提出する。
2012.07.22
コメント(0)
![]()
友に贈ったので、僕もご相伴にあずかりました。大吟醸、今年は金賞は取れなかったようですが、贅沢な本物の日本酒です。ビデオを観ながら飲んでいます。「コクリコ坂から」ジブリ作品で1963年5月の時代設定。60年代はどんな時代だったか?、見てみたいと思って買ってみました。僕は小学校に上がったばかりの頃でした。今はいろいろ言われていますが、当時のお兄さん、お姉さん達がとても懐かしい。☆スタジオジブリオリジナルレジャーシート 外付けコクリコ坂から (通常版)(DVD) ◆20%OFF!太閤ブランドの最高峰酒です!全国新酒鑑評会6年連続受賞蔵自信の一品です!太閤 大吟醸 超特撰 1800ml
2012.07.22
コメント(0)
(新サイト 記事移転先リンク) 【http://mabo400dc.com/】
2012.07.21
コメント(0)
(新サイト 記事移転先リンク) 【http://mabo400dc.com/】
2012.07.20
コメント(6)

赤米もますます大きくなっているし、アゲハ蝶の幼虫も濡れている。真空管式ソーラー温水器も正常稼働。カタツムリも元気です。あ、ちびが帰ってきました。
2012.07.19
コメント(0)

玄海原発1号機が18位というのは解せませんが、専門家の危険な原発ランキングでは上位5位に入っていました。まあ、どれもこれも活断層の上に建っている。地震や津波が起こったらやばい。過去に緊急炉心冷却装置が働くような事故を起こしている。設計が古くしかも経年劣化している。ろくなもんじゃないです。壊滅的な事故が起きないうちに廃炉にしてください。お金に糸目は付けません。。^^;ーーー引用開始ーーー特集ワイド:原発危険度ランキングを読む 超党派議員の会発表、専門家「ほぼ妥当」でも「下位も安全でない」毎日新聞 2012年07月17日 東京夕刊「即時廃炉」のトップに挙がった敦賀原発1号機=福井県敦賀市で10年、本社機から竹内紀臣撮影拡大写真 「脱原発」の声が高まる中、超党派の国会議員で作る「原発ゼロの会」が6月28日に発表した「原発危険度ランキング」が気になる。一体どんな内容なのか、妥当性はあるのか。そして政治的な狙いは?【瀬尾忠義】 「福島第1原発事故を受け、国民の最大の関心事は原発の安全度。本来なら国が発表すべきランキング。私たちは、危険な原発から廃炉にするという道筋をつけたい」つづきはこちらhttp://mainichi.jp/feature/news/20120717dde012040013000c.html毎日新聞 2012年07月17日 東京夕刊 順位 原子炉 事業者 総合ポイント <1> 大飯1、2 関電 10.75 <3> 美浜1 関電 10.35 <4> 美浜3 関電 9.45 <5> 島根1 中国電 9.30 <6> 高浜1 関電 9.05 島根2 中国電 9.05 <8> 高浜2 関電 8.55 <9> 志賀1 北陸電 6.70<10> 高浜3、4 関電 6.40<12> 志賀2 北陸電 5.85 大飯3、4 関電 5.85<15> 泊3 北電 5.75<16> 伊方1 四国電 5.60<17> 泊1 北電 5.55<18> 玄海1 九電 5.25<19> 泊2 北電 5.20<20> 伊方3 四国電 4.20<21> 川内1 九電 3.90<22> 川内2 九電 3.70
2012.07.18
コメント(0)
日本政府が米国農務省のデータをそのまま流していますが、これだけ読んでもよく解りませんね。米国コーンベルトが高温乾燥(干ばつ)でやられて、トウモロコシと大豆は悲惨な状況になっているそうです。4年前のように投機筋が動けばまた実態以上に穀物価格が高騰して、通貨安の国々の国民生活を直撃するという事態が懸念されています。今回は投機筋(湯)の好きにはさせん、、ということで、各国静観の構え。。まあ、資源エネルギーが減耗すれば、こういう事態は常態化します。ーーー引用開始ーーー-------------------------------------------------【特集】米国農務省穀物等需給報告(7月11日公表)-------------------------------------------------- 米国農務省は、7月11日(現地時間)、2012/13年度の3回目の世界及び主要国の穀物・大豆に関する需給見通しを発表した。その概要は以下のとおり。 2012/13年度の穀物全体の生産量は消費量を下回るが、大豆の生産量は消費量を上回る見込み。 1世界の穀物全体の需給の概要(見込み) (1)生産量:23億1,404万t(対前年度比 0.4%増)(2)消費量:23億2,776万t(対前年度比 1.3%増)(3)期末在庫量:4億5,041万t(対前年度比 3.0%減)(4)期末在庫率:19.3%(0.9ポイント減)≪主な品目別の動向≫<小麦> 生産量は、前年度、悪天候による被害を受けた米国、インドで増産となるものの、凍害や秋から春にかけて乾燥の影響を受けた旧ソ連諸国、EUで減産となることから、世界全体では前年度を下回る見込み。また、消費量もインド等を除き前年度より減少。世界全体の生産量は消費量を下回り、期末在庫率は前年度より低下。(1)生産量:6億6,533万t(対前年度比 4.2%減) 米国、インド、等で増加、カザフスタン、ロシア、EU、豪州、アルゼンチン等で 減少。(2)消費量:6億8,006万t(対前年度比 2.1%減) インド等で増加、ウクライナ、EU、カナダ等で減少。(3)期末在庫量:1億8,244万t(対前年度比 7.5%減)(4)期末在庫率:26.8%(1.6ポイント減)(5)前月からの主な変更点 生産量は、単収等の下方修正からロシア、カザフスタン、中国で下方修正、仏・ 独での増産からEUで上方修正。<とうもろこし> 生産量は、世界全体では史上最高の見込みであるが、主産国の米国では6月以降のコーンベルトの高温乾燥の影響で前月予測から大幅に(375.7百万トン→329.5百万トン▲12.3%)下方修正。また、世界の消費量は、米国や中国の飼料用需要の増加等から、増加する見込み。 米国の生産量の下方修正により、米国の期末在庫率は9.3%と前月予測(13.7%)に比べ4.4ポイント下方修正され、低水準で推移。(1)生産量:9億0,523万t(対前年度比 3.6%増) 米国、アルゼンチン、カナダ、中国、メキシコ等で増加、ブラジル等で減少。(2)消費量:9億0,051万t(対前年度比 3.7%増) 中国、米国、EU、カナダ、ブラジル等で増加。(3)期末在庫量:1億3,409万t(対前年度比 3.6%増)(4)期末在庫率:14.9%(0.0ポイント増)(5)前月からの主な変更点 生産量は、米国で高温乾燥の影響から下方修正、消費量は、米国で飼料用需要等の 下方修正。<米(精米)> 生産量は、東南アジア諸国での増産等により、世界全体では史上最高となるも、インド、中国等の消費量の増加から、世界の生産量は消費量を下回り、期末在庫率は低下。(1)生産量:4億6,508万t(対前年度比 0.2%増) インド等で減少(2)消費量:4億6,679万t(対前年度比 1.8%増) インド、中国等で増加(3)期末在庫量:1億0,247万t(対前年度比 1.7%減)(4)期末在庫率:22.0%(0.7ポイント減)(5)前月からの主な変更点 生産量は、インドの雨期の到来遅れによる影響から下方修正。2世界の大豆需給の概要(見込み) 生産量は、世界全体では増加するものの、主産国の米国でコーンベルトの高温乾燥により前月予測から大幅に(87.2百万トン→83.0百万トン:▲4.8%)下方修正。米国の減産に加え、中国の輸入需要の増加等により、米国の期末在庫率は4.2%と、前年度(5.4%)を下回り歴史的低水準。(1)生産量:2億6,716万t(対前年度比13.3%増) アルゼンチン、ブラジル等で増加。(2)消費量:2億6,315万t(対前年度比 3.8%増) 中国、アルゼンチン等で搾油用需要増加。(3)期末在庫量:5,566万t(対前年度比 6.0%増)(4)期末在庫率:21.2%(0.5ポイント増)(5)前月からの主な変更点 生産量は、米国で高温乾燥の影響から下方修正。詳しくは、「食料需給インフォメーション」http://www.maff.go.jp/j/zyukyu/jki/index.html内「米国農務省穀物等需給報告」http://www.maff.go.jp/j/zyukyu/jki/j_usda/index.htmlでご覧ください。
2012.07.17
コメント(2)

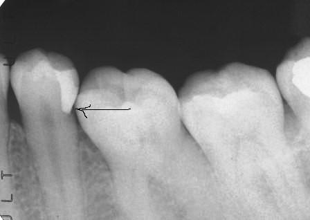
30代男性、左下5。後ろの6番が5番のデントエナメル境に食い込む形になっていて、歯根部の象牙質だけがムシ歯になる症例です。よく見かけますが、歯科医学的には原因はよく解っていません。しかし電気化学的には説明が簡単な症例です。まず、6番のエナメル質と5番の象牙質ではイオン化傾向を調べると象牙質の方がわずかながら大きい。また、この部分は狭い隙間になっているので、相対的に酸素濃度が低い。もちろん歯間部は細菌のすみかになっているので、細菌の代謝産物により低pHとなっており局部電池を形成しやすい。この局部電池のアノードとなるのが相対的にイオンが傾向が大きい5番の象牙質で、電子を奪われる側なので腐食してムシ歯になる。・・10年程前、CR充填に取り組み始めた頃の症例で、レントゲンで見るとなんとなく充填がショートになっているように見えて気になっていました。気になっていた6年前と5年前のレントゲン写真です。これが今回のレントゲン写真です。えらく解像度が悪いですね。某○ダックですが、フィルムの性能が落ちているのでしょうか?銀塩は絶滅間近なのでしょうか?メーカーは変わっていないと言っているようですが。。この度、トンネリング形成の時、残している遠心の辺縁隆線がチッピングしたので、再治療の機会に恵まれました。CRを除去していくとα-TCPセメントは使っていないことが分かります。歯肉縁下のマージンはやや軟化象牙質化していましたが、危惧していた程には悪くなっていませんでした。10年前に取り残していた軟化象牙質なのか、その後にできた軟化象牙質なのか、未だに判断できずに考え中です。α-TCPセメントを使って再充填して終わりました。
2012.07.16
コメント(0)
![]()
恒例の花火大会なんですが、当市出身の某D○C社長のポケットマネーでやっているとか、某知事が酒の席で自慢?していました。僕がお会いして交渉したとか、なんとか。こういうお金が掛かる行事を企画するなんていうことは、もう地元の力だけでは無理なんですね。。ちょっと寂しい。某社長のご好意に感謝しつつ、楽しめるうちに楽しまないとね。。
2012.07.15
コメント(6)
![]()
クリック拡大最大振幅をシミュレートするために信号を2重積分後、両波整流してピークホールドする基板です。10Hz:2Vp-pの入力信号は-6dBすなわち0.5VDCになりますが、現実のCDなどには超低域はそれほど含まれていませんので、数mVDCの信号しか得られません。これではデータロガーの分解能に左右されてしまいますので、2重積分器の後に電圧ゲイン20dBのOPアンプを挿入しました。10Hz:2Vp-pの入力信号が5.0VDCの出力になります。追加したOPアンプは1個入りの高性能OPアンプOPA627AUを変換基板で2個入りOPアンプに仕立てたものを使ってみました。クリックで拡大しますので、探してみてください。
2012.07.14
コメント(0)
ネットをやっている人には常識かと思いますが、世界の歴史には裏があるのです。ご参考まで。「日本人が知らないニッポン」http://www.thinker-japan.com/thinkwar.html
2012.07.13
コメント(14)
![]()
今年も行ってきました。ベートーベンの熱情とかプロコの戦争ソナタとか始めて正也さんが弾くのを聴きました。熱情はモーツァルトのフレーズやバッハのフレーズやその後のリストなんかを思わせるフレーズが聞えてきます。ベートーベンは古典と近代の中間点に位置するということがよく分かりました。アンコールの最後は十八番のリストのカンパネラ、これ以上の演奏は世界中探しても簡単には見つからないでしょう。田中正也を聴いた後で他のピアニストを聴くと彼のすごさがよく分かります。来年は当市でのリサイタルをお願いしているのですが、来てくれるでしょうか?
2012.07.12
コメント(6)
![]()
クリック拡大70年代後半から80年代にかけて、ナショナル(現パナソニック)から発売されていた小型テレビのシリーズにTransAm(トランザム)というのがありました。http://www.youtube.com/watch?v=qXDyr_uZphE60年代のテレビは機能的でシンプルなデザインでしたが、70年代はプラステック成形技術の進歩で、デザインにもいろいろと意匠が凝らされています。どうでもいいと言えばそれまでなのですが。表題画像の1978年製のナショナル TransAm RadioTV TR-3000は、70年代というよりは、より小型化されていく80年代のデザインのイメージがあります。テレビカメラを思わせるデザインで、小型化した画面を見やすいように、フードに拡大鏡が付いています。もちろんFM/AMラジオも。このシリーズはまたご紹介いたします。
2012.07.12
コメント(0)
吉田所長以下10名は残るつもりだったので、全面撤退ではない。とか言っているようですが、10名でどうにかなるわけがないです。原子力ムラにはどこまでも卑怯未練な腰抜けがそろっていますね。それに比べれば管首相は英雄じゃないですか。これらの文章は事故当時の状況をよく表しているように見えますね。http://ameblo.jp/e-miracle/entry-11205781633.htmlhttp://www.minusionwater.com/jikochou.htmご参考まで。
2012.07.12
コメント(2)

70代男性、右上5。隣接面および歯根面カリエス。これは2番目の画像のムシ歯の穴の中からすくい取ったムシ歯菌?の顕微鏡の動画です。画像をクリックしてください。こういう蠢いているぎっしり詰まった細菌の動画を見ると、ドキッとしますので、や、やっぱりムシ歯は細菌が原因だよね、、!と思いがちですがそういうわけではないのです。たまたま、住みやすい窪みに住んでいるだけです。もちろん細菌がムシ歯に関与していないわけではありませんが、「虫歯の電気化学説」によれば細菌がいなくてもムシ歯はできる可能性があります。ムシ歯菌?はあまり奥の方にはいません。好気性の細菌だからでしょう。歯医者でさえ単純にムシ歯はムシ歯菌が出す酸で歯が溶けたものと思っていますが、じつはちがうのです。もっと電気化学的なメカニズムがあるのです。http://www.yoshizaki-mekki.co.jp/eigyou/aen/zn.html詳しくはこちらを遡ってご覧ください。http://plaza.rakuten.co.jp/mabo400dc/diary/?ctgy=23・・・少しずつムシ歯を取っていきます。白いのはバイオフィルム(細菌の固まり)で、茶色はいわゆるムシ歯で軟化象牙質です。この部分には細菌はいないのですが、かなり深いところまでぶよぶよになります。こんな深いところまでせいぜいpH4の酸で歯が溶けますかね?なんかヘンじゃないですか?実験してみるとpH3の酸性水に1ヶ月浸けても歯は溶けません。ほとんどの歯医者は自分で歯を溶かす実験をしたことがないのです。自分でやってみると愕然としますよ。歯は弱酸では溶けません。
2012.07.11
コメント(2)

CROWN製5TV-206U 1974年製ですが、60年代の雰囲気を持っています。FM/AMラジオ付きというのが70年代しています。今はこのメーカーはありませんね。
2012.07.11
コメント(0)
(新サイト 記事移転先リンク) 【http://mabo400dc.com/】
2012.07.10
コメント(3)

HITACHI MODEL I-99A この機種は1971年製ですが、デザインは60年代のものを残しています。これはうちの診療室モニター画像でUHFで院内放送しているものです。この辺りは弱電界地区だったので、写りはこんなものでした。ほとんどノイズに埋もれたような映像を想像力を働かせて一所懸命視ていました。当時のテレビ番組を思い出すと、シロクロだったはずなのですが、どうしたわけかカラーで覚えているのです。。
2012.07.09
コメント(2)

松下電器産業(現パナソニック)製 MODEL TR-10D 製造年代は不明なもののUHFが付いているので、60年代後半(1966年頃)と思われます。黒と銀だけのソリッドなデザインは60年代共通のものです。松下製というよりSONY製を思わせるオーラがあります。もう40年以上経過してしまいましたが、まだ電源は入ります。レストアは可能で院内放送で使えますが、将来はAV博物館でも作って展示しようかと思います。当時は原発もないし、消費エネルギーは今の半分以下でしたが、ネット・ケイタイが全くないだけで、生活レベルは特に変わっていないと思います。
2012.07.08
コメント(0)

マスコミはどこから圧力がかかっているのか知りませんが、素っ気ない報道しかしていません。しかたがないので、ネットの動画でも視てください。http://m.youtube.com/#/watch?v=2kkYDWi7qZc関電前デモはこちら。http://www.youtube.com/watch?gl=JP&hl=ja&client=mv-google&v=2kkYDWi7qZc&nomobile=1毎週やるそうです。警察の皆さん、最寄り駅の出口を封鎖して外にデモ隊が出られないようにするとかの危険なデモ妨害はしないで下さいね。・・「原発はもう終わった」というのがうちの地元の反応で、「どう終わらせるか」が問題となっています。それで食べている人も大勢いますからね。。元々原発は核兵器を製造するためのプラントで、それに伴ってでてくる膨大なエネルギーがもったいないので発電でもしてみましょうか。。という、そういうものでした。日本でももちろんそうで、「核兵器を持つ能力を保持する」という国策推進のために民間の電力会社も巻き込んでおこなわれてきましたが、福島の最悪の事故以来どうしようもないことになってきているわけです。また、どこで同じような事故が起こるかわからない。今度こそ、日本は終了かも。。核兵器を持ちたいのなら、別にちゃんと議論をすればよいと思います。・・でもそんなことをすれば「ウリにも技術供与するニダ、、」といううるさい連中が騒ぎ出すのが眼に見えるようだし、そもそも原発は電源喪失するだけで爆発して核兵器よりも悲惨なことになるということが世界中にバレてしまいましたから、原発を通常弾頭ミサイルで狙うだけで十分で、原発を持っている限り核兵器は必要ないのではないかということもありますね。根本的なシステム変更の論議が必要なので、国会を始め、全国民的な議論を始めましょう。ーーー引用開始ーーーhttp://headlines.yahoo.co.jp/videonews/fnn?a=20120707-00000922-fnn-sociフジテレビ系(FNN)?7月7日(土)1時2分配信関西電力大飯原発の再稼働に反対するデモが、今週も東京・千代田区の首相官邸前で行われた。このデモは、大飯原発の再稼働に反対する人たちが、ツイッターなどで参加を呼びかけているもので、官邸前で毎週金曜日に行われている。再稼働後、初めてとなる6日も、プラカードを持った参加者たちが集まり、「再稼働反対」と叫び、官邸前の歩道を埋め尽くした。最終更新:7月7日(土)1時2分
2012.07.07
コメント(6)
http://www.youtube.com/watch?gl=JP&v=mXoeCl5zW9c「モーニングバード!そもそも総研」とかいう番組だそうで、ここの11分25秒以降をご覧下さい。関電の資産の半分が原発関連で、これが使えない(=不良資産)となると燃料費などの赤字が続けば破綻するかもしれない。総括原価方式(経費の4.4%を利益にできるという戦後の混乱期を乗り切るための制度)をとっている以上、原発関連経費がなくなると利益も大幅に減る。一企業としては大飯原発の地下に活断層があるという報告書を紛失(?)してでも再稼働したいという思惑があるわけです。危険性<<<一企業の存続、、という国家としては本末転倒の状況になっている。もうそろそろ、国策を民間企業に押し付けるというのは制度としても破綻しているので、原子力が国策というのなら、裏でこそこそやっていないで、原発は国が引き取って存続なり廃止なり国会で論議するしかないでしょう。
2012.07.07
コメント(0)
JASRACというのがあって、日本の音楽の著作権を管理しているそうで、アノニマスが攻撃しているとか話題になっていますね。JASRACはアーティストの権利を守るとか謳っていますが、ま、典型的なユダ屋商法ですよ。よくある話、アメと鞭。全てを管理したいわけです。このところアーティストにとっても困ったことになっていて、自分が作曲した曲をアレンジすることもできない。それどことか、JASRACに金を払わないと演奏することすらできない。自分の曲をですよ。著作権を保護してもらうメリットはCDでいうなら10万枚以上売り上げないとないそうで、インディーズで出した方が儲かるそうです。というか、使う方も、また著作権か、、面倒だな、、曲をかけるのは止めよう。。という話になって、だれも耳にしないので、かえって売れない。アーティストにとっては本末転倒ということになっているわけです。また、こういうのもありますよね。某S社がやっているSACD、厳しくリッピングを制限していますが、かえって売れないわけです。音が良いのか悪いのかすら判らないようなものが売れるわけないです。某S社のSACDプレーヤは、まあ、はっきりいうと音は良くない(というかヘン)。そんなプレーヤで聴いてもSACDとふつうのCDとの音の差なんて判りません。だれも相手にしていないものなんか売れるわけがないのです。もしこういうサイトのようにSACDをリッピングして自作でも市販でも良いので外部DACをいじった結果、SACDの音が良いということが判れば、一挙にブレークする可能性があるわけです。http://asoyaji.blogspot.jp/search/label/DSD-DAC市販のプレーヤだけで再生可能とか、楽しみがないので、だれも相手にしないのです。コピーフリーにしても、結局リッピングやダウンロードに手間暇が掛かりますから、良いものなら買いますけどね。手遅れにならない(会社がつぶれない)うちに、考え直した方がベターです。http://business.nikkeibp.co.jp/article/life/20120531/232774/stayalone.mp3ーーー引用開始ーーー誰でも演奏でき、誰でも聞ける、それが音楽の喜びじゃないか?深夜枠で大きな話題になったテレビドラマ「孤独のグルメ」。原作者であり音楽も担当した久住昌之氏はサントラの発売に際して、「このサントラの音楽はJASRACに登録しない。みんなで自由に使ってほしい」と宣言したのだ。狙いは何か。つづきはこちらhttp://business.nikkeibp.co.jp/article/life/20120531/232774/?P=1
2012.07.06
コメント(2)

http://plaza.rakuten.co.jp/mabo400dc/diary/201205270001/5/27に田植えだったのに、こんなに大きくなりました。植物の成長はすごいです。
2012.07.05
コメント(5)

1963年製のmodel 5-303M元箱入りです。モノクロですので、回路は単純。1978年製のKV-6020になるとカラーですので、3原色必要で、回路は3倍複雑になります。
2012.07.05
コメント(0)
(新サイト 記事移転先リンク) 【http://mabo400dc.com/】
2012.07.03
コメント(0)

小沢氏は反増税、反原発で選挙だそうで、さすがにあざといですね。田中角栄から原発利権を引き継いだはずなんですが、原発事故直後は原発は危ない、脱原発をめざすとかしおらしいことを言っていました。余程放射能が怖かったのでしょうね。しおらしいことを言っていたのは、小沢氏だけではない、小泉元首相もそうだったし、中曽根元首相も脱原発で自然エネに移行とか言っていましたが、だんだんそうもいかないだろう。。と発言は後戻りしていましたね。まあ、小沢氏は反増税、反原発で選挙は勝つでしょうが、これも田中角栄から引き継いだ官僚操作術で、やれるものならやってください。この点だけ期待しています。ーーー引用開始ーーーhttp://headlines.yahoo.co.jp/hl?a=20120702-00001198-yom-pol読売新聞?7月2日(月)22時47分配信 民主党の小沢一郎元代表は2日夕、国会内で記者団に対し、「今後、新党の立ち上げも視野に入れながら、政権交代の原点に立ち返り、国民が選択できる政治を構築するために、本日、民主党を離党した」と述べた。?? 次期衆院選で掲げる政策の柱については、「消費増税の先行反対ということは大きなテーマだと思う。もう一つ、原発の問題も大きな国民の関心事であろうと思う」として、反増税・反原発を訴えていく意向を示した。?? また、「もはや野田首相のもとでの民主党は、政権交代を成し遂げた民主党ではない」と述べ、社会保障・税一体改革を推進する野田首相を批判した。最終更新:7月3日(火)0時16分
2012.07.03
コメント(8)
(新サイト 記事移転先リンク) 【http://mabo400dc.com/】
2012.07.02
コメント(0)
![]()
この本の著者でしょうか? 【中古】文庫 金融のしくみは全部ロスチャイルドが作った【after0608】【画】この本にはずばり書いてありますので、入手可能なうちにゲットしておいた方がよいかもしれませんね。ブログもあります。http://d.hatena.ne.jp/rainbowring-abe/20070404ホームページは消されているようです。http://www.anti-rothschild.net/とんでも、、とか思われるかもしれませんが、こういう視点がないと世界史(欧州史)は合理的な解釈ができないように思います。
2012.07.02
コメント(0)
全54件 (54件中 1-50件目)